【矯正歯科】
最短3ヶ月で歯並び改善!前歯だけ・後戻りにも対応する短期間矯正
-
\ 治療相談受付中! /
矯正無料相談・審美治療相談
Last Updated on 2025年11月1日 by 小川朗子
「矯正は何年もかかる」と思っていませんか?
実は、歯を抜かずに3ヶ月〜1年以内で改善できる矯正治療もあります。
当院では、短期間×自然な口元を両立するために、
- 透明マウスピース矯正(インビザライン・インビザラインGo)
- 振動デバイス(SureSmile VPro)
を組み合わせて、早く・安全に・美しく歯並びを整えます。ここでは、短期間矯正の選択肢と向き・不向き、期間・費用の目安、症例例をご紹介します。
目次
短期間矯正が可能な理由とは?

一般的に矯正は2〜3年かかるといわれますが、近年はデジタル矯正技術や補助装置の進化により、治療期間を短縮できるケースが増えています。
当院では、単に早く動かすのではなく、
- 歯根の角度・骨格バランスを3D/AIで分析
- 無理のない力で効率的に動かす設計
を行うことで、歯や歯ぐきに負担をかけずに期間短縮を実現しています。
短期間矯正に向いている症例
- 前歯の軽度のデコボコ・すきっ歯・ねじれ
- 矯正後の後戻り
- 1本だけ出ている・引っ込んでいる前歯
- 噛み合わせのズレが小さい症例
注意:奥歯の咬合や骨格性のズレが大きい場合は、短期間矯正では対応が難しいことがあります。診断のうえ適切な治療計画をご提案します。
当院が行う3つの短期間矯正法
① インビザライン/インビザラインGo

透明のマウスピースを1日20時間装着し、段階的に歯を動かす矯正法です。
- 取り外し可能で清潔を保ちやすい/食事制限ほぼなし
- 金属不使用で目立たずアレルギーにも配慮
- 3Dシミュレーションで移動計画を可視化
治療期間の目安:
全体矯正(インビザライン):約1〜2年(症例による)
前歯限定(インビザラインGo):約3ヶ月〜12ヶ月
当院の期間短縮アプローチ:
マウスピースで苦手な移動は部分ワイヤー併用で補正/カリエールモーション+SureSmile VProで効率化/非抜歯で横顔バランスも考慮
透明で目立たない装置 マウスピース矯正のインビザラインについて
② ワイヤー矯正(部分ワイヤー/全体)
強いねじれや歯の高さ不揃いなど、上下方向の精密な移動が必要な場合に有効です。
- ねじれ・重なりの改善が速い傾向
- 上下的移動などマウスピースで難しい動きに対応
- 自分での着脱不要(装着忘れの心配が少ない)
治療期間の目安:部分矯正で数ヶ月単位の短期改善が可能なことも
③ セラミック矯正(審美補綴による即効型)
歯の形や色も同時に整えたい方には、1〜2ヶ月で仕上がる選択肢です。ただし、歯を削る必要があり、場合により神経処置の可能性もあるため、歯質保存の観点からは矯正>修復を第一選択として慎重に検討します。
症例紹介(期間・費用・リスク)
▶ インビザライン(上下全体)


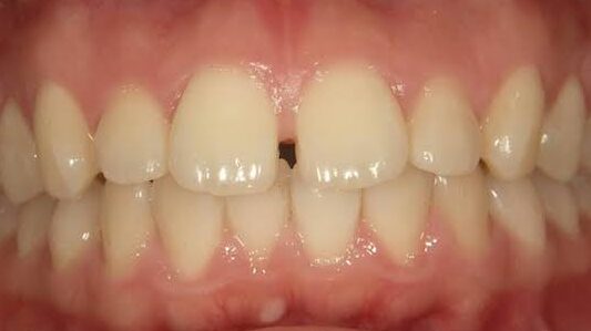
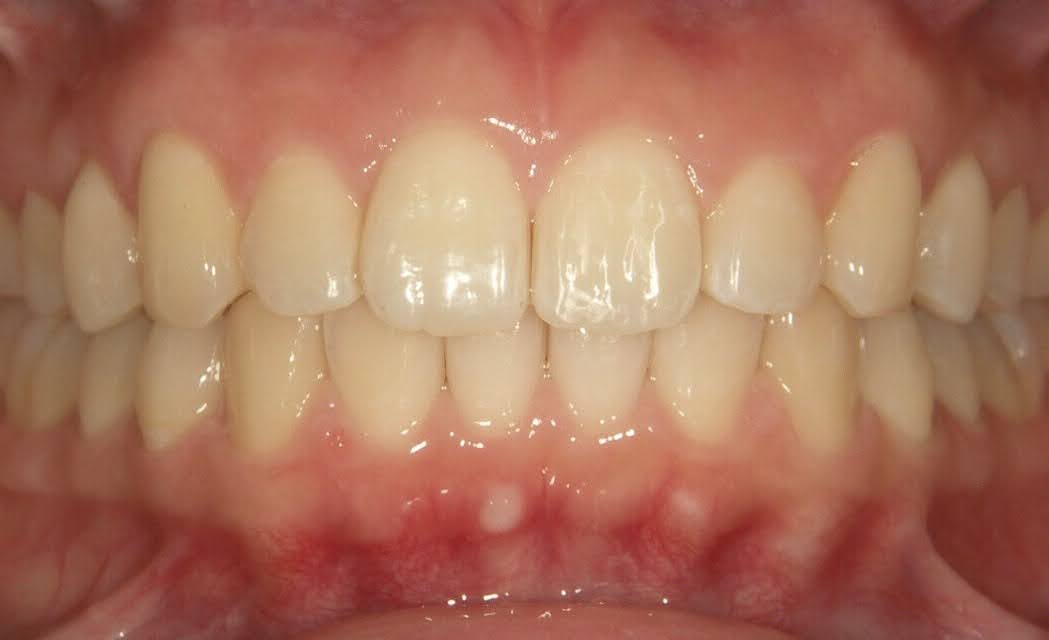
- 主訴:前歯のすき間+上下出っ歯
- 期間:10ヶ月
- 費用:¥880,000
- リスク:後戻り(保定が必要)
▶ インビザラインGo(上顎前歯のみ)


- 主訴:上の前歯のねじれ・突出
- 期間:7ヶ月
- 費用:¥440,000
- リスク:装着時間不足で期間延長の可能性
▶ 表側ワイヤー(上の前歯部分矯正)


- 主訴:前歯の高さと傾きの不揃い
- 期間:6ヶ月
- 費用:¥330,000
- リスク:装置が目立つ・保定不良で後戻り
短期間で終わらせるためのコツ
- マウスピース矯正の場合、装着時間(1日20時間以上)を厳守
- 食後・就寝前のマウスピース清掃を習慣化
- 終了後は保定装置(リテーナー)を必ず使用
- 3〜6ヶ月ごとの定期チェックを継続
当院の短期間矯正が選ばれる理由
- 非抜歯で横顔まで整える矯正設計
- マウスピース矯正×SureSmileによる期間短縮の工夫
- 3Dシミュレーションで結果を事前に確認
- 矯正・審美・咬合を院内で一貫対応(ワンストップ)
- 恵比寿駅から徒歩2分、完全予約制で通いやすい
よくある質問(FAQ)
Q. 本当に短期間で安全に終われますか?
A. 歯根・骨の状態を確認し、無理のない力で移動する設計を徹底します。急速移動は行いません。
Q. 前歯だけ治したいのですが、出っ歯も改善できますか?
A. 軽度であればインビザラインGoで横顔改善を図れるケースがあります(精密診断が必要)。
Q. 費用を抑えたいのですが?
A. 前歯限定の部分矯正なら、全体矯正の約半額(約40〜50万円)で治療可能なケースがあります。
中等度以上のガタガタの場合はワイヤー矯正で費用を抑えることができます。
当院のInstagramアカウントはこちら
-
治療相談受付中!
まずはお気軽にご連絡ください。 -
\ お電話はこちら /
⌚受付時間:10:00-13:00/14:30-19:00
-
\ 治療相談受付中! /
矯正無料相談・審美治療相談
監修者
- アンチエイジングデンタルクリニック恵比寿 小川 朗子(おがわ あきこ) 担当科目:一般歯科/専門治療 矯正歯科・点滴療法
-
1996年 鶴見大学歯学部卒業
1997年〜2006年 都内開業医勤務
2004年〜南青山デンタルクリニック副院長
2006年 アンチエイジングデンタルクリニック恵比寿開院
2007年 抗加齢医学会認定専門医取得
2015年 インビザライン認定医取得
2017年 高濃度ビタミンC点滴認定医取得
2018年 インディアナ州立大学歯学部 歯科矯正プログラム認定医取得 - 公式サイトトップへ