【審美歯科】
前歯の変色・黄ばみは「詰め物の着色」かも?色が合わない前歯を自然に整える方法
アンチエイジングデンタルクリニック恵比寿では、前歯の“清潔感・自然さ・上品さ”を重視し、削る量を抑えつつ最適な方法をご提案しています。
まず結論
前歯の詰め物(レジン)の変色・着色が目立つ原因は、主に次の4つです。
- レジン(詰め物)の経年劣化・吸水による黄ばみ
- 境目の段差・ザラつきにステインが入り込み黒く見える
- コーヒー/紅茶/ワイン/喫煙などの着色(表面ステイン)
- 差し歯(クラウン)の素材・色設計・金属の影による色ズレ
「どこが変色しているか(歯/詰め物/差し歯)」を見極め、白くする順番(ホワイトニング→色合わせ)まで設計すると、やり直しが起きにくく自然な仕上がりになります。
目次
- 1 前歯の詰め物(レジン)が変色するのはなぜ?(前歯 詰め物 の変色/前歯 の詰め物 着色の原因)
- 2 前歯の変色・黄ばみの原因は“歯”なのか“詰め物/差し歯”なのか
- 3 前歯の詰め物(レジン)はラミネートベニアで直した方が良い?
- 4 小さな詰め物ならダイレクトボンディングで自然に直せる
- 5 差し歯の色が合わない/歯ぐきの境目が黒い場合は「クラウンの作り替え」
- 6 症例:前歯の黄ばみ+差し歯の色ズレを自然に改善
- 7 前歯の詰め物(レジン)の着色をダイレクトボンディングで改善
- 8 広範囲の詰め物跡・変色はラミネートベニアで質感ごと整える
- 9 自然で上品な仕上がりを実現するAADCの審美歯科(当院のこだわり)
- 10 前歯の詰め物の色・形でお悩みの方はご相談ください(まとめ)
- 11 前歯の詰め物(レジン)が変色するのはなぜ?(前歯 詰め物 の変色/前歯 の詰め物 着色の原因)
- 12 前歯の変色・黄ばみの原因は“歯”なのか“詰め物/差し歯”なのか
- 13 前歯の詰め物(レジン)はラミネートベニアで直した方が良い?
- 14 小さな詰め物ならダイレクトボンディングで自然に直せる
- 15 差し歯の色が合わない/歯ぐきの境目が黒い場合は「クラウンの作り替え」
- 16 症例:前歯の黄ばみ+差し歯の色ズレを自然に改善
- 17 前歯の詰め物(レジン)の着色をダイレクトボンディングで改善
- 18 広範囲の詰め物跡・変色はラミネートベニアで質感ごと整える
- 19 自然で上品な仕上がりを実現するAADCの審美歯科(当院のこだわり)
- 20 前歯の詰め物の色・形でお悩みの方はご相談ください(まとめ)
前歯の詰め物(レジン)が変色するのはなぜ?(前歯 詰め物 の変色/前歯 の詰め物 着色の原因)
前歯の詰め物(レジン)は、数年経つと劣化し、次のような変化が起こります。これが「前歯の詰め物が着色して見える」主な理由です。
- 表面のツヤが失われて、白っぽく・くすんで見える
- 境目に段差やザラつきができ、ステインが入り込んで黒っぽく見える
- レジンの色が黄ばみ・濁り、歯との色調差が強くなる
- コーヒー・お茶・ワイン・喫煙などで徐々に着色する
これらは自然に元に戻ることはありません。
「レジンを詰め替えるべきか?」「ラミネートベニアの方が長持ちするか?」「差し歯の作り替えが必要か?」は、変色の原因と範囲で判断します。
前歯の変色・黄ばみの原因は“歯”なのか“詰め物/差し歯”なのか
同じ「前歯が黄ばんで見える」でも、原因は複数あります。大きく分けると以下です。
- 天然歯の黄ばみ:加齢・着色(ステイン)・歯の色調変化
- 前歯の詰め物(レジン)の着色:材料の経年変化/境目の着色
- 差し歯(クラウン)の色ズレ:以前の色設計/素材/金属の影/歯ぐき境目の黒ずみ
特に重要なのが、ホワイトニングで白くなるのは天然歯だけという点です。詰め物や差し歯は白くならないため、白くする順番(ホワイトニング→色合わせ→詰め物/被せ物作製)を間違えると、色差が出てしまうことがあります。
▶ 関連:ホワイトニング
治療の選び方(迷ったらここ)
前歯の詰め物の変色は、ざっくり「大きさ」で判断すると分かりやすいです。
- 小さな詰め物(境目の着色中心):ダイレクトボンディング/レジン再充填
- 詰め物範囲が広い(目安:表面の1/3以上):ラミネートベニア
- 差し歯の色ズレ・境目が黒い:メタルフリークラウンの作り替え
前歯の詰め物(レジン)はラミネートベニアで直した方が良い?
詰め物(レジン)の跡や境目が歯の表面に見えて目立っていたり、詰め物の範囲が1/3以上になっている場合は、再度の詰め替えよりも、表面を一層削ってセラミックを貼るラミネートベニア法が適しているケースがあります。
レジンは詰め替え直後は綺麗でも、数年で材質劣化により境目が目立ったり、レジン自体が変色してくることがあります。目立つ状態を何度も削り直して詰め直すより、均一な質感と色調が長持ちするセラミックの方が、長い目で見て歯への負担が少ないこともあります。
ラミネートベニア法の特徴(メリット・デメリット)
ラミネートベニアは、前歯の“質感・透明感・色ムラ”を整えるのが得意な治療です。
メリット:自然な白さ・透明感が出やすい/質感が均一で上品に見える/(ケースによっては)二次虫歯リスクの低下に寄与することも。
デメリット:稀に取れることがある(再接着可能な場合あり)/噛み合わせや習癖によっては適応を選ぶ。
▶ 関連:ラミネートベニア法の症例を見る
小さな詰め物ならダイレクトボンディングで自然に直せる
詰め物の範囲が小さい場合は、審美用の高品質レジンで行うダイレクトボンディングで、詰め物跡が分からないレベルまで整えられることがあります。前歯は“白さ”だけでなく、艶・透明感・境目のなめらかさが重要です。
▶ 関連:ダイレクトボンディング法を見る
差し歯の色が合わない/歯ぐきの境目が黒い場合は「クラウンの作り替え」
差し歯(クラウン)の色が合っていない場合、基本的にはクラウンのやり替えが解決策になります。特に昔の差し歯で金属が入っている場合、歯ぐきとの境目が黒っぽく見えることがあります。
現在主流のセラミック/ジルコニアなどのメタルフリー素材は、透明感があり、境目も自然になりやすいのが特長です。
▶ 関連:前歯審美治療
「前歯だけ自然に整えたい」「レジンのやり直しで綺麗にしたい」方へ
当院では、レジン再充填・ダイレクトボンディング・ラミネートベニア・メタルフリークラウンの中から、歯をできるだけ削らず、自然に美しく仕上がる最適な治療法をご提案しています。
▶ 無料相談・ご予約はこちら症例:前歯の黄ばみ+差し歯の色ズレを自然に改善
全体的な黄ばみと、前歯2本の差し歯の色ズレが目立っていたケースです。差し歯以外はホワイトニングで明るくし、その色に合わせてジルコニアセラミッククラウンを作製しました。
治療期間 1.5ヶ月/治療費用総額¥340900/治療のリスク・デメリット 歯を削る必要がある。
無料相談・ご予約はこちらから
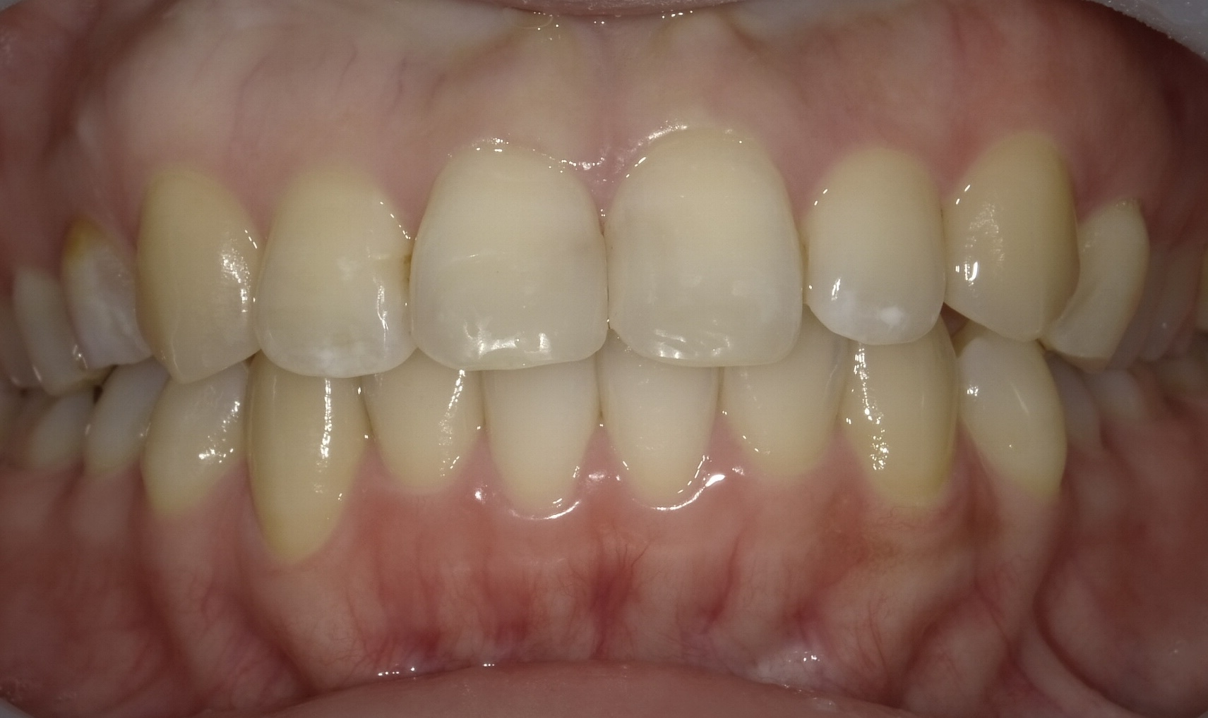
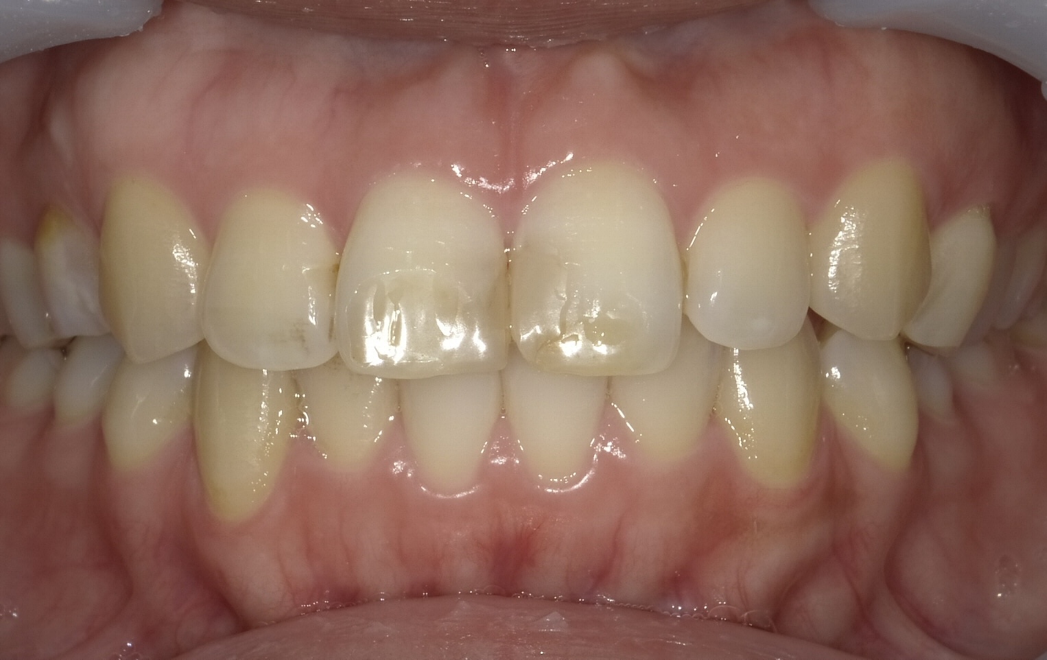
前歯の詰め物(レジン)の着色をダイレクトボンディングで改善

Before(お悩み)
前歯の詰め物の境目が着色し、虫歯のように見えたり、写真で口元が暗く見える状態。
治療内容
ダイレクトボンディング(審美用レジン)で再充填+形態調整+表面研磨。周囲の歯に合わせて色合わせと艶を整えました。
治療期間 1日/治療費用 ¥33000×2本 治療のリスク・デメリット 欠けることがある。経年劣化で着色する
After(ポイント)
小さな詰め物であれば、白さだけでなく艶・透明感を揃えることで“詰め物感”が出にくく、自然に馴染みます。
▶ 関連:ダイレクトボンディング法について
広範囲の詰め物跡・変色はラミネートベニアで質感ごと整える


Before(お悩み)
前歯の表面に詰め物跡が広く、色ムラが目立つ状態。歯も薄く、レジンの詰め替えを繰り返すより、質感から整えたいケース。
治療内容
必要最小限の形成後、ラミネートベニア(セラミック)で表面を被覆。スマイルの口元から見える範囲だけをご希望の白く透明感のある色味にしました。笑った時の口角の広がりや唇の開き方も考慮して何本で行うかを患者さんと話して最終決定をしています。
治療期間 4ヶ月/治療費用総額 上下13本 ¥2118600/治療のリスク・デメリット 歯ぎしりや食いしばりがあると欠けることがある
After(ポイント)
質感が均一になり、色ムラ・境目が出にくく、上品な仕上がりが長続きしやすいのが特長です。
▶ 関連:ラミネートベニア法の症例を見る
自然で上品な仕上がりを実現するAADCの審美歯科(当院のこだわり)
当院は「前歯の自然な美しさ」を重視した審美治療に力を入れています。
ただ白い・ただ形を揃えるだけではなく、笑ったときの印象が上品に見えるよう、細部までデザインします。
前歯の治療は「色」だけでなく「透明感」「艶」「境目」が仕上がりを決めます。
カウンセリングでは、白さの度合い・形のバランス・笑ったときの見え方まで共有し、スマイルの口元で不自然な白さにならない設計を大切にしています。
- 自然光を想定した色合わせ(シェード)を丁寧に
- 歯ぐきとの境目が美しく見える形態デザイン
- 審美用の高品質レジンで“詰め物感”を減らす工夫
- 必要以上に削らず、長期的な歯の健康も重視
▶ 関連: 審美歯科について詳しくはこちら
前歯の詰め物の色・形でお悩みの方はご相談ください(まとめ)
前歯の詰め物跡の着色や段差、差し歯の色ズレ、前歯の変色・黄ばみは、原因と範囲で治療が変わります。
神経のある歯は、ダイレクトボンディングやラミネートベニアで改善できることが多く、神経のない歯や差し歯の色ズレはメタルフリーのクラウンが適するケースがあります。
「自分はどれが適切?」という段階でも大丈夫です。状態を拝見し、最短で自然に整う方法をご提案します。
前歯の“見た目の違和感”を、上品に整えたい方へ
レジンの変色・詰め物の段差・差し歯の色の違いなど、前歯のお悩みは日常で最も気になりやすい部分です。
当院では、ダイレクトボンディング・ラミネートベニア・セラミッククラウンの中から、削る量を最小限に抑えつつ、自然で上品な仕上がりを目指します。
Last Updated on 2026年1月10日 by 小川朗子
「前歯の詰め物が変色してきた」「境目が汚く見える」「前歯が黄ばんで見える」「色が合っていない差し歯を自然に直したい」——
そんなお悩みは、原因に合わせて“レジンの詰め替え/ダイレクトボンディング/ラミネートベニア/メタルフリーのクラウン”で自然に整えることができます。
まずはお気軽にご相談ください。
- 前歯の詰め物(レジン)の跡が汚い/境目が黒い/段差が気になる
- 前歯の詰め物が黄ばんだ・くすんだ(前歯 詰め物 着色)
- 差し歯の色が合っていない/暗い/歯ぐきとの境目が黒く見える
- 前歯だけ変色して見える(前歯 変色)/全体の黄ばみ(前歯 黄ばみ)も気になる
アンチエイジングデンタルクリニック恵比寿では、前歯の“清潔感・自然さ・上品さ”を重視し、削る量を抑えつつ最適な方法をご提案しています。
まず結論
前歯の詰め物(レジン)の変色・着色が目立つ原因は、主に次の4つです。
- レジン(詰め物)の経年劣化・吸水による黄ばみ
- 境目の段差・ザラつきにステインが入り込み黒く見える
- コーヒー/紅茶/ワイン/喫煙などの着色(表面ステイン)
- 差し歯(クラウン)の素材・色設計・金属の影による色ズレ
「どこが変色しているか(歯/詰め物/差し歯)」を見極め、白くする順番(ホワイトニング→色合わせ)まで設計すると、やり直しが起きにくく自然な仕上がりになります。
前歯の詰め物(レジン)が変色するのはなぜ?(前歯 詰め物 の変色/前歯 の詰め物 着色の原因)
前歯の詰め物(レジン)は、数年経つと劣化し、次のような変化が起こります。これが「前歯の詰め物が着色して見える」主な理由です。
- 表面のツヤが失われて、白っぽく・くすんで見える
- 境目に段差やザラつきができ、ステインが入り込んで黒っぽく見える
- レジンの色が黄ばみ・濁り、歯との色調差が強くなる
- コーヒー・お茶・ワイン・喫煙などで徐々に着色する
これらは自然に元に戻ることはありません。
「レジンを詰め替えるべきか?」「ラミネートベニアの方が長持ちするか?」「差し歯の作り替えが必要か?」は、変色の原因と範囲で判断します。
前歯の変色・黄ばみの原因は“歯”なのか“詰め物/差し歯”なのか
同じ「前歯が黄ばんで見える」でも、原因は複数あります。大きく分けると以下です。
- 天然歯の黄ばみ:加齢・着色(ステイン)・歯の色調変化
- 前歯の詰め物(レジン)の着色:材料の経年変化/境目の着色
- 差し歯(クラウン)の色ズレ:以前の色設計/素材/金属の影/歯ぐき境目の黒ずみ
特に重要なのが、ホワイトニングで白くなるのは天然歯だけという点です。詰め物や差し歯は白くならないため、白くする順番(ホワイトニング→色合わせ→詰め物/被せ物作製)を間違えると、色差が出てしまうことがあります。
▶ 関連:ホワイトニング
治療の選び方(迷ったらここ)
前歯の詰め物の変色は、ざっくり「大きさ」で判断すると分かりやすいです。
- 小さな詰め物(境目の着色中心):ダイレクトボンディング/レジン再充填
- 詰め物範囲が広い(目安:表面の1/3以上):ラミネートベニア
- 差し歯の色ズレ・境目が黒い:メタルフリークラウンの作り替え
前歯の詰め物(レジン)はラミネートベニアで直した方が良い?
詰め物(レジン)の跡や境目が歯の表面に見えて目立っていたり、詰め物の範囲が1/3以上になっている場合は、再度の詰め替えよりも、表面を一層削ってセラミックを貼るラミネートベニア法が適しているケースがあります。
レジンは詰め替え直後は綺麗でも、数年で材質劣化により境目が目立ったり、レジン自体が変色してくることがあります。目立つ状態を何度も削り直して詰め直すより、均一な質感と色調が長持ちするセラミックの方が、長い目で見て歯への負担が少ないこともあります。
ラミネートベニア法の特徴(メリット・デメリット)
ラミネートベニアは、前歯の“質感・透明感・色ムラ”を整えるのが得意な治療です。
メリット:自然な白さ・透明感が出やすい/質感が均一で上品に見える/(ケースによっては)二次虫歯リスクの低下に寄与することも。
デメリット:稀に取れることがある(再接着可能な場合あり)/噛み合わせや習癖によっては適応を選ぶ。
▶ 関連:ラミネートベニア法の症例を見る
小さな詰め物ならダイレクトボンディングで自然に直せる
詰め物の範囲が小さい場合は、審美用の高品質レジンで行うダイレクトボンディングで、詰め物跡が分からないレベルまで整えられることがあります。前歯は“白さ”だけでなく、艶・透明感・境目のなめらかさが重要です。
▶ 関連:ダイレクトボンディング法を見る
差し歯の色が合わない/歯ぐきの境目が黒い場合は「クラウンの作り替え」
差し歯(クラウン)の色が合っていない場合、基本的にはクラウンのやり替えが解決策になります。特に昔の差し歯で金属が入っている場合、歯ぐきとの境目が黒っぽく見えることがあります。
現在主流のセラミック/ジルコニアなどのメタルフリー素材は、透明感があり、境目も自然になりやすいのが特長です。
▶ 関連:前歯審美治療
「前歯だけ自然に整えたい」「レジンのやり直しで綺麗にしたい」方へ
当院では、レジン再充填・ダイレクトボンディング・ラミネートベニア・メタルフリークラウンの中から、歯をできるだけ削らず、自然に美しく仕上がる最適な治療法をご提案しています。
▶ 無料相談・ご予約はこちら症例:前歯の黄ばみ+差し歯の色ズレを自然に改善
全体的な黄ばみと、前歯2本の差し歯の色ズレが目立っていたケースです。差し歯以外はホワイトニングで明るくし、その色に合わせてジルコニアセラミッククラウンを作製しました。
治療期間 1.5ヶ月/治療費用総額¥340900/治療のリスク・デメリット 歯を削る必要がある。
無料相談・ご予約はこちらから
前歯の詰め物(レジン)の着色をダイレクトボンディングで改善

Before(お悩み)
前歯の詰め物の境目が着色し、虫歯のように見えたり、写真で口元が暗く見える状態。
治療内容
ダイレクトボンディング(審美用レジン)で再充填+形態調整+表面研磨。周囲の歯に合わせて色合わせと艶を整えました。
治療期間 1日/治療費用 ¥33000×2本 治療のリスク・デメリット 欠けることがある。経年劣化で着色する
After(ポイント)
小さな詰め物であれば、白さだけでなく艶・透明感を揃えることで“詰め物感”が出にくく、自然に馴染みます。
▶ 関連:ダイレクトボンディング法について
広範囲の詰め物跡・変色はラミネートベニアで質感ごと整える


Before(お悩み)
前歯の表面に詰め物跡が広く、色ムラが目立つ状態。歯も薄く、レジンの詰め替えを繰り返すより、質感から整えたいケース。
治療内容
必要最小限の形成後、ラミネートベニア(セラミック)で表面を被覆。スマイルの口元から見える範囲だけをご希望の白く透明感のある色味にしました。笑った時の口角の広がりや唇の開き方も考慮して何本で行うかを患者さんと話して最終決定をしています。
治療期間 4ヶ月/治療費用総額 上下13本 ¥2118600/治療のリスク・デメリット 歯ぎしりや食いしばりがあると欠けることがある
After(ポイント)
質感が均一になり、色ムラ・境目が出にくく、上品な仕上がりが長続きしやすいのが特長です。
▶ 関連:ラミネートベニア法の症例を見る
自然で上品な仕上がりを実現するAADCの審美歯科(当院のこだわり)
当院は「前歯の自然な美しさ」を重視した審美治療に力を入れています。
ただ白い・ただ形を揃えるだけではなく、笑ったときの印象が上品に見えるよう、細部までデザインします。
前歯の治療は「色」だけでなく「透明感」「艶」「境目」が仕上がりを決めます。
カウンセリングでは、白さの度合い・形のバランス・笑ったときの見え方まで共有し、スマイルの口元で不自然な白さにならない設計を大切にしています。
- 自然光を想定した色合わせ(シェード)を丁寧に
- 歯ぐきとの境目が美しく見える形態デザイン
- 審美用の高品質レジンで“詰め物感”を減らす工夫
- 必要以上に削らず、長期的な歯の健康も重視
▶ 関連: 審美歯科について詳しくはこちら
前歯の詰め物の色・形でお悩みの方はご相談ください(まとめ)
前歯の詰め物跡の着色や段差、差し歯の色ズレ、前歯の変色・黄ばみは、原因と範囲で治療が変わります。
神経のある歯は、ダイレクトボンディングやラミネートベニアで改善できることが多く、神経のない歯や差し歯の色ズレはメタルフリーのクラウンが適するケースがあります。
「自分はどれが適切?」という段階でも大丈夫です。状態を拝見し、最短で自然に整う方法をご提案します。
前歯の“見た目の違和感”を、上品に整えたい方へ
レジンの変色・詰め物の段差・差し歯の色の違いなど、前歯のお悩みは日常で最も気になりやすい部分です。
当院では、ダイレクトボンディング・ラミネートベニア・セラミッククラウンの中から、削る量を最小限に抑えつつ、自然で上品な仕上がりを目指します。
当院のInstagramアカウントはこちら
-
治療相談受付中!
まずはお気軽にご連絡ください。 -
\ お電話はこちら /
⌚受付時間:10:00-13:00/14:30-19:00
-
\ 治療相談受付中! /
矯正無料相談・審美治療相談
監修者
- アンチエイジングデンタルクリニック恵比寿 小川 朗子(おがわ あきこ)
-
1996年 鶴見大学歯学部卒業
1997年〜2006年 都内開業医勤務
2004年〜南青山デンタルクリニック副院長
2006年 アンチエイジングデンタルクリニック恵比寿開院
2007年 抗加齢医学会認定専門医取得
2015年 インビザライン認定医取得
2017年 高濃度ビタミンC点滴認定医取得
2018年 インディアナ州立大学歯学部 歯科矯正プログラム認定医取得
2018年 著書「若さを取り戻す歯のエイジングケア」出版 - 公式サイトトップへ