【審美歯科】
前歯の色・形が気になる方へ|白く自然な口元を作るセラミック治療の選び方【審美歯科】
Last Updated on 2025年12月29日 by 小川朗子
前歯の色・形が気になる方へ|白く自然な口元を作るセラミック治療の選び方
「前歯の色が合っていない」「差し歯が浮いて見える」「ホワイトニングではもう白くならない」
このようなお悩みは非常に多く、見た目の印象を大きく左右するパーツだからこそ慎重に治療方法を選ぶ必要があります。
AADCでは、歯を“ただ白くする”のではなく、品があり、清潔感があり、自然に見える白さを基準に治療を行います。
患者様一人ひとりに合わせた、美しく健康的な口元づくりをサポートしています。
目次
前歯の色・形が気になる主な原因
① 差し歯の色が周りと合っていない
古い差し歯は不透明感が強く、周囲の天然歯と色が合わずに浮いて見えてしまいます。
② 神経がない歯の黒ずみ
ホワイトニングでは改善が難しいため、審美治療の適応になるケースです。
③ 樹脂(レジン)修復の変色
年月とともに黄ばみやすく、前歯だととても目立ってしまいます。
④ ホワイトニングで効果が出ない歯
テトラサイクリン歯・エナメル質の厚みの問題など、薬剤が効きにくいタイプの歯も存在します。
見た目を自然に整える3つの治療方法
1|ホワイトニング(天然歯の明度を上げる)
天然歯が黄ばみの原因の場合に適応します。
しかし、被せ物・神経のない歯・強い変色は白くならないため、他治療との併用が必要です。
2|ラミネートベニア(削る量を最小限に)
歯の表面に薄いセラミックを貼る方法です。
形・色を同時に整えたい方に向いています。
3|セラミッククラウン(色・形・バランスを総合的に改善)
濃い変色・大きな形のズレ・古い差し歯のやり直しなど、前歯の総合的な審美改善に最も適した方法です。
セラミック治療が適しているのはこんな方
- 差し歯の色が周囲と合っていない
- 神経のない歯の黒ずみが気になる
- 前歯の形を整えたい
- ホワイトニングでこれ以上白くならない
- 自然で品のある“白さ”を手に入れたい
AADCが大切にしている“品のある白さ”とは
当院のセラミック治療は、単に白くするのではなく、
- 透明感と艶感のある自然な白さ
- 歯ぐきとの境目が美しく仕上がる精度
- 顔立ち・口元の印象に調和する色設計
- 削る量を最小限に抑えた丁寧な治療
- 技工士との立会いシェードテイキング
これらの要素を重視することで、“自然に美しい前歯”を実現します。
Before → After 症例
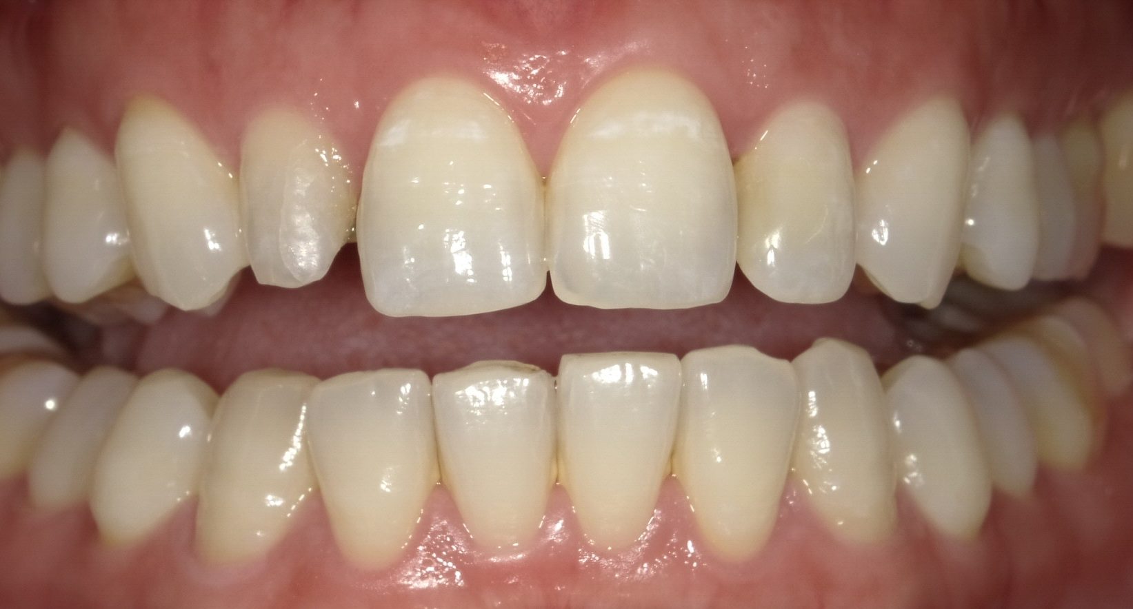
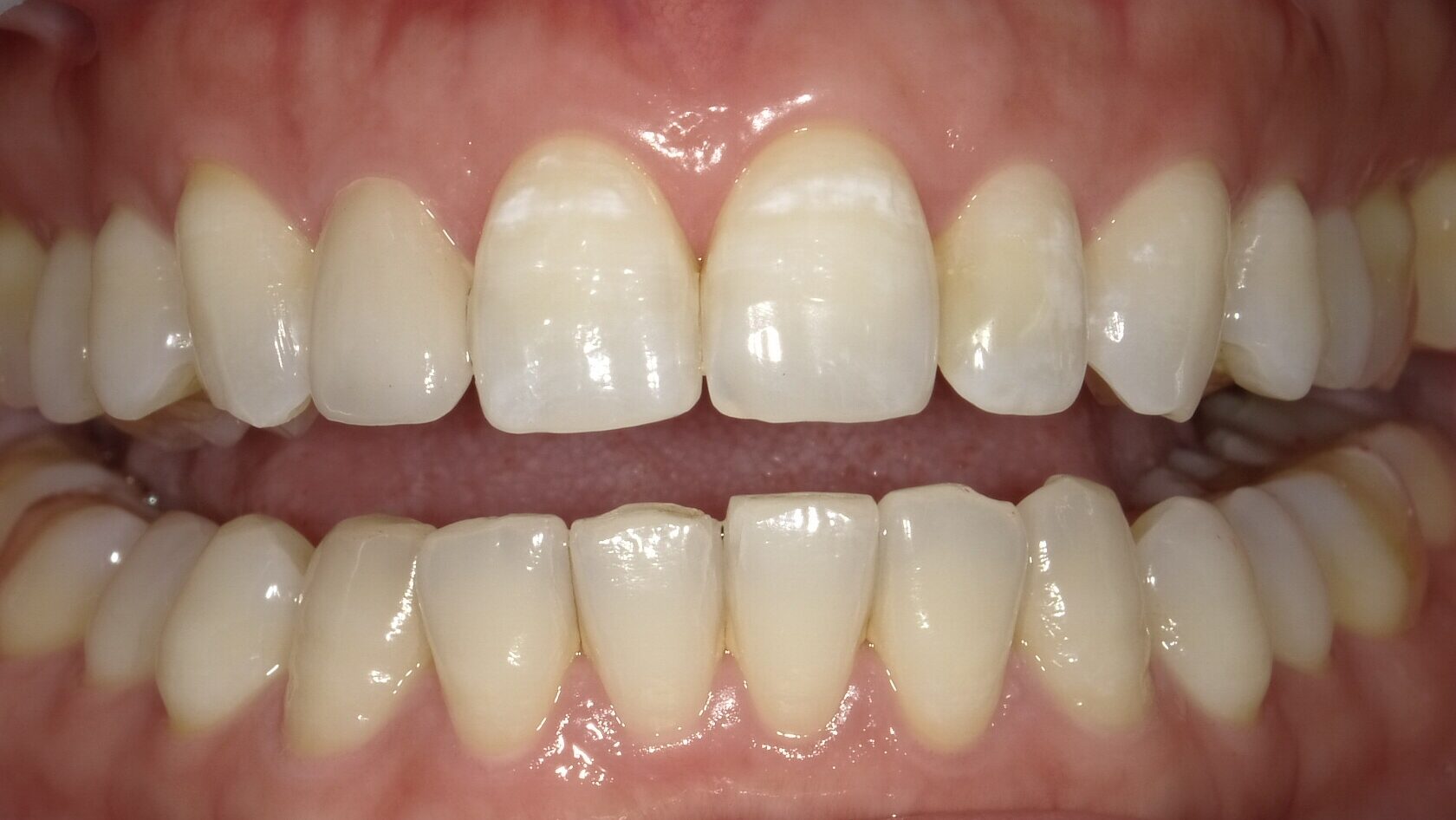
症例1 矮小歯のラミネートベニア治療
矯正終了後、1本だけ細い矮小歯が目立つため、ラミネートベニア法で治しました。
Before

After
治療期間:3週間/通院回数:3回 /治療費用:¥172700/治療のリスク・デメリット 歯をわずかに削る
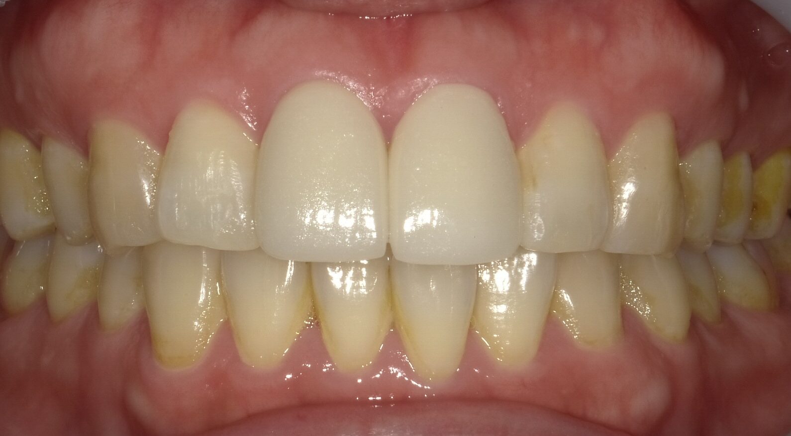
症例2 古い差し歯による根元の黒ずみ、形が大きいクラウンをジルコニアセラミッククラウンで治しました。
Before

After

治療期間:2ヶ月/通院回数:5回/治療費用:¥301400/治療のリスク デメリット:歯を削る・一時的な知覚過敏
セラミッククラウン治療の費用・料金
使用する材質・本数・設計によって異なりますが、
審美性と耐久性のバランスを重視したプランをご提案します。
まずはお気軽にご相談ください
前歯は表情の印象を大きく左右する部分です。
「白くしたい」「自然に整えたい」という想いに、最適な治療をご提案いたします。
ご相談だけでもお気軽にお越しください。
品よく、清潔感のある美しい口元へ。
当院のInstagramアカウントはこちら
-
治療相談受付中!
まずはお気軽にご連絡ください。 -
\ お電話はこちら /
⌚受付時間:10:00-13:00/14:30-19:00
-
\ 治療相談受付中! /
矯正無料相談・審美治療相談
監修者
- アンチエイジングデンタルクリニック恵比寿 小川 朗子(おがわ あきこ)
-
1996年 鶴見大学歯学部卒業
1997年〜2006年 都内開業医勤務
2004年〜南青山デンタルクリニック副院長
2006年 アンチエイジングデンタルクリニック恵比寿開院
2007年 抗加齢医学会認定専門医取得
2015年 インビザライン認定医取得
2017年 高濃度ビタミンC点滴認定医取得
2018年 インディアナ州立大学歯学部 歯科矯正プログラム認定医取得
2018年 著書「若さを取り戻す歯のエイジングケア」出版 - 公式サイトトップへ