【歯科】
歯にヒビが入った・割れたら?原因と放置のリスク、治療法を専門医が解説【20代でも要注意】
-
\ 治療相談受付中! /
矯正無料相談・審美治療相談
Last Updated on 2025年11月23日 by 小川朗子

「歯にヒビが入っている気がする」「前歯の黒い線が気になる」「噛んだときに痛む」──これらは、放置すると割れやすくなるサインです。
歯のヒビは20〜30代の若い方にも多く、早期に正しい治療を行うことで歯の寿命を大きく守ることができます。
この記事では、歯のヒビの原因・放置リスク・応急処置・治療法(軽度〜重度)まで、専門医がわかりやすく解説します。
歯にヒビ?! 目に見えてわかるヒビを発見したり、「根が割れています」と診断された場合の対処法、治療法についてがテーマです。歯が欠けたり根っこが割れてしまうことは、歯科臨床では日常的に起こりえることです。
☑︎根が割れて抜かないといけないらしいんだけど、歯を残せる方法はないの?
☑︎転んで歯が欠けてしまったところをきれいに治してほしい
☑︎痛くないけれど歯の表面にヒビが入っているのはそのままでいいの?
このようなお悩みはありませんか?今回は歯にヒビが入った時、歯が割れた時の治療法、そしてその予防法についてご説明します。
神経がない歯は神経のある歯に比べると非常に脆いため割れるリスクが高いですが、神経のある健康な歯でも過度な力がかかり続けると歯の表面のエナメル質から歯の根までが真っ二つに割れてしまうこともあります。おおよそのケースでははじめは何かきっかけがあって歯の表面や内部にクラック(いわゆるヒビや亀裂のこと)が入り、その後割れてしまうという過程ですが、かなり初期の状態では内部のヒビ自体を視診やレントゲンで発見することは難しく、症状から推測しその状況に応じた治療を行い、割れている可能性が高い場合でもすぐには抜かず保存する治療で歯を残すことが多いです。
レントゲンやCTで判別をし、神経のない歯、根の治療済みの歯の場合は中を開けてみることもあります。
目次
歯にヒビが入る主な原因

歯のヒビの種類(クラックの分類)
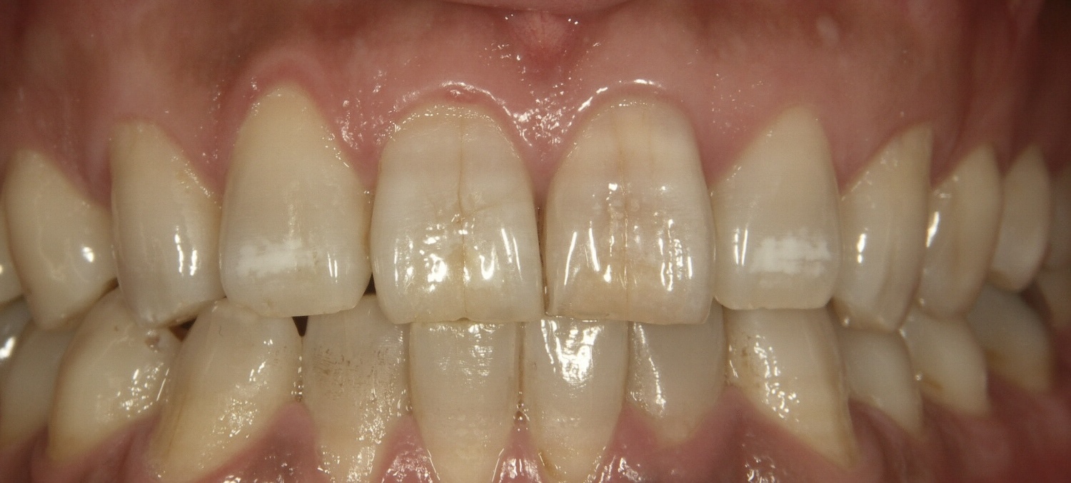
- エナメルクラック:表面の浅いヒビで痛みは少ないが、進行すると欠けやすい
- クレージング:前歯に多い細い線。審美的な問題や冷たい刺激でしみる場合も
- ディープクラック:象牙質までヒビが達する状態。痛みが出ることが多い
- スプリットトゥース:歯が縦に割れている状態。早期治療が必須
どの分類に当てはまるかで治療法が大きく変わります。
この「歯が割れる」原因には、歯自体の強度(歯周病や虫歯を放置していたなど)や治療後の状態、歯根の状況にもよりますが、多くは噛み合わせの力つまり咬合力、噛む筋力が強い場合、またはそれが過度にかかっていたことによるものです。歯ぎしりや食いしばりに起因していることも多く、神経のあるなしに関わらず、ヒビや根の破折が起こることがあります。
歯が割れたりヒビが入った場合の治療法
当院の形態修正(ティースシェイピング)
当院の形態修正(ティースシェイピング)は、エナメル質のごく表面だけを最小限に整える方法です。尖っている部分やギザギザした先端をわずかに修正して削ることで、舌に当たる違和感を減らしながら、前歯のラインが自然にそろうようデザインします。
削りすぎを防ぐために、診断後に歯の厚みや噛み合わせを確認しながら少しずつ調整します。「まずはできるだけ削らない方法から試したい」という方に向いている治療です。
▶ 当院の形態修正(ティースシェイピング)について詳しくはこちら
エナメル質表面のヒビ
ヒビの原因として、歯ぎしりや咬耗、加齢に伴うものなどがありますが、基本的に、神経がある場合のエナメル質表面の縦ヒビで、実質欠損がなく何も症状がない場合は治療自体が必要ないこともあります。表面に知覚過敏防止のコーティングをすることもありますが一時的な効果のため、臨床では症状がない場合は何もしないで経過を見ることが多いです。
しかし、ヒビの状態が目立っていて審美的な部分でのお悩みが生じる場合は歯の補強と審美性の回復を兼ねてラミネートベニアやダイレクトボンディングなどを行うこともあります。
また、エナメル質に歯のヒビが入っている方は、ホワイトニングは要注意!しみてしまうこともあるので、事前に確認してからトライしましょう。
神経のない歯でヒビが入っている場合は、今後歯が割れたり欠けることも予想されますので、歯の補強を行いクラウンなどで被せて治すことをおすすめします。
関連記事:歯が欠けた場合の治療法|治療にかかる費用や期間も紹介
接着法による歯の保存
歯や根が割れた部分を接着して保存する方法。割れた部分が粉砕していなければ接着法で保存を試みることができます。固定して周りの歯周組織の安定を図ることで痛みや出血などの症状も落ち着くこともあります。噛み合わせ調整で噛む力がかからないようにしておきます。
樹脂やセメントを使って人工的に修復、補強する
当院のダイレクトボンディングは、見た目の自然さと耐久性を両立した“審美用高品質レジン”を使用しています。
ヒビの補強・欠けの修復・変色レジンのやり直しなど、その日のうちに綺麗に仕上がる1day審美治療として多くの方に選ばれています。
色合わせは複数色のレジンを重ねるレイヤリング技法で行い、透明感・質感まで周囲の歯に自然に馴染むように調整します。
割れてしまった歯の破片が一部なくなっている場合(軽度)にセメントやレジンなどの材料で補強します。前歯でしたら、審美性の良い材質で直します。かなり大きく欠けてしまっている場合にはセラミックやジルコニアなどの強度と審美性のある材質で修復します。
接着法を行いつつ神経を取り歯は抜かずに保存
神経のある歯で割れてしまっているが歯の根は保存できそうな状況であれば感染した歯髄を取って(神経を取る処置)歯は抜かずに保存療法を行います。
抜歯
歯の根が縦や横、根の先まで完全に割れてしまっている場合は多くの場合抜歯になります。その歯全部を抜く場合や、割れた根だけを部分的に抜いて歯は残す分割抜歯法になるかは、状況に応じての判断です。また、歯の根の周りの骨が極度に溶けてなくなっている場合には同じく早めの抜歯が必要になります。
歯の根元まで割れてしまった場合は元通りにならない
ちなみに、歯の根まで割れてしまった場合は、どんな方法で行っても完全に元通りの歯にはならないので、保存処置=延命処置という意味合いで受け止めて頂くようになります。これは、個人差が大きく1年以内で抜歯になるケースもありますし、数年以上、歯としての機能を果たし経過している方もいらっしゃいます。どれだけの期間、延命ができるかの保証はできませんが現状でやるべき精一杯の処置を行い極力長期的に安定するように努めるしかなく、経過を見てそれでもダメになった場合には抜歯をして噛む機能を回復させる治療に進むしかありません。
ケース1:真っ二つに割れた場合
抜歯になった場合には、その後はインプラントまたはブリッジ、義歯のいずれかで歯のない部分を回復する治療になります。
ケース2:根が割れて炎症を起こしている場合
痛みなどの症状がなく、噛んで支障が起きていないなら延命に努めます。もし、ダメになった時にインプラントを検討されているなら、炎症が大きくならないうちに(骨がなくならないうちに)抜歯した方がいい場合もあります。
ケース3:転んで歯が折れた場合
歯が割れないようにするための予防法、処置法
歯にヒビがが入らないように、できれば歯を抜かずに過ごせたらと思いますよね。どうしたら歯が割れないようにできるのか?歯を守れるのか?予防策はありますので、以下を参考にしてまずはできること、必要な処置を行いましょう。
とくに噛む力や顎の筋力が強い方、噛み癖、食いしばり癖のある方、硬い食べ物が好きな方は歯が割れる可能性が高いので、そうならない前に予防策を取ることがとても重要です。
神経を取った後の歯は土台で補強をする
神経を取った後は、時間と共に脆くなり歯の強度を失います。ですので、通常は歯を補強するために土台を入れて被せる治療を行います。歯の土台には、根が割れにくいグラスファイバーの心棒を入れ、周りを樹脂で固めるというファイバーコアがおすすめです。色も白いため、クラウンの種類がオールセラミックや保険治療のCADCAM冠などであっても、また、歯肉の境目が黒くならずにきれいに仕上がります。銀の土台は、金属アレルギー発症の原因になることもあり、硬すぎて根が割れることも起こりうるため、現在は土台=グラスファイバーが臨床で用いられます。
クラウンやアンレーなど被せて補強する
同じく神経を取った歯には、歯の部位や歯質の残存量によっても判断は変わりますが土台を入れた後にクラウンやアンレーなどの被せ物で歯を補強して歯が折れたり割れたりしないようにします。
噛み合わせの調整
これは神経のあるなしに関わらずどんな治療の後にも必要不可欠なことですが、奥歯や前歯など天然歯との調和を図るため、そしてその歯にかかる咬合圧の調整をすることがとても重要です。
マウスピースを作る
歯ぎしりや食いしばりの癖がある方やセラミックの歯が入っている方には必須!一度でも歯が欠けてしまったことがあったり、歯の根が割れた経験のある方は使って頂きたいと思います。
ボトックス注入療法
咬筋そのものの力を弱める方法です。歯が割れるリスクの高い方、例えば、咬筋が張っている、顎の筋力が強い、トレーニングをしている方、食いしばり歯ぎしりをしている方で、マウスピースだけではリスクを避けるのには足らないような場合に行います。
食べている時以外、できるだけ歯同士を噛み合わせない
踏ん張る時や夢中で何かをしている時、集中している時、歯を噛み締めたり歯を触れた状態にありませんか?歯同士が触れている時間は1日に17分~20分程度と臨床では言われていますが、噛み締め癖や歯列接触癖がある方は必要以上に歯をくっつけていて、これが何かと歯のトラブルを招く原因になっているのです。そのような癖のある方は、できる限り意識して歯を触れ合わせない、舌で上顎を押して歯と歯の間に空間を作るようにしてください。意識すれば次第に治ってきます。
歯の割れやヒビにお悩みの場合は、当院にご相談ください
治療もご自身で気をつけられることも、可能な限りやれるだけのことをやってみる。当院ではそのような考え方で患者さんとよくお話ししながら治療を行っています。 その状況により様々な治療法がありますので、お悩みの方はご相談ください。
当院のInstagramアカウントはこちら
-
治療相談受付中!
まずはお気軽にご連絡ください。 -
\ お電話はこちら /
⌚受付時間:10:00-13:00/14:30-19:00
-
\ 治療相談受付中! /
矯正無料相談・審美治療相談
監修者
- アンチエイジングデンタルクリニック恵比寿 小川 朗子(おがわ あきこ) 担当科目:一般歯科/専門治療 矯正歯科・点滴療法
-
1996年 鶴見大学歯学部卒業
1997年〜2006年 都内開業医勤務
2004年〜南青山デンタルクリニック副院長
2006年 アンチエイジングデンタルクリニック恵比寿開院
2007年 抗加齢医学会認定専門医取得
2015年 インビザライン認定医取得
2017年 高濃度ビタミンC点滴認定医取得
2018年 インディアナ州立大学歯学部 歯科矯正プログラム認定医取得 - 公式サイトトップへ