【審美歯科】
前歯の詰め物をきれいに治す方法|欠けた前歯・詰め物跡・白くしたい方へ
Last Updated on 2026年1月4日 by 小川朗子
前歯の詰め物をきれいに治す方法|欠けた前歯・詰め物跡・白くしたい方へ

前歯の詰め物(レジン)が欠けた/変色して虫歯みたいに見える/詰め物跡の境目が目立つ——前歯は視線が集まりやすい分、わずかな違和感でも気になりますよね。
実はこのお悩み、単に「白く埋めればOK」ではなく、欠け方・範囲・歯の色・神経の有無・噛み合わせ(食いしばり)で最適解が変わります。合わない方法を選ぶと、数年で再び欠けたり境目に着色がつきやすくなったりして「やり直し回数」が増えることも。
この記事では、「前歯 詰め物」「前歯 欠けた 治療方法」「前歯 白くする」の疑問に答えながら、当院で行っている“自然に見えて長持ちしやすい”前歯審美治療の考え方を、症例写真とともに分かりやすくまとめます。
こんな方はご相談ください
・前歯の詰め物が欠けた/欠けた部分をきれいに直したい
・詰め物が黄ばんで虫歯に見える/境目が黒っぽい
・詰め物跡がはっきり分かり、写真や会話で気になる
・できれば歯を削る量を抑えつつ、自然な白さにしたい
・やり直すなら、次は“後悔しない治療”にしたい
目次
前歯の詰め物が目立つ・欠ける主な原因
前歯の詰め物トラブルは、次のような理由で起こります。
- 経年劣化(着色・ツヤ低下):レジンは数年で表面性状が変わり、黄ばみやすくなります
- 段差・不適合:境目に汚れや色素が入り、線状に目立つことがあります
- 噛み合わせ/食いしばり:前歯に負担がかかると欠け・脱離が起きやすくなります(夜間の歯ぎしりも含む)
- 内部の虫歯:詰め物の内側で進むと、黒く見えたり再治療が必要に
- 歯そのものの色:変色歯・神経のない歯は、詰め物だけでは色が合いにくい場合があります
だからこそ当院では、見た目だけでなく「欠けにくい設計」「色が浮かない合わせ方」「やり直し回数を減らす治療計画」を重視します。必要に応じて噛み合わせのチェックや、歯ぎしり・食いしばり対策も含めてご提案します。
前歯の詰め物をきれいにする方法は3つ
前歯の詰め物跡を目立たなくする代表的な方法は、次の3つです。どれが正解というより、症状とゴール(白さ・自然さ・耐久性)で選びます。
結論だけ先に(選び方の目安)
・欠け/詰め物が小さい → ダイレクトボンディング
・詰め物範囲が大きい/色や形も整えたい → ラミネートベニア
・神経がない歯/変色が強い/歯を補強したい → セラミッククラウン
1)ダイレクトボンディング法
自費の高品質レジンで、色や透明感を調整しながらその場で形を作る方法です。短時間で終わりやすく、削る量も比較的少ないため「まずは自然にしたい」「ダウンタイムを短くしたい」方に向きます。
前から見たときに詰め物の範囲がおおよそ1/5〜1/4程度であれば、審美的に改善できるケースが多いです。範囲が1/3以上の場合は、仕上がりの安定や長期的な美しさを考えて、ベニアやセラミックも一緒に比較検討します。
注意点として、レジンはセラミックに比べて数年で表面劣化や着色が起こりやすい素材です。「入れた瞬間のきれい」を長く保つには、定期メンテナンスと噛み合わせ管理が大切です。
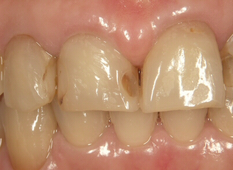
症例1 ダイレクトボンディング法
治療期間 1日 治療費用¥33000✖️2本 治療のリスク・デメリット 欠けることがある



2)ラミネートベニア法
歯の表面を薄く整え、セラミックの薄いシェルを貼って仕上げる方法です。詰め物範囲が大きい/先端が欠けている/表面の質感や色、形も整えたい——といったケースに適しています。
歯を削る量がごくわずか(0.5~1mm程度)裏側は自分の歯が残せるため、違和感が少ないことや侵襲を抑えつつ、セラミックの美しさ(透明感・ツヤ・均一感)を得られるのがメリットです。セラミック自体は材質上の経年劣化がほぼないため、適切なケアで美しさが続きやすいのも特長です。
「前歯を白くしたい」方は、治療の前にホワイトニングで周囲の歯を明るくし、その色に合わせてベニアを作製するケースも多いです(白すぎず自然に、も可能です)。
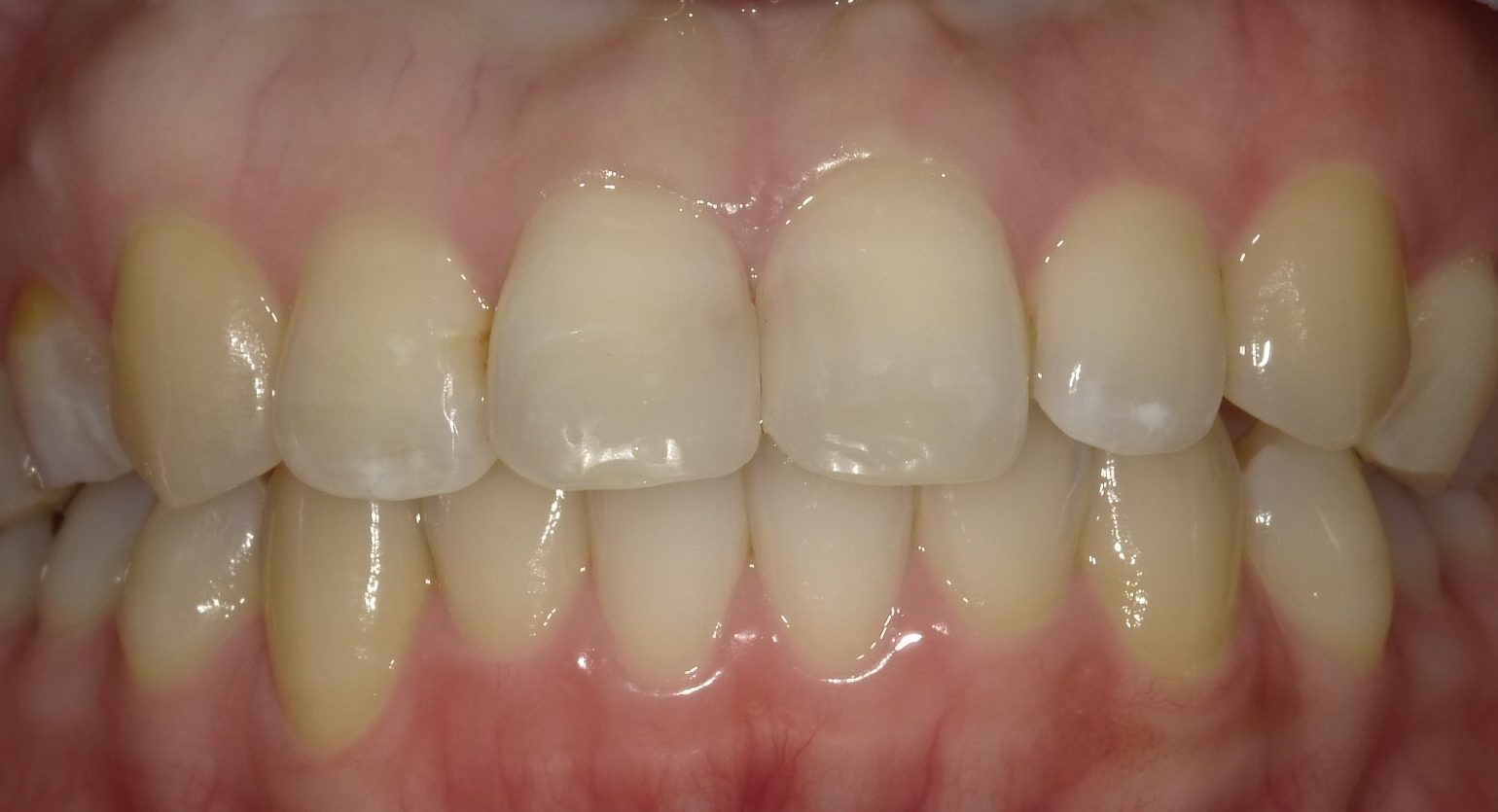
症例3 ラミネートベニア法 3本
治療期間 1ヶ月(通院回数3回)治療費用総額 ¥485100 治療のリスク・デメリット 歯ぎしりや食いしばりで欠けることがある




3)セラミッククラウン法
ダイレクトボンディング・ラミネートベニアは主に「神経のある歯」に適応する方法ですが、セラミッククラウンは神経がない歯や変色が強い歯、また歯を補強しながら審美性を回復したいケースで最適な選択肢になります。
神経のない歯は、年数が経つほど脆くなり、ヒビや破折のリスクが上がります。そのため当院では、状態を確認したうえで土台(コア)で補強+セラミッククラウンを基本戦略として考えます。「削ること」だけを見ると抵抗や不安があるかもしれませんが、神経のない歯の場合は、長期的に見て削るデメリットよりも補強して守るメリットの方が高くなります。
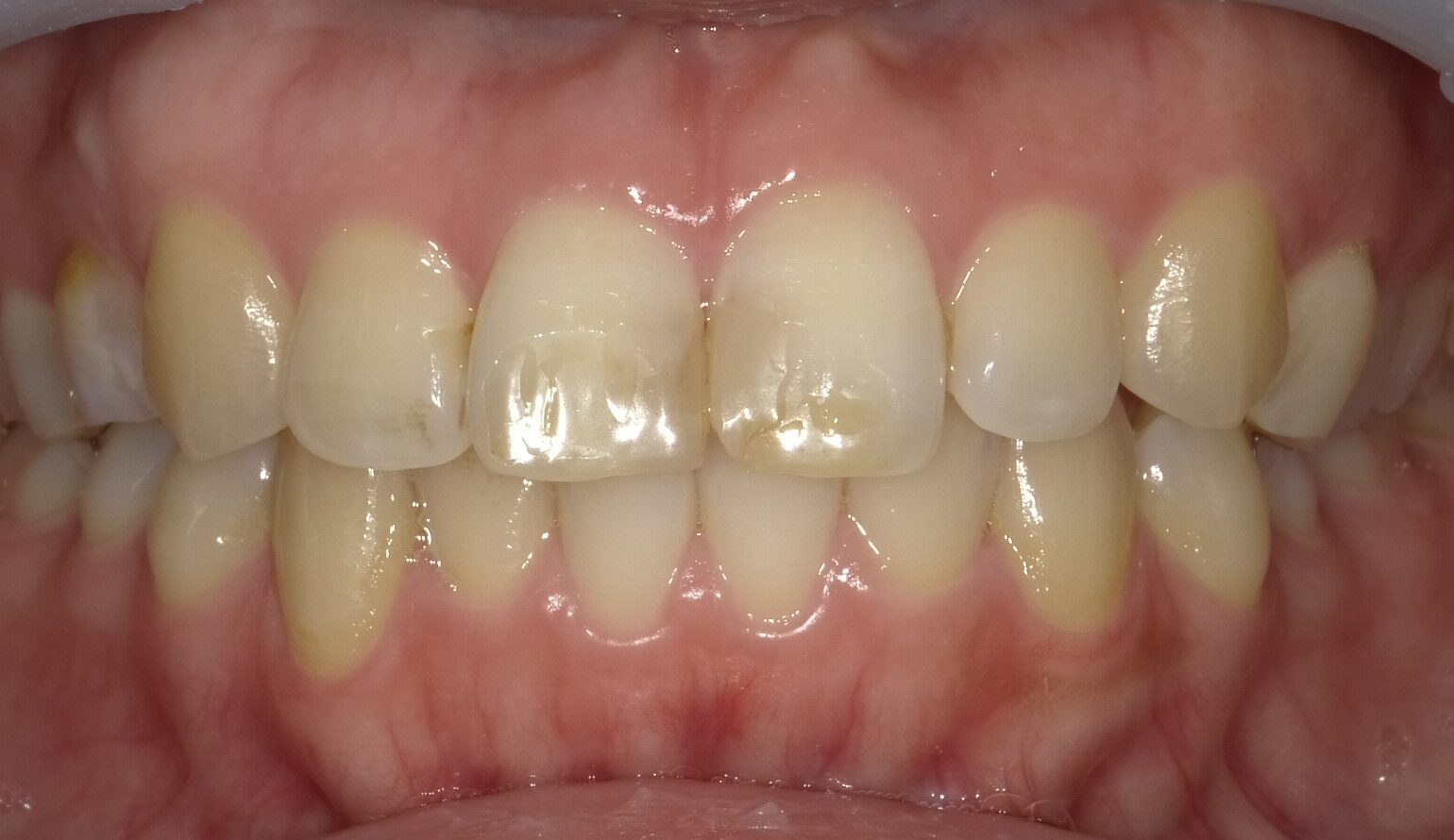
症例4 セラミッククラウン法(ジルコニアセラミックを使用)4本
治療期間 3ヶ月 治療費用総額¥635800(税込) 治療のリスク・デメリット 歯を削る必要がある。神経のある歯は、一時的に知覚過敏が出ることがある。

当院が重視する「前歯をきれいにする」3つの基準
前歯の治療は、白くするだけでは完成しません。当院では次の3つを軸に、清潔感・上品さ・自然さが出る設計を行います。
- ① 色合わせ(白さだけでなく透明感まで):周囲の歯に馴染む色、白すぎない上品な色を意識して色合わせを行います。色調は型取り時に確認しながら進めますので心配ありません。写真写りや光の透け方も考慮します。
- ② 形の設計(口元の印象=若々しさ):先端のライン、左右差、笑ったときの見え方を整え、口元の清潔感を引き上げます。
- ③ 噛み合わせ・食いしばり管理(長持ちの鍵):欠けの再発を防ぐため、必要に応じて噛み合わせ調整やマウスピース提案も行います。
「入れて終わり」ではなく、入れた後の安定まで含めて治療計画を立てることが、結果として“やり直しの少ない審美治療”につながります。定期的なクリーニング・メンテナンスも大切です。
よくある質問(FAQ)
Q. 前歯の詰め物が欠けたら、すぐ治した方がいいですか?
A. はい。欠けた部分から着色や虫歯が進むことがあります。欠けの大きさに関わらず、早めの診断がおすすめです。
Q. 前歯の詰め物の境目が黄ばんだり黒く見えるのはなぜ?
A. レジンの経年劣化・段差・着色(コーヒー/紅茶/赤ワイン等)が主な原因です。範囲や色調によっては、ダイレクトボンディングやベニアの方が自然に仕上がることがあります。
Q. 「前歯を白くする」なら、詰め物のやり直しとホワイトニングはどちらが先?
A. 多くの場合は、先にホワイトニングで周囲の歯の色を整え、仕上がりの色に合わせて詰め物・ベニア・セラミックを作ります。希望の白さ(真っ白/ナチュラル)によって順番が変わるため、診断時に一緒に決めていきます。
Q. ダイレクトボンディングはどれくらい持ちますか?
A. 噛み合わせ・食いしばり・ケア状況で個人差があります。一般的にレジンは1〜3年で着色しやすくなるため、長くきれいに保つには定期メンテナンスが重要です。より長期安定を求める場合はベニア/セラミックも選択肢になります。
Q. 治療は痛いですか?
A. 神経のある歯はどのような処置でも麻酔をして無痛下で治療を行いますので、治療中に痛いことは通常はありません。治療後に一時的な知覚過敏が出ることもありますが、多くは経過とともに落ち着きます。
まとめ|前歯の詰め物は「自然さ」と「長持ち」の両立が大切
前歯の詰め物をきれいにする方法は、主にダイレクトボンディング/ラミネートベニア/セラミッククラウンの3つです。大切なのは、いまの状態に合う方法を選び、色・形・噛み合わせまで含めて設計すること。
当院では、見た目の改善だけでなく、将来の欠け・やり直しを減らすために、必要に応じて噛み合わせ・歯ぎしり対策やメンテナンスまで含めてご提案しています。前歯の詰め物跡が気になる方は、お気軽にご相談ください。
前歯の審美治療について詳しくはこちら
ダイレクトボンディングについてはこちら
▶ ご予約・ご相談はこちら
当院のInstagramアカウントはこちら
-
治療相談受付中!
まずはお気軽にご連絡ください。 -
\ お電話はこちら /
⌚受付時間:10:00-13:00/14:30-19:00
-
\ 治療相談受付中! /
矯正無料相談・審美治療相談
監修者
- アンチエイジングデンタルクリニック恵比寿 小川 朗子(おがわ あきこ)
-
1996年 鶴見大学歯学部卒業
1997年〜2006年 都内開業医勤務
2004年〜南青山デンタルクリニック副院長
2006年 アンチエイジングデンタルクリニック恵比寿開院
2007年 抗加齢医学会認定専門医取得
2015年 インビザライン認定医取得
2017年 高濃度ビタミンC点滴認定医取得
2018年 インディアナ州立大学歯学部 歯科矯正プログラム認定医取得
2018年 著書「若さを取り戻す歯のエイジングケア」出版 - 公式サイトトップへ