【インビザライン】
八重歯はインビザラインで治せる?抜歯の有無・期間・ワイヤー併用まで症例で解説
Last Updated on 2026年1月4日 by 小川朗子
「八重歯が気になるけれど、できれば目立つ矯正は避けたい」「インビザラインで本当に治るの?」「抜歯が必要と言われて不安」——そんなお悩みはとても多いです。
八重歯(犬歯の突出)は、見た目の印象だけでなく、歯磨きのしにくさによる虫歯・歯周病リスク、噛み合わせの偏り、口元の突出感につながることもあります。だからこそ、“無理のない計画で、きれいに仕上げる”ことが大切です。
この記事では、インビザライン(マウスピース矯正)での八重歯治療を、実際の治療経過写真を交えながらわかりやすくまとめます。インビザライン単独でのケース、ワイヤー併用ケースや、治療が計画通りに進むためのコツも具体的に解説します。
※当院のインビザライン治療の考え方・全体像は、こちらで詳しくご案内しています。
▶ インビザライン治療(治療方針・費用・流れ)
▶ インビザライン相談LP(初めての方向け)
目次
インビザラインが八重歯に向いている理由
インビザラインが選ばれる理由は「目立ちにくい」だけではありません。八重歯のようなガタつき(叢生)は、歯を並べるスペースが不足して起こるため、どこでスペースを作り、どの順番で動かすかが仕上がりを左右します。
インビザラインは、3Dシミュレーションでゴールを可視化しながら、IPR(歯と歯の間を微量に削ってスペースを作る処置)や奥歯の後方移動、歯列の拡大などを組み合わせ、抜歯を回避できる可能性も検討できます(すべての方に当てはまるわけではありません)。
また、取り外しができるため衛生管理がしやすく、ワイヤー矯正に比べて口内炎などのストレスが少ない点も、忙しい大人の方には大きなメリットです。

治療を成功させる2つの条件:装着時間と“密着”
インビザラインの成功を左右するポイントは、実はとてもシンプルです。
① 1日の装着時間(目安20時間以上)を守ること
② アライナーが“浮かずに密着”していること
この2つが揃うと、治療は計画通りに進みやすくなります。逆に、アライナーが少し浮いている状態が続くと、歯の動きが遅れ、追加アライナー(追加治療)が必要になることがあります。
そして、密着のために重要なのがアライナーチューイーです。サクッとはめるだけでは、奥歯や前歯の一部にわずかな隙間が残ることがあるため、当院では“噛んで密着させる”習慣づけを必ずお伝えしています。

チューイーは硬めのロール状のシリコンのような素材で、奥歯〜前歯まで数十秒ずつ“ギューっと噛む”ことで、アライナーが歯に深く入って密着します。地味ですが、ここが治療効率を大きく左右します。
八重歯治療は「インビザライン単独」か「ワイヤー併用」かで戦略が変わる
八重歯の程度や歯列全体の状態によって、最適解は変わります。
・軽度〜中等度:インビザライン単独で進められることが多い
・中等度〜重度:最初にワイヤーでデコボコを早く整え、途中からインビザラインに移行すると効率的なことがある
「ワイヤーは絶対に嫌」というお気持ちも大切です。ですので当院では、“見た目の優先”と“期間短縮”のどちらを重視するかを伺いながら、患者さんの納得感を大切にプランを組み立てます。
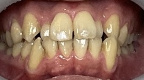
治療経過①:インビザライン中心+必要なところだけ部分ワイヤー
こちらは、基本はインビザラインで進めながら、前歯の一部の動きが遅れた局面で、期間短縮を目的に一時的に部分ワイヤーを併用したケースです。
また、写真のように奥歯の噛み合わせや顎の位置を直す場合にはゴムをかけることもあります。
噛み合わせの改善(ゴムの使用を含む)が必要な場合、見た目の整列だけでは終わらせず、機能面も一緒に整えることで、治療後の安定性(後戻りリスクの低減)にもつながります。
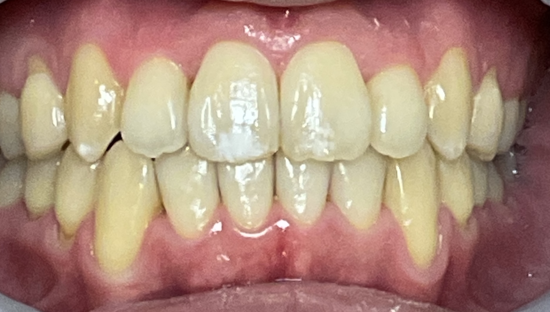
治療②:重度の八重歯は「先にワイヤーで整地」→インビザラインへ
症例 治療期間 3年 治療費用¥990000(税込) 治療のリスク・デメリット 保定装置をしないと後戻りする
八重歯がかなり目立つ乱杭歯(叢生)が強いケースです。スペース不足が大きい場合、インビザライン単独でも進められますが、初期にワイヤーを使うことで“デコボコの改善”が早く進むことがあります。



終了時の写真です。こちらの方は、ワイヤー矯正からスタートして約3年の期間がかかりました。重度のケースほど、見た目だけでなく噛み合わせを含めて丁寧に整える必要があるため、一定の期間が必要になることがあります。
治療③:中等度の八重歯はインビザラインと顎間ゴムで約1年で終了
症例2 治療期間1年2ヶ月 治療費用¥1045000(税込)治療のリスク・デメリット 保定装置をしないと後戻りする

このケースは、ワイヤー併用なしで行いました。上記の症例と同様に非抜歯で奥歯を後ろに動かし歯の間をわずかに削りスペースを作って動かしました。
当院が大切にしていること:無理のない計画と、途中の微調整
インビザラインは非常に優れた矯正装置ですが、マウスピース矯正の得意、不得意な動きがあり“万能”ではありません。だからこそ当院では、初回の診断で「できること/難しいこと」を丁寧に言語化し、現実的で再現性のある治療計画を重視しています。
また、治療中に計画と歯の動きがズレた場合は、必要に応じて追加アライナー(追加治療)や補助装置を検討し、できるだけ負担が少なくゴールへ近づけます。
※追加の要否・回数は症例やコースにより異なります。診察時に、見通しをわかりやすくご説明します。
仕上げの質を上げる「審美治療との組み合わせ」も選択肢
歯並びが整ったあとに、「歯の形」「すき間」「ブラックトライアングル(歯間の黒い三角)」が気になる場合があります。そうした場合、審美治療(コンポジットレジン等)を必要最小限で組み合わせることで、より自然で上品な仕上がりを目指せることがあります。
矯正と審美の両方を同じ医院で相談できるのは、治療の迷いを減らす大きなメリットです。
▶ インビザライン治療の詳細はこちら
▶ 歯並びと歯の形を同時に整える 矯正+形態修正 症例はこちらで見ることがることができます。
八重歯をインビザラインで治したい方へ:まずは“計画の相性”を確認しましょう
八重歯治療は、見た目の整列だけでなく、噛み合わせ・横顔のバランス・後戻りリスクまで含めて考えるほど、結果の満足度が上がります。
「抜歯が必要か知りたい」「できればマウスピースで進めたい」「期間や追加治療が不安」——そんな方は、まずは現在の歯並びを確認し、あなたにとって無理のない選択肢を一緒に整理していきましょう。
▶ アンチエイジングデンタルクリニック恵比寿:ご予約・ご相談はこちら
当院のInstagramアカウントはこちら
-
治療相談受付中!
まずはお気軽にご連絡ください。 -
\ お電話はこちら /
⌚受付時間:10:00-13:00/14:30-19:00
-
\ 治療相談受付中! /
矯正無料相談・審美治療相談
監修者
- アンチエイジングデンタルクリニック恵比寿 小川 朗子(おがわ あきこ)
-
1996年 鶴見大学歯学部卒業
1997年〜2006年 都内開業医勤務
2004年〜南青山デンタルクリニック副院長
2006年 アンチエイジングデンタルクリニック恵比寿開院
2007年 抗加齢医学会認定専門医取得
2015年 インビザライン認定医取得
2017年 高濃度ビタミンC点滴認定医取得
2018年 インディアナ州立大学歯学部 歯科矯正プログラム認定医取得
2018年 著書「若さを取り戻す歯のエイジングケア」出版 - 公式サイトトップへ