【審美歯科】
差し歯の根元が黒ずむ原因と審美歯科×矯正治療で叶える美しい口元
-
\ 治療相談受付中! /
矯正無料相談・審美治療相談
Last Updated on 2025年9月16日 by 小川朗子
「差し歯(被せ物/クラウン)の根元が黒く見えてきた」「歯茎が下がって前歯の隙間が気になる」「歯並びも色も一緒にきれいにしたい」—そんなお悩みを抱えていませんか?
アンチエイジングデンタルクリニック恵比寿では、審美治療(セラミッククラウン・オールセラミック・ジルコニアなど) と 矯正治療(インビザラインマウスピース矯正・部分矯正など) を統合した治療プランを提供し、歯・歯茎・歯並びをトータルで改善することで、見た目だけでなく機能・健康も両立させた“理想の笑顔”を実現します。

目次
根元が黒くなる差し歯・セラミックの問題とは
差し歯やクラウンの根元が黒ずむ理由にはいくつかあります。
主な原因
♦金属を使った差し歯 内部に金属を用いる構造では、歯茎が下がった時に金属縁が見えたり、光を透過しにくく「黒ずみ」が目立ちやすくなります。
♦神経を取った歯の変色 神経がない歯は内部から色が変わることがあり、それが透けて見えることがあります。
♦歯ぐきの退縮・歯周病 歯茎が下がることで、本来隠れていた歯の根元(クラウンのマージン)が露出しやすくなり、金属の縁や土台部分が見えるようになります。
♦歯根、土台の変色や虫歯 差し歯の土台や内部に虫歯・変色が進んでいると、それが「見た目」に大きく影響します。


審美歯科の技術と選べる素材でお悩みを解決
当院では、歯ぐきが下がっても自然に見える素材や方法を症例に応じて選択しています。
主な治療法・素材

-
オールセラミッククラウン
金属を一切使わず、透明感・自然な色調を重視したクラウン。前歯など、審美性が特に問われる部位に向いています。 -
ジルコニアセラミッククラウン
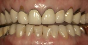
強度が非常に高く、耐久性にも優れる素材。噛む力がかかる臼歯部などでも安心。 また、歯肉との境目(マージン)での金属の見えを防ぎます。根本が黒く見えない、差し歯感ゼロの美しい前歯 -
グラスファイバーやメタルフリーの土台(コア)
神経を取った歯の土台で、金属を使わないものを選ぶことで、透け・変色リスクを低減させます
-
ラミネートベニア・ダイレクトボンディング
削る量を少なく、形・色を整える軽微な処置。審美を重視しながら、できるだけ原歯を残す方向での選択肢として。気になる部分だけ、色と形を修正できるダイレクトボンディング -
仮歯の調整・精密な型取り・接着技術
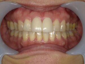
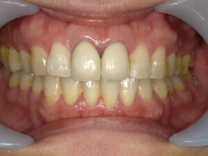
これらは見た目・フィット感・長持ちに直結する工程。保険治療とは異なり、細部にわたる精密さを追求します。 - 前歯2本の根元の黒ずみ、古い金属製の差し歯をジルコニアセラミックに変えた症例
症例1

症例2


-
審美治療と矯正治療を組み合わせるメリット
差し歯 をきれいにするだけでなく、必要であれば矯正治療を組み合わせることで理想の笑顔が完成します。♦ 歯並びの調和で「自然な美しさ」を実現
歯並びが整っていないと、せっかくの綺麗なクラウンも浮いて見えたり、隙間・歪みが目立ちやすい。歯列矯正を併用することで、笑顔全体の調和が取れます。
♦咬み合わせの改善
歯の位置・角度が理想的でないと、クラウンや差し歯に過度な負荷がかかりやすく、破損・摩耗・歯根への影響等のリスクが高まります。矯正を含めることで噛む力の分布を整え、長期的な安定を得られます。
♦歯肉、歯周組織への負担軽減
歯並びが整っていないと歯磨きがしにくく、歯茎に炎症が生じやすくなったり、歯周病の進行が早くなることがあります。矯正で歯を正しい位置に戻すことで、歯肉の位置や高さが揃い、審美治療を行なった場合に歯肉ラインがきれいな仕上がりになります。治療後もブラッシングしやすくなり、歯周病リスクを下げられます。
♦歯を長持ちさせるための基盤づくり
歯並びが整った後の審美治療では、歯を削る量が格段に減らせることが最大のメリットです。また、審美素材(セラミック・ジルコニアなど)は強度もありますが、噛み合わせが悪いままだと早期破損・割れ・摩耗などの問題が起こりやすいです。矯正を取り入れ咬合を調整することで、審美治療の寿命を延ばせます。
♦自然な美しさで笑顔の印象が若返る
白さ・クラウンの形だけでなく、笑ったときの歯の見え方、歯並び、歯肉のライン、左右の対称性などが整うことで、口元の印象が一層自然に美しくなります。
当院の統合治療の流れと診断プロセス
当院で実際に審美・矯正を統合して治療を行う場合は、以下のような流れになります。
1カウンセリング・無料相談
希望される見た目、気になる部位、過去の治療歴等を詳しく伺います。 - 2精密診査・写真撮影・歯型取り・レントゲン撮影
口腔内・歯並び・歯茎の状態を三次元的に把握。特に歯槽骨・歯根の状況、歯茎の退縮の有無、隣の歯・噛み合わせの関係等を確認。 -
3治療プラン設計(審美+矯正)
差し歯を入れ替えるか/土台を替えるか/クラウンの種類/矯正方法(全体矯正/部分矯正/インビザライン等)の選択などをパターンでご提案。 -
4予備処置・前処置
虫歯や歯周病がある場合はそちらを先に治療。歯茎の健康を整えることで、仕上がりの美しさを安定させます。 -
5矯正治療
必要があれば先に歯並びの調整を進めます。インビザラインなどの見た目に配慮した矯正装置を用いることも可能。 -
6審美治療(クラウン・被せ物の製作)
色・形を周囲の歯と調和させるための試適、仮歯での確認をじっくり行い、最終的にクラウン等をセット。 -
7噛み合わせ調整・仕上げ
装着後の咬合の違和感・隣接歯とのあたりなどを微調整。歯茎との境目の見え方などもチェック。 -
8メンテナンス・フォローアップ
定期検診、クリーニング、歯ぎしり・食いしばり対策、マウスピースの検討など。審美治療の維持管理を重視します。 -
審美治療/クラウンを長持ちさせる秘訣
せっかく時間とコストをかけて審美+矯正統合治療をしたなら、長期間きれいな状態を保ちたいですよね。当院が特に重視しているポイントを以下にまとめます。
- 定期的なプロフェッショナルクリーニング(PMTC等)
-
歯周病の予防および歯茎ケア(歯肉マッサージ・歯周ポケットの管理等)
-
噛み合わせの定期チェック・適正化
-
歯ぎしり・食いしばりの有無の確認 → マウスピース等で保護
-
日常のブラッシングと歯間ブラシの併用
-
食生活・喫煙・飲酒等の生活習慣の見直し(ステインの原因・歯茎への影響)
よくある質問(FAQ)
Q. 保険治療と何が違うのですか?
A. 保険治療は金属やプラスチックが中心で、見た目や耐久性に限界があります。自由診療では、強度・透明感・長期安定性が格段に向上します。Q. 部分矯正だけでも審美治療と組み合わせられますか?
A. はい。前歯の軽度の歪みや隙間であれば部分矯正+セラミックで十分対応可能です。Q.矯正治療をすると治療期間はどのくらい延びますか?
A. 矯正の範囲(部分矯正 or 全体矯正)や歯並びの状態によりますが、追加で数ヶ月〜1年程度かかるケースが多いです。ただし見た目・機能・長期安定性を考えれば、その投資に見合う価値があります。
-
Q.治療後の色の変化はありますか?A. 使用するジルコニアやセラミックの素材自体は変色しにくいです。ステインの原因となる飲食・喫煙などを控え、クリーニングを定期的に行えば、変色リスクは低く抑えられます。
まとめ
差し歯の根元の黒ずみや歯ぐきの下がりは、見た目だけでなく健康のサインでもあります。
アンチエイジングデンタルクリニック恵比寿では、審美治療と矯正治療を組み合わせることで、単に白い歯を作るのではなく「自然で長持ちする美しさ」をご提案しています。
歯を白く整えたい方・差し歯の黒ずみが気になる方は、ぜひ一度ご相談ください。
当院のInstagramアカウントはこちら
-
治療相談受付中!
まずはお気軽にご連絡ください。 -
\ お電話はこちら /
⌚受付時間:10:00-13:00/14:30-19:00
-
\ 治療相談受付中! /
矯正無料相談・審美治療相談
監修者
- アンチエイジングデンタルクリニック恵比寿 小川 朗子(おがわ あきこ) 担当科目:一般歯科/専門治療 矯正歯科・点滴療法
-
1996年 鶴見大学歯学部卒業
1997年〜2006年 都内開業医勤務
2004年〜南青山デンタルクリニック副院長
2006年 アンチエイジングデンタルクリニック恵比寿開院
2007年 抗加齢医学会認定専門医取得
2015年 インビザライン認定医取得
2017年 高濃度ビタミンC点滴認定医取得
2018年 インディアナ州立大学歯学部 歯科矯正プログラム認定医取得 - 公式サイトトップへ