【審美歯科】
歯が欠けた場合の治療法|治療にかかる費用や期間も紹介

歯が欠けた!原因と治療法|前歯も奥歯も審美的に自然に治すには?
「前歯が少し欠けた」「食事中にパキッと音がした」…そんなとき、鏡を見てショックを受けると同時に、「これって勝手に治る?」「治療費はいくらかかる?」と不安が尽きないはずです。
実は、歯が欠ける原因は衝撃だけでなく、日々の「食いしばり」や「過去の治療箇所の劣化」など、自分では気づきにくいサインであることも多いのです。
この記事では、年間多くの審美修復を手掛ける歯科医師の視点から、「欠け方別の最適な治療法」と「後悔しない素材選び」について、費用や期間を交えて詳しく解説します。あなたの不安を解消し、欠ける前よりも美しい口元を取り戻すヒントにしてください。
【お急ぎの方へ】まずは状況を確認しましょう
- 痛みがある、しみる:神経まで達している可能性があります。早急な処置が必要です。
- 見た目をすぐ治したい:最短1日で終わる「ダイレクトボンディング」が適応かもしれません。
- 何度も欠けている:噛み合わせに根本原因がある可能性があります。
目次
歯が欠ける4つの原因|なぜ自分の歯は欠けたのか?
歯が欠けるのは偶然ではありません。原因を特定することで、治療後の「再発」を防ぐことができます。
1. 外傷・衝撃による欠け
転倒、スポーツ、硬いものを噛んだ衝撃など。前歯に多く見られます。表面だけでなく、歯の根っこ(歯根)にひびが入っていないか精査が必要です。
2. 虫歯による内部からの崩壊
一見問題なさそうに見えても、歯の内側で虫歯が進行し「空洞」になっていると、噛む力に耐えきれず突然パキッと欠けてしまいます。この場合、虫歯治療も並行して行う必要があります。
3. 噛み合わせや「片噛み」の癖
特定の歯にだけ強い力が加わり続けると、金属疲労のように歯が脆くなります。特に「以前治療した場所の隣」が欠ける場合は、噛み合わせのバランスが崩れているサインです。
4. 歯ぎしり・食いしばり(ブラキシズム)
現代人に最も多い原因です。寝ている間の食いしばりは、体重の数倍の圧力が歯にかかります。これにより歯の先端が削れたり、エナメル質が剥がれ落ちたりします。
歯の表面(エナメル質)が失われると、象牙質が露出します。そこから細菌が入り込むと、数ヶ月で神経が死んでしまうことも。痛みがないからと放置せず、早めの相談が「自分の歯を残す」唯一の道です。
【欠け方別】審美的に自然に治す治療ガイド
私たちは、単に穴を埋めるだけの治療は行いません。天然歯の「透明感」や「色のグラデーション」を再現し、「どこを治したかプロが見ても分からない」仕上がりを追求しています。
● 小さな欠け(前歯の間など)
治療法:ダイレクトボンディング(自費)
歯科用プラスチック(高精度レジン)を直接歯に盛り付けて形を整える手法です。型取りが不要なため、最短即日で治療が完了します。
- メリット:歯を削る量が極めて少ない。1日で終わる。
- 費用:33,000円〜44,000円(税込)
- 期間:1日
● 中程度の欠け(奥歯や、範囲が広い場合)
治療法:ジルコニアインレー / アンレー(自費)

欠けた部分を形成して光学式スキャナーで読み取り、精度の高いジルコニアセラミックの詰め物を作製します。保険の銀歯と違い、強度や耐久性に優れ、汚れ(プラーク)が付きにくく二次虫歯のリスクを大幅に下げられます。
- メリット:奥歯でも欠けにくく耐久性が高い。変色せず、長期的に安定。
- 費用:92000〜96000円(税込)
- 期間:2回(約1〜2週間)
● 大きな欠け(神経に近い・広範囲)
治療法:ジルコニアセラミッククラウン(自費)

歯を全体的に被せる方法です。ジルコニアなどの高強度素材を使用することで、強い力がかかる奥歯や、見た目が重要な前歯を美しく守ります。
- メリット:強度が高く、歯の形や並びも同時に整えられる。
- 費用:110,000円〜(使用する材質による)
- 期間:2〜3回
重度の破折(歯が割れた)場合の選択肢
「パカッと真っ二つに割れた」「根元から折れた」という場合は、保存できるかどうかの瀬戸際です。

※歯ぎしりによって根元から割れてしまったケース。放置すると周囲の骨まで溶かしてしまいます。
■ 歯を残せる場合:精密な土台(コア)を立て、被せ物で補強します。
■ 抜歯が必要な場合:抜歯後は、以下の3つの方法で機能と見た目を取り戻します。
- インプラント:隣の歯を削らず、自分の歯のように噛めます。
👉 インプラント治療の詳細 - ブリッジ:両隣の歯を支えにして橋渡しをします。
- 審美義歯:金属バネのない、目立たない入れ歯です。
実際の治療症例|審美歯科でここまで変わる
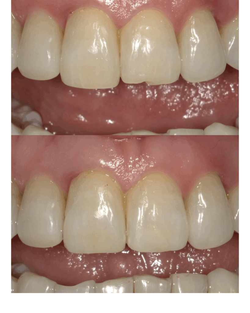
症例1:前歯の先端が欠けた(ダイレクトボンディング)
先端がわずかに欠けたケース。数種類のレジンを層状に重ねることで、天然歯特有の透明感を再現しました。



- 費用:¥33,000(税込)
- リスク:欠けやすいため、硬いものや前歯を使う食べ物には注意が必要。
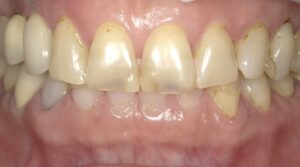
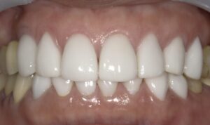
症例2:広範囲の欠け・変色(ラミネートベニア)
欠けだけでなく、表面のザラつきや色も気になる場合は、薄いセラミックを貼り付けるラミネートベニアが最適です。


- 費用:13本¥2118680(税込)
- リスク:歯を削る必要がある。歯ぎしりや食いしばりで欠けたり取れることがある。
予約・お問い合わせ
歯が欠けた状態は、見た目以上に歯にとってダメージが大きい状態です。当院では「まずは相談だけしたい」というセカンドオピニオンも受け付けております。
以下のフォームより、24時間いつでも空き状況の確認・予約が可能です。
よくある質問Q&A
Q. 保険のプラスチックと、自費のダイレクトボンディングは何が違いますか?
A. 最も大きな違いは「経年劣化」と「審美性」です。保険の材料は数年で変色し、水分を吸って脆くなりますが、自費で使用するセラミック成分配合のレジンは変色しにくく、天然歯と見分けがつかない仕上がりが可能です。
Q. 欠けた歯の破片は持っていったほうがいいですか?
A. はい、お持ちください。欠けた部分の状況を確認して治療のご提案ができます。
Q. 忙しくてなかなか通えないのですが、1回で治りますか?
A. 範囲が小さければ、ダイレクトボンディングによって1回の来院で治療を完了させることができます。まずは一度、最短期間での治療を希望される旨をご相談ください。
まとめ|欠けた歯を放置せず、理想の口元へ
歯が欠けたときは、身体が発している「これ以上放置しないで」というサインかもしれません。小さな欠けを放置した結果、将来的に抜歯になってしまうのは非常に惜しいことです。
審美歯科での治療は、単に機能を回復するだけでなく、「欠ける前よりも自信を持って笑える歯」を手に入れるチャンスでもあります。当院では患者様のご予算や期間、ライフスタイルに合わせた最適なプランをご提案します。まずは、ご相談ください。
当院のInstagramアカウントはこちら
-
治療相談受付中!
まずはお気軽にご連絡ください。 -
\ お電話はこちら /
⌚受付時間:10:00-13:00/14:30-19:00
-
\ 治療相談受付中! /
矯正無料相談・審美治療相談
監修者
- アンチエイジングデンタルクリニック恵比寿 小川 朗子(おがわ あきこ)
-
1996年 鶴見大学歯学部卒業
1997年〜2006年 都内開業医勤務
2004年〜南青山デンタルクリニック副院長
2006年 アンチエイジングデンタルクリニック恵比寿開院
2007年 抗加齢医学会認定専門医取得
2015年 インビザライン認定医取得
2017年 高濃度ビタミンC点滴認定医取得
2018年 インディアナ州立大学歯学部 歯科矯正プログラム認定医取得
2018年 著書「若さを取り戻す歯のエイジングケア」出版 - 公式サイトトップへ