【矯正歯科】
歯がガタガタ(叢生)は矯正で治せる?原因・放置リスクと「マウスピース/ワイヤー」選び方
Last Updated on 2026年1月16日 by 小川朗子
目次
歯がガタガタ(叢生)で悩んでいませんか?
まず結論:多くは「矯正」で改善できます

鏡を見るたびに「歯がガタガタしてきた」「八重歯が目立つ」「笑うと前歯の重なりが気になる」——。
歯がガタガタの状態(叢生:そうせい)は、見た目だけでなく虫歯・歯周病・噛み合わせ負担にもつながりやすい歯並びです。
ただしご安心ください。歯のガタガタ(叢生)は、歯を正しい位置へ動かす「矯正治療」で改善できるケースが多いです。
この記事でわかること
- 歯がガタガタになる原因(先天/後天)
- 放置すると起こりやすいトラブル
- マウスピース矯正で治るケース/ワイヤーが向くケース
- 抜歯の有無・期間・費用の考え方
- 症例(当院)と、相談の流れ
「自分はマウスピースでいける?」「抜歯が必要?」「どれくらいかかる?」の判断材料として、ぜひ最後までご覧ください。
歯がガタガタになる主な原因(先天的要因・後天的要因)
先天的要因:あごの大きさと歯のサイズのバランス
顎が小さい(スペース不足)
歯の本数は同じでも、顎の大きさには個人差があります。顎が小さいと歯が並ぶスペースが不足し、重なったりねじれたりしてガタガタになりやすくなります。
歯が大きい(相対的に詰まる)
歯そのものが大きいと、顎のサイズに対して収まりきらず重なり合います。日本人は顎が小さめの傾向があるため、叢生は非常に多い歯並びの一つです。
後天的要因:生活習慣・口腔トラブル・加齢変化
虫歯・歯周病
虫歯で歯が欠けたり、歯周病で歯がぐらつくと、噛む力のバランスが崩れて歯が動き、歯列全体が乱れることがあります。
舌の癖・口呼吸
舌で前歯を押す癖(舌突出癖)や口呼吸があると、弱い力でも長期にわたり歯が押され、前歯の傾き・歯列の乱れにつながることがあります。
親知らず
親知らずが斜めに生え、手前の歯を押すことで前歯が乱れることがあります。ただし「親知らずを抜けば必ず整う」わけではなく、歯列全体のスペース不足が原因の場合は矯正が必要です。
歯がガタガタを放置すると起こりやすいトラブル(放置NGの理由)
虫歯・歯周病・口臭リスクが上がる
重なりがある部位は歯ブラシが届きにくく、プラークが残りやすくなります。結果として虫歯・歯周病・口臭のリスクが上がります。
噛み合わせの偏り→顎関節や歯のすり減り
噛み合わせが不均等になると特定の歯に過度な力がかかり、歯の摩耗や顎関節の負担につながる場合があります。
見た目のコンプレックス(写真・会話でのストレス)
「思い切り笑えない」「写真で口を閉じてしまう」など、心理的なストレスが続くことも少なくありません。
歯がガタガタを治す方法|矯正4つの選択肢と“向き不向き”
先に結論:選び方の目安
- 軽度〜中等度:マウスピース矯正で改善できることが多い
- 重度(八重歯・ねじれ・上下のズレが大きい):マウスピース矯正も可能。重度な前歯のガタガタならワイヤーが早い。
- 前歯だけ軽度:部分矯正で短期間の選択肢も
- 短期間で形・色も同時に整えたい:審美治療(ただし削るリスク)
1)ワイヤー矯正(表側・裏側)

ブラケットとワイヤーで歯を動かす方法です。重度のガタガタや八重歯、歯のねじれが強いケースでも確実性が高いのが特徴です。
- メリット:適応が広く、歯を動かすコントロールが得意
- 注意点:見た目や清掃性の配慮が必要(装置により軽減可能)
2)マウスピース矯正(インビザライン等)

透明で目立ちにくく、取り外しができて衛生的。軽度〜中等度の叢生は得意で、生活への負担を抑えたい方に選ばれています。
- メリット:目立ちにくい/取り外せる/通院回数が少なめ(3、4ヶ月に1回のチェック)
- 注意点:装着時間(基本20〜22時間)を守れないと計画通りに進みにくい
3)部分矯正(前歯だけ)
前歯の一部だけの軽度な叢生なら、部分矯正で短期間に整えられることがあります。ただし奥歯の噛み合わせやスペース不足が関係している場合は全体矯正が必要です。
4)審美治療(セラミック・ラミネートベニア)

短期間で形や色を整えられる一方、健康な歯を削る可能性があるため、適応の見極めが重要です。
当院の考え方:まず「歯を抜かない矯正」を前提に、必要な場合のみ最適解を提案します
アンチエイジングデンタルクリニック恵比寿では、できる限り健康な歯を守ることを大切にしています。
- 精密検査で「スペース不足の原因」を診断(歯の大きさ/顎の形/噛み合わせ)
- 非抜歯のための手段(拡大・後方移動・必要最小限のIPR等)を検討
- マウスピース単独が難しい場合は、一時的なワイヤー併用で“早く・確実に”整える選択肢も提示
「自分はどれが合う?」は検査で決まります
同じ“ガタガタ”でも、必要な治療は人により異なります。治療法や装置の種類の特徴、メリットデメリットを比較して患者さんが自分に合った方法で選べるように丁寧に説明することを大切にしています。
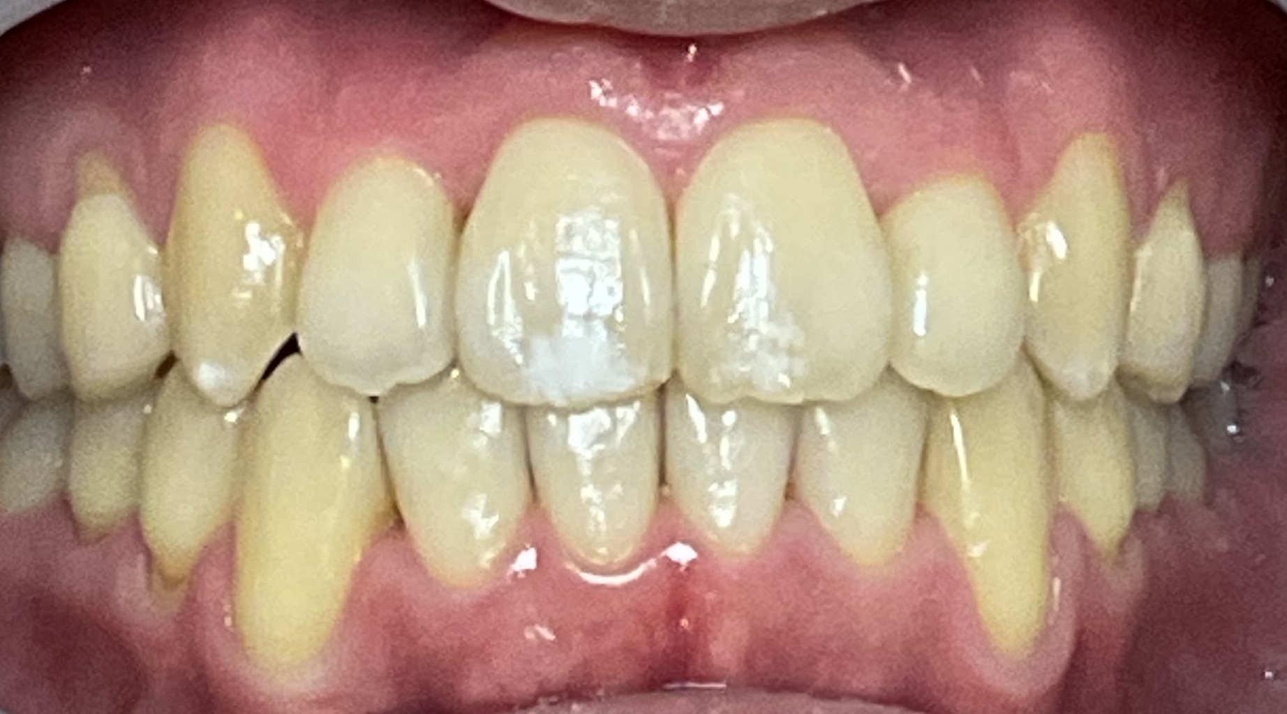
症例|歯を抜かない矯正で「歯がガタガタ」を改善(当院)
症例1:重度のガタガタと八重歯を改善
治療期間:3年
治療費用:¥1,001,000(税込)
方法:ワイヤー+マウスピース併用
特徴:歯を抜かずにスペースを確保し自然な歯列へ
リスク:歯肉退縮・後戻り
Before

After

症例2:上下顎のガタガタをインビザラインで改善
治療期間:1年5ヶ月
治療費用:¥1,100,000(税込)
方法:インビザライン上下
特徴:歯列後方移動と拡大、IPRで非抜歯矯正
リスク:歯肉退縮・後戻り
Before

After

症例3: 八重歯の目立つガタガタをインビザラインで改善
治療期間:1年2ヶ月
治療費用:¥1,100,000(税込)
方法:インビザライン上下
特徴:歯列拡大、IPRで非抜歯矯正
リスク:歯肉退縮・後戻り


症例3:下の前歯のガタガタを部分矯正で改善
治療期間:14ヶ月
治療費用:¥440,000(税込)
方法:下顎ワイヤー部分矯正
特徴:費用を抑えて自然な歯列へ
リスク:後戻り
Before


After


歯がガタガタを治したい方へ|相談の目安と当院のご案内
- ガタガタが気になるが、抜歯はできれば避けたい
- マウスピースで治るか知りたい
- 期間や費用の目安を、検査ベースで聞きたい
- 見た目だけでなく噛み合わせも整えたい
当院では、精密検査の上で「できるだけ歯を守る」方針から最適な治療計画をご提案します。まずはお気軽にご相談ください。
▶ インビザライン治療の詳細はこちら
▶ 歯を抜かない矯正の考え方はこちら
FAQ|歯がガタガタ(叢生)でよくある質問
Q1. 親知らずを抜けば、歯のガタガタは治りますか?
A. 親知らずが前の歯を押して悪化している場合は、抜歯が有効なことがあります。ただしガタガタの主因が「スペース不足」の場合、親知らず抜歯だけでは歯の位置が戻らず自然に整うことは少なく、矯正が必要になることが多いです。
Q2. マウスピース矯正だけで治せるのはどの程度ですか?
A. 軽度〜中等度の叢生はマウスピースで改善できるケースが多いです。重度の八重歯やねじれが強い場合は、ワイヤー併用の方が早く確実なことがあります。適応は検査で判断します。
Q3. 抜歯が必要になるのはどんなとき?
A. スペース不足が大きく、拡大・後方移動・必要最小限のIPRだけでは歯列に収まらない場合に検討します。当院ではまず「歯を抜かない可能性」を優先して診断します。
Q4. 大人になってからでも間に合いますか?
A. はい。大人の矯正でも歯は動きます。歯周病などのリスク評価を行い、無理のない計画で進めることが大切です。
Q5. 矯正後に後戻りしませんか?
A. 後戻りリスクはあります。矯正後はリテーナー(保定装置)を適切に使用し、定期的にチェックすることでリスクを最小限にします。
当院のInstagramアカウントはこちら
-
治療相談受付中!
まずはお気軽にご連絡ください。 -
\ お電話はこちら /
⌚受付時間:10:00-13:00/14:30-19:00
-
\ 治療相談受付中! /
矯正無料相談・審美治療相談
監修者
- アンチエイジングデンタルクリニック恵比寿 小川 朗子(おがわ あきこ)
-
1996年 鶴見大学歯学部卒業
1997年〜2006年 都内開業医勤務
2004年〜南青山デンタルクリニック副院長
2006年 アンチエイジングデンタルクリニック恵比寿開院
2007年 抗加齢医学会認定専門医取得
2015年 インビザライン認定医取得
2017年 高濃度ビタミンC点滴認定医取得
2018年 インディアナ州立大学歯学部 歯科矯正プログラム認定医取得
2018年 著書「若さを取り戻す歯のエイジングケア」出版 - 公式サイトトップへ