【矯正歯科】
前歯のすき間を埋める方法|矯正とダイレクトボンディングの違い・期間・費用を解説
「前歯のすき間が気になる」「写真を撮ると目立つ」「すき間を埋めたいけど、矯正が必要?」——前歯のすき間(すきっ歯)は、原因とゴールを整理すると、最短ルートで“自然に、きれいに”整えられます。
この記事では、「前歯のすき間をうめる」 について治療法の違い(期間・費用・向き不向き)と、当院の考え方をわかりやすくまとめます。
先に結論:前歯のすき間は主に ①矯正で閉じる or ②ダイレクトボンディングで埋める の2択が基本。状態によって ③ラミネートベニア/④セラミック を組み合わせると、見た目の完成度と長期安定が上がります。
同じ“すき間”でも原因が違うと、最適な治療は変わります。まずはここを押さえると、遠回りしません。
②上のすき間
①②主訴:前歯のすき間を埋めたい/治療期間:1日/治療費用:¥66000/リスク:欠け・摩耗・変色の可能性(メンテで調整)

主訴:前歯のすき間を閉じたい/治療:インビザライン上顎/治療期間3ヶ月/治療費用¥440000/リスク:後戻り(保定が重要) ※矯正後に前歯の形態修正を行い長さと形を整えています。矯正後の形態修正は無料
②全体矯正
主訴:前歯のすき間を閉じたい・噛み合わせを整えたい/治療:インビザライン全顎/治療期間1年/治療費用¥990000/リスク:後戻り(保定が重要)
▶ すきっ歯の治療選択をさらに詳しく:すきっ歯専門治療ページはこちら
目次
前歯のすき間ができる原因(治療選びの分岐点)
同じ“すき間”でも原因が違うと、最適な治療は変わります。まずはここを押さえると、遠回りしません。
1)歯が小さい・細い(矮小歯)で「歯の幅が足りない」
歯列は整っていても、歯そのものが小さい・細いと、前歯にすき間が残りやすいタイプです。ボンディング/ベニアで“幅を足す”と、短期間で自然に整いやすい傾向があります。2)歯並び・かみ合わせのズレで「歯が開いている」
歯列全体のバランスが原因のすき間は、埋め物だけで対応すると再発しやすいことも。矯正で閉じることで、見た目だけでなく噛み合わせの安定にもつながります。3)舌癖・口呼吸・歯ぎしりで「年々広がってきた」
昔は気にならなかったのに、前歯のすき間が広がるケースでは、歯周病(歯ぐき下がり)や舌の癖、噛み合わせ変化などが関与する場合があります。原因を見落とすと、閉じてもまた開くことがあるため、まずは診断が重要です。【比較】前歯のすき間を埋める治療法|期間・向き不向き
「早く埋めたい」「削りたくない」「矯正は大変」など、優先順位で最適解は変わります。代表的な治療法を整理します。ダイレクトボンディング|“すき間を埋める”最短ルート(即日も)
歯科用樹脂(コンポジットレジン)で、すき間を埋めて形を整える方法です。短時間で終わりやすく、削る量を最小限にしやすいのが魅力。軽度のすき間や「歯が小さい・細い」タイプに相性が良いことがあります。- メリット:短期間/比較的費用を抑えやすい/形の微調整がしやすい
- 注意点:経年で欠け・摩耗・着色が起きることがあり、将来のメンテや再治療が必要になる場合があります
マウスピース矯正(インビザライン等)|“歯を動かして閉じる”根本治療
歯を動かしてすき間を閉じる方法です。見た目の改善だけでなく、歯列のバランス・噛み合わせまで整えたい方に向きます。すき間の原因が「歯列全体」にある場合は、矯正のほうが安定しやすいこともあります。- メリット:原因にアプローチしやすい/自然なラインを作りやすい/長期安定につながりやすい
- 注意点:装着時間など自己管理が必要/症例により期間が変わります
ラミネートベニア|“すき間+形・色”を一気に整える(審美性重視)
歯の表面を必要最小限だけ整え、薄いセラミックを貼り付けて、すき間・形・色を整える方法です。「すき間も気になるけど、前歯の形や色も理想に寄せたい」方に向きます。 ▶ すきっ歯専門治療ページ(治療法の比較)はこちらセラミッククラウン|大きな修正が必要なケース(適応の見極めが重要)
歯を全周的に整え、被せ物で形・色・角度を設計します。すき間が大きい/歯の形の乱れが強い場合に検討されますが、削る量が増えるため、必要性とメリットが上回るケースで選ぶのが大切です。 ▶ 前歯の審美治療(セラミック等)の詳細はこちら【症例写真】前歯のすき間を埋めた実例
おすすめは「ボンディング症例」「矯正症例」2種類です。
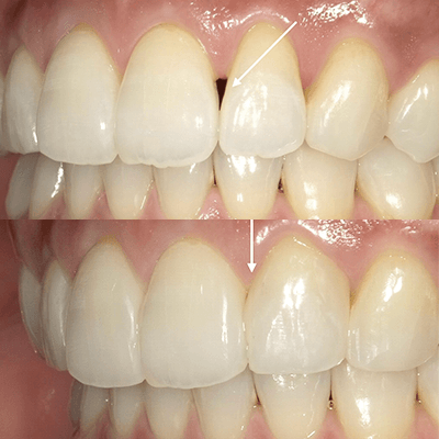
症例1:ダイレクトボンディング(軽度のすき間を即日で改善)
①下のすき間(上は矯正治療を行っています。)
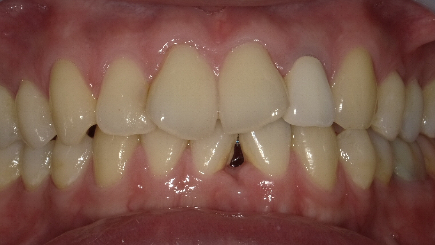
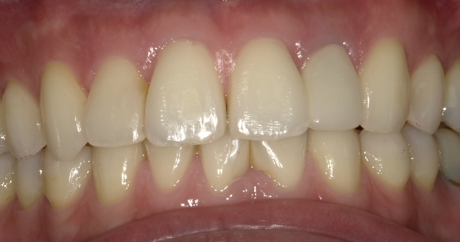
②上のすき間
①②主訴:前歯のすき間を埋めたい/治療期間:1日/治療費用:¥66000/リスク:欠け・摩耗・変色の可能性(メンテで調整)
症例2:マウスピース矯正(歯を動かしてすき間を閉じる)
①部分矯正
主訴:前歯のすき間を閉じたい/治療:インビザライン上顎/治療期間3ヶ月/治療費用¥440000/リスク:後戻り(保定が重要) ※矯正後に前歯の形態修正を行い長さと形を整えています。矯正後の形態修正は無料
②全体矯正
主訴:前歯のすき間を閉じたい・噛み合わせを整えたい/治療:インビザライン全顎/治療期間1年/治療費用¥990000/リスク:後戻り(保定が重要)
▶ すきっ歯の治療選択をさらに詳しく:すきっ歯専門治療ページはこちら
当院の考え方:治療法を“押し付けず”、いちばん自然なゴールへ
前歯のすき間は、見た目だけでなく「噛み合わせ」「歯の形」「将来の安定性」まで関わります。当院では、矯正(歯を動かす)×審美(形・色)×予防(虫歯・歯周病管理)の視点で、いまの歯を守りながら、自然にきれいに見えるゴールを設計します。 「矯正で閉じるべき?」「ボンディングで十分?」「将来やり直しになる?」——その整理からで大丈夫です。まずは原因を診て、複数案のメリット・デメリットを丁寧にお伝えします。よくある質問(FAQ)
Q. 前歯のすき間は矯正でしか治せませんか?
A. いいえ。すき間の原因が「歯が小さい/細い」などの場合は、ダイレクトボンディングやラミネートベニアで自然に整えられるケースもあります。噛み合わせや歯列全体が原因なら矯正のほうが安定しやすいことがあります。Q. 前歯のすき間を“すぐに”埋めたいのですが可能ですか?
A. 軽度で適応が合えば、ダイレクトボンディングで短期間(場合によっては即日)で整えられることがあります。すき間が大きい場合は、外れにくさ・長期安定の観点から別の方法が適することもあります。Q. 年齢とともに前歯のすき間が広がってきました。放置するとどうなりますか?
A. 歯ぐき下がり(歯周病)や噛み合わせ変化で広がることがあります。原因が進行性の場合、閉じても再発しやすくなるため、早めの診断がおすすめです。前歯のすき間でお悩みの方へ|まずはどういった選択肢があるか?を知っておきましょう。
「前歯のすき間を埋めたい」と思ったとき、まず「どのような治療法があるか」と「あなたの歯の状態の場合にはどの治療法が最適か?」を知ることです。その上でメリットデメリットを踏まえて最適案をご提案しています。 当院では、あなたの希望(短期/削りたくない/自然さ重視/長期安定)を伺いながら、最も納得できるプランを一緒に決めていきます。 関連ページ(おすすめ) ▶ すきっ歯専門治療ページ(治療法の比較) ▶ ダイレクトボンディング治療 ▶ マウスピース矯正(インビザライン) ▶ インビザライン矯正LP(症例・流れ) ▶ 無料相談・ご予約はこちら当院のInstagramアカウントはこちら
-
治療相談受付中!
まずはお気軽にご連絡ください。 -
\ お電話はこちら /
⌚受付時間:10:00-13:00/14:30-19:00
-
\ 治療相談受付中! /
矯正無料相談・審美治療相談
監修者
- アンチエイジングデンタルクリニック恵比寿 小川 朗子(おがわ あきこ)
-
1996年 鶴見大学歯学部卒業
1997年〜2006年 都内開業医勤務
2004年〜南青山デンタルクリニック副院長
2006年 アンチエイジングデンタルクリニック恵比寿開院
2007年 抗加齢医学会認定専門医取得
2015年 インビザライン認定医取得
2017年 高濃度ビタミンC点滴認定医取得
2018年 インディアナ州立大学歯学部 歯科矯正プログラム認定医取得
2018年 著書「若さを取り戻す歯のエイジングケア」出版 - 公式サイトトップへ