【審美歯科】
矮小歯(小さい前歯・細い前歯)は治せます|前歯の形を自然に整える審美治療と症例解説

矮小歯(わいしょうし)が原因で、笑顔に自信が持てなかったり、「前歯が細い」「小さい前歯が気になる」「前歯の形が左右で違う」といったお悩みを抱えていませんか?
矮小歯は見た目だけでなく、すき間ができやすい・噛み合わせに影響する・発音が不明瞭になるなど、日常生活に影響することもあります。この記事では、矮小歯(小さい前歯・細い前歯)の原因と、前歯の形を自然に整える治療法を歯科医師の視点で分かりやすく解説します。
目次
矮小歯とは|小さい前歯・細い前歯が目立つ理由

矮小歯とは、通常の歯よりも明らかに小さく、幅が細い歯のことを指します。特に多いのが、上の前歯の隣にある側切歯に現れるケースです。
歯並び自体は大きく乱れていなくても、矮小歯があると「歯のサイズが不均一」「すき間ができる」「左右差が目立つ」といった理由で、口元全体が整って見えにくくなります。
また、矮小歯はエナメル質が薄く歯の構造が弱いことがあり、歯の表面にヒビが入っていたり色が他の歯より暗かったり、虫歯や欠けのリスクが高い場合もあります。見た目だけでなく、長期的な機能・耐久性の観点からも早めの治療が望ましいことがあります。
矮小歯の治療は「歯並び」より「前歯の形」を整えることが主役
矮小歯の治療で重要なのは、歯を動かすこと(矯正)だけではなく、歯の形・幅・左右バランス・色を総合的に整えることです。
当院(アンチエイジングデンタルクリニック恵比寿)では、周りの歯と調和した自然な美しさを大切にし、必要以上に削らず将来的な安定性まで考えたご提案を行っています。
矮小歯(小さい前歯・細い前歯)の主な治療方法
① ダイレクトボンディング(削る量を最小限に)
ダイレクトボンディングは、レジン(歯科用樹脂)を直接歯に盛り付けて、形を整える方法です。矮小歯の「細さ」「すき間」を短期間で改善したい方に選ばれます。
- メリット:歯をほとんど削らない/1回で完了することが多い/費用を抑えられる
- デメリット:経年で変色・摩耗・欠けの可能性があり、長期的には色調や材質の安定が難しく将来的にやり替えが必要になる。
② ラミネートベニア(自然さと耐久性のバランスが良い)
ラミネートベニアは、歯の表面をわずかに削り、薄いセラミックシェルを貼り付ける治療です。矮小歯治療では「自然な透明感」「長期的な美しさ」を重視する方に多く選ばれます。 歯の形や生え方によっては、歯を削らないラミネートベニアもご提案が可能です。
- メリット:天然歯に近い透明感/色・形の精密な調整/変色しにくい
- デメリット:表面を薄く削る必要がある/ボンディングより費用が高い
③ セラミッククラウン(大きく形態改善したい場合)

セラミッククラウンは、歯を全周削りセラミック製の冠を被せる方法です。矮小歯が極端に小さい場合や、歯の強度が弱い場合、色や形を大きく改善したい場合に適しています。
- メリット:耐久性が高い/色・形の調整幅が大きい/長期安定が期待できる
- デメリット:歯を削る量が増えるため、適応の見極めが重要
歯並びも関係する場合は「矯正+前歯の形の治療」で完成度が上がります
矮小歯に加えて、歯の位置がズレている・すき間が大きい・噛み合わせの影響がある場合は、マウスピース矯正で歯並びを整えた後に形態修正(ベニア等)を行うと、より自然で美しい仕上がりになります。
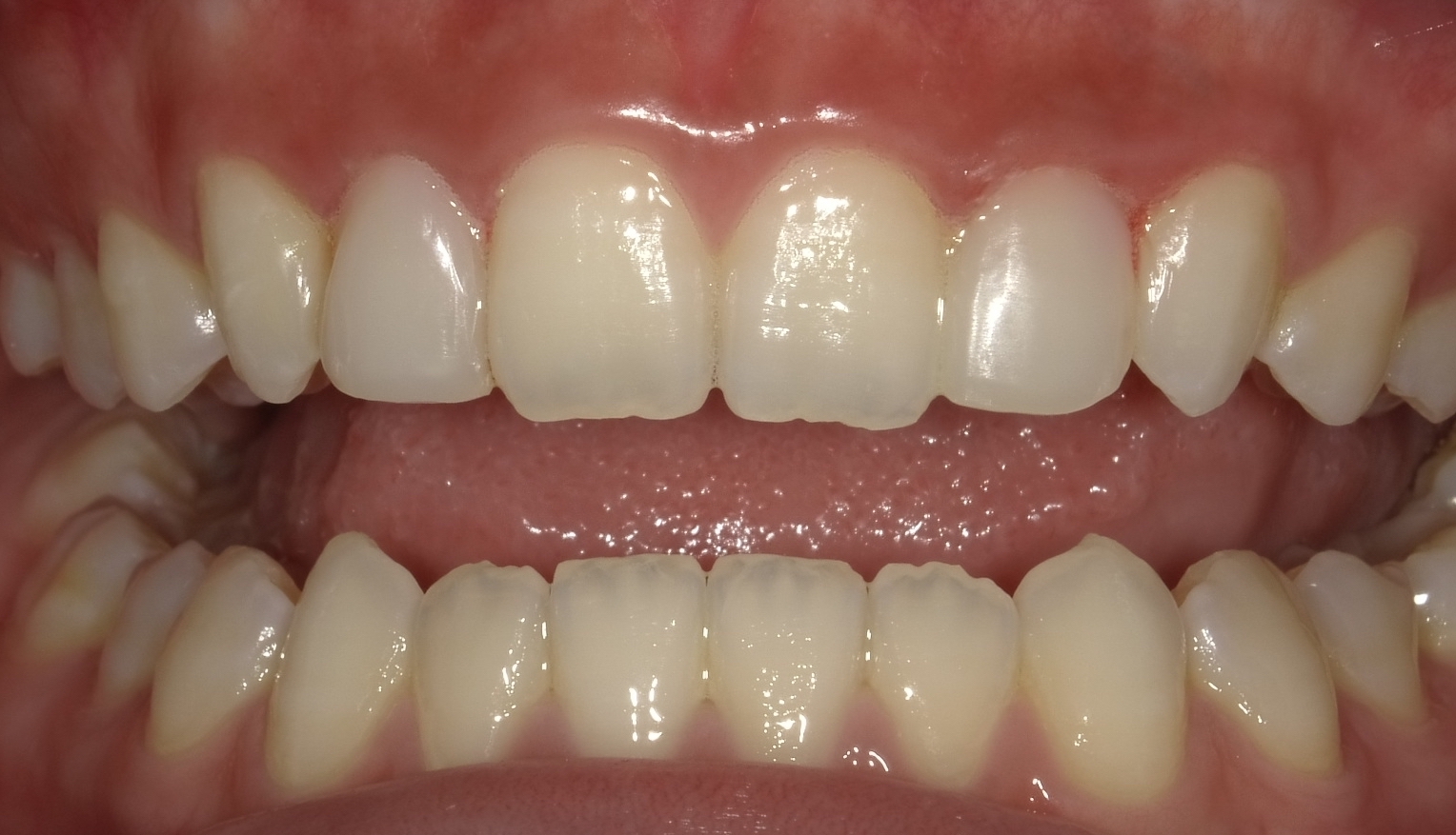
矮小歯の治療症例(Before→After)
症例① ダイレクトボンディング
このケースでは左右2本の矮小歯を治しています。元々の歯の色が均一でムラのない色調のため歯を全く削らずに表面にレジンを貼って形を整えました。
治療期間:1日 治療費用:ダイレクトベニア 1本¥55,000×2本=¥110,000(税込) リスク・デメリット:経年劣化で変色・欠けが起こることがある/色調調整に限界がある


症例② ラミネートベニア(1本)
矯正後に矮小歯1本だけをラミネートベニアで整えたケースです。矮小歯はエナメル質が薄く脆いことがあるため、セラミックで補強効果も期待できます。1本だけのセラミック治療は色調を周りの歯と合わせることが難しいため、技工士が立ち会って色調合わせを入念に行います。
治療期間:1ヶ月 治療費用:ラミネートベニア(プレミアム)1本+形成料金=¥172,700(税込) リスク・デメリット:表面を薄く削る必要がある


症例③ ラミネートベニア(複数本)
左右の矮小歯に加えて中切歯も細く、すき間が目立ったため、ラミネートベニア4本で形とすき間の改善を行ったケースです。
治療期間:1ヶ月 治療費用:ラミネートベニア(スペシャル)4本+形成料金=¥602,800(税込) リスク・デメリット:表面を薄く削る必要がある/歯の幅が広くなる場合がある

矮小歯に関するよくある質問
矮小歯を放置するリスクは何?
矮小歯を放置するリスクは下記の4つです。
- 噛み合わせが不安定になり、顎関節に負担がかかることがある
- 発音が不明瞭になり、タ行・サ行が気になる場合がある
- 口元が気になり、笑顔に自信が持てない
- 歯の構造が弱い場合、欠け・摩耗のリスクが高まる
少なくても良いことはないので、適切な治療を検討しましょう。
まとめ|小さい前歯・細い前歯は「自然に整える」ことができます
矮小歯は、生まれつきの歯の形によることが多い一方で、適切な治療を選ぶことで口元の印象は大きく改善します。
当院では、品のある自然な美しさを大切にし、できるだけ削らず、将来まで見据えた治療計画をご提案しています。矮小歯(小さい前歯・細い前歯)でお悩みの方は、お気軽にご相談ください。
当院のInstagramアカウントはこちら
-
治療相談受付中!
まずはお気軽にご連絡ください。 -
\ お電話はこちら /
⌚受付時間:10:00-13:00/14:30-19:00
-
\ 治療相談受付中! /
矯正無料相談・審美治療相談
監修者
- アンチエイジングデンタルクリニック恵比寿 小川 朗子(おがわ あきこ)
-
1996年 鶴見大学歯学部卒業
1997年〜2006年 都内開業医勤務
2004年〜南青山デンタルクリニック副院長
2006年 アンチエイジングデンタルクリニック恵比寿開院
2007年 抗加齢医学会認定専門医取得
2015年 インビザライン認定医取得
2017年 高濃度ビタミンC点滴認定医取得
2018年 インディアナ州立大学歯学部 歯科矯正プログラム認定医取得
2018年 著書「若さを取り戻す歯のエイジングケア」出版 - 公式サイトトップへ