【矯正歯科】
「前歯の噛み合わせが悪い原因と治し方|受け口・反対咬合・当たらない噛み合わせの改善方法
Last Updated on 2025年11月1日 by 小川朗子
前歯の噛み合わせが悪い原因と治し方|受け口・反対咬合・当たらない噛み合わせの改善方法

「前歯が反対に噛んでいる」「1本だけ上下がずれている」「前歯が当たらない」「受け口に見える」など、前歯の噛み合わせの異常は、見た目の印象だけでなく、顎関節や姿勢、発音、全身のバランスにも影響します。
本記事では、前歯の噛み合わせが悪くなる原因・放置のリスク・理想的な噛み合わせ・治療法まで詳しく解説します。噛み合わせを整えたい方はぜひ参考にしてください。
目次
前歯の噛み合わせが悪くなる原因
前歯の噛み合わせの乱れには、先天的要因と後天的要因の両方があります。
先天的要因
- 顎の大きさと歯のバランスが合っていない
- 歯の欠損や過剰歯がある
- 成長期における顎の発達バランスの不調和(アーチレングスディスクレパンシー)
後天的要因
- 口呼吸や舌で歯を押す癖
- 指しゃぶり・頬杖・片側噛み
- 食いしばり・歯ぎしり
- 就寝時の姿勢や噛み癖
これらの要因が重なることで、前歯の位置や傾きが変化し、上下の歯が正しく噛み合わなくなることがあります。
前歯の噛み合わせが悪いと起こるトラブル
「見た目の問題」だけでなく、全身の健康にも悪影響を及ぼします。
- 虫歯・歯周病のリスク増加:歯が重なって磨きにくくなり、汚れが残りやすい
- 顎関節症・肩こり・頭痛:噛み合わせのズレで顎や首に負担
- 発音障害:サ行・タ行などの発音がしにくくなる
- 胃腸への負担:噛みきれないことで消化に負担
- 見た目のコンプレックス:口元が歪んで見える、受け口に見える
前歯の噛み合わせは、日常生活や表情の印象にも大きく関わる重要な要素です。
理想的な前歯の噛み合わせとは?


歯科的に理想とされる前歯の噛み合わせには、次の6つのポイントがあります。
- 上下の前歯の中心(正中線)が顔の真ん中と一致している
- 上の前歯が下の前歯に2〜3mmかぶさっている(オーバーバイト)
- 上の前歯が下の前歯より2〜3mm前に出ている(オーバージェット)
- 奥歯で噛んだ時、前歯の隙間が5mm以内
- 口を閉じたときに顎や唇にシワができない
- 横顔でEライン(鼻先〜顎先を結ぶ線)上に唇がある
このバランスが取れていると、自然で美しい口元・正しい咀嚼機能が得られます。
治療が必要な前歯の噛み合わせのタイプ
- 叢生(そうせい):歯がガタガタ・重なっている
- 上顎前突:出っ歯・上の歯が前に出ている
- 反対咬合(受け口・クロスバイト):下の前歯が上の歯より前に出ている
- 過蓋咬合:噛み合わせが深く下の前歯が見えない
- 開咬:前歯が当たらず隙間ができる
- 空隙歯列:すきっ歯

これらはすべて不正咬合と呼ばれ、放置すると機能的・審美的に悪化する場合があります。
前歯の噛み合わせを治す方法
① マウスピース矯正(インビザラインなど)

透明で目立たず、日常生活への影響が少ない矯正法です。部分矯正にも対応でき、軽度の反対咬合・開咬・叢生なども改善可能です。
② ワイヤー矯正

歯並びや噛み合わせを細かくコントロールできる治療法です。骨格性の受け口など複雑な噛み合わせにも対応します。
当院の歯を抜かない矯正治療について (全体矯正から部分的な矯正まで)
③ マウスピース矯正+SureSmile V Pro(短期改善)
長期になりやすい、噛み合わせ改善を行うマウスピース矯正に「シュアスマイル V Pro」を併用することで、治療期間を大幅に短縮できます。治療初期に顎の位置関係を整えることで、後半のマウスピース矯正がスムーズになります。
④ 審美修復(セラミック治療)
歯の形や角度を変えたい場合には、セラミッククラウンやラミネートベニアを併用して、短期間で見た目を整えることも可能です。
治療症例
症例① ガタガタ・奥歯の不正咬合を伴うケース
インビザラインによる上下全体矯正で、前歯と奥歯の噛み合わせを改善。
治療期間15ヶ月/治療費用¥951000/治療のリスク・デメリット 保定装置をしないと後戻りする 歯肉退縮
Before

After

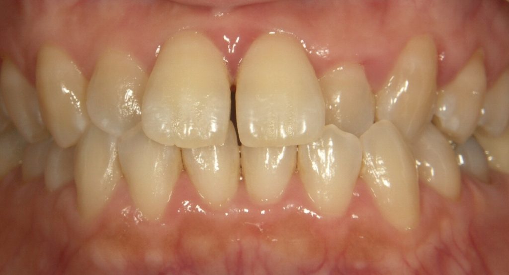
症例② 前歯1本の反対咬合
上はセラミックブリッジで傾斜を修正し、下は部分矯正で内側へ移動。審美性と機能性を両立。
治療期間12ヶ月/治療費用上顎セラミックブリッジ¥9049000・下顎部分矯正¥330000/治療のリスク・デメリット 保定装置をしないと後戻りする 歯肉退縮
Before After 
症例③ 軽度の受け口
インビザライン矯正で上下の歯列を整え、ゴムかけを併用して前歯の位置を正しく調整。
治療期間12ヶ月/治療費用¥990000/治療のリスク・デメリット 保定装置をしないと後戻りする
Before



After


まとめ:前歯の噛み合わせ改善で口元も健康も若返る
前歯の噛み合わせが悪いまま放置すると、虫歯・歯周病・顎関節の不調・姿勢のゆがみなどに繋がります。
早めに改善することで、見た目の印象・発音・全身バランスまでも整えることができます。
アンチエイジングデンタルクリニック恵比寿では、歯を抜かずに機能と美しさを両立する矯正治療を行っています。マウスピース矯正や短期矯正、審美治療の組み合わせなど、患者様一人ひとりに最適な方法をご提案しています。
前歯の噛み合わせ・交叉咬合・当たらない歯並びでお悩みの方は、無料カウンセリングにお気軽にご相談ください。
当院のInstagramアカウントはこちら
-
治療相談受付中!
まずはお気軽にご連絡ください。 -
\ お電話はこちら /
⌚受付時間:10:00-13:00/14:30-19:00
-
\ 治療相談受付中! /
矯正無料相談・審美治療相談
監修者
- アンチエイジングデンタルクリニック恵比寿 小川 朗子(おがわ あきこ)
-
1996年 鶴見大学歯学部卒業
1997年〜2006年 都内開業医勤務
2004年〜南青山デンタルクリニック副院長
2006年 アンチエイジングデンタルクリニック恵比寿開院
2007年 抗加齢医学会認定専門医取得
2015年 インビザライン認定医取得
2017年 高濃度ビタミンC点滴認定医取得
2018年 インディアナ州立大学歯学部 歯科矯正プログラム認定医取得
2018年 著書「若さを取り戻す歯のエイジングケア」出版 - 公式サイトトップへ