【審美歯科】
前歯の形・色が気になる方へ|自然に美しく整える審美治療の種類と選び方
Last Updated on 2025年12月1日 by 小川朗子
前歯の形・色が気になる方へ|自然に美しく整える審美治療の種類と選び方

「前歯の形が気になる」「色がくすんで見える」「すき間が目立つ」など、口元の印象に悩まれていませんか?
前歯は、笑顔や第一印象を決める大切なパーツです。
本記事では、歯を削らず自然に整える前歯審美治療について、当院の実例をもとにご紹介します。
当院の審美治療メニュー全体については、審美治療のページもあわせてご覧ください。
目次
「前歯の印象」で顔の印象は変わる

前歯の形や色のバランスは、顔全体の印象を大きく左右します。
たとえば、前歯が長すぎたり、角が欠けていたり、黄ばみが強いと、実年齢より老けて見えることもあります。
逆に、歯の形が整い、自然な白さを持つ前歯は若々しく清潔感のある印象を与えます。
前歯審美治療とは?

前歯審美治療とは、前歯の形・色・バランスを整えて、笑顔を美しく見せるための治療です。
単なる見た目の改善だけでなく、かみ合わせや歯の機能を考慮して自然で調和のとれた口元をつくります。
大きく形や色を変えたい場合には、セラミック治療や、歯をほとんど削らずに見た目を整えるラミネートベニアをご提案することもあります。
前歯の形を整える治療
「歯の先端がギザギザ」「左右の長さが違う」「犬歯が尖って見える」など、前歯の形のアンバランスは意外と目立ちます。
当院では、前歯形態修正(ティースシェイピング)で、歯の表面をわずかに整え、自然なカーブに仕上げます。
ほんの0.1mm単位の微調整で、印象がぐっとやわらかくなります。
前歯の色を白くする治療
歯の色が黄ばんでいたりくすんで見える場合は、ホワイトニングで自然な透明感を取り戻します。
また、詰め物や差し歯の色が周囲と合わない場合は、色合わせを重視した審美修復を行います。
削らずに整える最新審美治療(ダイレクトボンディング)
「歯を削るのは怖い」「できるだけ自分の歯を残したい」という方におすすめなのが、ダイレクトボンディングです。
高品質の審美レジンを歯に直接盛り付けて形や色を整える方法で、前歯の欠け・すき間・色ムラなどに対応します。
- 即日または短期間で完了
- 歯をほとんど削らない
- 自然なツヤ・透明感の再現が可能
経年的なツヤの低下は、再研磨(メンテナンス)で艶を戻すことができます。
よくあるお悩み別の治療例
① 前歯の長さ・形がバラバラ
前歯の形態修正またはダイレクトボンディングで形、長さを整えます。
費用目安:¥11000〜¥55,000/1歯
治療回数:1〜2回
ほんのわずかな調整で笑顔が変わる!形態修正・ティースシェイピングについて
即日ですき間を埋める、目立つ詰め物を自然に治す ダイレクトボンディングについて
② 前歯の色が黄ばみ・変色している
オフィスホワイトニングまたはホームホワイトニングで、自然な白さに。
詰め物が変色している場合は、同時にレジン交換やセラミック修復を行います。
特に前歯の被せ物をきれいに整えたい方は、セラミック治療で色と形を同時に整えることも可能です。
費用目安:¥39600〜¥95040
治療回数:1〜3回
③ 前歯のすき間が気になる
軽度のすき間(すきっ歯)は、ダイレクトボンディングで自然に埋めることが可能です。
矯正が必要なケースは、部分矯正を併用します。
前歯のすき間治療については、すきっ歯治療のページもご参考ください。
費用目安:¥33000〜¥220000(矯正との組み合わせによる)
当院の審美治療の特徴
- 歯を守る設計:削らず・抜かずに自然な美しさを再現
- 精密色合わせ:技工士立会いの色合わせ、ホワイトニング後のシェードに合わせた審美修復
- 総合的な診断:噛み合わせや歯ぐきのバランスも含めて設計
- 担当医制:審美・矯正・予防を総合的にサポート
費用と治療期間の目安
| 治療内容 | 費用 | 期間 |
|---|---|---|
| 前歯形態修正 1歯 | ¥11000〜¥33000 | 1回 |
| ダイレクトボンディング 1歯 | ¥22,000〜¥55000 | 1〜2回 |
| ホワイトニング(オフィス) | ¥39600〜 | 1〜3回 |
| セラミック修復(必要時) | ¥121000~ | 2〜3回 |
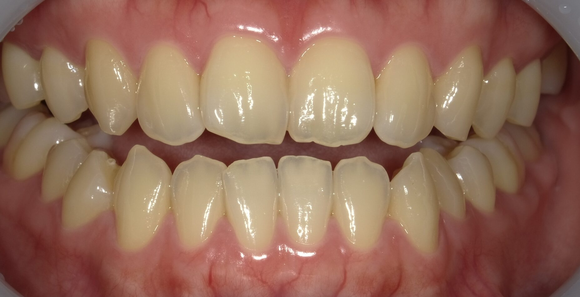
症例紹介(Before/After)
症例1 上2本の前歯のギザギザを整えたい
前歯2本の先端の形をわずかに削って整えました。
治療方法:形態修正/治療回数:1回/費用:¥22000


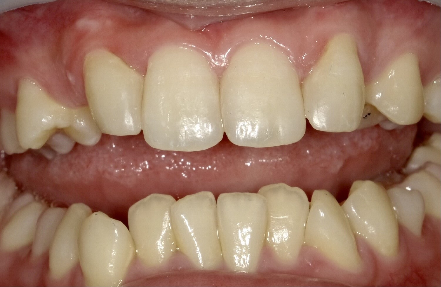
症例2 犬歯を前歯のように見せたい。歯のすき間を埋めたい
治療方法:ダイレクトボンディング/治療回数2回/費用4本合計:¥132000


まとめ:前歯を自然に整えて、笑顔に自信を
前歯の形や色を整えるだけで、印象は驚くほど変わります。
歯を削らず、短期間で自然な仕上がりを求める方は、ぜひ一度ご相談ください。
治療の流れや詳しいメニューは、審美治療のご案内ページもあわせてご覧ください。
▶アンチエイジングデンタルクリニック恵比寿の前歯審美治療について
当院のInstagramアカウントはこちら
-
治療相談受付中!
まずはお気軽にご連絡ください。 -
\ お電話はこちら /
⌚受付時間:10:00-13:00/14:30-19:00
-
\ 治療相談受付中! /
矯正無料相談・審美治療相談
監修者
- アンチエイジングデンタルクリニック恵比寿 小川 朗子(おがわ あきこ)
-
1996年 鶴見大学歯学部卒業
1997年〜2006年 都内開業医勤務
2004年〜南青山デンタルクリニック副院長
2006年 アンチエイジングデンタルクリニック恵比寿開院
2007年 抗加齢医学会認定専門医取得
2015年 インビザライン認定医取得
2017年 高濃度ビタミンC点滴認定医取得
2018年 インディアナ州立大学歯学部 歯科矯正プログラム認定医取得
2018年 著書「若さを取り戻す歯のエイジングケア」出版 - 公式サイトトップへ