【矯正歯科】
出っ歯がひどいとどうなる?見た目・健康・発音への悪影響と改善法を徹底解説
-
\ 治療相談受付中! /
矯正無料相談・審美治療相談
Last Updated on 2025年10月26日 by 小川朗子
「出っ歯がひどくて気になる」「口元が出て見える」とお悩みの方は少なくありません。
実は出っ歯は見た目の印象だけでなく、噛み合わせ・発音・口腔環境・全身の健康にも影響を及ぼすことがあります。
本記事では、出っ歯がひどい場合に起こる悪影響から、原因・治療法・矯正の実例までを歯科医の視点で詳しく解説します。
美しい横顔と健康的な噛み合わせを取り戻すための第一歩に、ぜひ参考にして下さい。

目次
1. 出っ歯がひどいと起こる悪影響
① 顔のバランスが崩れる・老け見えの原因に
出っ歯によって口元が前に出てしまうと、横顔のバランス(Eライン)が崩れ、いわゆる「口ゴボ」状態になります。
自然に唇を閉じにくく、口を開けたままになりやすいため、表情筋が使われず口角が下がる・ほうれい線が目立つなど、老けた印象につながります。
👉 関連記事:出っ歯の矯正で可愛くなれる?理由やおすすめの矯正を紹介
② 噛み合わせの不調による全身への影響
出っ歯がひどいと上下の歯のバランスが崩れ、片側で噛む癖や顎関節への負担が起こります。
結果として顎の痛み・肩こり・頭痛などの不定愁訴を引き起こすこともあります。
③ 咀嚼不良で胃腸に負担がかかる
前歯で食べ物を噛み切れないため、食べ物を十分に咀嚼できず、消化不良や栄養吸収の低下につながります。
噛む回数が減ることで脳の活性化も妨げられ、集中力低下などにも影響することがあります。
④ 口呼吸による口腔トラブル・口臭
出っ歯の人は唇を閉じにくく、無意識に口呼吸になる傾向があります。
口の中が乾燥しやすく、
◊虫歯・歯周病リスク上昇
◊口臭の発生
◊風邪やアレルギーの悪化
などの弊害が起こります。
また、乾燥によって歯の表面の汚れが付着しやすく、黄ばみの原因にもなります。
⑤ 発音が不明瞭になる
上の前歯が突出していると舌の位置がずれ、
「さ行」「た行」「な行」などの発音が不明瞭になりやすいです。
滑舌の悪化は、話すときの印象にも大きく影響します。
2. 出っ歯の原因
【先天的な要因】
遺伝的要素:家族に出っ歯傾向がある場合、顎骨の形態や歯の位置が似るため発生しやすい
顎の発育バランスの不調:上顎だけが前方に成長することで出っ歯になる
歯の大きさとアーチの不調和:歯が大きく顎に収まりきらない場合、歯列が前方へ押し出されやすくなる
【後天的な要因】
指しゃぶり・舌癖:舌で前歯を押す癖や指しゃぶりにより、前歯が徐々に前に出てしまう
口呼吸習慣:唇の筋肉(口輪筋)が弱まり、歯列が外方向に広がる
虫歯・歯の喪失:歯が抜けたことで隙間が生じ、歯列が前方へ移動する
楽器演奏(クラリネット・サックスなど):口からの圧力により前歯が押し出されることも
3. 出っ歯を悪化させる生活習慣・悪癖
舌を前に押し出す癖(舌突出癖)
下唇を噛む癖
指や爪を噛む癖
口呼吸
姿勢の悪さ(猫背・顎を突き出す姿勢)
これらは日常的な小さな癖でも、持続的な力で歯列を乱す原因となります。
早期に意識して改善することが大切です。
4. 重度の出っ歯の見分け方
「オーバージェット」と呼ばれる上下前歯の前後差が目安になります。
| オーバージェットの距離 | 出っ歯の程度 |
|---|---|
| 2〜3mm | 正常範囲 |
| 4〜5mm | 軽度〜中等度の出っ歯 |
| 6〜8mm以上 | 重度の出っ歯(治療推奨) |
赤の矢印の部分、上の前歯と下の前歯との前後的な距離(オーバージェット)が多いほど出っ歯度合いが大きいということになります。
5. 出っ歯の治療方法
① ワイヤー矯正
ブラケットとワイヤーで歯を正しい位置へ移動させる方法です。
細かな歯の傾きやねじれの修正に優れ、重度の出っ歯にも対応できます。
当院では、目立ちにくい白いブラケットによる審美ワイヤー矯正も行っています。
② マウスピース矯正(インビザライン)
透明で目立たず取り外し可能な装置を使って歯を段階的に動かします。
軽度〜中等度の出っ歯治療に最適で、通院回数も少なく衛生的です。
当院のインビザラインでは、
-
奥歯の位置を後方移動させることで非抜歯で改善
-
SureSmile VProを併用し治療期間を短縮
-
リテーナーによる後戻り防止
といった最新技術を導入しています。
取り外せて目立たない!透明の装置インビザラインマウスピース矯正について
③ その他の方法
外科的矯正:骨格性の上顎前突など重度の場合に適応
セラミック矯正:短期間で歯の傾きを整える方法(軽度な症例向け)
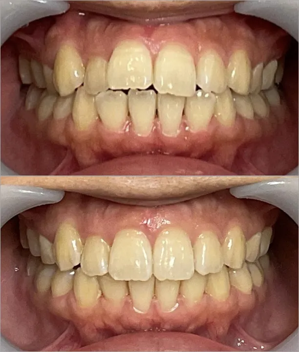
6. 出っ歯矯正の症例紹介
症例① 部分的な前歯の出っ歯をワイヤーで改善
→ 抜歯せず、6ヶ月で自然なラインに整列
治療方法:ワイヤー部分矯正/治療期間 6ヶ月
治療費用¥385000 来院時調整料金¥5500/治療のリスクデメリット:保定装置をしないと後戻りする




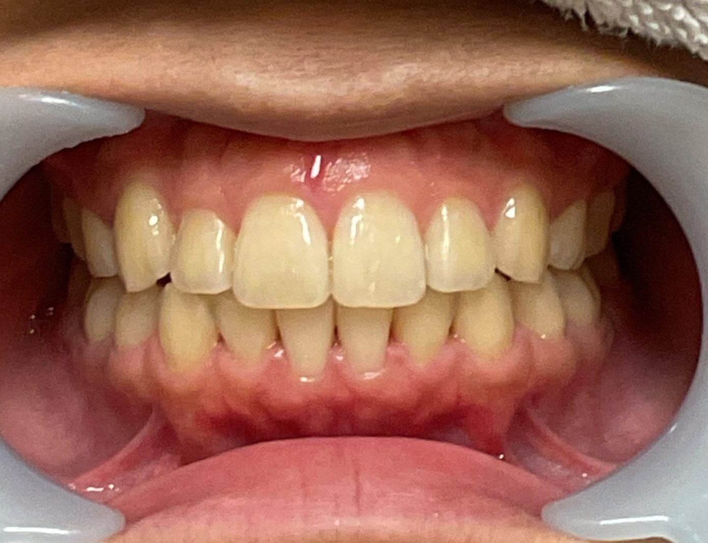
症例② 口ゴボを伴う出っ歯を全体矯正で改善
→ インビザラインで奥歯の位置を調整。非抜歯で横顔のEラインが整い、自然な口元に。
治療方法:インビザライン/治療期間:15ヶ月/治療費用¥1045000(税込)
治療のリスク・デメリット: 装着時間が短いと期間延長になる。保定装置をしないと後戻りする




症例③ 舌癖が原因の軽度出っ歯
→ 舌トレーニングを併用し、インビザラインで6ヶ月で改善。
治療方法:インビザライン/ 治療期間:6ヶ月/治療費用:¥440000(税込)
治療のリスク・デメリット:保定装置をしないと後戻りする


症例④ 矯正後の後戻りによる出っ歯
→ インビザラインで出っ歯を改善し、前歯の先端のギザギザも修正してより審美的な仕上がりに
治療方法:インビザライン/治療期間 :1年/治療費用:¥759000(税込)
治療のリスク・デメリット:保定装置をしないと後戻りする


7. 出っ歯を治すと変わる!見た目と健康の変化
出っ歯の改善によって得られる変化は次の通りです。
◊横顔(Eライン)が整い、口元がスッキリ
◊唇が自然に閉じられ、表情が若々しくなる
◊噛み合わせが安定し、全身バランスも改善
◊滑舌が良くなり、笑顔や会話に自信が持てる
出っ歯を治すことは、見た目の美しさだけでなく“アンチエイジング”にも直結します。
8. まとめ|出っ歯を治すことは「将来の自分への投資」
出っ歯がひどいと、
✖️顔のバランスが崩れる
✖️咀嚼・発音・口呼吸などの機能障害
✖️虫歯・歯周病・口臭リスク増加
といった悪影響が重なります。
歯並びを整えることで、健康面・美容面の両方を改善できるのが矯正治療の魅力です。
見た目も機能も整った“美しい横顔”は、一生の財産になります。
🦷 出っ歯でお悩みの方へ
当院では、抜歯をできる限り避けた非抜歯矯正やインビザラインを用いて、
お顔全体のバランスまで考えた出っ歯治療を行っています。
\ 無料カウンセリング受付中! /
👉 出っ歯矯正の相談を予約する
当院のInstagramアカウントはこちら
-
治療相談受付中!
まずはお気軽にご連絡ください。 -
\ お電話はこちら /
⌚受付時間:10:00-13:00/14:30-19:00
-
\ 治療相談受付中! /
矯正無料相談・審美治療相談
監修者
- アンチエイジングデンタルクリニック恵比寿 小川 朗子(おがわ あきこ) 担当科目:一般歯科/専門治療 矯正歯科・点滴療法
-
1996年 鶴見大学歯学部卒業
1997年〜2006年 都内開業医勤務
2004年〜南青山デンタルクリニック副院長
2006年 アンチエイジングデンタルクリニック恵比寿開院
2007年 抗加齢医学会認定専門医取得
2015年 インビザライン認定医取得
2017年 高濃度ビタミンC点滴認定医取得
2018年 インディアナ州立大学歯学部 歯科矯正プログラム認定医取得 - 公式サイトトップへ


