【矯正歯科】
歯並び悪い八重歯は治すべき?放置リスク・原因・矯正方法を解説
Last Updated on 2026年1月7日 by 小川朗子

「八重歯はかわいいと言われたことがあるけれど、本当は歯並びが悪いのでは」「このまま放置して大丈夫なのか不安」そんな風に思うことはありませんか?
八重歯は見た目の印象だけで判断されがちですが、実は虫歯や噛み合わせなど、将来の口腔環境に影響するケースもあります。一方で、すべての八重歯が必ず治療対象になるわけでもありません。
この記事では、八重歯を放置した場合のリスクや原因、治療したほうがよい判断基準、矯正方法の選択肢までを歯科的な視点で分かりやすく解説しています。
読むことで「自分の八重歯は治すべきか」「どんな治療法が合っているのか」を冷静に判断できるようになります。
八重歯にコンプレックスを感じている人、矯正を考え始めた人、将来後悔しない選択をしたい人に、ぜひ読んでほしい内容です。
目次
歯並びが悪い「八重歯」とは?

歯並びが悪い八重歯は、見た目だけでなく口腔環境に悪影響を及ぼしやすい歯並びです。
上あごの犬歯は生える位置と時期の影響を受けやすく、歯列から外れて生えると清掃性が低下します。
歯が重なった部分には汚れが残りやすく、虫歯や歯周病の発症リスクが高まります。また、噛み合わせのバランスが乱れることで、顎や周囲の筋肉に負担がかかる場合もあります。
歯科矯正では、八重歯は叢生に分類され、治療を検討すべき歯並びとして扱われます。
八重歯になる主な原因

八重歯は単一の要因ではなく、成長過程や口腔環境が重なって生じます。
犬歯(八重歯)は永久歯の中でも後に生えるため、歯列の環境が整っていないと正しい位置に並びにくくなります。
具体的な原因についてそれぞれ解説します。
♦顎が小さい・歯が大きいなどスペース不足
顎の大きさと歯のサイズが合わない場合、八重歯が生じやすくなります。
歯は弓状の骨の上に並びますが、顎の幅が十分でないと全ての歯が収まりません。
特に犬歯は最後に生えることが多く、空間が不足すると外側へ押し出される形になります。成長期に顎の発達が不十分な場合、歯列全体が窮屈になりやすい傾向があります。
♦乳歯と永久歯の生え変わり時期の乱れ
乳歯と永久歯の入れ替わりの乱れも原因になります。
乳歯が残った状態では永久歯の通り道が塞がれ、犬歯は本来とは異なる位置から生えやすくなります。乳歯が抜けるタイミングが遅くなると、本来生えるべき位置よりもかなり上方に生えてきてしまうこともあります。
反対に、乳歯が早期に失われると周囲の歯が移動し、犬歯が並ぶ空間が確保できなくなります。生え変わりの管理は歯並び形成に大きく関係します。
♦過剰歯・歯の本数の問題
歯の本数が通常より多い場合、八重歯が起こることがあります。
余分な歯が顎の中に存在すると、永久歯の進行方向が妨げられます。犬歯は影響を受けやすく、歯列の外側や高い位置に生える場合があります。
視診では分かりにくく、画像検査で確認されることも少なくありません。
♦遺伝・口呼吸・食習慣など生活要因
体質や日常の習慣も歯並びに影響します。
顎の形や歯の大きさは家族内で似る傾向があります。
柔らかい食事が中心になると咀嚼回数が減り、顎の成長刺激が不足しやすくなります。
また、口が常に開いた状態が続くと舌の位置が安定せず、上あごが狭くなりやすい環境が生まれます。
八重歯を放置するとどうなる?デメリットとリスク

八重歯を放置すると、見た目だけでなく口腔環境や噛み合わせに悪影響が出やすくなります。
歯が重なって生える状態は清掃性を低下させ、虫歯や歯周病のリスクを高めます。
さらに、噛み合わせの乱れが顎や体の不調につながる場合もあり、歯科医療では管理や治療を検討すべき歯並びとして扱われます。
歯磨きしにくく虫歯・歯周病になりやすい
八重歯がある歯並びは、歯磨きが難しくなります。
歯が前後に重なることで段差が生じ、歯ブラシが届きにくい部分が増えます。磨き残しが続くと歯垢が溜まり、虫歯や歯周病が進行しやすくなります。
特に犬歯の影に隠れた歯は負担を受けやすく、早期にトラブルが起こることもあります。
見た目のコンプレックス
八重歯は心理的な負担につながる場合があります。
若い時期には個性として受け止められることもありますが、年齢とともに歯茎や口元の変化が起こると、歯並びの乱れが強調されやすくなります。
また、犬歯があると唇が閉じにくく、笑った時にも犬歯が引っ掛かり口元がきれいに見えない、といったお悩みも多いです。
人前で笑うことに抵抗を感じ、治療を検討するきっかけになることも少なくありません。
噛み合わせが乱れ、顎や体に負担がかかる
八重歯は噛み合わせの機能にも影響します。
犬歯は「犬歯誘導」と言って顎を左右に動かす時のガイドの役割をします。しかし、八重歯で犬歯同士が当たらずに本来の役目ができないと、奥歯に力が集中しやすくなり、歯の摩耗や顎関節の違和感を招くことがあります。
首や肩のこり、頭の重さを感じる人も見られます。
口臭・汚れが溜まりやすい
八重歯のある口腔内は、汚れが蓄積しやすい環境になります。
歯垢が長く残ると細菌が増え、口臭の原因になります。
また、歯が重なった部分は唾液の流れが弱く、飲食物の色素が付きやすくなります。
歯の黄ばみやくすみが目立ちやすくなり、清潔感に影響することがあります。
口内炎や唇を傷つけやすい
八重歯は口の中の粘膜を刺激しやすい歯並びです。
外側に位置する犬歯が唇や頬の内側に触れ続けることで、口内炎が繰り返し起こる場合があります。
転倒や衝突の際には、歯が唇を傷つける危険性も高くなります。日常生活や運動時の不安につながることもあります。
八重歯を治療したほうがいいケース

八重歯は必ず治療が必要とは限りませんが、機能面や健康面に影響が出ている場合は治療を検討したほうがよい歯並びです。
噛み合わせや清掃性、口元の状態に問題が生じると、将来的に歯や顎へ大きな負担がかかります。複数のサインが見られる場合に矯正治療が推奨されます。
噛み合わせの機能が失われているケース
噛み合わせの働きが十分でない場合、治療が望まれます。
犬歯は顎の動きのガイドになる歯で奥歯を守る役割を持ちますが、八重歯の位置がずれていると正常に噛み合いません。
その結果、食事や歯ぎしりの際に奥歯へ強い力が集中しやすくなります。歯のすり減りや欠け、顎の違和感や痛みが見られる場合は、噛み合わせの乱れが関係している可能性があります。
唇や顔の形に悪影響があるケース
口元や顔貌に負担がかかっている場合、治療による改善が期待されます。
八重歯が唇に当たることで口が閉じにくくなり、口の中が乾燥しやすくなることがあります。無理に口を閉じようとすると顎先にシワが入り、筋肉へ負担がかかります。
会話や表情の動きで唇や粘膜を頻繁に傷つける場合も、生活の質を考えると治療を検討したほうがよい状態です。
口内環境が悪化しているケース
口の中の状態が安定しない場合も治療を考える目安になります。
八重歯と周囲の歯が重なった部分は清掃が難しく、同じ箇所で虫歯や歯茎の腫れを繰り返しやすくなります。
丁寧に歯磨きを行っても口臭が改善しない場合、歯垢や歯石が残りやすい構造が原因になることがあります。歯並びを整えることで、ケアしやすい環境が整います。
八重歯はどうやって治す?歯を抜かずに治す矯正方法についてはこちら
八重歯もマウスピース矯正で治せます。インビザラインについて詳しく
八重歯の矯正方法
八重歯の矯正方法は、歯並びの状態や生活スタイルによって適した選択肢が異なります。
歯を動かして整える方法と、被せ物で形を整える方法があり、治療期間や見た目、歯への負担に差があります。特徴を理解したうえで選ぶことが重要です。
ワイヤー矯正(表側矯正)

表側矯正は、歯の表面に装置を装着してワイヤーで歯を動かす方法です。
歯の移動量を確保しやすく、上下的な動きも得意なため、重なりが強い八重歯やかなり上方にある八重歯症例にも対応できます。近年は白色の装置や目立ちにくいワイヤーも選択でき、審美面への配慮も進んでいます。
一方で、装置が見えやすい点や清掃に工夫が必要な点が特徴です。
ワイヤー矯正(裏側矯正)

裏側矯正は、歯の内側に装置を取り付ける方法です。
外見から装置が見えにくいため、人前に立つ機会が多い人に選ばれています。
歯をしっかり動かせる点は表側矯正と同様ですが、費用が高くなりやすく、舌に違和感を覚える場合があります。
慣れるまで発音に影響が出ることもあります。
マウスピース矯正

マウスピース矯正は、透明な装置を装着して段階的に歯を動かす方法です。
取り外しが可能なため、食事や歯磨きを通常通り行えます。
見た目の変化が少なく、痛みも比較的穏やかな傾向があります。
ただし、装着時間を守らないと計画通りに歯が動かないため、自己管理が重要になります。八重歯の位置や重なりが強い場合は適応が限られることもあります。
部分矯正
部分矯正は、前歯など限られた範囲のみを整える方法です。
治療期間が短く、費用も抑えやすい点が特徴です。
ただし、八重歯の多くは歯列全体のスペース不足が原因となるため、部分的な治療では対応できない場合があります。
無理に並べると前歯が突出する可能性もあり、慎重な診断が必要です。
セラミック矯正
セラミック矯正は、歯を動かさず被せ物で形を整える方法です。
短期間で歯並びと色調を整えられる点が特徴ですが、歯肉位置を変えることができないため
基本的には八重歯の場合にはセラミック矯正は不向きと言えます。
セラミックで治す場合、生え方によっては神経を取る処置や抜歯が必要になることもあります。
八重歯の治療で抜歯が必要になる基準

八重歯の治療で抜歯が必要かどうかは、歯並びの乱れの強さと口元のバランスによって判断されます。
歯を並べるための空間が足りない場合、無理な非抜歯治療は歯や歯茎に負担をかけるため、抜歯を選択したほうが安全なケースがあります。
ただし、八重歯が歯列乱れの原因だとしても八重歯そのものを抜くのではなく隣の小臼歯を抜いてスペースを作ることが一般的です。
歯列の動かし方次第では八重歯でも小臼歯抜歯を回避できる場合もあります。
抜歯が必要なケース
歯を並べるスペースが大きく不足している場合は、抜歯が検討されます。
歯の重なりが強く、全体で大きなスペース不足があると、歯列内に収めることが難しくなります。前歯や犬歯を無理に前方へ押し出すと、口元が突出しやすくなり、横顔の印象にも影響が出ます。
また、骨の幅に対して歯のサイズが合っていない状態で歯を動かすと、歯根が支えを失い、歯茎が下がる恐れもあります。見た目と健康の両面を考慮すると、抜歯によるスペース確保が適切と判断されることがあります。
歯を抜かずに済むケース
歯列全体を調整できる余地がある場合は、非抜歯で治療できることがあります。
奥歯を後方へ移動させる余裕があれば、歯並び全体を後ろにずらして空間を確保できます。
歯の側面をわずかに削る方法により、必要な隙間を作れる場合もあります。さらに、歯列のアーチを横方向へ広げることで、歯を抜かずに八重歯を整えられるケースもあります。歯や顎の状態によって適応が異なるため、精密な検査が欠かせません。
八重歯治療にかかる費用と期間の目安

八重歯治療は、費用と期間の両面で一定の負担がかかる治療です。
歯並び全体を整える必要があるケースが多く、使用する矯正装置や抜歯の有無によって治療計画が変わります。
あらかじめ目安を把握しておくと、治療に対する不安を減らしやすくなります。
治療期間の目安
八重歯の矯正は、比較的長い期間が必要になる傾向があります。
全体矯正の場合、歯を動かす期間はおおよそ1年半から3年程度が一般的です。歯を抜かずに治療できる場合は1年から2年ほどで終わることが多く、抜歯を行う場合は歯の移動距離が長くなるため、2年以上かかることがあります。
歯並びが整った後も、後戻りを防ぐ目的で保定装置を使用する期間が必要になり、2年程度は日中も含めて10時間程度の装着を推奨しています。被せ物で見た目を整える治療では、数か月で完了するケースもあります。
費用の目安
八重歯治療は自由診療となり、治療内容によって費用に幅があります。
表側のワイヤー矯正は60万円から100万円前後が一般的で、裏側矯正は高度な技術が必要なため100万円を超える場合があります。
マウスピース矯正は80万円から110万円程度が目安です。部分的な治療は比較的費用を抑えやすいものの、八重歯では適応できない場合もあります。被せ物による治療は本数によって総額が変わり、複数本を扱うと高額になりやすい点が特徴です。
加えて、通院ごとの調整料が必要な医院や、すべてを含めた定額制を採用している医院もあります。分割払いを利用できる場合や、条件を満たすと医療費控除の対象になる場合もあるため、事前に確認しておくと安心です。
当院では、インビザラインで行う八重歯矯正の場合は来院時調整料や装置装着料金等の全てを含めた料金設定としています。期間が伸びても追加料金がかかることはありません。
ワイヤー矯正の場合は、矯正費用と4週間ごとの来院で調整料金を頂いています。
八重歯の症例事例
*症例は全て非抜歯で行っています。
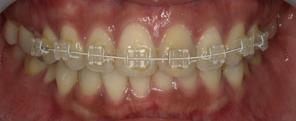
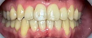
症例1 重度な八重歯
犬歯の位置がかなり上方にあり、重度な八重歯のケースです。この場合は、はじめにワイヤー装置を入れて上方にある八重歯と前歯のラインを揃えるときれいな歯肉ラインが作れます。
その後、インビザラインで治療を行いました。歯の間をわずかに削り、歯を後方と側方に動かしながら歯列を整えました。
Before

After

- 治療方法:インビザライン全顎(ワイヤー装置併用)
- 治療期間:3年
- 治療費用:¥990000(税込)
- リスク・副作用:治療中の一時的な知覚過敏や違和感が出ることがある。保定装置をしないと後戻りする
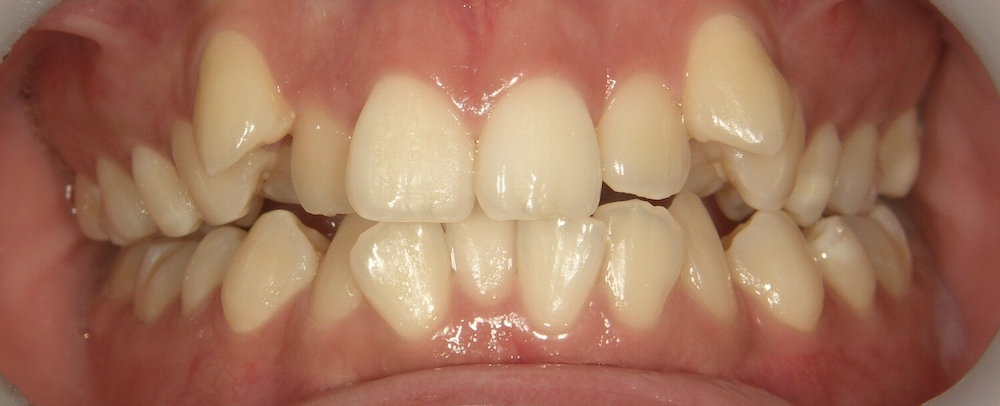
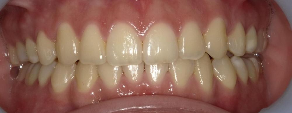
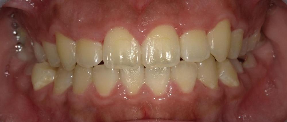
症例2 中等度八重歯
犬歯が尖っていて長い、でこぼこを治したいとのことでご相談にいらっしゃいました。
形態修正を希望されていましたが、犬歯の形が目立ち長く見えるのは歯並びが原因です。この場合は、形態修正ではなく矯正治療が最適でしたのでインビザライン治療を行いました。
でこぼこを治し犬歯を移動させるために、歯の間をわずかに削り顎間ゴムをつけて治療を行いました。
Before

After

- 治療方法:インビザライン上下全体
- 治療期間:1年2ヶ月
- 治療費用:¥1045000(税込)
- 治療のリスク・副作用:治療中の違和感や一時的な痛みが出ることがある。保定装置をしないと後戻りする。
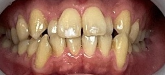
症例3 軽度八重歯
2番目の歯が引っ込んでいて、犬歯の八重歯が目立っていました。
八重歯としては軽度だったため、凸凹の前歯を整えるようにワイヤー部分矯正で治療を行いました。ワイヤー矯正のメリットを活かして部分的な範囲で治す事のできたケースです。
Before

After

- 治療方法:前歯部分ワイヤー矯正(上顎のみ)
- 治療期間:10ヶ月
- 治療費用:¥434000(税込)
- 治療のリスク・副作用:保定装置をしないと後戻りする。
歯並び悪い八重歯に関するよくある質問

八重歯の治療に関する質問をまとめました。
誤った情報による判断は、歯や歯茎に負担をかける原因になります。
正しい知識を持つことで、不安を減らしやすくなります。
Q,八重歯は自力で治せますか?
八重歯を自分の力で治すことはできません。
歯は顎の骨に支えられており、専門的な管理なしに力を加えると、歯の神経や周囲の組織を傷める恐れがあります。
市販の器具や指で押す行為は、歯茎が下がったり歯が弱くなったりする原因になります。
安全に歯を動かすためには、歯科医師による計画的な治療が必要です。
Q,八重歯「だけ」を部分矯正で治せますか?
多くの場合、八重歯のみの部分矯正は難しいと判断されます。
八重歯は歯列全体の空間不足が原因になることが多く、前歯だけを動かしても並ぶ余地が確保できません。無理に位置を整えると、前歯が突出したり噛み合わせが乱れたりする可能性があります。
通常は歯並び全体を考慮した治療が選ばれるケースが一般的です。
Q,矯正するとほうれい線が濃くなるって本当?
多くの場合、過度に心配する必要はありません。
八重歯がある状態では、歯が内側から頬を押し上げていることがあります。歯並びが整うと、頬の張りが変化し、ほうれい線が目立ったように感じる人もいます。
ただし、口元の突出感が改善され、横顔の印象が整うケースが多く見られます。
治療計画の段階で口元の変化を確認することが大切です。
Q,八重歯矯正はどのくらい痛いですか?
強い痛みを感じやすい時期は限られています。
装置を装着した直後や調整後の数日、マウスピースを交換した日は、歯に圧がかかり、噛むと違和感を覚えることがあります。
飛び出した歯に装置が当たり、口内炎ができやすい場合もありますが、保護材を使うことで軽減できます。多くの場合、時間の経過とともに慣れていきます。
Q,費用は保険適用になりますか?
一般的な八重歯矯正は保険適用外です。
見た目の改善を目的とした歯列矯正は自由診療となります。
ただし、顎の骨格に問題があり外科的処置が必要と診断された場合や、先天的な疾患が関係する場合には保険が適用されることがあります。
条件を満たす治療では医療費控除の対象になる可能性もあるため、事前に確認すると安心です。
まとめ
八重歯は「かわいい」という印象で捉えられることもありますが、歯科的には歯並びが乱れた状態に含まれ、放置すると虫歯や歯周病、噛み合わせの不調につながる場合があります。
原因には顎と歯の大きさの不一致や生え変わりの影響、生活習慣などがあり、状態によって治療の必要性は異なります。
噛み合わせや口内環境、口元への影響が見られる場合は、矯正治療を検討する価値があります。
治療法にはワイヤー矯正やマウスピース矯正など複数の選択肢があり、抜歯の有無や費用、期間も症例ごとに変わります。
八重歯に悩んだときは自己判断せず、歯科医師による診断を受けたうえで、自分に合った治療方法を選ぶことが後悔しないためのポイントです。
「自分の八重歯はどんな治療法で治るの?」「期間や費用はどれくらい?」など、八重歯でお悩みの方は、お気軽にご相談ください。
当院のInstagramアカウントはこちら
-
治療相談受付中!
まずはお気軽にご連絡ください。 -
\ お電話はこちら /
⌚受付時間:10:00-13:00/14:30-19:00
-
\ 治療相談受付中! /
矯正無料相談・審美治療相談
監修者
- アンチエイジングデンタルクリニック恵比寿 小川 朗子(おがわ あきこ)
-
1996年 鶴見大学歯学部卒業
1997年〜2006年 都内開業医勤務
2004年〜南青山デンタルクリニック副院長
2006年 アンチエイジングデンタルクリニック恵比寿開院
2007年 抗加齢医学会認定専門医取得
2015年 インビザライン認定医取得
2017年 高濃度ビタミンC点滴認定医取得
2018年 インディアナ州立大学歯学部 歯科矯正プログラム認定医取得
2018年 著書「若さを取り戻す歯のエイジングケア」出版 - 公式サイトトップへ