【矯正歯科】
歯並びが悪い原因とは?放置リスクと後悔しない治療法|専門医が教える非抜歯・マウスピース矯正の正解
Last Updated on 2026年3月9日 by 小川朗子
歯並びが悪い原因とは?放置リスクと治療法まで徹底解説|非抜歯・マウスピース矯正で確実に治す

「どうして歯並びが悪いの?」「今さら矯正しても手遅れ?」
歯並びの悪さがコンプレックスで、人前で思いきり笑えないと感じるストレスはご本人でしかわからない切実な悩みです。しかし、歯並びが悪くなるのは単なる「運」や「遺伝」だけではありません。口呼吸、舌の癖、親知らず、食いしばり癖、そして大人の場合は歯周病など、複数の要因が複雑に絡み合って進行します。
放置すれば、見た目だけでなく、虫歯・歯周病、顎関節症、さらには肩こりや頭痛といった全身の不調にまで広がる恐れがあります。本記事では、アンチエイジングデンタルクリニック恵比寿の院長が、「非抜歯(歯を抜かない)×マウスピース矯正(インビザライン)」を軸に、根本原因から解決する最新の治療戦略を詳しく解説します。
目次
【結論】原因を特定し、精密に設計すれば“一生モノ”の歯並びが手に入る
当院が考える「理想の矯正」とは、単に前歯を並べることではありません。以下の3つを軸に、機能的な美しさを追求します。
- ① 骨格×生活習慣のトータル分析: なぜ崩れたのかという「原因」を解決できなければ、治療後に必ず後戻りします。
- ② 徹底した非抜歯へのこだわり: 拡大、IPR(削合)、遠心移動を組み合わせ、大切な天然歯を極力残します。
- ③ デジタルによる短期化: インビザラインと加速装置を併用し、忙しい現代人のための最短ルートを提案します。
あなたの状態は?歯並びの乱れセルフチェック

【3つ以上なら早期相談を推奨】
- ☑︎ 前歯が重なって磨きにくい/フロスが毎回引っかかる
- ☑︎ 片側ばかりで噛む癖がある/顎が重だるい、音がする
- ☑︎ さ行・た行の発音がこもる、空気が漏れる
- ☑︎ 横顔を見たとき、口元が前に出ている(口ゴボ)
- ☑︎ 朝起きると口の中が乾いている(口呼吸のサイン)
- ☑︎ 以前より歯並びがガタガタしてきた気がする(加齢による変化)
院長アドバイス:スマホで「正面の噛み合わせと口元」「真上から見た歯並び」「真横のEライン」の3枚を自撮りしてみてください。客観的に見ることで、隠れた不正咬合に気づけるはずです。
【無料相談】最新3Dスキャンであなたの未来の笑顔を可視化
歯並びが悪い「根本的な理由」をiTeroスキャンで解明し、シミュレーションを行います。
なぜ悪くなるの?歯並びを乱す「5つの真犯人」
歯並びが悪くなるのは、必ずしも一つの原因だけではありません。以下の要因がドミノ倒しのように重なって、現在の状態を作り出しています。
① 骨格の不調和と歯のサイズミスマッチ
現代人は柔らかい食事の増加により、顎の骨が十分に発育しない傾向にあります。「小さな顎に対して、大きな歯が生えてくる」というスペース不足が起こると、歯は行き場をなくしてガタガタに並びます(叢生)。これが日本人に最も多い不正咬合の原因です。
② 無意識の習慣(舌癖・口呼吸・姿勢)
当院が特に重視しているのが「生活習慣の改善」です。
- 口呼吸: 口が開いていると、頬と舌の圧力バランスが崩れ、出っ歯になります。
- 舌の癖: 舌が常に前歯を押していると、出っ歯やすきっ歯の原因になります。
- 頬杖・寝相: 数kgの荷重が数時間続く習慣は、成人の骨をも容易に変形させます。
③ 大人の歯並び崩れを引き起こす「歯周病」
成人の場合、昔より歯並びが悪くなったと感じる原因の多くは歯周病です。歯を支える骨が溶けることで、噛む力に負けて歯が外側へ広がったり、移動したりします。この場合、「歯周病治療×矯正」のパッケージ設計が不可欠です。
④ 最後のひと押し「親知らず」
10代後半から20代にかけて生えてくる親知らずが、前方の歯をグイグイと押し出し、全体の並びを崩すケースも多々あります。当院ではレントゲン診断により、抜歯の必要性を精密に見極めます。
放置は危険!「ただの見た目」で済まない5つのリスク

乱れた歯並びを放置することは、お口の中に「爆弾」を抱えているようなものです。
- 1. 虫歯・歯周病の温床: 重なり合った部分は物理的にブラッシングができず、24時間細菌が繁殖し続けます。
- 2. 顎関節症への進展: 悪い噛み合わせは顎の関節に負担をかけ、口が開かない、カクカク鳴るといった症状を引き起こします。
- 3. 全身の歪み: 噛み合わせの不調は頚椎から脊椎へ影響し、慢性的な肩こりや偏頭痛の原因となります。
- 4. 消化器への負担: よく噛めないまま飲み込むことで、胃腸に過度な負担がかかります。
- 5. 精神的な影響: 笑顔に自信が持てないことが、対人関係や仕事でのパフォーマンス低下につながることも少なくありません。
失敗しない治療法の選び方:当院の独自戦略
ネット上には多くの治療法があふれていますが、大切なのは「自分に合った土台作り」です。
| 症状 | 推奨治療(当院の軸) | 独自メリット |
|---|---|---|
| ガタつき(叢生)・出っ歯 | インビザライン(非抜歯) | iTeroシミュレーションで抜歯回避を徹底追及 |
| 前歯だけのズレ | 部分矯正 | 短期間・低コスト。インビザライン短期プランも対応 |
| 加齢による崩れ | 歯周病ケア+矯正 | アンチエイジングの観点から歯の寿命を延ばす設計 |
短期間で終わる「セラミックだけで並べる処置」を希望される方もいますが、当院では安易に推奨していません。健康な歯を大量に削り、神経を失うリスクは、10年後の抜歯リスクを劇的に高めます。まずは「矯正」で歯の位置を正し、その後に歯の色や形が気になる場合に審美治療を行うことが最小限のダメージで美しい仕上がりにする秘訣です。
アンチエイジングデンタルクリニック恵比寿が選ばれる4つの理由
1. 非抜歯を追求する治療法
奥歯の遠心移動やIPR(0.1mm単位の研磨)を駆使し、機能的に問題がない限り、大切な天然歯を抜きません。
2. 加速装置「VPro」の導入
治療期間を最大50%短縮し、マウスピース装着時の不快感を緩和する最新デバイスを導入。忙しい方に最適です。
3. 顔立ちまで考慮したトータル美
単に歯を並べるだけでなく、Eライン(横顔の美しさ)やスマイルラインを考慮した審美的なゴールを設定します。
4. 矯正後の「後戻り」防止プログラム
原因となった悪習慣(舌癖など)の改善指導まで行い、一生続く美しさをサポートします。
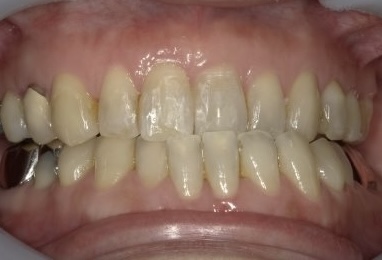
【最新症例】劇的な変化と治療の目安
当院で治療を受けられた患者様の実際の結果です。
◊ 症例1:反対咬合(受け口)をマウスピースで改善


治療法:インビザライン(全体)
期間:1年4ヶ月 / 費用:¥1,100,000(税込)
※リスク:マウスピースの長時間装着が必要です。
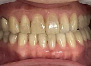
◊ 症例2:重度のガタつき(叢生)を非抜歯で解消


治療法:裏側ワイヤー部分矯正(短期間フォーカス)
期間:10ヶ月 / 費用:¥440,000(税込)
◊ 症例3:すきっ歯(正中離開)の早期閉鎖


治療法:インビザライン
期間:1年4ヶ月 / 費用:¥990,000(税込)
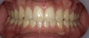
◊ 症例4:正中のずれと曲がって見える口元




治療法:インビザライン(全体)
期間:2年11ヶ月 / 費用:¥968,000(税込)※モニター価格
※リスク:マウスピースの長時間装着が必要です。
よくある質問(FAQ)
Q. 40代・50代からでも矯正は間に合いますか?
A. もちろんです。近年、成人矯正のニーズは非常に高まっています。骨や歯茎が健康であれば何歳からでも可能です。むしろ、加齢による噛み合わせの崩れを防ぐため、健康寿命を延ばす手段として推奨されます。当院では、歯周病の管理を行いながらリスクをできるだけ避けて60代以降の方の矯正治療も行っています。
Q. インビザラインは本当に痛くないですか?
A. ワイヤー矯正と比較して、一気に加わる力が少ないため痛みは大幅に軽減されます。さらに当院のVPro(高周波振動装置)を併用することで、痛みの緩和と治療効率のアップが期待できます。
Q. 費用を分割払いにすることはできますか?
A. はい。デンタルローンを完備しており、月々1万円程度からの分割払いも可能です。また、矯正治療は咬合改善が目的の場合、医療費控除の対象となり、実質の負担を抑えることができます。
まとめ:まずは「原因」を知ることから始めましょう
歯並びが悪い原因は、過去の遺伝だけでなく、現在の生活習慣や口腔環境に隠れています。それを知らずに治療を始めても、本当の満足は得られません。
アンチエイジングデンタルクリニック恵比寿では、患者様一人ひとりの「なぜ悪くなったのか」をデジタル技術で解明し、一生涯使い続けられる健康で美しい歯並びをデザインします。無料カウンセリングでは、iTeroによる高精度なシミュレーションを体験いただけます。あなたの未来を変える一歩を、ここから始めませんか?


当院のInstagramアカウントはこちら
-
治療相談受付中!
まずはお気軽にご連絡ください。 -
\ お電話はこちら /
⌚受付時間:10:00-13:00/14:30-19:00
-
\ 治療相談受付中! /
矯正無料相談・審美治療相談
監修者
- アンチエイジングデンタルクリニック恵比寿 小川 朗子(おがわ あきこ)
-
1996年 鶴見大学歯学部卒業
1997年〜2006年 都内開業医勤務
2004年〜南青山デンタルクリニック副院長
2006年 アンチエイジングデンタルクリニック恵比寿開院
2007年 抗加齢医学会認定専門医取得
2015年 インビザライン認定医取得
2017年 高濃度ビタミンC点滴認定医取得
2018年 インディアナ州立大学歯学部 歯科矯正プログラム認定医取得
2018年 著書「若さを取り戻す歯のエイジングケア」出版 - 公式サイトトップへ