【審美歯科】
前歯の詰め物(レジン)が変色などで目立つ場合の対処法!やり直したい方も必見!
「前歯の詰め物が変色して目立つ」「境目の黒ずみを綺麗にしたい」「何度もやり直すのはもう終わりにしたい」——
鏡を見るたびに気になる前歯のお悩み。実は、保険診療のレジン(プラスチック)は素材の特性上、数年で劣化・変色することが避けられません。しかし、最新の審美治療を選べば、まるで天然歯のような美しさを長期間維持することが可能です。
カウンセリングで納得いくまでご相談いただけます。
目次
目次
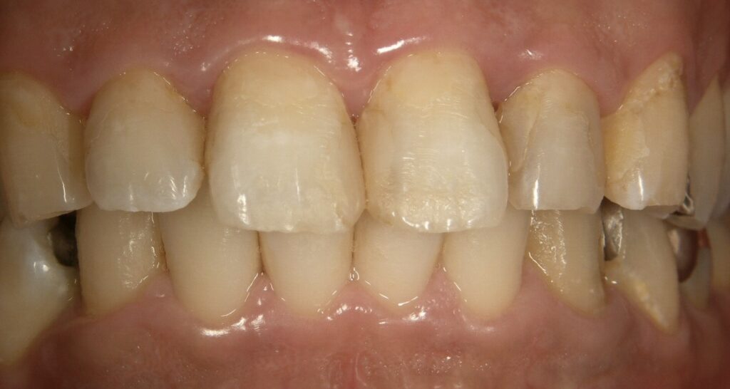
1. 前歯の詰め物(レジン)が変色・目立つ原因
前歯の治療で一般的なレジンは、安価で1日で終わるメリットがありますが、数年経つと「吸水性」による素材自体の変色や、境目の段差による汚れの蓄積が避けられません。表面を磨くだけでは戻らない変色が、笑顔の自信を奪ってしまう原因になります。
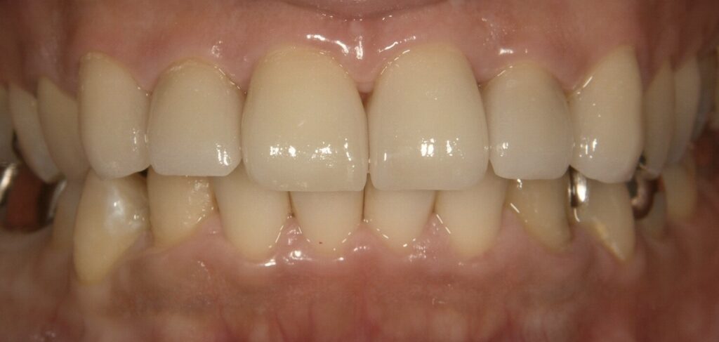
2. 究極の美しさを求めるなら「ラミネートベニア」
詰め物の跡が大きく、何度もやり直している方にはラミネートベニアが最適です。

症例


治療方法 ラミネートベニア法 上前歯6本
治療期間 2ヶ月 治療回数 3回
治療費用 ¥904200(税込)
治療のリスク・デメリット 衝撃が加わると取れることがある
3. 最小限に削って即日修復「ダイレクトボンディング」
「まだ歯を削りたくない」という方には、自費の審美用レジンを用いたダイレクトボンディングをご提案します。


症例
治療方法 矢印部分 ダイレクトボンディング法
治療期間 1日
治療費用 ¥33000(税込)
治療のリスク・デメリット 経年劣化で変色する。
より詳細な治療内容・症例はこちら
5. よくある質問(FAQ)
Q. 費用はどのくらいですか?
A. お口の状態によりますが、カウンセリング時に必ず見積書をお出しします。目安として、ラミネートベニアは1本¥120,000〜¥150,000前後、ダイレクトボンディングは治療箇所によりますが¥33,000〜¥44,000となります。
Q. 治療期間はどのくらいですか?
A. ダイレクトボンディングは最短1日で完了します。ラミネートベニアは通常3回程度の通院が目安です(治療開始時仮歯まで装着→調整・型取り→セット)。セット後は噛み合わせのチェックのためにご来院いただいております。
Q. 治療の痛みはありますか?
A. 治療中は適切に麻酔を行いますので無痛です。治療が終わった後も、痛みが出ることはほとんどありませんので、歯科医院が苦手な方もどうぞご安心ください。
5. まとめ:自信を持って笑える毎日へ
前歯の悩みは、心にまで影響します。当院では、丁寧なカウンセリングで診断を行い治療計画を立てて自信を持てる前歯作りをお手伝いします。
24時間WEB予約・カウンセリング受付中
当院のInstagramアカウントはこちら
-
治療相談受付中!
まずはお気軽にご連絡ください。 -
\ お電話はこちら /
⌚受付時間:10:00-13:00/14:30-19:00
-
\ 治療相談受付中! /
矯正無料相談・審美治療相談
監修者
- アンチエイジングデンタルクリニック恵比寿 小川 朗子(おがわ あきこ)
-
1996年 鶴見大学歯学部卒業
1997年〜2006年 都内開業医勤務
2004年〜南青山デンタルクリニック副院長
2006年 アンチエイジングデンタルクリニック恵比寿開院
2007年 抗加齢医学会認定専門医取得
2015年 インビザライン認定医取得
2017年 高濃度ビタミンC点滴認定医取得
2018年 インディアナ州立大学歯学部 歯科矯正プログラム認定医取得
2018年 著書「若さを取り戻す歯のエイジングケア」出版 - 公式サイトトップへ