【矯正歯科】
矯正したのに前歯がねじれている・隙間がある」は治せる?再治療の原因と最適な治療法を歯科医が解説
Last Updated on 2026年1月25日 by 小川朗子

「せっかく高い費用と時間をかけて矯正したのに、前歯のねじれが取れていない」「隙間が空いたまま治療が終わってしまった」「後戻りして凸凹が目立ってきた」……。
当院には、このような過去に行った矯正結果に対する不満や、終了後のトラブルを抱えた患者様が数多く相談にいらっしゃいます。実は、矯正治療において「前歯の微調整」は最も難易度が高く、かつ満足度を左右する重要なポイントです。
この記事では、矯正後にねじれや隙間が残る原因から、再治療の選択肢(再矯正・ダイレクトボンディング)、そして後悔しないための歯科医院選びまで、専門医の視点で詳しく解説します。もう一度、自信を持って笑える口元を取り戻しましょう。
目次
1. 矯正をしたのに「前歯のねじれ・隙間」が残る理由とは?
なぜ、プロの治療を受けたはずなのに完璧な歯並びにならないのでしょうか。そこには、診断の限界や、治療後のケアなど複数の要因が絡み合っています。
1.1 顎のスペース不足(非抜歯矯正の限界)
「歯を抜かない矯正」において、スペースが足りないまま歯を並べようとすると、歯の動きに限界を生じて正しい位置に収まりきらないことがあります。その結果、最後に並ぶはずの前歯に「ねじれ」が残ったまま、治療を終了せざるを得ないケースが見受けられます。
1.2 歯の形態(矮小歯など)による隙間
歯自体のサイズが標準より小さい「矮小歯(わいしょうし)」がある場合、どんなに矯正で根元を寄せても、歯の形そのものが原因で隙間が空いて見えてしまいます。これは矯正だけでは解決できず、審美歯科的なアプローチが必要です。
1.3 保定装置(リテーナー)の不備と後戻り
矯正装置を外した直後の歯は、非常に動きやすい状態です。リテーナーの装着時間が短かったり、自分の歯列に合っていなかったりすると、数ヶ月で「後戻り」が発生し、再び凸凹や隙間が生じてしまいます。
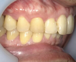
⚪︎以前に矯正治療を行ったが、前歯のねじれとすき間が気になり来院されたケース
1年前の矯正後、ややねじれが残ったまま終了したが、その後少しずつ後戻りしてすき間も空いてきたというご相談でした。ダイレクトボンディングも検討されていましたが、すき間だけでなくねじれも残っていたため再矯正の方が適切です。インビザラインで前歯の部分的な矯正を行いました。前歯の長さが気になるとのことで、形態修正を行っています。
相談時


矯正後


治療期間:5ヶ月/治療費用:¥352000(税込)/治療のリスク・デメリット:保定装置をしないと後戻りする
2. ねじれ・隙間を解消する「2つの解決策」
当院では、残ってしまったねじれや隙間に対し、大きく分けて「再矯正」と「ダイレクトボンディング」の2つの手法を提案しています。
2.1 マウスピース矯正(インビザライン)による再治療
「もう一度ワイヤーをつけるのは抵抗がある」という方には、インビザラインが最適です。他のマウスピース矯正の中でもねじれの改善に強く、3Dシミュレーションにより、ねじれの回転度合いを実現性の高い数値に設定できるため「あとどのくらい動かせばねじれが取れるか」が可視化できます。
- メリット: 目立たない、抜歯せずに微調整が可能、全体の噛み合わせも改善できる。
- デメリット: 装着時間を守る必要がある、ケースによっては数ヶ月〜の期間がかかる。
2.2 ダイレクトボンディングによる即日修復
歯を削ることなく、歯科用高品質樹脂(コンポジットレジン)を盛り付けて隙間や形を整える方法です。特に、歯のサイズが小さいために空いている隙間(正中離開など)には劇的な効果を発揮します。矯正後、5〜10年以上経過していてすき間の量がほぼ変わっていない(後戻りし続けていない場合)など、歯並びが安定している場合に適応になります。
- メリット: 最短1日で完了、歯を削らない、矯正より費用を抑えられる。
- デメリット:矯正後1年以内など、施術後も後戻りの可能性がある場合は不適切。 極端に大きなねじれには対応できない場合がある。
| 比較項目 | 再矯正(インビザライン) | ダイレクトボンディング |
|---|---|---|
| 適応 | ねじれ・凸凹・全体の歪み | 隙間(すきっ歯)・軽微なねじれ |
| 期間 | 3ヶ月〜1年程度 | 最短1日(即日) |
| 歯を削る量 | ねじれの状態によりIPRが必要になることがある | ゼロ(または極微量) |
無料相談はこちらから
3. 当院のこだわり:なぜ難症例の再治療が得意なのか
アンチエイジングデンタルクリニック恵比寿が、他院からの再治療相談を多く受けるのには理由があります。
3.1 「矯正」×「審美」の両輪によるアプローチ
多くの歯科医院は「矯正専門」か「一般歯科」に分かれています。しかし、前歯のねじれや隙間の悩みは、その両方の視点がないと解決できません。当院では、「矯正で位置を直し、ダイレクトボンディングで形を整える」といったコンビネーション治療も可能です。
3.2 非抜歯(歯を抜かない)を基本方針に診療を行っています
再治療を希望される方の多くは「できるだけ歯の負担を少なく、健康な歯を保ちたい」と考えておられます。当院では、奥歯の後方移動や歯列拡大、IPR(歯の側面の微調整)を駆使し、可能な限り抜歯を避けた再矯正プランを立案しています。
4. 再治療に関するよくある質問(FAQ)
Q. 前の医院で「これが限界」と言われましたが、本当に治りますか?
A. 歯科医師によって治療のゴール設定や得意とするデバイスは異なります。当院では、最新のマウスピース矯正シミュレーションを用いて、本当に限界なのか、あとどの程度改善の余地があるのかを客観的に判断します。マウスピースで不得意な動きや不可能な動きがシミュレーション上で見られたら、ワイヤーやボタン、ゴムなどの補助装置の使用を想定しリカバリーをしながら治療を行っています。諦める前に一度ご相談ください。
Q. 再治療でもう一度全額かかりますか?
A. 状態によります。全体的な噛み合わせに問題がなく、前歯数本のみの微調整であれば「部分矯正」として費用を抑えられる場合があります。また、ダイレクトボンディングであれば、さらにコストを抑えた対応が可能です。
5. まとめ:理想の歯並びを諦めないでください
矯正治療のゴールは、単に「歯が並んでいること」ではなく、患者様自身が「心から満足して笑えること」であるべきだと考えています。ねじれや隙間が残ったままの状態で妥協する必要はありません。
当院では、恵比寿駅から徒歩2分のリラックスできる空間で、じっくりとお悩みを伺います。「以前の治療で不満がある」「今の歯並びが最善か知りたい」という方は、ぜひ一度無料カウンセリングへお越しください。
当院のInstagramアカウントはこちら
-
治療相談受付中!
まずはお気軽にご連絡ください。 -
\ お電話はこちら /
⌚受付時間:10:00-13:00/14:30-19:00
-
\ 治療相談受付中! /
矯正無料相談・審美治療相談
監修者
- アンチエイジングデンタルクリニック恵比寿 小川 朗子(おがわ あきこ)
-
1996年 鶴見大学歯学部卒業
1997年〜2006年 都内開業医勤務
2004年〜南青山デンタルクリニック副院長
2006年 アンチエイジングデンタルクリニック恵比寿開院
2007年 抗加齢医学会認定専門医取得
2015年 インビザライン認定医取得
2017年 高濃度ビタミンC点滴認定医取得
2018年 インディアナ州立大学歯学部 歯科矯正プログラム認定医取得
2018年 著書「若さを取り戻す歯のエイジングケア」出版 - 公式サイトトップへ