【矯正歯科】
すきっ歯を「治す」「ごまかす」方法を徹底比較|最短1日で整える審美治療と根本から治す矯正治療
-
\ 治療相談受付中! /
矯正無料相談・審美治療相談
Last Updated on 2025年11月24日 by 小川朗子
目次
すきっ歯は放置しても自然には治らない

1|すきっ歯を目立たなく「ごまかす」方法(最短1日)
「イベントが近い」「今すぐ見た目だけ整えたい」という方には、審美的な補綴(ほてつ)治療で目立たなくする方法があります。
歯を動かす矯正ではなく、歯の形・色・大きさを整えることで自然な印象に仕上げます。
1-1 ダイレクトボンディング(最短1日)
歯の表面にレジン(樹脂)を直接盛り付けて隙間を埋める方法です。
1回の診療で完了することが多く、時間がない方にも人気の治療です。
メリット
-
治療が早い(最短1日)
-
歯を削る量がほとんどない
-
色や形を細かく調整できる
デメリット
-
経年劣化で変色や欠けが起こることがある
-
数年ごとのメンテナンスが必要
▶︎「一時的に見た目を整えたい」「結婚式や写真撮影までに間に合わせたい」方におすすめです。
1-2 ラミネートベニア(約1〜2ヶ月)

歯の表面を薄く削り、セラミック製の薄いシェルを貼り付ける方法です。
自然な透明感があり、耐久性も高いのが特徴です。
メリット
-
すきっ歯だけでなく、歯の色・形も美しく整う
-
変色が少なく、長期間安定する
デメリット
-
少量でも歯を削る必要がある
-
外れる・割れるリスクがある
▶︎「自然な白さ」「形も整えたい」方に向いています。
1-3 セラミッククラウン(約1〜2ヶ月)

歯を全体的にセラミックで覆う治療です。
すき間だけでなく、歯のねじれや傾きも一緒に修正できます。
メリット
-
最も高い耐久性と美しさ
-
色・形の自由度が高く、歯並び全体を整えられる
デメリット
-
歯を大きく削る必要がある
-
費用が比較的高い
▶︎「歯の形を大きく変えたい」「すきっ歯と歯の色を同時に直したい」方におすすめです。
2|すきっ歯を根本から治す方法(矯正)
「見た目だけでなく、歯並びや噛み合わせを正しくしたい」方は、矯正治療で根本から整えるのがおすすめです。後戻りしにくい安定を得られます。
矯正治療にはいくつかの種類があり、状態や希望に応じて方法を選びます。
2-1マウスピース矯正(インビザライン)
![]()
透明なマウスピースを装着し、少しずつ歯を動かして隙間を閉じていく方法です。
装置が目立たず、取り外しができるため、すきっ歯の矯正で最も人気があります。
特徴
-
目立たない透明マウスピース
-
食事・歯磨き時に外せて衛生的
-
治療計画を3Dシミュレーションで確認できる
期間と費用
-
軽度なら3ヶ月〜6ヶ月、全体矯正では1〜2年程度
-
費用は部分で20万円台〜、全体で90万円前後
- 適応:軽〜中等度のすきっ歯/噛み合わせに重度問題がないケース
- 注意:1日20時間の装着が必須(自己管理)
▶︎「見た目を気にせず矯正したい」「仕事中も装置を外したい」方に最適です。
2-2 部分矯正
前歯のすき間など特定の歯だけを動かす方法です。マウスピースでもワイヤーでも治療が可能です。
部分的に閉じる場合でもマウスピースが向いています。
装置をつける範囲が限られているため、短期間・低コストで治療できます。
特徴
-
数ヶ月〜1年ほどで完了
-
治療費は全体矯正の半分以下
-
奥歯の噛み合わせを変えないため違和感が少ない
- 注意:原因次第では不適応(舌癖・骨格要因・奥歯のズレ)→全体矯正が望ましい場合あり
2-3 ワイヤー矯正
ブラケットとワイヤーで歯を3次元的に動かす最も基本的な矯正法。
大きな隙間や歯列全体のバランスを整えるのに効果的です。
特徴
-
幅広い症例に対応
-
精密な歯の移動が可能
-
平均1.5〜3年で完了
▶︎「骨格的なずれがある」「他の歯並びも気になる」方には全体矯正をおすすめします。
3 |すきっ歯は自然に治るの?
結論から言うと、すきっ歯は自然には治りません。
原因となる噛み合わせ・舌癖・歯の大きさの不均衡が解消されない限り、放置しても改善することはありません。
むしろ年齢とともに歯列が広がり、隙間が広がるケースも見られます。
もし気になる場合は、早めに専門の歯科医に相談することをおすすめします。
矯正や審美治療で整えることで、見た目の印象だけでなく、発音・噛みやすさ・清掃性も向上します。
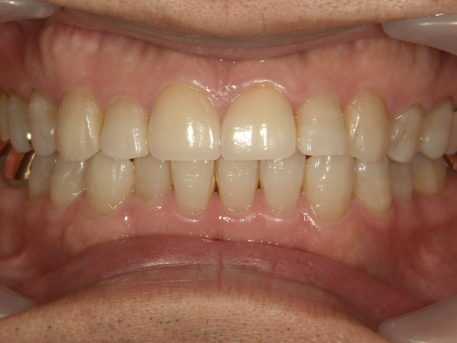
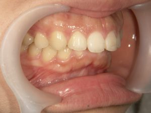
4|すきっ歯の症例
4-1 ダイレクトボンディング


治療期間:1日
費用:上2本 1歯¥33,000×2=¥66,000(税込)
リスク・デメリット:欠け・変色の可能性、幅が広く見える場合がある
4-2 ラミネートベニア

治療方法 ラミネートベニア4本:(2ヶ月)
治療費用¥602800(税込)
リスク・デメリット:歯の幅が広く見える/歯ぎしりや食いしばりで欠けることがある
4-3 矯正治療
症例1
Before


After


治療方法:インビザライン(上下全体)
治療期間:1年3ヶ月
治療費用 ¥990,000(税込)
治療のリスク デメリット マウスピースの装着時間が短いと計画通りに動かない 保定装置をしないと後戻りする
症例2
![]()
![]()
治療方法:アソアライナー(上のみ部分)
治療期間:4ヶ月
治療費用:¥198,000(税込)
治療のリスク デメリット 保定装置をしないと後戻りする
5|よくある質問(FAQ)
Q. すきっ歯は自然に治りますか?
A.基本的に自然治癒は期待できません。成長や習癖・噛み合わせの影響で、むしろ広がることも。見た目だけ整える方法と、矯正で原因から治す方法を比較検討しましょう。
Q. できるだけ早く目立たなくしたいのですが?
A.ダイレクトボンディングなら最短1日。イベント直前などに有効です。
Q. 後戻りが心配です。
A.矯正後はリテーナーの着用と、舌位・片側噛みの是正が要点です。定期メンテナンスで安定性を高めます。
Q. 自分は部分矯正で治りますか?
A.隙間量が小さく、奥歯の噛み合わせや骨格に大きな問題がなければ適応の可能性があります。まずは検査・診断で見極めます。
6|まとめ
すきっ歯を「ごまかす」か「治す」かは目的で選ぶ
| 目的 | 治療法 | 期間 | 特徴 |
|---|---|---|---|
| 見た目をすぐ整えたい | ダイレクトボンディング/ラミネートベニア | 最短1日〜2ヶ月 | 即効性があり自然な仕上がり |
| 根本から治したい | インビザライン/部分矯正/ワイヤー矯正 | 約6ヶ月〜2年 | 後戻りしにくく長期的に安定 |
「一時的に整えたい」場合は審美的なアプローチを、
「根本的に治したい」場合は矯正を選びましょう。
アンチエイジングデンタルクリニック恵比寿では、
審美歯科×矯正歯科の両面からあなたに最適な治療プランをご提案しています。
お気軽にご相談ください。
7|アンチエイジングデンタルクリニック恵比寿のすきっ歯治療の特徴
同じ「すきっ歯」といっても、原因や歯並びの状態、噛み合わせ、生活スタイルによって、ベストな治療法は異なります。当院では審美歯科×矯正歯科×一般歯科を一貫して行っているため、見た目だけでなく「噛める」「長く安定する」ことまで含めた治療計画をご提案できます。
- 非抜歯矯正を基本とした治療方針
すきっ歯の矯正では、できる限り歯を抜かずに、アーチ全体のバランスを整えながら隙間を閉じていきます。必要な場合のみ抜歯を検討し、その理由も丁寧にご説明します。 - 前歯審美治療の豊富な症例
ダイレクトボンディング、ラミネートベニア、セラミッククラウンなど、前歯の審美治療を多数行っています。技工士との立会いシェードテイキングにより、色・透明感・質感まで自然に仕上げることを大切にしています。 - 削る量をできるだけ抑える配慮
審美治療が必要な場合も、歯を大きく削るのではなく、形態修正(ティースシェイピング)などを組み合わせて、歯への負担を最小限に抑えることを心がけています。 - 後戻り予防まで含めたサポート
矯正後はリテーナーのご案内だけでなく、舌癖や噛み癖の改善指導、定期メンテナンスで長期的な安定をサポートします。
「すきっ歯を一時的に目立たなくしたい」「根本からきちんと治したい」など、ご希望は人それぞれです。アンチエイジングデンタルクリニック恵比寿では、カウンセリングで丁寧にお話を伺い、無理な押しつけをせず複数の選択肢をご提示します。まずはお気軽にご相談ください。
当院のInstagramアカウントはこちら
-
治療相談受付中!
まずはお気軽にご連絡ください。 -
\ お電話はこちら /
⌚受付時間:10:00-13:00/14:30-19:00
-
\ 治療相談受付中! /
矯正無料相談・審美治療相談
監修者
- アンチエイジングデンタルクリニック恵比寿 小川 朗子(おがわ あきこ) 担当科目:一般歯科/専門治療 矯正歯科・点滴療法
-
1996年 鶴見大学歯学部卒業
1997年〜2006年 都内開業医勤務
2004年〜南青山デンタルクリニック副院長
2006年 アンチエイジングデンタルクリニック恵比寿開院
2007年 抗加齢医学会認定専門医取得
2015年 インビザライン認定医取得
2017年 高濃度ビタミンC点滴認定医取得
2018年 インディアナ州立大学歯学部 歯科矯正プログラム認定医取得 - 公式サイトトップへ