【矯正歯科】
前歯の高さ・長さを揃える方法|削る?矯正?費用とリスクまで歯科医が比較解説
Last Updated on 2026年1月24日 by 小川朗子
目次
前歯の高さ・長さが揃わない…「削るしかない?」と悩む方へ

「前歯の高さが揃っていない」「長さがバラバラで写真が苦手」「尖った歯を少し削って整えたい」──こうしたお悩みは、見た目だけでなく歯肉(歯ぐき)の高さや噛み合わせの影響で強く見えていることも少なくありません。
ただし、前歯の高さ・長さを整える方法は“削る”だけではありません。歯並びの位置を動かして揃える(矯正)方法、削る量をごく少なくして整える(ティースシェイピング)、歯肉ラインを整える(歯肉形成)など、複数の選択肢があります。
この記事では、検索で特に多い「歯の高さを揃える」「歯の長さを揃える 削る 値段」「尖った歯 削る 費用」などの疑問に対して、削る・削らないの判断基準と、治療法ごとの特徴をわかりやすく整理します。
結論:前歯の高さ・長さを揃える方法は大きく3つ
- ① 歯を動かして揃える(部分矯正/ワイヤー・マウスピース):歯を基本的に削らずに整える
- ② 歯を少し削って整える(ティースシェイピング):短時間で形・尖り・長さを整えやすい
- ③ 歯肉の高さを揃える(歯肉形成など):歯が同じ長さでも“歯ぐきのライン”が違うと不揃いに見える
どれが正解かは、不揃いの原因が「歯の位置」なのか「歯の形」なのか「歯肉ライン」なのかで決まります。ここを見誤ると、「削ったのにまだ気になる」「矯正したのに左右差が残る」につながるため、最初の診断が重要です。
なぜ前歯の高さ・長さが揃わないのか?(原因チェック)
1) 歯の位置が上下にズレている(歯の“高さ”の問題)
前歯が上下方向にズレている場合、ワイヤー矯正(部分矯正)が得意です。歯そのものを動かして揃えるため、見た目の“段差”が改善しやすく、歯肉ラインも揃いやすいケースがあります。
自分での簡易診断としては、歯の長さそのものは同じか?歯肉の位置は合っているか?
※歯肉位置の高さが違う場合は矯正治療が最適解
矯正治療の症例
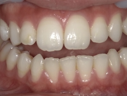
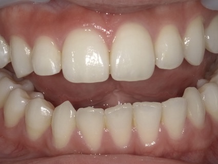
症例1 歯の高さが(歯肉の位置)あっていない、長さがあっていない症例
歯の高さと歯肉の位置が上下的にずれている場合は、ワイヤー部分矯正が適応します。ワイヤーで上下的なズレを直して歯並び全体を調整します。
治療期間 10ヶ月/治療費用 ¥385000(調整料金¥5500)/治療のリスク・デメリット 保定装置をしないと後戻りする
Before

After

症例2 矯正後の後戻りで上下的なズレがあるケース
上下のずれが大きく、長さも違っているためワイヤー部分矯正を行い長さを揃えました。
後戻りのリスクが高い場合は、保定装置を裏側のワイヤー固定+マウスピース型リテーナーを併用ししっかり固定することが必要です。
治療期間 8ヶ月 治療費用¥440000/治療のリスク・デメリット 保定装置をしないと後戻りする
Before After
![]()
![]()
2) 歯の形が原因(尖った歯・左右の形の違い)
歯の先端が尖っている、片方だけ長く見える、歯の輪郭がガタガタしている場合は、ティースシェイピング(形態修正)が向くことがあります。削る量を最小限にしながら、バランスを整えます。
ティースシェイピングの症例 前歯2本の長さが合っていない
上の前歯2本の先端の長さが合っていないが、歯肉位置は正常の場合、矯正までは必要がないためティースシェイピングの適応になります。先端の長さをわずかに削って揃えました。
治療期間1日/治療費用2本¥44000 治療のリスク・デメリット 削る際に一時的にしみる場合がある
Before

After

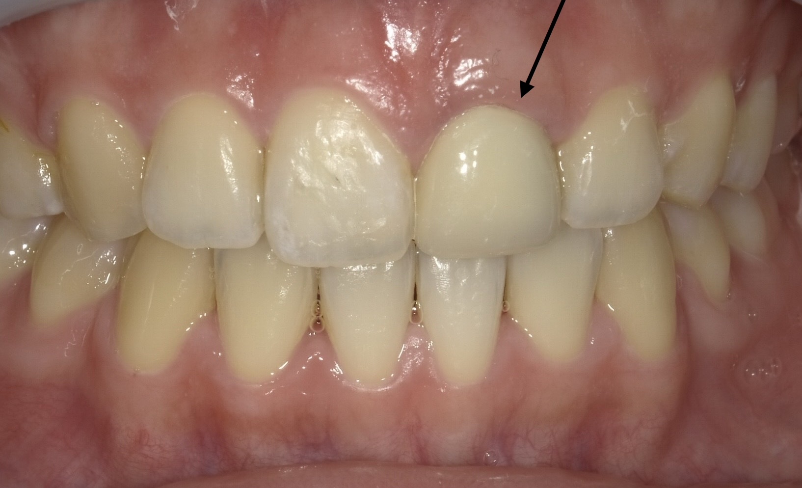
3) 歯肉の高さが原因(歯ぐきのラインの左右差)
差し歯のやりかえの症例
歯並びに問題がなく歯そのものの長さが同じでも、歯肉ラインが左右で違うと、歯が不揃いに見えます。この場合は、クラウン(差し歯)の不適合が原因になっているため、歯肉形成を行い、色調や質感も同時に調和させることのできるジルコニアセラミッククラウンで入れ替えました。
治療期間 1ヶ月/治療費用¥238700/治療のリスク・デメリット 歯を削る必要がある
Before

After

歯を削って整える:ティースシェイピング(尖った歯・長さ調整)
「尖った歯を削りたい」「前歯の長さを少しだけ揃えたい」というご希望に最も近いのが、ティースシェイピングです。歯を大きく削るセラミック治療とは異なり、必要最小限の研磨で整えるのが特徴です。
向いている例
- 前歯の先端の尖りが気になる(犬歯が尖って見える など)
- 左右で前歯の“角”やカーブが違い、長さがバラついて見える
- 数mm単位ではなく、ごくわずかな調整で印象を整えたい
注意点
- 削れる量には限界があります(削りすぎは知覚過敏や形の不自然さにつながるため)
- 歯の位置ズレが大きい場合は、削るだけの形態修正では限界があります
- 歯肉ラインが原因の場合は、削っても左右差が残ることがあります
▶ 歯の形を整えるティースシェイピング(削る量・適応)はこちら
歯を動かして揃える:部分矯正(ワイヤー矯正)が得意なケース

前歯の高さ・歯肉位置の左右差が目立つケースでは、ワイヤー矯正(部分矯正)が結果に直結しやすいです。特に上下方向(垂直方向)のコントロールはワイヤーが得意で、歯の高さを揃える目的に合致します。
メリット
- 前歯の高さ(上下的なズレ)の改善が得意
- 軽度〜中度なら部分矯正で対応できることがある
- 治療目標が明確で、仕上がりの予測が立てやすい
デメリット
- 表側は装置が目立つ(見た目重視なら裏側も検討)
- ズレが大きい場合は全体矯正が必要になることがある
目立たず整える:マウスピース矯正(インビザライン)で揃えられる範囲

「できれば目立たずに、前歯の不揃いを整えたい」という方には、マウスピース矯正が選択肢になります。取り外しができて衛生的で、仕事や会食の多い方にも向きます。
メリット
- 透明で目立ちにくい
- 取り外しができ、衛生管理がしやすい
- 計画が可視化され、ゴールイメージを共有しやすい
デメリット
- 上下方向の大きな動きは、ワイヤーより不得意なことがある
- 装着時間が不足すると、計画通りに進みにくい
▶ まずは全体像を短時間で知りたい方:インビザラインLPはこちら
短期間で大きく整える:セラミック(クラウン/ベニア)が向くケース
前歯の長さ・形・色まで一気に整えたい場合、セラミック治療が選択肢になります。矯正に比べて短期間で変化を出せる一方、健康な歯を削る可能性があるため、適応の見極めが重要です。
メリット
- 短期間で長さ・形・色を整えやすい
- 矯正が難しいケースでも審美的に整えられる
- 差し歯の場合は入れ替えることで解決する場合が多い
デメリット
- 削る量が増える可能性がある(ケースにより神経処置が必要な場合も)
- 適合・色合わせの精度が仕上がりを左右する
削る?矯正?迷ったときの「ケース別の選び方」
- 歯の位置の段差が主因:まずは矯正(特にワイヤー部分矯正)を優先
- 尖り・角・わずかな左右差が主因:ティースシェイピングで最小限の調整
- 歯肉の高さ(ライン)が主因:歯肉形成+必要なら矯正/審美を組み合わせ
- 短期間で色も形も整えたい:セラミック(ただし削る量と適応を慎重に)
前歯の長さ、高さが合っていない重度な症例
ワイヤー+インビザライン併用の矯正
中等度〜重度のガタガタ・八重歯を伴う場合は全体矯正が適応になります。当院では、必要に応じてワイヤーで高さ・段差を整えた後、インビザラインで奥歯を後方移動しながら全体のバランスを整え、非抜歯で仕上げる計画をご提案しています。
治療期間2年半/治療費用¥990000/治療のリスク・デメリット 治療期間が長くなる。保定装置をしないと後戻りする
Before After


前歯の高さ・長さを揃えたい方へ:当院の診断の流れ
- 「削る」「削らない」両方の選択肢を前提に、原因を診断
- 仕上がり(見え方)・リスク・期間を比較して、無理のない計画をご提案
- 矯正・審美・一般歯科を同一医院内で連携し、長期安定も重視
「歯の高さを揃える」「歯の長さを揃えたい」「尖った歯を削る費用が気になる」など、まずは気軽にご相談ください。
自分は歯並びが原因かも?矯正無料相談はこちらから
矯正ではない方法で!形態修正や審美治療のご相談はこちらから
FAQ|前歯の高さ・長さを揃える よくある質問
Q. 歯の長さを揃えるために削るのは危険ですか?
A. 必要最小限のティースシェイピングであれば、適応を見極めたうえで行います。ただし削れる量には限界があり、位置ズレが原因の場合は矯正が適することがあります。
Q. 尖った歯を削る費用はどれくらいですか?
A. どこをどの程度整えるかで変わります。形態修正は¥11000~¥33000になります。少量の形態修正で済む場合と、審美治療が必要な場合で費用帯が異なるため、まず診断で「必要な処置量」を確認するのが確実です。
Q. 歯の高さを揃えるなら、マウスピース矯正よりワイヤーが良いですか?
A. 上下方向の動き(垂直的なコントロール)はワイヤーが得意です。見た目を優先する場合はマウスピース、確実性や動かし方の自由度を優先するならワイヤーが向くことがあります。
Q. 歯茎の高さを揃えたい場合も矯正で治りますか?
A. 歯の移動で改善するケースもありますが、歯肉ラインの左右差が主因の場合は審美治療で歯肉形成などの併用が有効なことがあります。
当院のInstagramアカウントはこちら
-
治療相談受付中!
まずはお気軽にご連絡ください。 -
\ お電話はこちら /
⌚受付時間:10:00-13:00/14:30-19:00
-
\ 治療相談受付中! /
矯正無料相談・審美治療相談
監修者
- アンチエイジングデンタルクリニック恵比寿 小川 朗子(おがわ あきこ)
-
1996年 鶴見大学歯学部卒業
1997年〜2006年 都内開業医勤務
2004年〜南青山デンタルクリニック副院長
2006年 アンチエイジングデンタルクリニック恵比寿開院
2007年 抗加齢医学会認定専門医取得
2015年 インビザライン認定医取得
2017年 高濃度ビタミンC点滴認定医取得
2018年 インディアナ州立大学歯学部 歯科矯正プログラム認定医取得
2018年 著書「若さを取り戻す歯のエイジングケア」出版 - 公式サイトトップへ