【矯正歯科】
前歯の形を整える方法|削らない・自然な仕上がりにこだわる審美治療
Last Updated on 2025年11月6日 by 小川朗子
前歯の形を整える方法|削らない選択肢から短期仕上げまで【症状別・費用】

「犬歯が尖って見える」「前歯の先端がギザギザ」「すきっ歯が気になる」「前歯が長い/短い」「歯が欠けた」――
見た目の“形”の悩みは、実は短期・低侵襲で整えられるケースが少なくありません。
本記事では、症状別の対処法と治療別の選び方、回数・費用目安、当院(恵比寿)の症例をまとめました。
目次
歯の形が乱れる主な原因
先天的・遺伝的要因
- 矮小歯:通常より幅が細い前歯で、すき間が目立ちやすい
- 癒合歯/癒着歯:2本がくっつき幅広に見える、形が特異
- 空隙歯列(すきっ歯):歯と顎の大きさの不調和が背景
後天的・生活習慣の要因
- 歯周病:歯槽骨の吸収で位置/形が乱れる
- 歯ぎしり・食いしばり:過度の力で先端が摩耗・欠け・段差
- 加齢による咬耗:先端がすり減り長さ・エッジが不揃い
症状別:前歯の形を整えるおすすめ治療
犬歯が尖っている/先端のラインが不揃い
- 形態修正(ティースシェイピング):エナメル質の範囲で微調整。
回数1回/費用1歯¥11,000〜¥33,000(税込)
前歯が長い/短い・歯ぐきとのバランスが悪い
- 歯肉形成+セラミック/ベニア:長さ・形・色を総合調整。
回数1〜3ヶ月/費用目安クラウン1歯¥143,000〜(税込) - 矯正治療:歯そのものの位置を変える根本的治療。歯を削らずに歯の上下的位置を変えられる。期間5ヶ月〜1年/費用目安 ¥330000〜¥550000(税込)
- 形態修正:歯の長さをエナメル質の範囲0.2mm〜1.0mm程度で整える。
すきっ歯を埋めて整えたい
- 部分矯正(マウスピース):根本原因(位置・舌癖・咬合)を整える。
回数4ヶ月〜1年/費用前歯部分矯正¥110,000〜¥495,000(税込) - ダイレクトボンディング:隙間を樹脂で閉じる短期法 回数1回 費用1歯¥33000〜¥55000(税込)
- ラミネートベニア:形と色調を同時に整えることができる。回数2〜3回費用1歯¥121000〜¥165000(税込)
歯が欠けた/エッジがギザギザ
- ダイレクトボンディング:欠けの補修・ライン揃え(即日)
- ラミネートベニア/セラミック:透明感・耐久性・色安定も重視する場合
矮小歯(幅が細い前歯)
- ラミネートベニア:自然に幅と形を足す。
削る量がごくわずか。裏側は自分の歯が残り違和感が少ないのが利点。
治療別に比較|期間・費用・メリット/留意点
形態修正(ティースシェイピング)
即日/麻酔不要で微調整。削る量はエナメル質の範囲のみ。大幅変更は不可。
ダイレクトボンディング
即日で形を足せる高コスパ。色・艶の経年変化はセラミックに劣るため、将来的にベニアへ移行する方も。
ラミネートベニア(削らない選択肢あり)
色・形・長さ・透け感まで審美性が高い。削らないベニアは適応が限られるが低侵襲。
セラミッククラウン
色・形・強度の自由度が高く、歯の損傷が大きい場合や色むらが強い場合に有効。
一方で歯の全周を削る必要があり慎重な診断が重要。
前歯部分矯正(マウスピース)
見た目だけでなく位置や咬み合わせの根本を整える。すきっ歯・ガタつきに有効。
目立ちにくいマウスピース矯正の詳細はこちら
当院の強み|矯正×審美のコンビネーションで最小侵襲&短期化
- 非抜歯矯正を重視:できる限り抜かずに整える方針
- 仮歯/モックアップで形を確認してから本製作へ
- 恵比寿・代官山からアクセス◎。審美治療ページに症例多数
症例
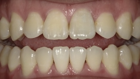
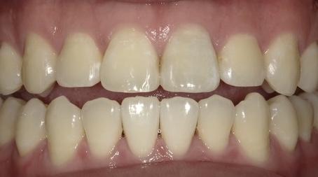
症例1:矯正+ラミネートで「並び」と「形」を段階的に改善
Before


After


まずインビザラインで歯列を整え、その後ベニアで形・長さ・透明感を仕上げしています。
犬歯は形態修正でバランス調整。銀歯は側方部をセラミックへ。
治療期間:18ヶ月/ 治療費用:インビザライン¥961200 ラミネートベニア4本¥602800(税込)
症例2:矯正後に残る「先端の不揃い」を形態修正で整える


上顎前歯6本をエナメル範囲で微調整。即日で“整って見えるライン”へ。
治療期間: 1日/治療費用:¥165000(税込)/治療のリスク・デメリット:歯を削る際に、知覚過敏を感じることがある
症例3:すきっ歯+歯が短い→歯肉形成+セラミッククラウン


歯肉ラインと長さを整えてから色・形をデザイン。自然なスマイルラインへ。
治療期間:2ヶ月/治療費用:¥726000/治療のリスク・デメリット:歯を削る必要がある。
あなたに合う最小侵襲プランをご提案します(カウンセリング無料)。
よくある質問
Q. できるだけ削りたくありません。選べる治療は?
A. 形態修正(ごくわずかに整える)、ダイレクトボンディング、適応が合えば削らないラミネートベニアが候補です。
Q. 1回で終わらせたいです
A. 形態修正・ダイレクトボンディングは基本1回で完了。ただし大幅な形変更や色改善はベニア/セラミックが向きます。
Q. すきっ歯は“形を足す”のと矯正、どちらが良い?
A. 基本的には、すきっ歯は矯正で治すのが推奨です。自分の天然の歯を活かして自然な歯並びと噛み合わせを獲得することができます。短期的にはダイレクトボンディング、矯正以外で綺麗に仕上がる方法としてラミネートベニアがおすすめです。
まとめ
歯の“形”の悩みは、症状に合った低侵襲な選択で短期に整えられます。
当院は非抜歯矯正×審美の統合設計で、治療期間を最適化しつつ自然で上品な仕上がりを追求します。
初回相談でお口の状態とご希望を伺い、最短・最小侵襲のプランをご提案します。
当院のInstagramアカウントはこちら
-
治療相談受付中!
まずはお気軽にご連絡ください。 -
\ お電話はこちら /
⌚受付時間:10:00-13:00/14:30-19:00
-
\ 治療相談受付中! /
矯正無料相談・審美治療相談
監修者
- アンチエイジングデンタルクリニック恵比寿 小川 朗子(おがわ あきこ)
-
1996年 鶴見大学歯学部卒業
1997年〜2006年 都内開業医勤務
2004年〜南青山デンタルクリニック副院長
2006年 アンチエイジングデンタルクリニック恵比寿開院
2007年 抗加齢医学会認定専門医取得
2015年 インビザライン認定医取得
2017年 高濃度ビタミンC点滴認定医取得
2018年 インディアナ州立大学歯学部 歯科矯正プログラム認定医取得
2018年 著書「若さを取り戻す歯のエイジングケア」出版 - 公式サイトトップへ