web予約 web予約
お問い合わせ

お問い合わせ

Web予約

Web予約

電話

お電話

自分の口元に自信がありますか

「前歯にヒビが入っているけれど、痛くないから放置しても平気かな?」そんな自己判断は少し危険です。
表面のエナメル質にとどまる微細なヒビから、痛みを伴わずに神経まで達している深刻な亀裂まで、ヒビの状態は様々であり、ご自身の肉眼だけで進行度を見極めるのは困難です。
大切な歯を守るためには、まずは正しい知識を持ち、今の状態に一番合った処置を選ぶことが重要です。
本記事では、専門家の観点から「前歯のヒビ割れの原因やリスク」をはじめ、「悪化させないための対処法」や「進行度ごとに異なる最適な治療の選択肢」などについて分かりやすく解説します。

目次

    このようなお悩みは
    ありませんか?

    • ✔️鏡で前歯を見ると細い線のようなヒビが見える
    • ✔️前歯の一部だけ色が暗く見える
    • ✔️冷たい飲み物を飲むと前歯がしみる
    • ✔️食べ物を噛んだときに前歯に違和感がある
    • ✔️前歯のヒビが少しずつ目立ってきた気がする
    • ✔️前歯のヒビが広がらないか不安がある
    • ✔️見た目が気になり人前で笑うことをためらう
    • ✔️前歯のヒビをきれいに治したい

    前歯のヒビは見た目だけの問題に見える場合でも、歯の内部に影響していることがあります。
    小さな亀裂でも放置すると深くなる可能性があります。
    歯の状態を確認することで適切な治療方法を選ぶことができ、歯を守ることにつながります。

    前歯にヒビが入る
    主な原因

    歯ぎしり・食いしばり

    歯ぎしり・食いしばりによる負担

    前歯にヒビが入る原因として多いのが、歯ぎしりや食いしばりによる強い力です。就寝中や集中している場面では無意識に歯を強く噛み締めることがあり、歯には想像以上の圧力がかかります。
    歯ぎしりや食いしばりでは、体重に匹敵するほどの強い力が繰り返し歯に加わります。前歯の表面を覆うエナメル質は非常に硬い組織ですが、長期間にわたって負担が続くと微細な亀裂が生じることがあります。小さな亀裂は肉眼では分かりにくいものの、負荷が続くことで徐々に広がり、目に見えるヒビになることがあります。

    外傷

    転倒や衝撃などの外傷

    前歯に強い衝撃が加わると、歯にヒビが入ることがあります。転倒して顔をぶつけた場合やスポーツ中の接触、事故などによる衝撃が代表的な例です。
    前歯は口の前方に位置しているため、外部からの衝撃を受けやすい部位です。急激な力が歯に加わると、歯の表面だけでなく内部にまで亀裂が及ぶ場合があります。場合によっては歯の神経や歯根に影響が出ることもあるため、衝撃を受けたあとに違和感や痛みがある場合は歯科医院での確認が大切です。

    硬い食べ物を前歯で噛む

    硬い食べ物を前歯で噛む習慣

    硬い食べ物を前歯で噛む習慣も、ヒビの原因になることがあります。氷を噛む、硬いパンを引きちぎる、ナッツや飴を噛み砕くといった行動は前歯に強い負担をかけます。
    前歯は本来、食べ物を噛み切る役割を担う歯です。奥歯のように強い咬合力に耐える構造ではないため、硬いものを繰り返し噛むとエナメル質に細かな亀裂が生じることがあります。小さな亀裂がある状態で硬い食べ物を噛むと、亀裂が広がりやすくなるため注意が必要です。

    加齢

    加齢によるエナメル質の劣化

    年齢を重ねるにつれて、歯の表面のエナメル質は少しずつ摩耗していきます。長年の咀嚼や歯ぎしりの影響により、歯の表面には目に見えない細かな傷が増えていきます。
    エナメル質が薄くなると歯の強度が低下し、わずかな力でも亀裂が入りやすくなります。日常生活の中で加わる小さな負担が積み重なることで、ある日突然ヒビとして確認されることもあります。年齢とともに前歯に細い線が見えるようになる場合もありますが、状態によっては歯科医院での診査が必要になります。

    虫歯や過去の治療

    虫歯や過去の治療による歯の強度低下

    虫歯の治療歴がある歯や神経を抜いた歯は、健康な歯と比較して強度が低下する傾向があります。大きな虫歯を治療した歯では、歯質が減っているためヒビが入りやすくなります。
    神経のない歯は内部の水分量が減少し、乾燥した状態に近くなるため、衝撃に弱くなる場合があります。また、詰め物や被せ物と歯の境目に負担がかかると、そこから亀裂が広がるケースもあります。過去の治療がある歯ほど注意深い経過観察が重要になります。

    前歯のヒビで現れる症状

    前歯のヒビ

    見た目に細い線が見える

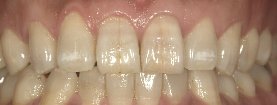
    前歯にヒビが入ると、歯の表面に細い線が見えることがあります。光の当たり方によって縦の筋のような線が確認できる場合があります。
    歯の表面を覆うエナメル質に微細な亀裂が入ると、肉眼でも線として確認できる場合があります。初期段階では痛みが出ないことが多く、鏡を見たときや写真を撮ったときに初めて気付くケースもあります。時間が経つとヒビの溝に色素が入り込み、茶色や黒っぽい線として目立つこともあります。

    冷たいものや甘いものがしみる

    前歯のヒビによって知覚過敏のような症状が現れることがあります。冷たい飲み物や甘い食べ物を口にしたときに、前歯がしみる感覚が生じる場合があります。
    ヒビがエナメル質の下にある象牙質まで達すると、外部の刺激が神経へ伝わりやすくなります。象牙質には神経につながる細い管が存在しているため、冷たい温度や甘味などの刺激が伝わりやすくなります。その結果、瞬間的な痛みやしみる感覚が起こることがあります。

    噛んだときに痛みを感じる

    食べ物を噛んだときに前歯が痛む場合、ヒビが歯の構造に影響している可能性があります。特定の位置で噛んだときだけ痛みが出る場合もあります。
    咬合力が加わると歯にわずかな変形が起こります。ヒビが存在すると歯の内部で圧力がかかり、神経に刺激が伝わることがあります。硬い食べ物を噛んだときに痛みが出たり、噛んだあとに違和感が残る場合は歯の内部に亀裂が広がっている可能性があります。

    ヒビの部分が変色する

    前歯のヒビは時間の経過とともに色が変わることがあります。ヒビの部分が茶色や黒っぽく見える場合があります。
    歯の表面の亀裂にはコーヒー、紅茶、赤ワインなどの色素が入り込みやすくなります。色素が蓄積すると、ヒビの部分だけが暗く見えることがあります。見た目の印象が気になり、審美面の悩みとして相談されることも少なくありません。

    歯ぐきの腫れや強い痛みが出る

    前歯のヒビが深い場合、歯ぐきの腫れや強い痛みが生じることがあります。歯の根元付近に違和感が出る場合もあります。
    ヒビが歯の神経や歯根に近い部分まで進むと、細菌が内部に入り込み炎症が起こることがあります。炎症が起こると歯ぐきの腫れや持続的な痛みにつながる場合があります。拍動するような痛みや歯ぐきの腫れがある場合は、早めに歯科医院での診査が必要です。

    症状がほとんどない場合もある

    前歯のヒビは自覚症状がほとんどない場合もあります。痛みや違和感がなくても、歯に亀裂が存在することがあります。
    エナメル質の表面だけにある細かな亀裂は症状が出ないことがあります。歯科検診や専門的な検査で初めて確認されるケースもあります。症状がない状態でもヒビが広がる可能性があるため、違和感がある場合や見た目の変化が気になる場合は歯科医院での確認が大切です。

    前歯のヒビを
    放置するリスク

    ヒビから細菌が侵入し虫歯や感染が起こる

    前歯のヒビは細菌が入り込みやすい通路になります。歯の内部に細菌が入り込むと、虫歯や感染が起こる可能性があります。
    歯の表面にはエナメル質という硬い組織がありますが、ヒビが存在すると細菌が内部へ入りやすくなります。歯ブラシが届きにくい亀裂の内部では細菌が増えやすく、象牙質にまで虫歯が進行する場合があります。虫歯がさらに進むと神経に炎症が起こり、強い痛みが出ることがあります。

    ヒビが広がり歯が割れる可能性がある

    前歯のヒビは小さな状態でも徐々に広がることがあります。食事や会話の際に歯には繰り返し力が加わるため、ヒビが深くなる場合があります。
    歯に亀裂がある状態で噛む力が加わると、亀裂が徐々に広がることがあります。硬い食べ物を噛んだ瞬間に歯が大きく欠ける場合もあります。歯が大きく欠けた場合には詰め物だけでは修復が難しくなり、被せ物による治療が必要になるケースがあります。

    歯根破折に進行すると抜歯が必要になる場合がある

    前歯のヒビが歯の根の部分まで達すると、歯を残すことが難しくなる場合があります。歯の根が割れてしまう状態は歯根破折と呼ばれます。
    歯根破折が起こると歯の内部に細菌が入り込み、歯ぐきや顎の骨に炎症が広がる可能性があります。歯の根の深い部分まで亀裂が入ると修復が困難になることが多く、抜歯が選択されるケースがあります。抜歯後にはインプラントやブリッジなどの治療が必要になることもあります。

    神経に近い部分まで進んだヒビ

    見た目の問題が目立ちやすくなる

    前歯のヒビは見た目の印象にも影響を与えることがあります。ヒビの部分に着色が起こると、歯の表面に線が目立つ場合があります。
    コーヒーや紅茶などの色素がヒビに入り込むと、歯の表面に茶色や黒っぽい線が見えることがあります。口元は顔の印象に大きく関わる部分であるため、前歯のヒビが目立つと見た目の悩みにつながる場合があります。審美面の問題として相談されるケースも多くあります。

    前歯のヒビは
    自然治癒する?

    前歯のヒビは自然治癒する?

    前歯のヒビは自然に修復されることはありません。歯の表面にできた亀裂は体の治癒機能によって閉じることがないため、時間が経っても消えることはありません。 歯の表面を覆うエナメル質は人体の中でも非常に硬い組織ですが、損傷が起きた場合に再生する能力を持っていません。皮膚や骨のように新しい細胞が作られて修復される仕組みがないため、ヒビが生じるとそのまま残る状態になります。小さな亀裂でも長期間放置すると深くなる場合があります。

    再石灰化ではヒビは修復できない

    歯の再石灰化はヒビを修復する働きではありません。再石灰化は歯の表面から溶け出したミネラルが戻る現象であり、亀裂を埋める働きはありません。
    初期の虫歯では唾液中のカルシウムやリンが歯の表面に戻ることで歯質が強化されることがあります。しかし、物理的な亀裂が生じた場合は歯の構造が分断されている状態になるため、再石灰化によって亀裂が閉じることはありません。ヒビがある状態では歯の内部に刺激が伝わりやすくなる場合もあります。

    放置するとヒビが深くなる可能性がある

    前歯のヒビは時間とともに深くなる可能性があります。日常生活の中で歯には繰り返し力が加わるため、亀裂が広がることがあります。
    食事の際の咀嚼や歯ぎしり、食いしばりなどによって歯には大きな力が加わります。ヒビが存在する歯に圧力がかかると亀裂が少しずつ広がり、歯の内部にまで達することがあります。亀裂が深くなると知覚過敏の症状や噛んだときの痛みが出る場合があります。

    症状がなくても進行する場合がある

    前歯のヒビは症状が出ないまま進行することがあります。痛みや違和感がない状態でも歯の内部で亀裂が広がるケースがあります。
    歯の神経は刺激に慣れることがあり、痛みが一時的に落ち着くことがあります。痛みがなくなった場合でもヒビが消えたわけではなく、歯の内部に負担がかかり続けている状態の可能性があります。ある日突然歯が大きく割れるケースもあるため、見た目に変化がある場合は歯科医院での確認が重要です。

    前歯のヒビの進行レベル

    マイクロクラック

    レベル1:エナメル質の亀裂
    (マイクロクラック)

    歯の表面のエナメル質だけに細い亀裂が入っている状態です。見た目には細い線が見えることがありますが、痛みなどの症状がない場合が多い状態です。
    エナメル質は人体の中でも硬い組織ですが、強い力や長年の使用によって細かな亀裂が生じることがあります。光を当てると細い筋のように見えることがあります。歯ぎしりや食いしばりの習慣がある場合、亀裂が少しずつ広がる可能性があります。症状がない場合でも、着色が入り込み見た目の変化につながることがあります。

    象牙質まで達したヒビ

    レベル2:象牙質まで達したヒビ

    エナメル質の下にある象牙質まで亀裂が広がった状態です。冷たい飲み物や甘い食べ物で歯がしみるなどの症状が現れることがあります。
    象牙質には神経につながる細い管が存在するため、外部からの刺激が伝わりやすくなります。亀裂の隙間から細菌や色素が入り込むこともあります。咬合力が加わるたびに亀裂が広がる可能性があるため、早い段階での治療が重要になります。

    神経に近い部分まで進んだヒビ

    レベル3:神経に近い部分まで
    進んだヒビ

    歯の中心にある神経に近い位置まで亀裂が進んだ状態です。噛んだときの痛みや持続的な痛みが出る場合があります。
    歯の内部に刺激が伝わることで神経に炎症が起こることがあります。温かい飲み物で痛みが出る、何もしていない状態でもズキズキとした痛みがあるなどの症状が現れる場合があります。神経に炎症が広がると神経の治療が必要になることがあります。

    歯根破折

    レベル4:歯の根まで達したヒビ
    (歯根破折)

    亀裂が歯の根の部分まで広がった状態です。歯の内部だけでなく歯ぐきや周囲の骨に影響が出ることがあります。
    歯の根まで亀裂が進むと歯の安定性が低下し、噛むと違和感が出たり歯ぐきが腫れることがあります。細菌が歯の根から侵入すると炎症が広がる可能性があります。歯の根の深い位置で亀裂が起きた場合、歯を残すことが難しくなることがあります。

    前歯のヒビの治療方法

    前歯のヒビの症例

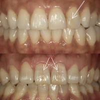
    症例1

    治療方法 ラミネートベニア
    治療期間 1ヶ月
    治療費用 1歯 110,000×8本 ¥880,000(税込)
    処置料金 ¥16,500
    総額 ¥896,500(税込)
    ※治療当時の価格です
    治療の副作用.リスク 歯ぎしりや食いしばりが強いと欠けることがある
    ラミネートベニア

    前歯のヒビと色素沈着がお悩みでした。ホワイトニングの効果がでにくい歯の質の場合は、ヒビを補強して質感を整えられるラミネートベニア法が最適です。上顎8本のラミネートベニア法で治療を行いました。元々食いしばり癖がヒビの原因になっている経緯があったため、治療後のマウスピース装着で歯を守り、ボトックス注入で咬合力コントロールを行っています。

    症例2

    治療方法 変色した歯:セラミッククラウン法
    詰め物跡のヒビ:ダイレクトボンディング
    ホワイトニング
    治療期間 2ヶ月
    治療費用 ファイバーコア+セラミッククラウン 1歯 ¥181,500(税込)
    ダイレクトボンディング 1歯 ¥33,000(税込)
    治療の副作用.リスク 詰め物は経年劣化で変色する
    歯を削る必要がある
    セラミッククラウン法+ダイレクトボンディング+ホワイトニング

    神経を取った歯の根もとにヒビが入っていることと変色がお悩みでした。神経を取ってから10年ほど経過すると変色や歯の劣化が進み、見た目だけでなく歯の強度も損なわれます。
    このような場合は、歯の内部に土台を入れて補強した後にセラミッククラウンで被せることで強度と審美性が得られます。

    症例3

    治療方法 ラミネートベニア法
    治療期間 2ヶ月
    治療費用 ラミネートベニア 1歯 ¥154,000×3 ¥462,000(税込)
    治療の副作用.リスク 歯を削る必要がある
    歯ぎしりや食いしばり癖があると欠けることがある
    ラミネートベニア法

    前歯の表面のヒビが目立つこと、前歯の先端の形がギザギザしている部分がお悩みでした。
    前歯のヒビは、レジンの劣化により歯との境目に段差ができていることが原因です。
    前歯の形と表面のヒビを完全にカバーして質感を整える場合はラミネートベニアがおすすめです。着色しにくく長期的に綺麗な状態を保つことができます。

    症例4

    治療方法 ダイレクトボンディング法
    治療期間 1日
    治療費用 ダイレクトボンディング 1歯 ¥44,000×4本 ¥176,000(税込)
    治療の副作用.リスク 歯を削る必要がある
    材質の経年劣化がある
    長期的に安定しない
    ダイレクトボンディング法

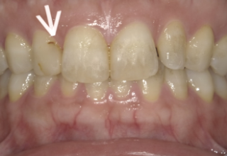
    前歯の黒い線が歯のヒビでは?というお悩みで来院されました。矢印部分の黒い線は、歯のヒビではなく詰め物と歯の間の境目に入り込んだ着色が原因です。このケースでは、劣化した詰め物を削ってダイレクトボンディング法で治療を行いました。黒い線の部分と、左側の歯のすき間、中心2本の前歯の詰め物も同時に治しています。

    前歯のご相談はこちら!

    前歯のヒビを悪化させないための対策

    歯ぎしり・食いしばりの対策を行う

    前歯のヒビを悪化させないためには歯ぎしりや食いしばりの対策が重要です。強い力が繰り返し加わるとヒビが広がる可能性があります。
    就寝中の歯ぎしりは自覚がないまま強い咬合力が歯にかかることがあります。歯科医院で作製するマウスピースを装着すると歯に加わる衝撃を分散させることができます。日中の作業中に歯を強く噛みしめる習慣がある場合は、上下の歯を離すことを意識することも重要です。

    前歯で硬いものを噛まない

    前歯のヒビがある場合は硬い食べ物を前歯で噛まないようにすることが大切です。強い衝撃が加わると亀裂が広がる可能性があります。
    氷を噛む習慣や硬いせんべいを前歯で噛み割る行動は歯に大きな負担を与えます。硬い食べ物は小さく切り分けて奥歯で噛むようにすると前歯への負担を減らすことができます。食事の際の噛み方を意識することで歯へのダメージを軽減できます。

    歯を道具として使わない

    前歯は食べ物を噛み切るための歯であり、物を開けたり引きちぎったりする用途には適していません。歯を道具として使う行動はヒビを広げる原因になります。
    袋や包装を前歯で開ける行動や爪を噛む習慣は歯に強い力を加えます。歯の先端に集中して力がかかるため、ヒビがある歯では亀裂が広がる可能性があります。道具を使って開封する習慣を身につけることが重要です。

    期検診で歯の状態を確認する

    前歯のヒビは定期検診で状態を確認することが重要です。専門的な検査によってヒビの変化を早い段階で把握できます。
    歯科医院では拡大装置や専用のライトを使用して歯の表面を詳しく確認します。ヒビの深さや変化を定期的に確認することで大きなトラブルを防ぐことができます。必要に応じて歯の表面を補強する処置を行うことも可能です。

    前歯のヒビに関する
    よくある質問

    前歯のヒビは放置しても大丈夫ですか?
    前歯のヒビは放置しないことが望ましい状態です。ヒビは自然に元に戻ることがなく、時間の経過とともに広がる可能性があります。
    歯の亀裂は食事の咀嚼や食いしばりなどの力によって徐々に深くなることがあります。ヒビの隙間から細菌が入り込み、歯の内部で虫歯や炎症が進む場合もあります。痛みがない場合でも歯の内部で問題が進行することがあるため、歯科医院で状態を確認することが重要です。
    前歯のヒビはホワイトニングで消えますか?
    前歯のヒビはホワイトニングで消えることはありません。ホワイトニングは歯の色を明るくする処置であり、歯の亀裂を修復する治療ではありません。
    歯のヒビに着色が入り込んでいる場合、ホワイトニング後にヒビの部分だけ色が残ることがあります。歯全体が明るくなることでヒビが目立つ場合もあります。また、亀裂から薬剤が入り込むと知覚過敏の症状が強く出ることもあります。
    痛みがないヒビでも治療は必要ですか?
    痛みがない場合でも状態によっては治療が必要になることがあります。痛みの有無だけではヒビの深さを判断することはできません。
    歯の表面だけの浅い亀裂であれば経過観察になることもあります。しかし、象牙質まで亀裂が広がっている場合は知覚過敏や虫歯の原因になることがあります。専門的な検査を行うことでヒビの深さを確認でき、適切な対応を判断できます。
    前歯のヒビの治療費はどれくらいかかりますか?
    前歯のヒビの治療費は治療方法やヒビの状態によって変わります。軽度の修復から歯全体を保護する治療まで、さまざまな方法があります。
    浅いヒビであれば樹脂材料による修復で対応できる場合があります。審美性を重視する場合にはラミネートベニアやセラミックによる治療が選ばれることがあります。神経まで影響している場合には根管治療と被せ物が必要になることがあります。

    前歯のヒビが気になる
    場合は歯科医院へ相談を

    前歯のヒビは小さな線のように見える場合でも、内部で進行していることがあります。自然に元の状態へ戻ることはなく、放置すると着色や痛み、歯の破折につながる可能性があります。ヒビの深さによって治療方法は異なり、ダイレクトボンディングやラミネートベニア、セラミッククラウン、精密根管治療など、状態に合わせた治療を行うことで歯を守りながら見た目も整えることが可能です。早い段階で適切な処置を行うほど、歯を大きく削らずに治療できる可能性が高くなります。
    前歯のヒビが気になる方、前歯に細い線や違和感を感じている方は、早めの診査をおすすめします。アンチエイジングデンタルクリニック恵比寿では、歯の状態を丁寧に確認し、ヒビの状態やご希望に合わせた治療方法をご提案しています。前歯のヒビや見た目のお悩みがある方は、お気軽にご相談ください。ご予約・カウンセリングは下記より受け付けております。

    前歯のご相談はこちら!