【前歯部分矯正】
40代から始める歯列矯正|メリットやデメリットを解説
-
\ 治療相談受付中! /
矯正無料相談・審美治療相談
Last Updated on 2025年3月31日 by 小川朗子

目次
40代で歯列矯正を始めるメリット
40代で歯列矯正を始めることには、見た目だけでなく、健康面にも大きなメリットがあります。
歯並びが整うことで、日々の口腔ケアがしやすくなり、全身の健康が改善される可能性が高まります。以下では、40代からの歯列矯正によるメリットを詳しく解説します。
歯周病リスクの軽減
歯並びが改善されると、歯ブラシが細かい部分まで届きやすくなり、汚れが残りにくくなります。
歯磨きがしやすくなると、歯の間や歯と歯肉の境目にたまりやすい歯垢がきちんと除去されて歯周病のリスクが大幅に減少します。歯並びが悪いと、ブラッシングが不十分になりやすく、歯垢がたまりやすくなるため、自分での管理が難しくなります。矯正治療を行うことで自分でも管理しやすい状態になると、定期的な歯科医院での歯周病予防処置がより効果的になります。
咀嚼機能の向上
歯並びが整うことで、食べ物をしっかり噛むことができるようになります。
噛む力が均等に分散されるため、歯や顎への負担も軽くなり、咀嚼の効率が良くなります。このことは、食事を楽しむだけでなく、顎の健康にもつながります。
消化の改善
歯列が整うことで、食べ物をより細かくしっかり噛むことが可能になります。たくさん噛むことで唾液の分泌が促されて、胃腸の負担が減ります。
適切な咀嚼は、消化器官への負担を減らし、食べ物の消化吸収を促進します。これにより、腸での栄養吸収もよくなり、消化不良の予防や胃腸の健康維持にも貢献します。
コンプレックスの解消
長年悩んできた歯並びや見た目に関するコンプレックスが解消されることで、心理的な負担が減少します。歯並びを改善することで自信が持てるようになり、笑顔が増えることで、日常生活にも良い影響を与えるでしょう。歯並びが綺麗になり、口元が美しくなることで見た目の若々しさを取り戻すことができます。
全身の健康改善
歯並びや噛み合わせが改善されることは、口腔内の健康にとどまらず、全身の健康にも良い影響を与える可能性があります。
噛み合わせが整うと、顎関節や首、肩への負担が減少し、頭痛や肩こりなどの症状が軽減されることがあります。また、咀嚼機能の向上は消化を助け、栄養素の吸収も良くなります。
40代の歯列矯正におけるデメリットと注意点

40代で歯列矯正を始める際、いくつかのデメリットや注意点もあります。
治療にかかる時間や費用、通院の頻度など、事前に把握しておくことで、安心して治療に臨むことができます。
ここでは、40代の歯列矯正における主なデメリットと注意点について説明します。
治療期間が長くなることがある
40代になると、歯や顎の骨の成長が終了しており、矯正治療に時間がかかることがあります。
若い頃に比べて骨の動きが緩慢になるため、治療期間が長くなる傾向があります。また、歯の移動が遅くなることもあるため、治療計画を立てる際には、長期的な視点を持つことが重要です。
短期間での治療を期待する方には、他の治療法を検討する必要があるかもしれません。
価格が高額になる場合がある
40代の矯正治療は、治療期間が長くなることから、費用も高額になりやすいです。
特に、噛み合わせ改善を含めた全顎的な矯正治療や上下全体のインビザラインマウスピース型矯正は、治療費が高くなることが一般的です。
クリニックによって料金が異なるため、複数のクリニックで見積もりを取り、予算に合ったプランを選ぶことが重要です。また、治療費の一部を保険でカバーできる場合もあるので、事前に確認しておくことをお勧めします。
定期的な通院が必要
矯正治療では、定期的な通院が必要です。矯正装置の調整や進行状況の確認のために、数週間おきに通院する必要があります。
40代の場合、日常生活の忙しさから通院のスケジュールを守るのが難しくなることがあります。仕事や家庭の都合で通院が難しい場合は、治療計画を調整してもらうことができるか、あらかじめクリニックに相談しておくと安心です。
40代におすすめの歯列矯正

40代でも歯列矯正は十分に効果がありますが、選ぶべき矯正方法は年齢やライフスタイルに合わせて慎重に決める必要があります。
特に仕事や社会的な要因を考慮する場合、目立ちにくい矯正方法が人気です。ここでは、40代の方におすすめの矯正方法をいくつかご紹介します。
マウスピース矯正

マウスピース矯正は、目立ちにくく、取り外しが可能なため、40代の方に非常におすすめの矯正方法です。
透明なマウスピースを使うことで、日常生活や仕事に支障をきたしにくく、見た目を気にせず治療を進められます。また、食事の際や歯磨きの時に取り外すことができるため、清潔さを保ちやすく、口腔内の健康も維持できます。
治療期間は個人差がありますが、従来の矯正方法に比べて比較的短期間で済むことが多いです。
ワイヤー矯正

ワイヤー矯正は、最も一般的で確実な矯正方法の一つです。
歯の動きを細かく調整できるため、効果的な治療が可能です。しかし、マウスピース矯正と比べて目立つことがデメリットとなるため、40代の方にとっては見た目を気にする場面もあります。
それでも、ワイヤー矯正は比較的短期間で効果を感じられやすく、マウスピース矯正で苦手な動きも行えるため、他の方法では改善しきれない場合におすすめです。
表側矯正

表面矯正は、歯の表面にブラケットを取り付けてワイヤーで矯正を行います。
一般的なワイヤー矯正と同じ方法ですが、ブラケットやワイヤーの素材によって目立ちにくいタイプも存在します。
40代の方でも、治療効果をしっかりと感じながら、比較的目立たない装置を使用することができます。特に表面矯正の中でも、セラミックやクリアブラケットを使用すれば、目立ちにくくなります。
裏側矯正

裏側矯正は、歯の裏側に矯正装置を取り付ける方法です。外からは装置が見えないため、非常に目立たないのが特徴です。
40代の方にとって、外見を気にせずに歯列矯正を行いたい場合に最適な方法となります。
ただし、装置が裏側にあるため、最初のうちは違和感を感じることがあるかもしれません。慣れるまで少し時間がかかりますが、見た目を気にせずに矯正ができる点が大きな魅力です。
40代や50代の方は前歯の部分矯正がおすすめ
40代、50代の方の矯正は、比較的前歯の歯並び優先の部分的な矯正もニーズが多いです。当院としても、奥歯の噛み合わせや歯並びがよほど重度な不正がないのであれば、前歯の部分矯正はおすすめです。
比較的短期間で終わること、全体矯正に比べ費用も安く抑えられること、奥歯に装置をつけなくて良いので食事のストレスが少なく痛くないこと、噛み合わせの大きな変化が起こらないので違和感が少ないこと、などがメリットです。
デメリットは、奥歯の噛み合わせや顎のズレ、顔の歪みまでは治せないため、そこに不具合を感じている方は適応できないこと、ケースが限られることです。
では、どのくらいの歯並びだと部分的な矯正でいけるのか?を以下の写真で参考にしてみて下さい。
40代の歯列矯正の症例
上の前歯のみのワイヤー部分矯正症例

曲がっている前歯がお悩みで、上の前歯の部分的な矯正を行いました。短期間で歯の曲がりを揃えることができるワイヤー矯正を選択して治療をしています。


4ヶ月で、だいぶ曲がりが改善してきました。右上の八重歯も高さが揃ってきています。


7ヶ月で終了しました。保定装置は裏側でワイヤー固定を行い、上下の動きや曲がりの後戻りリスクを避けるようにしています。
治療方法:表側ワイヤー部分矯正
治療期間:7ヶ月
治療費用:¥324500(税込)来院時調整料金¥5500は別途
治療のリスク:後戻り
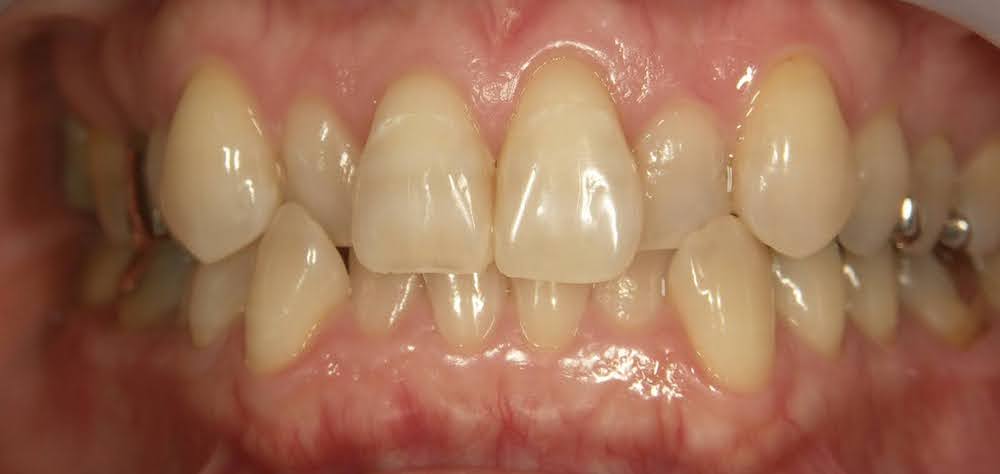
上下の前歯を部分矯正した症例

こちらの写真は50代の症例です。上の前歯が出ている、下の前歯の凸凹が気になるとの事で表側ワイヤーでの部分矯正をスタート。

横から見た状態です。上の前歯2本が捻れているのと出っ張っているのが気になります。

上下の前歯部分矯正を10ヶ月ほどで終了。保定装置は歯の裏側に細いワイヤーをボンドで留めています。就寝時にはマウスピースの保定装置もつけてもらっています。
40代以降の方の場合、矯正終了後に下の前歯の間に隙間(ブラックトライアングル)が生じてしまうことがあるのですが、これは歯や根の形の問題であったり、また歯肉が下がっている場合には避けることが難しいです。機能的に問題がない場合はこのままで終了するか、審美的に気になる方にはダイレクトボンディングで空隙を埋めることができます。
治療方法:表側ワイヤー矯正(上下)
治療期間:10ヶ月
治療費用:¥671000(税込) 来院時調整料金¥5500は別途
治療のリスク、デメリット:後戻り、ブラックトライアングル
上の前歯だけ部分矯正した症例

こちらは上だけのワイヤー部分矯正を行いました。前歯2本の長さが揃っていないこと、1本だけが前に出ていることがお悩みでした。

歯肉の高さを揃えたりするにはワイヤーが適しているため、表側のワイヤー矯正で行い10カ月で終了しました。前歯の先端が、今までの噛み合わせの関係ですり減って短くなっている部分はレジンで長さを足しています。
治療方法:表側ワイヤー矯正
治療期間:10ヶ月
治療費用:¥¥330000(税込) 来院時調整料金¥5500は別途
治療のリスク、デメリット:後戻り
上の前歯の部分矯正 インビザラインで治した症例

こちらも、上の前歯だけの部分的な矯正です。なるべく目立たない方が良いとの事でしたのでインビザラインで行いました。この程度の叢生だとインビザラインgoのコースで適応できます。

ほぼ整ってきた状態。インビザライン治療では必須の、歯を動かすための補助装置アタッチメントをつけて行います。

14枚のマウスピースで治療終了時。7ヶ月の治療期間です。インビザラインでは、1回の追加治療を料金の範囲で行えるため、まだ若干凹凸が残る箇所を引き続き治療し、約12ヶ月で完了しました。
治療方法:インビザラインgo
治療期間:12ヶ月
治療費用:¥440000(税込)
治療のリスク、デメリット:歯肉退縮、後戻り
歯を抜かない全体矯正 インビザラインで治した症例




歯を抜かないと矯正ができないと言われ、当院を受診されました。年齢的にも歯を抜く矯正に抵抗があり、当院の歯を抜かない矯正治療を希望されましたので、非抜歯で行えるインビザライン矯正で歯並びと噛み合わせを治しました。
3年の期間がかかりましたが、ワイヤーを一切使わず、歯を抜かずにできたことで満足頂きました。
治療方法:インビザラインコンプリヘンシブ
治療期間:3年
治療費用:¥990000(税込) ※治療当時の価格になります。
治療のリスク、デメリット:ブラックトライアングル 後戻り
まとめ
40代から始める歯列矯正には、多くのメリットがあります。まず、歯並びが整うことで歯周病のリスクが軽減され、咀嚼機能や消化機能の改善が期待できます。
また、長年のコンプレックスを解消し、見た目の改善や自信を持つことができ、全身の健康にも良い影響を与えることがあります。しかし、治療期間が長くなることや高額な費用がかかること、定期的な通院が必要となる点などのデメリットもあります。
40代におすすめの矯正方法としては、マウスピース矯正や、ワイヤー矯正が考えられます。特に、マウスピース矯正は取り外し可能で、見た目にも配慮した治療が可能です。また、ワイヤー矯正では、表面矯正や裏側矯正といった選択肢があり、目立たない治療方法もあります。
40代で歯列矯正を始める際は、治療のメリットとデメリットをしっかり理解し、自分のライフスタイルに合った方法を選ぶことが重要です。治療を受ける前に、専門家としっかり相談し、最適な矯正方法を見つけることをお勧めします。
当院のInstagramアカウントはこちら

裏側矯正は、歯の裏側に矯正装置を取り付ける方法です。外からは装置が見えないため、非常に目立たないのが特徴です。

曲がっている前歯がお悩みで、上の前歯の部分的な矯正を行いました。短期間で歯の曲がりを揃えることができるワイヤー矯正を選択して治療をしています。




治療期間:7ヶ月
治療費用:¥324500(税込)来院時調整料金¥5500は別途
治療のリスク:後戻り



治療期間:10ヶ月
治療費用:¥671000(税込) 来院時調整料金¥5500は別途
治療のリスク、デメリット:後戻り、ブラックトライアングル

こちらは上だけのワイヤー部分矯正を行いました。前歯2本の長さが揃っていないこと、1本だけが前に出ていることがお悩みでした。

歯肉の高さを揃えたりするにはワイヤーが適しているため、表側のワイヤー矯正で行い10カ月で終了しました。前歯の先端が、今までの噛み合わせの関係ですり減って短くなっている部分はレジンで長さを足しています。
治療期間:10ヶ月
治療費用:¥¥330000(税込) 来院時調整料金¥5500は別途
治療のリスク、デメリット:後戻り


ほぼ整ってきた状態。インビザライン治療では必須の、歯を動かすための補助装置アタッチメントをつけて行います。

治療方法:インビザラインgo
治療期間:12ヶ月
治療費用:¥440000(税込)
治療のリスク、デメリット:歯肉退縮、後戻り




治療期間:3年
治療費用:¥990000(税込) ※治療当時の価格になります。
治療のリスク、デメリット:ブラックトライアングル 後戻り
-
治療相談受付中!
まずはお気軽にご連絡ください。 -
\ お電話はこちら /
⌚受付時間:10:00-13:00/14:30-19:00
-
\ 治療相談受付中! /
矯正無料相談・審美治療相談
監修者
- アンチエイジングデンタルクリニック恵比寿 小川 朗子(おがわ あきこ) 担当科目:一般歯科/専門治療 矯正歯科・点滴療法
-
1996年 鶴見大学歯学部卒業
1997年〜2006年 都内開業医勤務
2004年〜南青山デンタルクリニック副院長
2006年 アンチエイジングデンタルクリニック恵比寿開院
2007年 抗加齢医学会認定専門医取得
2015年 インビザライン認定医取得
2017年 高濃度ビタミンC点滴認定医取得
2018年 インディアナ州立大学歯学部 歯科矯正プログラム認定医取得 - 公式サイトトップへ