美しさも健康も、自分で取り戻す50代 歯並びも、人生もリスタート

−10歳の笑顔は、歯並びから

見た目も気持ちも
明るく変わる、
大人の美人矯正

気になる歯並び、目立たない方法で自然に美しく整える。
矯正治療で表情が変わる。人生が変わる。

  • お口の健康を
    長く保つ

  • 噛み合わせが整い、
    体への負担が減る

  • 見た目の印象が
    若々しくなる

今からでも遅くない! 大人のための矯正治療

歯並びを改善して、
自分史上最高の笑顔。

Patient's
voice

患者さまからのうれしい声が続々

  1. voice01

    矯正するにあたって、期間や価格、痛みがあるのか、年齢的に遅いのでは、など不安があったのですが、丁寧に説明して頂き踏み出すことができました。
    始めて半年ほどできれいな歯並びになり、今まで以上に笑顔が増えました。50歳を過ぎてからでも全然遅くありません。

    53歳 女性(Google口コミから起用)

  2. voice02

    長年気になっていた歯並びを矯正して頂きました。治療計画についてわかりやすく説明いただき、安心して治療を受けることができました。
    噛み合わせもきれいになり、とても満足しています!
    先生も衛生士さんもとても優しい方ばかりです。こちらのクリニックに出会えてよかったです。

    50歳 女性(Google口コミから起用)

院長・歯科医師 小川 朗子

見た目だけじゃない!
歯列矯正で変わる健康と未来

アンチエイジングデンタルクリニック恵比寿では、様々な年代の女性の⽅それぞれのご希望やお口の状態に合わせ、適切な矯正法と装置を選択できる体制を整えています。近年は40代・50代になってから矯正治療を始められる方も増えており、私自身も同世代として、患者さまのお悩みに寄り添い、同じ目線に立ったご提案を心がけています。未来の自分がより美しく、健やかでいられるために矯正治療は大きな一歩となります。完璧を目指すのではなく「今より少しでも良くすること」を大切にし、リスクを抑えたより安全な治療に努めています。噛み合わせの改善はもちろん、ブリッジやセラミックの被せ物を外さずに行なえる方法や、短期間での治療もご提案可能です。一人ひとりに合ったオーダーメイドの治療を一緒に考えてまいります。ぜひお気軽に当院へご相談ください。

院長・歯科医師
小川 朗子

経歴

1996
鶴見大学歯学部 卒業
1996年〜
2006
都内開業医 勤務
2004
南青山デンタルクリニック副院長
2006
アンチエイジングデンタルクリニック恵比寿 開院
2007
日本抗加齢医学会認定専門医 取得
2015
アライン社認定インビザラインドクター 取得
2017
点滴療法研究会高濃度ビタミンC点滴療法認定医 取得
2018
インディアナ州立大学歯学部 歯科矯正プログラム認定医取得
著書「若さを取り戻す歯のエイジングケア」出版

所属学会・資格

  • 日本抗加齢医学会
  • 抗加齢歯科医学研究会
  • 日本矯正歯科学会
  • 日本抗加齢医学会専門医
  • アライン社認定インビザラインドクター
  • 点滴療法研究会高濃度ビタミンC点滴認定医
  • インディアナ大学歯学部日本矯正歯科プログラム認定医
納得して始めるために、まずはカウンセリングでお気軽にご相談ください

納得して始めるために、
まずはカウンセリングで
お気軽にご相談ください

診療時間:10:00 ~ 13:00 / 14:30 ~ 19:00 
土曜日:10:00 ~ 19:00 休憩なし 
休診日:日曜・祝日

Do you have these concerns?

こんなお悩み、ありませんか?

  1. 01

    昔は歯並びキレイだったのに
    崩れてきた…
    前歯が出てきて気になる…

  2. 02

    矯正治療したのに
    後戻りしてしまった

  3. 03

    口元が気になって人前で笑えない…
    でも一歩踏みだせない

  4. 04

    ほうれい線や口角下がりが
    目立ってきた…

  5. 05

    同窓会や結婚式…
    笑顔に自信を持ちたい !

  6. 06

    大掛かりな治療じゃなくて
    気になる部分のみは出来る?

でも「今さら矯正治療なんて…」と
思っているあなたへ

実は、大人の今こそ始めどき
です!

  • 目立つ装置がイヤ

    透明なマウスピースで
    あまり目立ちません!

    透明なマウスピースであまり目立ちません!
  • 昔は痛いし時間がかかった

    今は優しい力で
    スムーズに動かすから
    治療期間が短い!

    今は優しい力でスムーズに動かすから治療期間が短い!
  • 治療歴がある…

    インプラントや
    ブリッジがあっても
    対応可能!

    インプラントやブリッジがあっても対応可能!
  • 抜歯しなきゃいけない?

    当院では
    非抜歯矯正治療を
    方針としています!

    当院では非抜歯矯正治療を方針としています!

Suggest

選べる矯正、見つかるベストな方法

ライフスタイルに合わせた
治療をご提案

横にスクロールしてご覧いただけます。

マウスピース型
矯正装置

マウスピース型矯正装置

唇側(表側)
矯正装置

唇側(表側)矯正装置

舌側(裏側)
矯正装置

舌側(裏側)矯正装置

見た目

透明なので
目立ちにくい
歯の表面に付けるので
目立つ
裏側に装置をつけるので、
人からは見えない

適応症例

奥歯の後方移動など、
比較的大きい移動も行える、
非抜歯矯正に向いている
適応範囲は広く、
中等度以上のガタガタでも
部分矯正に対応できる
適応ケースが
限られることがある

通院頻度

3ヵ月に1回
1ヵ月に1回
1ヵ月に1回

期間

全体:1~2年
部分:6ヵ月~1年
全体:1~3年
部分:6ヵ月~1年
全体:1~3年
部分:6ヵ月~1年

費用

全体:80~100万
部分:30~60万
全体:85~100万
部分:15~40万
全体:120~145万
部分:40~80万

今から始める矯正治療の
メリット・デメリット

Merit

  1. merit01

    口元が整い
    若返り効果が期待できる!

    見た目と機能性が改善され、これからの人生をもっと楽しめるようになります。

  2. merit02

    健康寿命が延びる!

    歯並びが良くなると歯磨きがしやすくなります。虫歯や歯周病の予防になり、健康寿命の延伸につながります。

  3. merit03

    自分のために時間とお金を
    使える今こそチャンス!

    ライフスタイルが落ち着いた、自分自身の健康や美容のために矯正を始める方が増えています。

Demerit

  1. demerit01

    歯や骨の状態により
    治療法が限られることも

    年齢により歯肉や骨の状態が変化しているため、使用できる矯正装置や方法に制限がある場合があります。

  2. demerit02

    既存の被せ物・ブリッジ・
    インプラントとの調整が必要

    矯正前に処置や調節が必要になることも。当院ではなるべく配慮して矯正治療を行います。

  3. demerit03

    費用が高額で
    治療を始めにくい

    矯正の必要性は感じていても、自費診療のため費用が高額になり、矯正治療へのハードルが上がります。

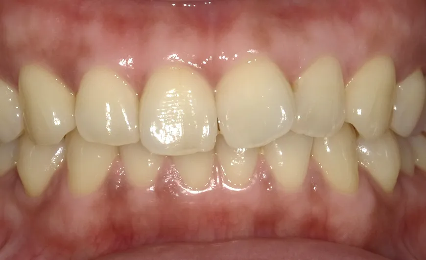
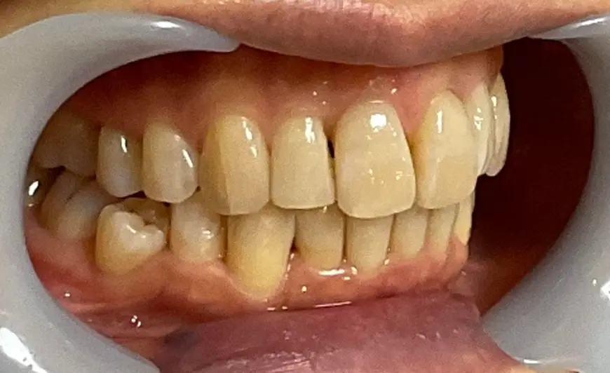
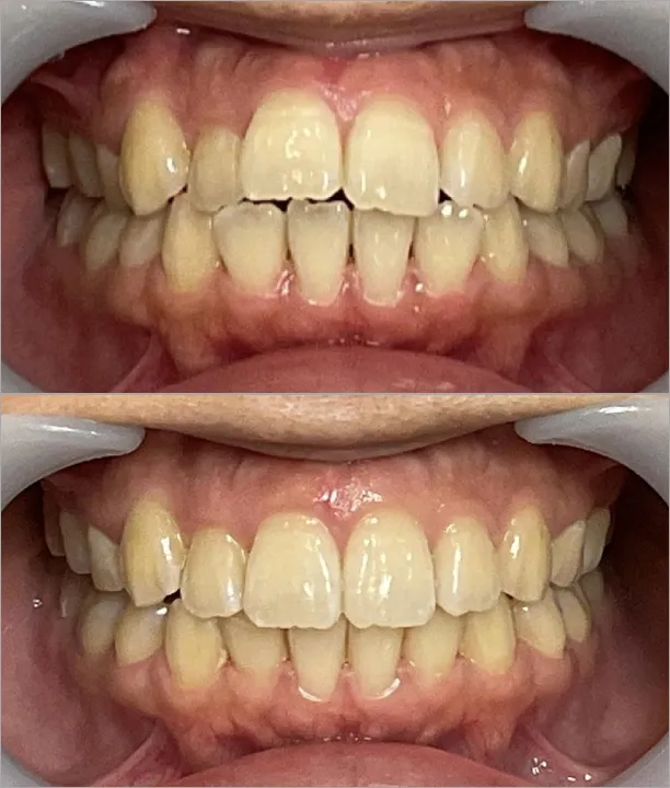
きれいな歯並びは一生の財産

当院の矯正症例をご紹介

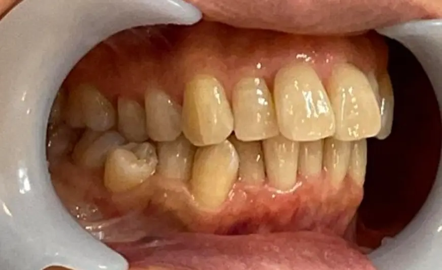
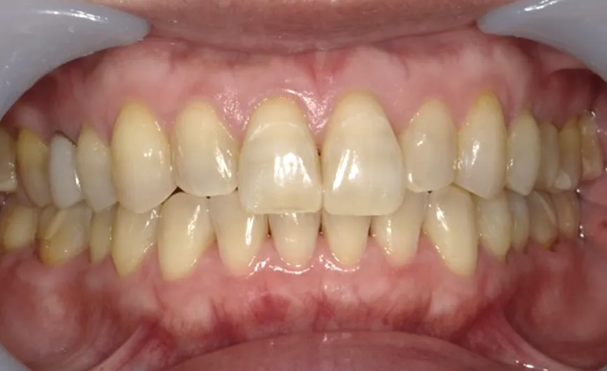
Case

  • Case01 before
    Case01 after

    Case01

    年齢・性別 48歳 女性
    主訴 噛み合わせが悪い、前歯が反対に噛んでいる。
    治療方法 インビザライン上下顎
    治療部位 全顎
    リスク 保定装置をしないと後戻りする
    治療期間 1年8ヵ月
    通院回数 8回
    治療費用 ¥1,100,000(税込)
  • Case02 before
    Case02 after

    Case02

    年齢・性別 50歳 女性
    主訴 前歯が1本ねじれている。
    治療方法 インビザラインライト
    治療部位 上顎前歯部
    リスク 保定装置をしないと後戻りする
    治療期間 6ヵ月
    通院回数 3回
    治療費用 ¥550,000(税込)
  • Case03 before
    Case03 after

    Case03

    年齢 54歳 女性
    主訴 前歯が出てきた、歯並びを綺麗にしたい。
    治療方法 インビザラインgo上下顎
    治療部位 全顎
    リスク 後戻り、ブラックトライアングル
    治療期間 9ヵ月
    通院回数 5回
    治療費用 ¥495,000(税込)
今が矯正治療のラストチャンスかもしれません

矯正治療
チャンスかもしれません

⻭や⾻の状態が安定している今こそ、矯正を始めるベストタイミングです。噛み合わせを整えることで⻭の健康を守り、⾒た⽬も若々しく清潔感のある印象になります。治療前にはリスクも丁寧にご説明し、患者さまにご納得いただいたうえで進めますのでご安⼼ください。

納得して始めるために、まずはカウンセリングでお気軽にご相談ください

納得して始めるために、
まずはカウンセリングで
お気軽にご相談ください

診療時間:10:00 ~ 13:00 / 14:30 ~ 19:00 
土曜日:10:00 ~ 19:00 休憩なし 
休診日:日曜・祝日

アンチエイジング
デンタルクリニック恵比寿が

選ばれる5つの特長

  1. Feature01

    審美的な視点から導く、
    満足度の高い矯正治療

    審美的な視点から導く、満足度の高い矯正治療

    歯並びを整えるだけでなく、歯の形にもこだわることで、より美しく自然な仕上がりを実現します。きれいな口元は、歯の先端の凹凸を均一にすることも大切なポイントです。見た目にも満足できる矯正治療を提供しています。

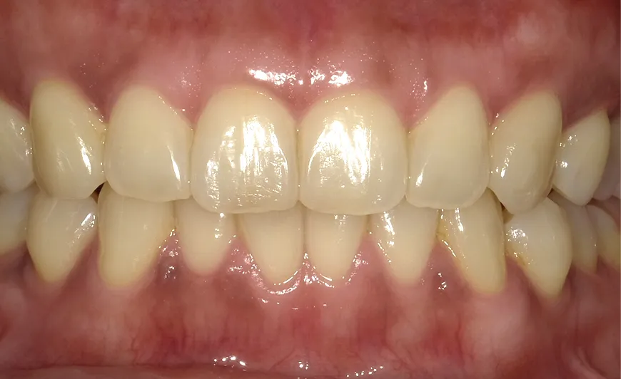
    さらに! 当院なら矯正治療後に
    歯の先端のギザギザや尖った犬歯などの
    形態修正(ティースシェイピング)
    無料で行なっています。

    矯正治療後
    矯正治療後
    形態修正後
    形態修正後

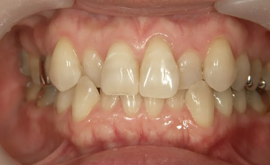
    矯正治療+形態修正の症例

    年齢 50歳
    主訴 前歯が出ている、矯正後の後戻り
    前歯が長い、ギザギザして いる
    治療方法 インビザライン上下 + 形態修正
    治療費用 ¥759,000(税込)
    治療期間 1年
    通院回数 6回
    治療のリスク・副作用 保定装置をしないと後戻りする
    形態修正のリスク・副作用 削っている時に一時的にしみるような症状を感じる事がある
  2. Feature02

    インビザラインドクターの
    女性医師が治療を担当
    定期来院時も歯科医師が診察

    インビザラインに精通した女性医師が、適切な診断と丁寧な治療を行ないます。定期的なチェックで細部までしっかり確認し、安心して治療を進めていただけるようサポートします。

    インビザラインドクターの女性医師が治療を担当 定期来院時も歯科医師が診察

    メディア実績多数

    メディア掲載実績
  3. 「恵比寿駅」徒歩2分の好立地!土曜診療にも対応した通いやすい駅近クリニック

    Feature03

    「恵比寿駅」徒歩2分の好立地!
    土曜診療にも対応した通いやすい駅近クリニック

    JR山手線・東京メトロ日比谷線「恵比寿駅」から徒歩2分と、お仕事や学校帰りに通いやすい立地です。
    土曜日も診療しているため、忙しい方でもライフスタイルに合わせて無理なくご来院いただけます。

  1. 複雑な歯並びでも、部分矯正や補助装置を活用して柔軟に対応・改善

    Feature04

    複雑な歯並びでも、
    部分矯正や補助装置を活用して
    柔軟に対応・改善

    被せ物・ブリッジ・インプラントがある場合でも、ワイヤーを用いた部分矯正や補助装置などで柔軟に対応可能です。多様な技術を駆使し、満足いただける仕上がりを目指して丁寧に治療します。

  2. 矯正治療だけじゃない!虫歯・歯周病予防もできるワンストップ診療

    Feature05

    矯正治療だけじゃない!
    虫歯・歯周病予防もできる
    ワンストップ診療

    当院は、治療から予防・メンテナンスまでトータルにサポートできる診療体制を整えています。矯正治療中も虫歯や歯周病のチェックを行ない、早期発見・治療に努めています。矯正治療と一般歯科を1つの医院で行なっているため、複数の医院を受診する必要はありません。歯の健康を守りながら、安心して治療を受けられます。

高精度の光学式口腔内3Dスキャナーを導入

高精度の光学式口腔内
3Dスキャナーを導入

3Dスキャンにより、従来の型どりに必要だった材料が不要になり、より迅速で精密な診断を実現します。

  • 簡単・精密
    スピーディー
  • 粘土のような
    歯型とり不要
  • 事前に治療を
    シミュレーション

Price

治療費

初診相談料 ¥0
矯正精密検査 診断料 ¥33,000

ワイヤー矯正

表側全顎矯正 ¥880,000〜¥990,000
前歯部分矯正
(片顎)
¥275,000~¥440,000
裏側部分矯正 ¥440,000
来院時調整料金 ¥5,500

マウスピース矯正

インビザラインエクスプレス(7枚)
追加治療1回付帯
前歯の部分矯正(軽度)
片顎 ¥385,000
上下 ¥440,000
インビザラインライト (14枚)
追加治療1回付帯
前歯や奥歯の部分矯正(軽度〜中等度)
片顎 ¥550,000
上下 ¥638,000
インビザラインモデレート(26枚)
追加治療1回付帯
前歯奥歯の中等度以上の全体矯正
上下顎 
¥825,000〜¥880,000
インビザラインコンプリヘンシブ (枚数無制限)
(前歯奥歯の中等度以上の全体矯正・難症例)
追加治療3回付帯
上下顎 
¥990,000〜¥1,100,000
  • すべて10%税込表記になっています。
  • インビザラインは自費治療です。
  • 治療開始前のご説明で、必要な費用の総額をご提示します。

矯正治療の一般的なリスク・副作用

【表側矯正】
治療期間:2~3年、治療回数:24~36回
【ワイヤー矯正(部分)】
治療期間:6ヵ月~1年6ヵ月、治療回数:6~12回
【裏側矯正】
治療期間:2~3年、治療回数:24~36回
【マウスピース矯正】
治療期間:2~3年、治療回数:24~36回
【マウスピース矯正(部分)】
治療期間:6ヵ月~1年6ヵ月、治療回数:6~12回

治療期間・回数は症状や治療の進行状況などにより変化します。
あくまで参考程度にお考えいただき、詳細は歯科医師にご確認ください。

治療にかかる総額が最初にわかる
トータルフィーシステム(総額制)

一般的な矯正歯科では、装置料や治療費に加え、月々の調整料(約5,000円)が発生するため、治療が複雑・長期化すると最終的な費用が分かりにくくなることがあります。当院では、装置料・調整料などをすべて含んだ治療完了までの総額を、治療開始前に明確にご提示しています。費用の見通しが立てやすく、安心して治療を始めていただけます。

Payment

お支払い方法

  • 現金

  • クレジットカード各種

    分割払い・
    ボーナス一括払 可

  • PayPay

  • デンタルローン

    スルガ銀行、
    新生銀行を取り扱い

クレジットカード

Dental Loan

デンタルローンお支払い

マウスピース矯正(インビザライン全顎)
実質年率3.8%の場合
月々
9,000
(総額890,000円)
ご返済回数:119回
ワイヤー矯正(全顎)
実質年率3.8%の場合
月々
7,000
(総額660,000円)
ご返済回数:113回

Deduction

医療費控除について

矯正治療は医療費控除の対象となります。

確定申告で医療費控除の申請をすることで支払った金額の一部が戻ってきます。矯正治療を行なった場合には、忘れずに確定申告で医療費控除の申請手続きをしましょう。治療にかかった費用を申告することで、税金の一部が還付され、実質的に治療費を減らすことができます。詳しくはご来院時、スタッフまでお気軽にお尋ねください。

医療費控除の申告で必要なもの
  • 確定申告書
  • 医療費控除の明細書

Flow

インビザライン治療の流れ

  • 無料相談のご予約・お問い合わせ

    STEP

    無料相談の
    ご予約・お問い合わせ

  • 無料相談デジタルシミュレーション

    STEP

    無料相談
    デジタル
    シミュレーション

  • 矯正精密検査・診断

    STEP

    矯正精密検査・診断

    ※精密検査には
    費用がかかります

  • 治療計画、結果説明

    STEP

    治療計画、結果説明

  • 治療スタート

    STEP

    治療スタート

  • 治療完了保定・メンテナンス

    STEP

    治療完了
    保定・メンテナンス

Access

アクセス

医院名 アンチエイジングデンタルクリニック恵比寿
院長 小川朗子
住所 〒150-0021 
東京都渋谷区恵比寿西1-4-1
VANDAビル2F
電話番号 03-5459-3163
診療時間 10:00 ~ 13:00 / 14:30 ~ 19:00
土曜日:10:00 ~ 19:00 休憩なし
※月曜は矯正治療以外20:00まで診療
休診日 日曜、祝日
診療時間 日・祝
10 : 00 ~ 13 : 00
14 : 30 ~ 19 : 00

△…14:30~20:00  ●…10:00~19:00(休憩なし)
休診日:日曜・祝日

  • 院内写真01
  • 院内写真02
  • 院内写真03
  • 院内写真04
  • 院内写真05
  • 院内写真06
納得して始めるために、まずはカウンセリングでお気軽にご相談ください

納得して始めるために、
まずはカウンセリングで
お気軽にご相談ください

診療時間:10:00 ~ 13:00 / 14:30 ~ 19:00 
土曜日:10:00 ~ 19:00 休憩なし 
休診日:日曜・祝日

リスク・副作用

矯正治療にともなう一般的なリスク・副作用

  • 矯正治療の一般的な治療費は60万~150万円、一般的な治療期間は2~3年、一般的な治療回数は24~36回となります。使用する装置、症状や治療の進行状況などにより変化しますので、参考程度にお考えいただき、詳細は歯科医師にご確認ください。
  • 機能性や審美性を重視するため、公的健康保険対象外の自費診療となり、保険診療よりも高額になります。
  • 最初は矯正装置による不快感、痛みなどがあります。数日から1~2週間で慣れることが多いです。
  • 治療期間は症例により異なりますが、成人矯正や永久歯が全て生えそろっている場合は、一般的に1年半~3年を要します。小児矯正においては、混合歯列期(乳歯と永久歯が混在する時期)に行なう第1期治療で1~2年、永久歯が全て生えそろったあとに行なう第2期治療で1~2年半を要することがあります。
  • 歯の動き方には個人差があるため、治療期間が予想より長期化することがあります。
  • 装置や顎間ゴムの扱い方、定期的な通院など、矯正治療では患者さまのご協力がたいへん重要であり、それらが治療結果や治療期間に影響します。
  • 治療中は、装置がついているため歯が磨きにくくなります。虫歯や歯周病のリスクが高まるので、丁寧な歯磨きや定期メンテナンスの受診が大切です。また、歯が動くことで見えなかった虫歯が見えるようになることもあります。
  • 歯を動かすことにより歯根が吸収され、短くなることがあります。また、歯肉が痩せて下がることがあります。
  • ごくまれに、歯が骨と癒着していて歯が動かないことがあります。
  • ごくまれに、歯を動かすことで神経に障害を与え、神経が壊死することがあります。
  • 治療中に金属などのアレルギー症状が出ることがあります。
  • 治療中に、「顎関節で音が鳴る、顎が痛い、口をあけにくい」などの顎関節症状が出ることがあります。
  • 問題が生じた場合、当初の治療計画を変更することがあります。
  • 歯の形状の修正や、噛み合わせの微調整を行なうことがあります。
  • 矯正装置を誤飲する可能性があります。
  • 装置を外すときに、エナメル質に微小な亀裂が入る可能性や、補綴物(被せ物など)の一部が破損することがあります。
  • 装置を外したあと、保定装置を指示どおりに使用しないと後戻りが生じる可能性が高くなります。
  • 装置を外したあと、現在の噛み合わせに合わせて補綴物(被せ物など)の作製や虫歯治療などをやり直す可能性があります。
  • 顎の成長発育により、歯並びや噛み合わせが変化する可能性があります。
  • 治療後に、親知らずの影響で歯並びや噛み合わせが変化する可能性があります。
  • 加齢や歯周病などにより、歯並びや噛み合わせが変化することがあります。
  • 矯正治療は、一度始めると元の状態に戻すことが難しくなります。