【矯正歯科】 NEW
10年経っても歯は動く?矯正後の後戻りを防ぐための5つの習慣
-
\ 治療相談受付中! /
矯正無料相談・審美治療相談
Last Updated on 2025年12月5日 by 小川朗子
「矯正してからもう10年。あのとき頑張って整えた歯並びが、なんだか少しズレてきた気がする…」
そんな不安を感じていませんか?
矯正治療は一度終われば安心と思われがちですが、歯は一生を通じてわずかに動き続ける生きた組織です。
実際、多くの人が10年を過ぎた頃から「後戻り」を実感し始めています。
歯が動く原因は、リテーナーの使用不足だけではありません。
加齢や生活習慣、筋肉の癖、噛み合わせの変化など、さまざまな要因が少しずつ積み重なり、気づかないうちに歯列へ影響を与えています。
この記事では、「10年経っても後戻りを防ぐために、今すぐできる5つの習慣」を紹介します。
リテーナーの継続使用から、ナイトガード・MFT(口腔筋トレーニング)の活用、生活習慣の見直しまで、日常で実践できる具体的な方法をまとめました。
目次
矯正から10年経つと歯は動く?後戻りは珍しくない

矯正から10年経過して歯並びが変化することは、決して珍しいことではありません。
矯正治療で整えた歯は、長い年月をかけて少しずつ位置が変化します。これは矯正直後の一時的な不安定さだけでなく、加齢や生活習慣、顎や筋肉の変化が積み重なるためです。
歯は一生動き続けるしくみ
歯は生涯を通じてわずかに動き続けています。
矯正治療で動かす力だけでなく、日常的な噛む力や筋肉の圧力が絶えず作用しているためです。
歯と骨の間には「歯根膜」という薄い膜があります。この歯根膜は圧力を感知し、歯が押される側では骨を吸収し、引っ張られる側では骨を作る働きを促します。その結果、歯はごく小さな力でも少しずつ移動する性質を持っています。
また、食事の咀嚼や会話の際の舌の動き、頬や唇の筋肉の力も、日常的に歯に影響を与えます。加齢によって顎の骨が変化したり、歯が摩耗したりすることでも噛み合わせのバランスが変化し、歯列全体にわずかな移動が起こります。
こうした現象は「生理的な歯の移動」と呼ばれ、矯正治療を受けた人に限らず、誰にでも起こる自然な変化です。
後戻りを感じやすい部位(特に下の前歯)
矯正から10年ほど経過すると、最も後戻りを感じやすいのが下の前歯です。
下の前歯は骨の厚みが薄く、力の影響を受けやすいため、少しの圧力でも動きやすい特徴があります。
特に、加齢に伴う顎骨の変化や親知らずの前方への圧力が、下の前歯を押し出す形でズレを起こすことがあります。
また、無意識のうちに舌で前歯を押す「舌癖」や、頬杖・食いしばりなどの習慣がある場合も、前歯の位置が少しずつ前方や内側に移動し、ガタつき(叢生)が目立ちやすくなります。
さらに、噛み合わせがわずかにずれると、噛むたびに歯へ不均等な力がかかり、下の前歯の配列に変化を与えることがあります。
矯正後10年で後戻りする主な原因

矯正後に10年が経過しても歯並びが変化するのは、自然な現象です。
後戻りは一つの要因だけで起こるものではなく、加齢や生活習慣、リテーナーの使い方、顎の成長など、複数の要因が重なって生じます。
そのため、長期的に歯列を安定させるには、原因を正しく理解し、日常の中で意識的にケアを続けることが大切です。
後戻りの主な原因は次のとおりです。
- リテーナー(保定装置)の使用不足
- 加齢による骨や歯茎の変化
- 舌癖・食いしばり・口呼吸などの悪習慣
- 歯周病による歯の支えの変化
- 顎や顔の成長バランスの影響(若年矯正経験者)
リテーナー(保定装置)の使用不足
後戻りの最も大きな原因は、リテーナーの使用不足です。
矯正治療後、歯は新しい位置に安定するまで長い時間を必要とします。歯を支える骨や歯ぐきは「元の位置に戻ろうとする性質」を持ち、特に治療終了後の数年間はこの力が強く働きます。
この時期にリテーナーを装着しない、または装着時間が短いと、骨や歯周組織が十分に固まる前に歯が動き始めます。
たとえ10年が経過しても、夜間だけの装着を継続することで歯列の安定を保ちやすくなります。リテーナーの使用を続けることは、矯正治療の延長線上にある重要なケアです。
関連記事:【矯正後の後戻り】なぜ起こる?原因と治す方法を歯科専門医が徹底解説
加齢による骨や歯茎の変化
加齢に伴って歯を支える骨や歯茎は徐々に変化します。
顎の骨は年齢とともに密度が下がり、特に下顎がわずかに前方に移動する傾向があります。この変化によって、下の前歯が押し出されるように動き、歯並びが乱れやすくなります。
また、長年の噛み合わせによる歯の摩耗や沈み込みが起こると、歯列全体のバランスが崩れます。歯ぐきの退縮も進行しやすくなり、歯の位置を支える力が弱まります。
このような加齢変化は避けられませんが、定期的なメンテナンスやクリーニングで進行を遅らせることが可能です。
舌癖・食いしばり・口呼吸などの悪習慣
歯の位置は、舌や唇、頬の筋肉の力のバランスによって保たれています。
このバランスが崩れると、弱い力でも長期間かかり続けることで歯が少しずつ動きます。
舌で前歯を押す癖(舌癖)があると、前歯が前方に傾きやすくなり、歯列の乱れを引き起こします。
睡眠中の歯ぎしりや食いしばりは、歯全体に強い力をかけ、噛み合わせのバランスを不安定にします。
さらに、口呼吸を続けていると唇の筋力が低下し、外側から歯を支える力が弱まるため、歯が前方へ押し出されやすくなります。
こうした習慣は意識しにくいため、ナイトガードの使用や口腔筋トレーニング(MFT)などで改善を図ることが効果的です。
歯周病による歯の支えの変化
歯周病が進行すると、歯を支えている歯槽骨が溶けて減少します。
骨の支えが弱くなると、歯が安定を失い、わずかな力でも動きやすい状態になります。
結果として、噛み合わせの変化や生活習慣の影響を受けやすくなり、後戻りが起こりやすくなります。
歯周病による歯列の変化は、矯正治療後の人だけでなく、誰にでも起こり得ます。
毎日の歯磨きや定期検診で歯茎の健康を守ることが、歯並びの安定を保つ基盤となります。
顎や顔の成長バランスの影響(若年矯正経験者)
成長期に矯正を終えた人は、その後の顎の成長によって歯列が変化することがあります。
特に下顎は、女性で15歳前後、男性では18歳以降まで成長が続くことがあり、矯正時の想定よりも顎が前方に伸びるケースも見られます。
この成長差が生じると、噛み合わせがずれたり、歯が押し出されたりして後戻りのような歯列変化が発生します。
また、顔全体のバランスにも影響が出ることがあるため、成長期の矯正では定期的な経過観察が欠かせません。
成人後に軽度のズレが見つかった場合でも、部分矯正やリテーナーの再作製で整えることが可能です。
後戻りを防ぐために今からできること

矯正から10年が経過しても、美しい歯並びを維持するためには日々のケアが欠かせません。
歯は生涯にわたり動き続けるため、治療後の意識と継続的な対策が歯列の安定を保ちます。
後戻りを防ぐためには、次の5つのポイントを意識することが効果的です。
- 夜間だけでもリテーナーを継続使用する
- ナイトガードやMFT(口腔筋トレーニング)の活用
- 定期的な歯科検診とリテーナーの調整
- 歯周病・口腔ケアを徹底して歯を支える力を保つ
- 舌や口元の癖を改善する生活習慣を意識する
夜間だけでもリテーナーを継続使用する
後戻りを防ぐ最も確実な方法は、リテーナーの継続使用です。
歯は治療が終わっても常に動こうとするため、保定装置による支えが不可欠です。
特に矯正から数年が経過した後は「もう大丈夫」と思いがちですが、10年経過しても骨や筋肉の変化によって歯列は少しずつズレていきます。
昼間の使用が難しい場合でも、夜間だけの装着を習慣にすることで安定性を保てます。
眠っている間の数時間が、歯並びを維持するための大きな支えになります。
装着時に違和感がある場合やフィット感が変わった場合は、早めに歯科医院で調整を受けることが大切です。
ナイトガードやMFT(口腔筋トレーニング)の活用
歯ぎしりや食いしばり、舌の癖などによる力は、長期間かけ続けることで歯列に影響を与えます。
ナイトガードを使うことで、睡眠中に歯や顎にかかる過剰な力を分散でき、後戻りの進行を防ぎやすくなります。
また、舌の位置や飲み込み方が間違っていると、歯の裏側に力が加わり続けて歯列を乱すことがあります。
MFT(口腔筋トレーニング)では、正しい舌の位置・呼吸・飲み込み方を学び、筋肉のバランスを整えることで安定した歯列を支えられます。
当院では、後戻りの可能性が高い患者様には、矯正中から「舌トレーニング」を行っています。舌の正しい位置、日常生活での注意点や簡単にすぐできるトレーニングで舌の位置を定着させていきます。
矯正後も歯科医院で専門的な指導を受けながら、正しい動きを体に定着させることが重要です。
定期的な歯科検診とリテーナーの調整
リテーナーは長期間使い続けることで、摩耗や変形が起こることがあります。
変形したまま使用を続けると、かえって歯に不均等な力がかかり、歯列のバランスを崩す原因になります。
通常半年〜1年ごとに歯科検診を受け、リテーナーの状態を確認してもらうことで、最適な状態を保つことができます。
また、専門家による噛み合わせや歯列チェックを定期的に行うことで、微細なズレを早期に発見できます。
小さなズレであれば、軽度の再調整や部分矯正など短期間の対応で修正可能な場合もあります。
放置せず定期的に相談することで、大掛かりな再治療を防ぐことにつながります。

歯周病・口腔ケアを徹底して歯を支える力を保つ
歯の安定には、土台である骨や歯ぐきの健康が不可欠です。
歯周病や炎症があると、歯を支える骨(歯槽骨)が徐々に減少し、歯が動きやすくなります。
そのため、毎日の歯磨きとフロス、歯間ブラシを使った丁寧な清掃が必要です。
さらに、定期的に歯科医院で歯石除去やクリーニングを受けることで、歯周組織を清潔に保てます。
健康な歯ぐきと骨は、リテーナーと同じくらい後戻り防止に重要な役割を持っています。
口腔環境の良好な維持が、美しい歯並びを長く支えるための基本です。
舌や口元の癖を改善する生活習慣を意識する
日常生活での小さな癖が、長い年月を経て歯並びに影響を及ぼします。
頬杖や爪を噛む癖、唇を噛む癖などは、歯列に偏った力を加え続け、歯の位置をわずかにずらしてしまいます。
また、姿勢の悪さも顎の位置や噛み合わせに影響します。背筋を伸ばし、頭の位置が前に出ないよう意識することで、顎関節のバランスが整い、噛み合わせの安定にもつながります。
さらに、常に口を開けて呼吸する口呼吸は、唇の筋肉が弱まり、歯が前方へ出やすくなる原因です。
鼻呼吸を意識し、口を閉じてリラックスできる習慣を身につけることで、自然に歯列を守れます。
10年後に後戻りしてしまった場合の治療法

矯正から10年が経過して歯並びが崩れた場合でも、多くは再治療で整えることができます。
歯列のズレの程度や原因に応じて、軽度の後戻りには短期間の微調整、中程度〜重度の後戻りには再矯正といった対応が選ばれます。
放置すると噛み合わせや見た目のバランスがさらに崩れるため、早めの相談が大切です。
後戻りの治療は以下の方法で行われます。
- 軽度の後戻りの場合の治療法
- 中程度〜重度の後戻りの場合の治療法
当院では、後戻りの再矯正治療にも多く対応しています。軽度後戻り〜中等度以上の後戻りまでを、症例にあった装置でご提案しています。
軽度の後戻りの場合の治療法
歯のズレがわずかな場合は、比較的短期間で改善できます。
マウスピースを用いることで、元の歯並びに戻して再発を防ぎます。
新しいリテーナーの作製・調整
後戻りが軽微な場合で、「今以上に動かなければ良い」といったご希望の場合は新しいリテーナーを作製して、現在の歯並びをキープします。
矯正後に使用していたリテーナーが合わなくなった場合、現在の歯並びに合わせて新しいものを作り直します。
新しいリテーナーは、歯列の形状を再現した上で軽い圧力を加え、歯の位置を安定させます。
装着時間は主に夜間を中心に行い、数週間〜数ヶ月の使用で小さなズレを整えることができます。
再作製の際は、マウスピース型やワイヤー型など、歯の状態に合わせたタイプを選ぶことが重要です。
アライナー(マウスピース)による微調整
リテーナーでは修正が難しい場合には、マウスピース矯正が有効です。
透明なマウスピースを段階的に装着し、歯を少しずつ理想的な位置へ動かします。
アライナーは見た目が自然で取り外しが可能なため、日常生活に支障を与えません。
治療期間は数ヶ月〜半年程度が一般的で、歯列の微調整や軽い叢生(ガタつき)に適しています。
歯科医が作成する治療計画に基づき、1〜2週間ごとに新しいマウスピースへ交換しながら進めます。
当院では、わずかな後戻りの場合はアソアライナー、軽度〜中等度以上の後戻りにはインビザライン、など後戻りのの状態、費用、期間等も加味して最適なマウスピース装置をご提案しています。
例外として、歯が上下的な動きで後戻りしている場合にはマウスピースでは効果が得られにくいため、ワイヤー矯正を適応する場合があります。
中程度〜重度の後戻りの場合の治療法
歯列全体のズレや噛み合わせに問題が出ている場合は、より専門的な再矯正が必要です。
部分的な修正で済むケースもありますが、骨格や顎の位置が関わる場合は全体的な再治療が推奨されます。
部分矯正
部分矯正は、前歯など特定の範囲のみを整えたい人に適しています。
治療範囲が狭いため、数ヶ月〜1年ほどで終了するケースが多く、費用も全体矯正より抑えられます。
マウスピース矯正(例:インビザラインGo)や部分ワイヤー矯正が代表的な方法です。
ただし、奥歯や顎の骨格の影響が原因で歯列が崩れている場合には適応できません。
見た目の改善を重視する場合に有効で、治療後はリテーナーを併用して再発を防ぎます。
全体的な再矯正
後戻りが広範囲に及び、噛み合わせにも不具合がある場合は、全体的な再矯正が必要です。
歯列全体をもう一度正しい位置に整えることで、長期的に安定した歯並びを取り戻せます。
治療期間は1年半〜3年程度で、装置はワイヤー矯正やマウスピース矯正から選択できます。
費用は80万円〜100万円前後が目安ですが、治療内容や使用装置によって変動します。
矯正専門医による精密な診断のもとで治療を進めることで、見た目だけでなく噛み合わせの機能面も改善されます。
後戻り矯正の症例
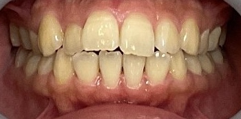
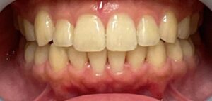
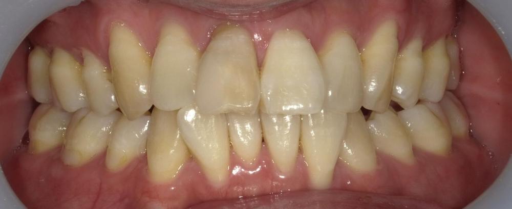
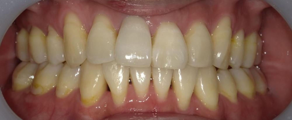
症例1 前歯の歯並びが後戻りによって出てきてしまったしまったケース(中等度)
10年ほど前のワイヤー矯正後に、保定装置をつけていなかったことが原因で前歯が後戻りしています。
- 治療方法 インビザライン上下+形態修正
- 治療期間:1年
- 治療費用 ¥759000(税込)
- 治療のリスク・デメリット 保定装置をしないと後戻りする
Before

After

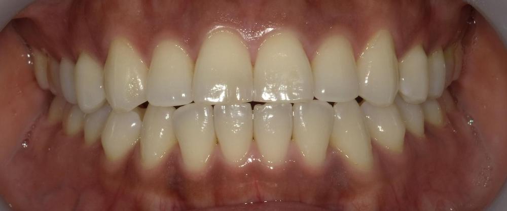
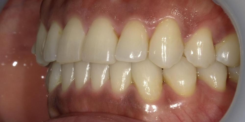
症例2 舌癖による後戻りケース (軽度)
舌を前歯に押し付ける癖があり、徐々に前に出てきてしまったため再矯正を行いました。矯正中から舌トレーニングを行い舌癖の改善に努めました。
- 治療方法 :インビザラインエクスプレス上下
- 治療期間 :6ヶ月
- 治療費用:¥385000(税込)
- 治療のリスク・デメリット :舌癖の改善をする必要がある
Before


After


症例3 20年前に上下4本の小臼歯を抜歯して矯正後、保定装置を中断してしまったケース(重度)
- 治療方法:インビザライン上下
- 治療期間:1年3ヶ月
- 治療費用 :¥990000
- 治療のリスク・デメリット: 歯肉退縮・ブラックトライアングル
Before


After


再矯正を始める前に知っておきたい注意事項

10年後の再矯正を検討する際には、初回の治療とは異なるリスクと判断基準があります。
歯や骨は一度矯正で動かしているため、再び力を加える際にはより慎重なアプローチが必要です。
安全かつ効果的に再治療を進めるためには、歯根への影響・治療の適応範囲・専門医の診断という3つの視点を理解しておくことが大切です。
主な注意点は以下の3つです。
- 歯根吸収や歯への負担リスク
- 軽度の後戻りなら経過観察で十分なケースも
- 信頼できる矯正歯科で現状を診断してもらう重要性
歯根吸収や歯への負担リスク
再矯正を行う際には、歯根吸収のリスクを考慮する必要があります。
歯根吸収とは、矯正の力によって歯の根の先端が短くなる現象です。
一度動かした歯は、歯根や周囲の骨が以前よりも敏感な状態にあるため、再び力を加えると吸収が進行する可能性があります。
根が短くなると、歯の寿命が短くなったり、噛む力に耐えにくくなったりする恐れがあります。
さらに、歯周病が進行している状態で無理に矯正を行うと、歯ぐきや骨への負担が増し、症状を悪化させる危険があります。
再矯正を始める前には、レントゲンやCTで歯根と骨の状態を詳細に確認し、必要であれば歯周治療を優先して行うことが望ましいです。
安全な治療を行うためには、歯への力の入れ方を細かく調整できる経験豊富な矯正専門医を選ぶことが重要です。
軽度の後戻りなら経過観察で十分なケースも
すべての歯列変化が再矯正を必要とするわけではありません。
歯のズレがごくわずかで、見た目や噛み合わせに大きな支障がない場合は、経過観察やリテーナーの再作製のみで安定を保てることがあります。
審美性と機能性の両面から見て、再矯正を行う価値があるかを慎重に判断することが大切です。
治療期間・費用・リスクを考慮し、満足度とのバランスを取ることが現実的な選択になります。
歯科医が「経過観察で良い」と判断した場合でも、半年〜1年ごとのチェックを継続することで、進行を早期に把握できます。
無理に治療を行うよりも、歯を守りながら必要なタイミングで最適な方法を選ぶことが長期的な安定につながります。
信頼できる矯正歯科で現状を診断してもらう重要性
再矯正を成功させるためには、信頼できる矯正専門医の診断が欠かせません。
単に歯を動かすことだけを目的とせず、後戻りの原因を特定し、その根本に対処できる治療計画を立てることが重要です。
たとえば、舌の位置や癖が原因の場合にはMFT(筋機能トレーニング)を取り入れ、リテーナーの使用期間や形状を見直すなど、再発防止まで含めた計画が必要になります。
また、精密検査によって歯根吸収の程度、歯槽骨の厚み、噛み合わせのズレを詳細に確認し、歯への負担を最小限に抑える方法を選択します。
治療前の段階で複数の矯正歯科に相談し、セカンドオピニオンを取ることも有効です。
異なる視点からの診断を比較することで、自分にとって最も負担の少ない方法を選びやすくなります。
適切な医師選びと精密な診断こそが、再矯正の成功と長期的な安定を左右します。
まとめ

矯正から10年が経過しても、歯は生きており、加齢や生活習慣の影響で少しずつ動いていきます。
しかし、適切なケアを続ければ、後戻りを最小限に抑え、長く美しい歯並びを維持することが可能です。
今回紹介した「夜間のリテーナー装着」「ナイトガード・MFTの活用」「定期検診の継続」「歯周病予防」「癖や姿勢の改善」 は、どれも日常生活の中で実践できる再発防止策です。
歯並びを守る秘訣は、特別な治療よりも継続的な意識にあります。
もし歯のズレや違和感を感じた場合は、早めに歯科医院で相談し、現状を確認しましょう。
当院のInstagramアカウントはこちら
-
治療相談受付中!
まずはお気軽にご連絡ください。 -
\ お電話はこちら /
⌚受付時間:10:00-13:00/14:30-19:00
-
\ 治療相談受付中! /
矯正無料相談・審美治療相談
監修者
- アンチエイジングデンタルクリニック恵比寿 小川 朗子(おがわ あきこ) 担当科目:一般歯科/専門治療 矯正歯科・点滴療法
-
1996年 鶴見大学歯学部卒業
1997年〜2006年 都内開業医勤務
2004年〜南青山デンタルクリニック副院長
2006年 アンチエイジングデンタルクリニック恵比寿開院
2007年 抗加齢医学会認定専門医取得
2015年 インビザライン認定医取得
2017年 高濃度ビタミンC点滴認定医取得
2018年 インディアナ州立大学歯学部 歯科矯正プログラム認定医取得 - 公式サイトトップへ