web予約 web予約
お問い合わせ

お問い合わせ

Web予約

Web予約

電話

お電話

歯を抜かない矯正治療 「非抜歯矯正」

当院の矯正治療について
― 抜かずに、美しく、健康に ―

当院の矯正治療について

アンチエイジングデンタルクリニック恵比寿では、できる限り歯を抜かない「非抜歯矯正」を行っています。
矯正治療の目的は、単に歯を並べることではありません。
当院では、歯並びを整えることによって “見た目の美しさ” と “噛む機能” を両立させることを重視しています。

そのために大切にしているのが、
「できる限り歯を抜かない矯正治療」です。

矯正終了後の歯並び、噛み合わせや歯周組織を可能な限り機能的にも審美的にも健康な状態を維持できるようにするためです。
健康な歯を抜かずに最大限の効果が出せるよう、努めています。

非抜歯矯正は、歯を抜かないことで噛み合わせの安定や顔貌のバランスを維持しやすく、治療後の満足度が高いのが特徴です。
ただし、すべてのケースで非抜歯が可能で適切とは限りません。当院では精密な検査・診断を行い、一人ひとりにあった最適な矯正治療方法をご提案しています。

このような歯並びは矯正治療の適応になります。

  • 前歯がガタガタしている(叢生)

    前歯が
    ガタガタしている
    (叢生)

  • 前歯が前に出ている(出っ歯)

    前歯が
    前に出ている
    (出っ歯)

  • 下の歯が前に出ている(受け口)

    下の歯が
    前に出ている
    (受け口)

  • 上下の歯が噛み合わない(開咬)

    上下の歯が
    噛み合わない
    (開咬)

  • 噛み合わせが深い(過蓋咬合)

    噛み合わせが
    深い
    (過蓋咬合)

  • 歯の真ん中と顔の真ん中が合っていない(正中の不一致)

    歯の真ん中と顔の真ん中が合っていない
    (正中の不一致)

  • 口ゴボ(上下顎前突)

    口ゴボ
    (上下顎前突)

なぜ当院は「できるだけ歯を抜かない矯正治療」を
大切にしているのか

矯正治療では、ガタガタの前歯や出っ歯の矯正の際に、歯を並べるスペースを確保するために犬歯と奥歯の間にある小臼歯を抜くことが一般的です。
しかし、小臼歯は上下左右に2本ずつあり、前歯と奥歯の橋渡しをする重要な歯で、噛み合わせや歯並びの安定に欠かせません。寿命も比較的長く残りやすい傾向があるため、当院では健康な小臼歯をできる限り温存する方針を大切にしています。もちろん、症例によっては抜歯が必要となる場合もありますが、その際も十分な診査・診断を行い、将来の口腔機能と美しい口元の調和を考えて慎重に判断しています。

歯を抜かない矯正のメリット

歯をできるだけ抜かずに矯正することで、自然な口元を保ちやすくなり、噛み合わせのバランスも維持しやすくなります。
また、ご自身の歯を守ることで、将来的に歯の寿命を延ばせる可能性もあります。非抜歯矯正は「できるだけ自然な歯を活かしたい」と考える方に適した選択肢です。

顔立ち・輪郭のバランスを保ちやすい
歯を抜かずに矯正することで、頬やあごのラインが大きく変わりにくく、ご自身の持っている自然な顔立ちを活かしながら歯並びを整えられます。
唇や口元のボリュームを自然に維持できる
前歯や口元を大きく引っ込める必要がないため、唇の厚みや立体感が自然に残ります。笑ったときの表情もやわらかく、若々しい印象を保ちやすくなります。
バッカルコリドーが生じにくい
バッカルコリドーとは、笑った時に口角と歯列の間、上の犬歯の後ろ側にできる影の部分のことです。小臼歯を抜いた場合、バッカルコリドーが目立つようになるリスクがあります。このバッカルコリドーが少ない方が健康的で華やかな笑顔に見えるため、極力ない方が良いとされています。
歯の寿命や将来的な口腔内トラブルを防ぎやすい
歯を抜かない分、残っている歯すべてが噛み合わせに参加できます。噛む力が分散され、将来的な歯の摩耗や歯周病への負担も減らせます。
治療後の“後戻り”が少ないケースもある
抜歯で大きく歯を動かした場合に比べ、非抜歯では移動距離が少なくて済むこともあり、条件によっては治療後の歯並びが安定しやすいケースもあります。歯を抜いた場合、その歯の前後にすき間が空いてくるといったリスクも避けられます。
精神的負担(抜歯の恐怖・不安)が少ない
「歯を抜くのが怖い」「できれば残したい」というお気持ちがある方にとって、抜歯しない方法は心理的な安心感があります。

ガタガタの歯や出っ歯も歯を抜かずに行えることがあります

一般的に、中等度以上のガタガタやでこぼこの歯並び、出っ歯の場合は歯を抜いてスペースを作り歯並びを治すことが多いですが、非抜歯矯正では、奥歯を後方移動させたり横に歯列を広げたり、IPRで歯と歯の間をわずかに削ってスペースを取ることで抜歯を避けられることがあります。

非抜歯矯正

抜歯が必要となるケースについて

  • ✔️歯の大きさと顎のバランスが極端に合わない
  • ✔️重度の叢生(歯の重なりが大きい)
  • ✔️上下の前歯の突出感が強い場合 など

すべての患者さまに非抜歯矯正が適しているわけではありません。
歯の大きさと顎の大きさのバランスが大きく崩れている場合や、歯の重なり(叢生)が強い場合、前歯の突出感が著しい場合などは、抜歯矯正が最適な結果につながることもあります。
当院では、メリット・デメリットを丁寧にご説明し、ご納得いただいたうえで治療方針を決定します。

矯正歯科治療のメリット

  • 口元と横顔が綺麗になる
  • 虫歯と歯周病になりにくくなる
  • 噛み合わせが良くなり、顎の関節の不調が軽減される
  • コンプレックスが解消され、笑顔に自信が持てる
  • 正しくはっきりと発音できるようになる

矯正歯科治療のデメリット

  • 矯正装置による違和感がある
  • 治療中の虫歯と歯周病リスクが高くなる
  • 矯正治療による痛みがある
  • 治療期間が長い
  • 保定装置が永年必要になる

当院の矯正歯科の特徴

アンチエイジングデンタルクリニック恵比寿では、
患者さまが安心して、効果的な矯正治療を受けられる環境を整えています。

審美性を大切にした矯正治療

当院の矯正治療は、見た目の美しさにも深く配慮しています。
単に歯を並べるのではなく、以下のような総合的な美しさの調和を大切にしています。

審美矯正における主な視点
・横顔のライン(Eライン)の美しさ
・スマイルライン(笑ったときの歯と唇のバランス)
・歯の形・色・見え方の美しさを重視
・口元の自然な膨らみや表情の印象

「笑ったときの自分に自信が持てる」それが、アンチエイジングデンタルクリニック恵比寿が目指す矯正治療です。
矯正後の歯並びをより綺麗に見せるため歯の形にもこだわり、必要な場合には形態修正を無料で行っています。

審美性を大切にした矯正治療

形態修正(ティースシェイピング)や審美治療も可能
〜形態修正で歯の形も美しく 満足度の高い仕上がりに〜

矯正治療後に前歯の形や尖った犬歯を整える形態修正を無料で行なっています。
また、銀歯を白い歯にするなどの審美治療も可能です。きれいになった歯並びをより美しく見せる技術で、ご満足頂ける治療を心がけています。

形態修正(ティースシェイピング)や審美治療も可能

包括的な歯科治療で、矯正後も
美しく健康に

当院では矯正治療だけでなく、虫歯や歯周病の予防・治療、審美治療、そして噛み合わせの安定まで、口腔全体を見据えた治療を行っています。 矯正で歯並びを整えるだけでは十分ではなく、歯ぐきや虫歯の健康状態、噛み合わせが安定していなければ長期的な美しさと機能は保てません。そのため診査・診断の段階から口腔内全体を評価し、必要に応じて治療を組み合わせています。 こうした包括的なアプローチによって、見た目と機能の両方を兼ね備えた「長く続く美しい歯並び」を実現します。こうした、歯並び・見た目・健康・噛み合わせのすべてがリンクする治療を一貫して提供できることこそが、当院の最大の強みです。

包括的な歯科治療で、矯正後も美しく健康に

完全担当医制で安心できる治療体制

当院では、矯正治療の開始から終了までを担当医が一貫して診療します。責任を持って治療を進めることで、患者さまとの信頼関係を築きながら安心して治療を受けていただけます。
また、矯正中も定期的なチェックやクリーニング(PMTC)を行い、装置による虫歯や歯周病のリスクを抑えています。治療過程での小さな不安や変化にも担当医が継続的に対応するため、安心して治療を続けられる環境です。

完全担当医制で安心できる治療体制

精密な診断──iTeroスキャナー×3D咬合分析で確かな治療計画を

光学式口腔内スキャナー「iTero Element 5D Plus」を導入しており、粘土を使用せずに正確な歯型を短時間で取得できます。
これにより、型取りのストレス軽減だけでなく、治療計画の精度も大幅に向上。3Dで現在の状態を可視化し、矯正後のシミュレーションも確認できます。
治療前に仕上がりを視覚的に把握できると安心感にもつながります。
さらに、従来よりスムーズな矯正スタートが可能になっており、スキャナー使用の場合、精密検査から治療開始まで最短2週間というスピード感も実現しています。

精密な診断──iTeroスキャナー×3D咬合分析で確かな治療計画を

最新の矯正装置──多彩な選択肢で患者さま一人ひとりに合った治療を

当院では、マウスピース矯正(インビザラインなど)、表側矯正、裏側(舌側)矯正など、さまざまな治療装置をご用意しています。
マウスピース矯正では、透明で目立たず、取り外し可能なため、審美性と生活のしやすさを両立。裏側矯正なら、周囲の目を気にせず矯正を進められます。患者さまのライフスタイルやご希望に応じて、最適な装置をご提案しています。
また、当院は マウスピース矯正のリカバリーにも対応しており、他院で満足できなかった治療結果も改善可能です。必要に応じて部分ワイヤーや補助装置を併用することで、理想的な仕上がりを目指します。

最新の矯正装置──多彩な選択肢で患者さま一人ひとりに合った治療を

患者さまのライフスタイルに合わせた
柔軟な提案

治療装置の選択や進め方についても、患者さまの「仕事」「私生活」「見た目の希望」などライフスタイルに配慮しながら提案しています。無理なく続けられる治療計画を立てることが、当院の大切にする姿勢です。

患者さまのライフスタイルに合わせた柔軟な提案

クリーニング・ホワイトニングを特別価格で提供

矯正治療中や治療後のクリーニングやホワイトニングを特別価格でご提供させて頂いております。
マウスピース矯正中、歯の着色が気になる
矯正中のPMTCクリーニング→10%OFF
矯正治療が終わったらホワイトニングがしたい!
矯正治療後のホワイトニング スーパーホワイトニング1セッション 20%オフ
¥39,600→¥31,680(税込)
※治療中も衛生的な口内環境でお過ごし頂けるよう、定期的なクリーニングをおすすめしています。ぜひご利用ください。

クリーニング・ホワイトニングを特別価格で提供

当院の矯正歯科メニュー

マウスピース矯正

マウスピース矯正

当院では、2種類のマウスピース矯正を取り扱っています。

インビザライン

インビザライン

世界的に普及しているマウスピース矯正システムです。
治療計画を3Dシミュレーションで確認でき、複雑な症例にも幅広く対応可能な機能に優れたマウスピース矯正です。
透明で目立ちにくく、快適に治療を進められます。

治療期間の短縮と快適性をサポートする最新デバイス
インビザラインを中心としたマウスピース矯正では、アライナーの適合や治療スピードが大切です。
当院では、専用デバイス 「シュアスマイルVPro」 を導入し、1日5分の使用で以下のような効果が期待できます。
・アライナーのフィット感を高める
・治療中の違和感や痛みを軽減
・治療のスピードアップをサポート
矯正をより快適に効率的に進めたい方におすすめです。
詳しくは、こちらをご覧ください。
「シュアスマイルVPro」

アソアライナー

アソアライナー

日本国内で開発されたマウスピース矯正です。比較的軽度の歯並びの改善に適しており、1セット3枚のマウスピースで患者さまのお口に合わせて製作されます。気軽に始めやすい治療方法として人気があります。
患者さまの歯並びの状態やご希望に応じて、最適なシステムをご提案いたします。

マウスピース矯正は
このような方におすすめ

  • 目立つ装置はつけられない、ワイヤー装置はつけたくない
  • できるだけ痛くない矯正方法がいい
  • 装置が見えるのは困る
  • アクティブなスポーツや楽器演奏をしている
  • 頻繁に通院ができない
  • 矯正後に後戻りした部分を直したい

メリット

  • 自分で取り外しができる
  • 目立たない
  • ワイヤー装置を付けなくて良い
  • 部分矯正〜全体矯正まで幅広く対応できる、最も機能性に優れたマウスピース矯正である

デメリット

  • 装着時間を守らないと期間が延びる、計画通りに動かない
  • 自己管理が必要
  • 骨格的な原因のある重度の歯列不正には向かない

ワイヤー矯正

ワイヤー矯正

表側矯正

歯の表面に装置を装着する従来型の矯正方法です。幅広い症例に対応でき、確実な歯の移動が可能です。目立ちにくいクリアブラケットも選択できます。


裏側矯正

歯の裏側に装置を装着するため、外からはほとんど見えません。見た目を気にせず矯正治療を行いたい方に適しています。

このような方におすすめ

  • 部分的な矯正をしたいが歯を抜かないといけないと言われた
  • できるだけ費用を抑えて早く終了したい
  • 歯の長さがそろっていない、歯が曲がっている
  • マウスピース矯正は自分にできそうもない

メリット

  • 早く動く
  • 中等度以上の歯並び不正や歯の長さが不揃いなケース、傾いている歯、なども部分的な矯正でも治すことができる
  • 装置の取り外しが必要ないため自己管理の負担が少ない

デメリット

  • 装置が目立つ(表側装置)
  • 歯の表側に装置をつけるため、厚みが出て口元が突出して見えることがある
  • ワイヤー交換のため毎月来院が必要
  • 食事の際に食べ物がつまりやすい

矯正歯科治療の流れ

精密検査(歯型取り、写真、レントゲン撮影)

初回矯正無料カウンセリング後、当院での矯正をご希望の方は精密検査を行います。レントゲン撮影、歯型取り、お顔と歯列、口元の写真を撮り、それを元に矯正治療計画を立案します。
精密検査では、虫歯や歯周病の検診、噛み合わせの状態や口腔内の補綴物、親知らずの有無等も全てチェックして、矯正前に必要な治療がある場合には治療開始時までに完了できるよう、スケジュールを組みます。

精密検査(歯型取り、写真、レントゲン撮影)

治療計画の説明

精密検査後、約1週間〜2週間ほどで治療計画が出来上がり、内容説明を行います。
マウスピース矯正の場合には、3Dシミュレーションでの画像を用いた説明を行なっています。そのほか、費用、期間、デメリットとリスク等についても詳しく説明を致します。
治療に関して、細かなことでも気になることやご不安な点があればご質問頂き、ご納得頂いた上で安心して矯正治療をスタートできるよう努めています。お話した上でご希望の修正点があれば、治療計画の変更にも対応しています。

治療計画の説明

前準備(矯正装置の準備、矯正前クリーニングなど)

治療計画が決定したら、矯正装置のオーダーを行い治療開始の準備を進めます。決定、装置のオーダー後、最短で約1週間後のスタートが可能です。
矯正前クリーニングも行なっており、装置装着前の歯石歯垢の除去は無料です。

前準備(矯正装置の準備、矯正前クリーニングなど)

矯正開始

矯正装置の装着準備が整ったら、矯正治療の開始です。
治療開始時には、治療で使用する装置や矯正治療中の注意事項、ブラッシング指導、今後の治療の流れをご説明しています。

矯正開始

保定期間

治療が終了したら、きれいになった歯並びをキープして後戻りを防ぐために保定装置の装着が必須になります。(保定装置を怠ると歯は動いて後戻りします。)
保定装置は、2〜3年間1日10時間程度、その後は、就寝時に装着して頂き永年の継続使用を推奨しています。基本的にマウスピース型の保定装置を使用し、ご希望と生活スタイルに合わせて裏側のワイヤー保定も併用することがあります。

保定期間

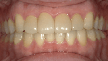
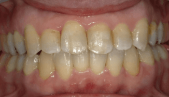
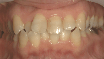
矯正歯科の症例

矯正治療×審美治療
歯並びも、歯の形も色も治してきれいな口元に!

front

Before
front/Before
矯正治療
After
front/矯正治療After
審美治療後
front/審美治療後

side

Before
side/Before
矯正治療
After
side/矯正治療After
審美治療後
side/審美治療後
矯正治療
治療方法 インビザライン矯正(非抜歯)
治療期間 1年6ヶ月
治療費用 ¥961,200(税込)
治療のリスク・デメリット 保定装置をしないと後戻りする/マウスピースの装着時間が短いと治療計画通りに動かない場合がある
審美治療
治療方法 ラミネートベニア法(前歯4本)/犬歯形態修正/セラミックインレー(銀歯の取り替え)
治療期間 2ヶ月
治療費用 ¥707,400(税込)

歯の真ん中が合っていない、歯が曲がっている(正中の不一致)

治療方法 インビザライン矯正(非抜歯)
治療期間 2年11ヶ月
治療費用 ¥968,000(税込)※モニター価格
治療のリスク・副作用 保定装置をしないと後戻りする/正中ずれを治す場合、期間がかかる/マウスピースの装着時間が短くなると治療計画通りに動かない場合がある
歯の真ん中が合っていない、歯が曲がっている(正中の不一致)の症例1 歯の真ん中が合っていない、歯が曲がっている(正中の不一致)の症例2

すきっ歯(空隙歯列)

治療方法 インビザラインマウスピース矯正(非抜歯)
治療期間 14ヶ月
治療費用 ¥990,000(税込)
治療のリスク・副作用 保定装置をしないと後戻りする
すきっ歯(空隙歯列)の症例1

すきっ歯(空隙歯列)

治療方法 アソアライナーマウスピース矯正(部分矯正)
治療期間 5ヶ月
治療費用 ¥198,000(税込)
治療のリスク・副作用 後戻り
すきっ歯(空隙歯列)の症例2

でこぼこの歯(叢生)

治療方法 表側ワイヤー部分矯正(上のみ)
治療期間 10ヶ月
治療費用 ¥434,500(税込)
治療のリスク・副作用 後戻り
でこぼこの歯(叢生)の症例1

八重歯、前歯の横の歯が1本中に入っている(叢生)

治療方法 インビザラインマウスピース矯正 (非抜歯)
治療期間 1年5ヶ月
治療費用 ¥1,001,000(税込)
治療のリスク・副作用 後戻り、歯肉退縮
八重歯、前歯の横の歯が1本中に入っている(叢生)の症例1

反対咬合(受け口)

治療方法 インビザラインマウスピース矯正(非抜歯)
治療期間 16ヶ月
治療費用 ¥990,000(税込)
治療のリスク・副作用 歯肉退縮、保定装置をしないと後戻りする
反対咬合(受け口)の症例1

矯正後の後戻り

治療方法 インビザラインマウスピース矯正
治療期間 12ヶ月
治療費用 ¥759,000(税込)
治療のリスク・副作用 保定装置をしないと後戻りする
矯正後の後戻りの症例1 矯正後の後戻りの症例2

前歯の高さが合っていない、歯が曲がっている

治療方法 表側ワイヤー矯正(上顎前歯部のみ)
治療期間 7ヶ月
治療費用 ¥324,500(税込)
※来院時調整料金¥5,500は別途
治療のリスク・副作用 後戻り
前歯の高さが合っていない、歯が曲がっているの症例1 前歯の高さが合っていない、歯が曲がっているの症例1

矯正歯科治療の料金

※表示価格は全て税込です。

インビザライン
(マウスピース型矯正装置)

インビザライン(全体矯正) ¥880,000〜¥1,100,000
インビザラインgo(前歯矯正)片顎 ¥440,000
インビザラインgo(前歯矯正)上下顎 ¥495,000

アソアライナーマウスピース矯正

アソアライナーマウスピース矯正 ¥110,000〜¥330,000

ワイヤー矯正

表側ワイヤー矯正 ¥880,000

部分矯正

前歯部分矯正(片顎) ¥220,000〜¥440,000
裏側部分矯正(片顎) ¥440,000

保定装置

保定装置 片顎 ¥22,000

矯正治療の
支払い方法について

矯正治療費のお支払いは、現金、銀行振込、各種クレジットカード、デンタルローンがご利用頂けます。
クレジットカードは規約に準じ、分割払いやボーナス一括払いも承っております。

クレジットカード、
PayPayによるお支払い

治療費については各種クレジットカード、PayPayをご利用いただけます。クレジットカードの規約に準じ、分割払いやボーナス一括払いも承っております。

creditcard-mark

デンタルローンによるお支払い

☑︎負担の少ない長期の分割払いをしたい
☑︎すぐに矯正治療を始めたいけれど資金の準備が間に合わない
☑︎まずは分割払いにして、自分の都合の良い時に繰り上げて支払いたい

などのご希望の方はデンタルローンをご検討下さい。
クレジットカードに比べて、
金利手数料が2.5%~5.0%と低いことがメリットです。
ご利用の際は、審査申し込みが必要になります。

デンタルローンについてはこちら

矯正歯科についての
よくある質問