【審美歯科】
鏡を見るのが楽しくなる!「前歯1本だけ色が違う」悩みを解決する審美治療のすべて

鏡を見たときに「1本だけ前歯の色が暗い」「左右で色が違う」と感じたことはありませんか?
前歯は、その人の第一印象を左右する極めて重要なパーツです。1本だけ色が浮いていると、会話中に相手の視線が気になったり、思い切り笑うのをためらってしまったりと、多くの方が深いお悩みを抱えています。実は、こうした「前歯1本だけの色合わせ」は、歯科治療の中でもトップクラスの繊細さと技術を要する分野です。
アンチエイジングデンタルクリニック恵比寿では、周囲の歯と自然に馴染むように色調を再現し、美しさと機能の両立を追求した審美治療を行っています。なぜ色が違ってしまうのか、どうすれば天然歯と見分けがつかない仕上がりになるのか、詳しく解説します。
目次
なぜ?前歯1本だけ色が違う4つの主な原因
前歯が1本だけ暗く見える・色が合わない場合には、いくつかの医学的な原因が考えられます。
1. 神経が死んでいる(失活歯)
虫歯が進行して神経を取り除いた、あるいは過去に歯を強くぶつけた衝撃で神経が死んでしまった場合に起こります。神経(歯髄)を失った歯は、時間の経過とともに内部のタンパク質が変性し、血液成分などが沈着することで、茶褐色や黒ずんだ色へと変化していきます。これを「失活歯(しっかつし)」と呼びます。
2. 金属の土台(メタルコア)による影と透過
昔の保険治療で一般的に使われていた「金属の土台(メタルコア)」が原因のケースです。金属は光を通さないため、被せ物の透明感を損なうだけでなく、金属の成分が溶け出して歯ぐきを黒ずませる(メタルタトゥー)こともあります。これにより、歯全体がどんよりと暗く見えてしまいます。
3. 古いレジン(プラスチック)や保険クラウンの変色
保険診療で使われるプラスチック素材(レジン)は吸水性があるため、コーヒーや紅茶、タバコなどの色素を吸収しやすく、2〜3年で黄色く変色してしまいます。また、表面の光沢も失われやすいため、ツヤのある隣の天然歯との差が目立ってきます。
4. 隣の歯(天然歯)の加齢変化
治療した差し歯自体の色は変わらなくても、周囲の自分の歯が加齢とともに少しずつ黄色味を帯びてくることで、相対的に「差し歯の色が浮いて見える」ようになることがあります。
神経がない歯の変色は「通常のホワイトニング」では治らない?
多くの患者様から「ホワイトニングで白くなりませんか?」というご相談をいただきます。しかし、神経のない歯は内部から変色しているため、表面からの通常のホワイトニングでは白くなりにくいのが現実です。
通常の薬剤では象牙質の深い部分まで漂白が及ばず、一時的に白くなってもすぐに後戻りしてしまうことが多いのです。このような場合は、以下の専門的なアプローチが有効です。
- ウォーキングブリーチ:歯の内部に直接漂白剤を入れ、内側から白くする方法。
- セラミッククラウン:変色した歯を覆い、理想的な色と透明感を再現する方法。
特に、耐久性や将来的な美しさを考慮すると、セラミッククラウンによる治療が最も推奨されます。
自然な透明感を再現する!当院の審美治療のこだわり

アンチエイジングデンタルクリニック恵比寿では、1本の前歯でも他の歯と違和感なく調和させるために、高精度な色合わせと構造補強を同時に行う審美治療を提供しています。
1. 技工士立会いによる「プロの色合わせ」

前歯1本の色合わせは、歯科医師の目だけでなく、実際に歯を作る「職人」の視点が不可欠です。当院では、歯科技工士が診療室に立ち会い、専用のシェードカメラを用いて患者様の歯の色・明度・透明感を精密に解析します。
照明条件や、唇とのバランス、口元全体の印象まで考慮することで、「前歯1本でも他の歯と自然に馴染む究極の再現」を可能にしています。
2. 歯を内側から守る「ファイバーコア」
神経を失った歯はもろく、折れやすくなっています。当院では、金属ではなくグラスファイバー製の土台(ファイバーコア)を使用します。これは適度なしなりがあり、歯の破折を防ぐだけでなく、光を透過させるため、セラミックの美しさを最大限に引き出すことができます。
3. 最新のオールセラミック・ジルコニアクラウン

当院が採用している素材は、天然歯に近い光の反射とグラデーションを再現できます。時間が経っても変色せず、汚れ(プラーク)も付きにくいため、長期にわたって若々しく健康的な笑顔を保つことが可能です。
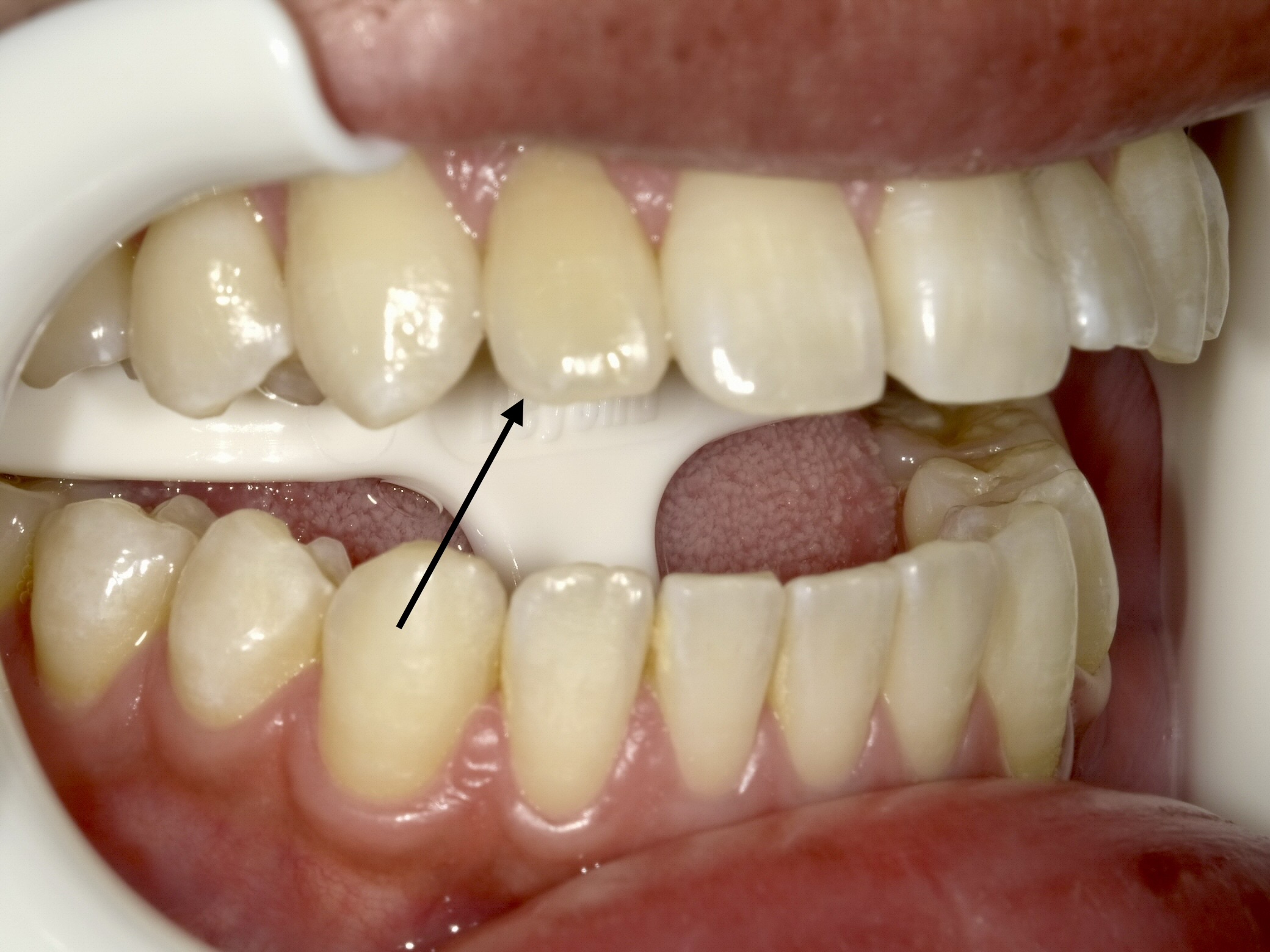
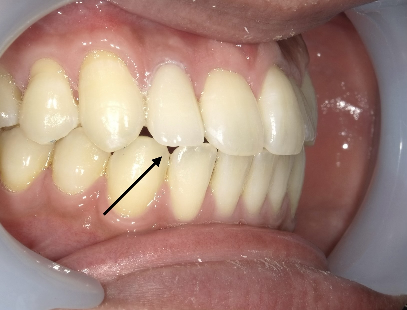
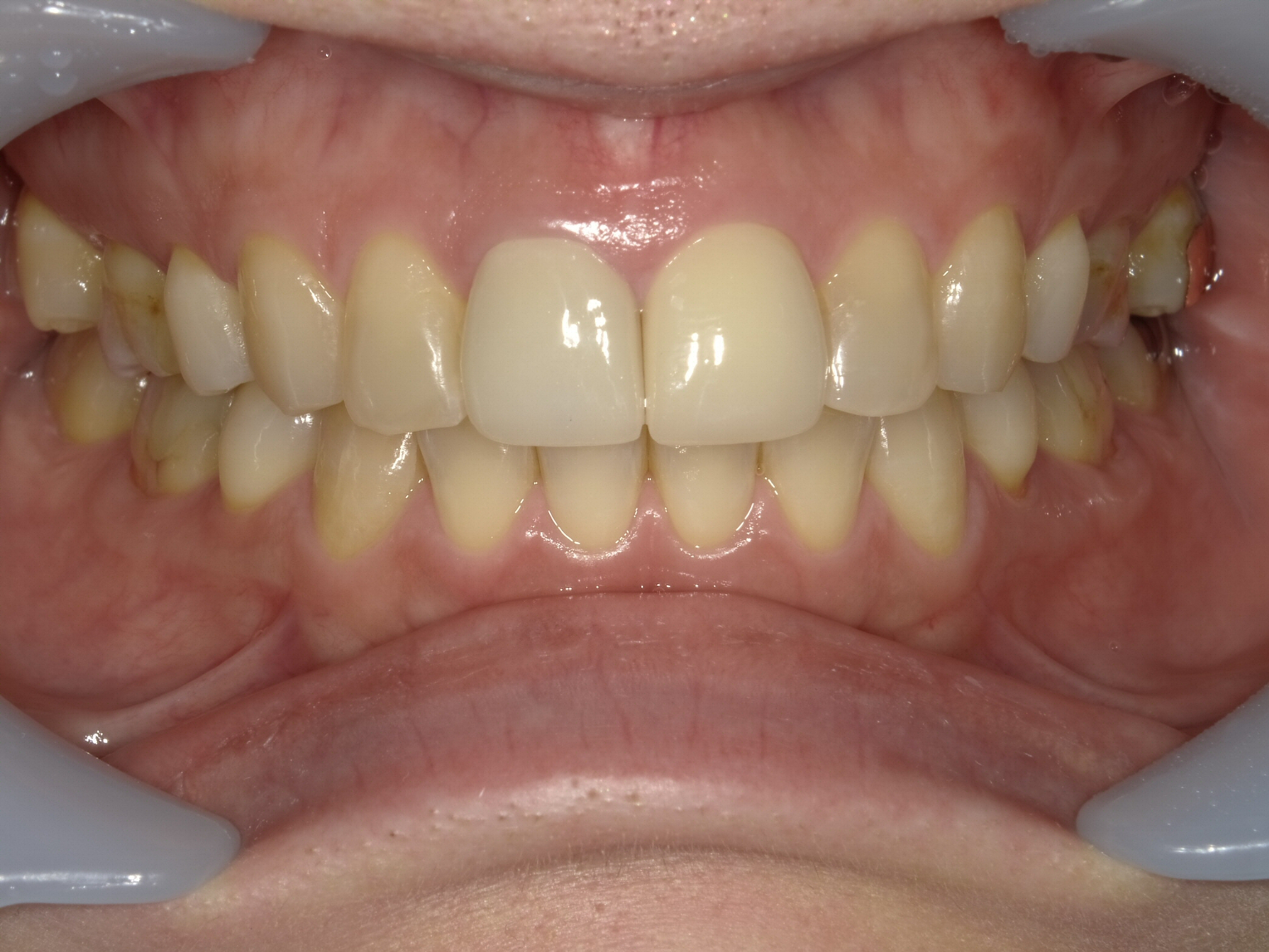
【症例写真】1本だけの色違いもここまで自然に

1本だけ暗く見える歯を治療する場合、周囲の歯の明るさに合わせてホワイトニングを先に行うことで、より全体に統一感のある美しい仕上がりになります。
症例1:神経のない歯の変色を改善
「1本だけ色が暗く、笑うときに気になる」というケースです。周りの天然歯に完全に調和させることを目指しました。
【Before】(矢印が神経のない変色歯)全体をホワイトニングしてベースを明るくします。

【After】セラミッククラウン装着。どこを治療したか分からないほど馴染んでいます。


- 治療方法:セラミッククラウン法 + オフィスホワイトニング
- 治療期間:約1ヶ月 / 費用:¥220,000(税込)
- リスク:歯を削る必要があります。
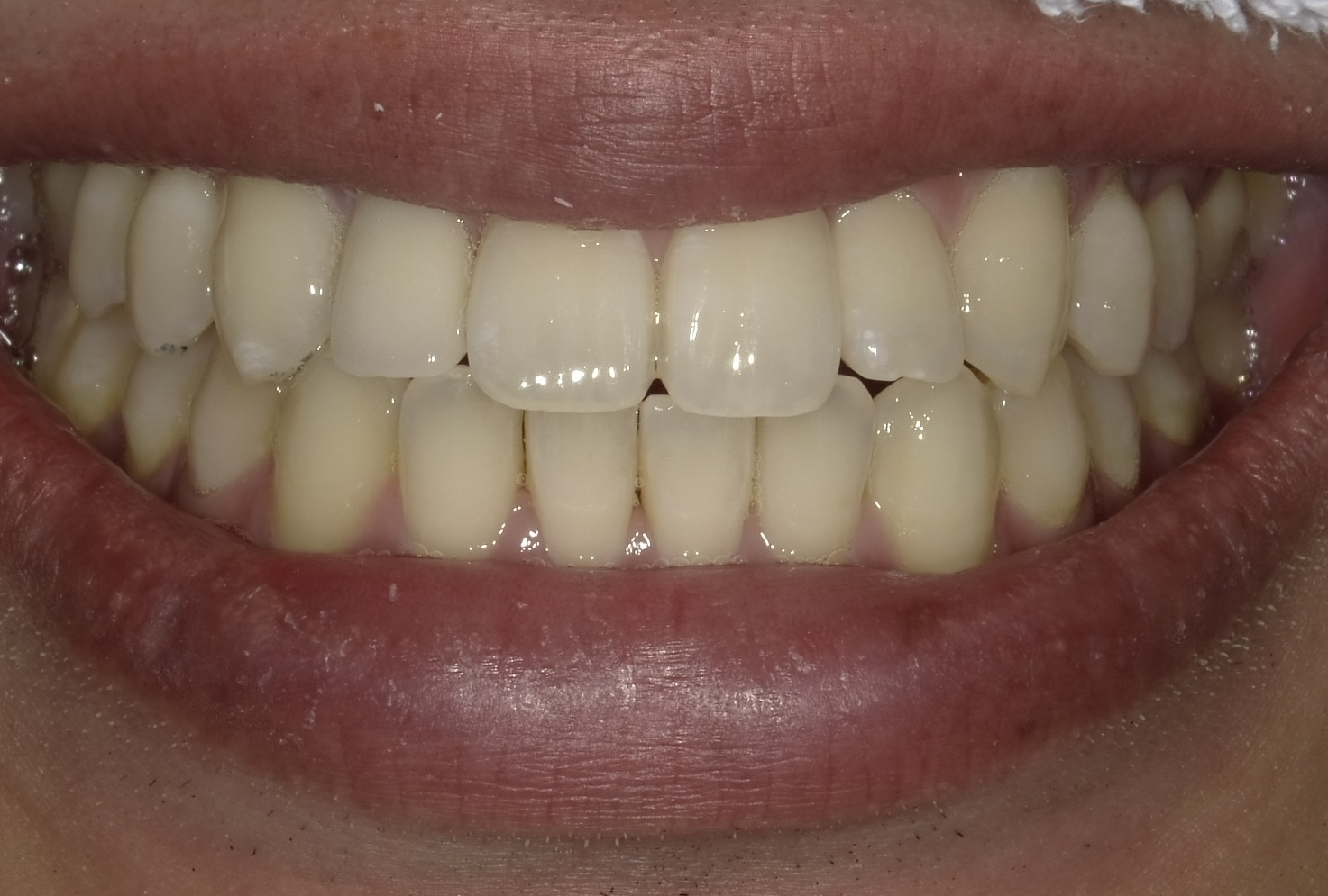
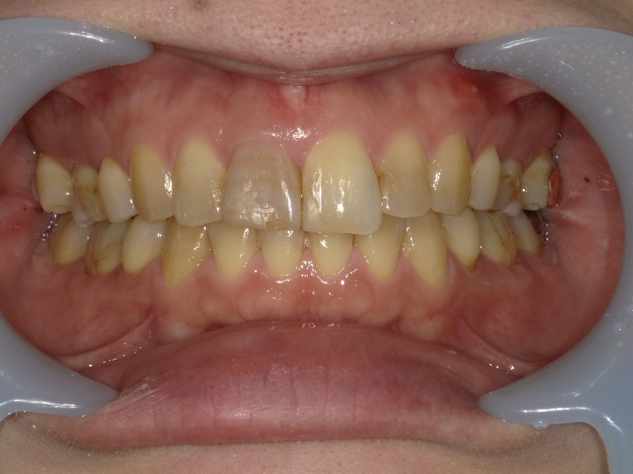
症例2:変色と形のアンバランスを同時に解消
変色に加え、歯の形も整えたいというご要望。2本のセラミッククラウンを用いてバランスを整えました。隣の歯の変色した詰め物は範囲が小さいためダイレクトボンディング法で詰め直しが可能です。


- 治療方法:セラミッククラウン(2本) + ダイレクトボンディング
- 治療期間:約2ヶ月 / 費用:¥312,400(税込)
よくある質問(FAQ)
Q. 治療期間中、前歯がない状態で過ごすことになりますか?
A. いいえ、ご安心ください。当院では精密な「仮歯」を即日〜短期間で装着します。見た目にも配慮した仮歯ですので、治療中も普段通りお過ごしいただけます。
Q. 1本だけの治療でも本当に周りと色が合いますか?
A. はい、可能です。歯科医師、技工士、そして患者様の三者で色の確認を行う「シェードテイキング」を徹底しているため、天然歯と見分けがつかないレベルまで追求します。
Q. 保険の差し歯とセラミックは何が違うのですか?
A. 最大の違いは「透明感」と「経年劣化」です。保険の歯は数年で黄色く変色し、歯ぐきの黒ずみの原因にもなりますが、セラミックは半永久的に色が変わりません。
治療費用の目安
| 項目 | 価格(税込) |
|---|---|
| ジルコニアセラミッククラウン | ¥165,000〜209,000 |
| ファイバーコア(土台) | ¥24200 |
| 仮歯・印象料など | 1本¥5500~7700 |
まとめ:1本の前歯が、あなたの自信を取り戻します
「前歯1本」は小さなパーツですが、それが綺麗になるだけで、笑顔に自信が生まれ、表情全体が明るくなります。アンチエイジングデンタルクリニック恵比寿では、患者様の10年後、20年後の健康も見据えた審美治療を行っています。
まずは一度、お気軽に無料カウンセリングへお越しください。
当院のInstagramアカウントはこちら
-
治療相談受付中!
まずはお気軽にご連絡ください。 -
\ お電話はこちら /
⌚受付時間:10:00-13:00/14:30-19:00
-
\ 治療相談受付中! /
矯正無料相談・審美治療相談
監修者
- アンチエイジングデンタルクリニック恵比寿 小川 朗子(おがわ あきこ)
-
1996年 鶴見大学歯学部卒業
1997年〜2006年 都内開業医勤務
2004年〜南青山デンタルクリニック副院長
2006年 アンチエイジングデンタルクリニック恵比寿開院
2007年 抗加齢医学会認定専門医取得
2015年 インビザライン認定医取得
2017年 高濃度ビタミンC点滴認定医取得
2018年 インディアナ州立大学歯学部 歯科矯正プログラム認定医取得
2018年 著書「若さを取り戻す歯のエイジングケア」出版 - 公式サイトトップへ