【矯正歯科】
抜歯矯正は顔が老ける?原因と後悔しないための予防法を専門医が解説
Last Updated on 2026年2月19日 by 小川朗子
「矯正治療を始めたいけれど、ネットで『抜歯矯正をしたら顔が老けた』という口コミを見て不安になった」という方は少なくありません。特に、歯が重なってガタガタな歯並び(叢生)でお悩みの方は、歯科医院で「抜歯しないと並ばない」と言われるケースが多く、その分、口元のボリューム減少による老け顔リスクへの不安も切実です。
しかし、結論から申し上げます。「矯正=老ける」のではありません。老ける原因は、お一人おひとりの顔の骨格や軟組織(皮膚や脂肪)の厚みを無視した、不適切な「スペース確保(抜歯)」にあります。
この記事では、抜歯矯正がなぜ老け顔を招くのか、その解剖学的なメカニズムを深掘りし、10年後、20年後の自分に自信が持てる「老けないための非抜歯矯正理論」を徹底解説します。特に「抜かないと難しい」と言われたガタガタ歯並びの方にとって、この記事が後悔しない治療選びの指針となれば幸いです。
目次
抜歯矯正で「老け顔」になる可能性がある5つの解剖学的な原因

抜歯矯正は、重度の出っ歯やガタガタを解消するために有効な手段ですが、リスクを知らずに進めると「老け見え」を引き起こすことがあります。その主な原因は、口元の「土台」が小さくなりすぎることです。
1. 口元の後退しすぎによるボリューム減少(頬のコケ)
抜歯矯正では、左右の小臼歯(計4本など)を抜いてできたスペースを利用して前歯を下げます。しかし、前歯を下げすぎると、口元を内側から支えていた「支柱」が失われることになります。
これは、パンパンに膨らんでいた風船から急激に空気を抜くと、表面にシワができるのと同じ原理です。特に、もともと痩せ型の方や、加齢とともに頬の脂肪が減り始めている30代以降の方は、この変化が顕著に出やすく、頬に影ができる「頬コケ」の原因になります。
2. ほうれい線の悪化と皮膚のたるみ
矯正前はガタガタの歯並びが皮膚を押し広げていた場合、抜歯して歯列を内側に収めることで、その上の皮膚が余り、ほうれい線として現れることがあります。ほうれい線は顔の印象を左右する最大の要素です。歯並びが綺麗になっても、鼻横から口角にかけての溝が深くなっては、美しさのトータルバランスは損なわれてしまいます。
3. 人中(鼻の下)が伸びたように見える
抜歯によって前歯の角度が内側に入りすぎると、上唇のラインが内側に巻き込まれ、鼻の下から唇までの距離(人中)が相対的に長く見えるようになります。人中が伸びる変化は、加齢による筋力低下や骨格の萎縮と似た印象を与えるため、「間延びした老け顔」に見える一因となります。
4. 赤唇(唇の厚み)の減少
前歯を後退させすぎると、唇の赤い部分(赤唇)が薄くなってしまいます。ふっくらとした唇は、若々しさと健康さの象徴です。唇のボリュームが失われると、顔全体の華やかさが減り、寂しげで冷たい印象を与えやすくなるため、治療計画では唇の厚みを維持する計算が不可欠です。
5. バッカルコリドー(口角の黒い影)の拡大
抜歯して歯列全体のアーチを小さくしすぎると、笑ったときに口角と歯の間に大きな黒い隙間ができます。これを「バッカルコリドー」と呼びます。バッカルコリドーが広すぎると、笑顔にハリがなくなり、実年齢よりも老けて見える傾向があります。
6.口元が寂しく見える
歯が引っ込んで口元全体が下がると、笑った時に前歯が見えずらくお顔や口元が寂しい印象を与えることがあります。歯は、お顔全体を生き生きと見せて若さを象徴できるパーツのため、笑った時に歯列が大きく歯の存在感があった方が若々しく元気な印象になります。年齢を重ねるほどその効果の影響が大きくなります。
—
「ガタガタだけど抜かない」老け顔を回避する非抜歯矯正のメカニズム

他院で「抜歯が必要」と言われたガタガタの歯並び(叢生)でも、当院が非抜歯にこだわるのは、それが患者様の「将来の顔立ち」を守る最善の方法だと考えているからです。では、どうやって抜かずにガタガタを解消するのでしょうか。
1. 歯列弓の「生理的な拡大」
多くのガタガタの原因は、顎のアーチが狭く、歯が並びきっていないことにあります。当院では、お口周りの筋肉のバランスを崩さない範囲で、このアーチを正しく横に広げます。これにより、抜歯せずに歯を並べるスペースを生み出すとともに、笑った時に歯が横までしっかり見える、若々しい笑顔(フルスマイル)を作ります。
2. 遠心移動(奥歯を後ろへ下げる)
最新のマウスピース矯正技術では、奥歯を1本ずつ後ろへ移動させることが可能です。前歯を抜くのではなく、奥歯を後ろに下げることで、ガタガタを解消するためのスペースを「後ろ側」から確保します。これにより、口元のボリュームを維持したまま整列が可能です。
3. IPR(ディスキング)の活用
歯の健康に影響のない範囲で、歯のエナメル質の側面ををごくわずかに整える技術です。1ヶ所の歯の間を0.2mm~0.5mm程度とわずかに削ることでトータルで数mmのスペースを確保できます。抜歯のような急激な変化がないため、顔立ちの印象を細かくコントロールできます。
【無料カウンセリング】
非抜歯でのシミュレーション予約
「ガタガタだけど本当に抜かずに治る?」とお悩みの方へ。
最新の3Dスキャナーで、あなたの抜かない矯正の可能性を診断します。
※カレンダーの「◯」から即時予約が可能です
—
年齢を重ねたときにも「老けて見えない口元」の条件

40代、50代、そしてその先も若々しい印象を保つためには、矯正治療において以下の3つのポイントが重要になります。
- 適度な口元の前方への「張り」:皮膚のたるみを内側から押し返す土台としての歯列が必要です。
- 明るい歯の見え方:笑った時に上の前歯がしっかり見え、バッカルコリドーが狭いこと。
- 正しい噛み合わせによる表情筋の活性:しっかり噛めることで口周りの筋肉が維持されます。
抜歯によって一度失ったボリュームを後から取り戻すのは非常に困難です。だからこそ、矯正を始める「今」だけでなく、将来のエイジングを予測したシミュレーションが必要なのです。
関連記事:綺麗な歯並びの写真を紹介|歯並びが綺麗に見える基準とは?
—
当院の非抜歯矯正が選ばれる理由

当院では、非抜歯矯正を治療理念とし、健康な歯を抜かずに歯並びを整えることを最優先しています。
「ガタガタがひどいから抜くしかない」と言われた方でも、当院では諦めません。非抜歯矯正は、単に歯を残すだけでなく、顔の形状を大きく変えずに歯並びを整えるため、治療後の「老け顔」リスクを回避できます。また、天然歯の数を維持することは、将来的な噛み合わせの安定や、顎関節の不調リスク軽減にもつながります。
短期間での治療完了も可能
非抜歯矯正は、抜歯が必要なケースに比べて歯の移動距離が短いため、治療期間が短縮されることが多いです。部分的な矯正であれば最短3.5ヶ月、全体矯正でも1年半〜2年程度で終了することが多く、患者様への負担を最小限に抑えています。
症例紹介
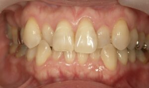
症例1 抜かないと難しいと言われたガタガタの歯並び
小臼歯を4本抜かないと難しいと言われ、矯正治療をためらっていた方のケースです。
内側に倒れている小臼歯を頬側に広げて、前歯の間をわずかに削って歯を並べるスペースを作り1年ほどで改善しました。
初診時



矯正後



治療方法:ワイヤー矯正上下/治療期間:約1年/治療費用:¥770000(税込)/治療のリスク・デメリット:ブラックトライアングル
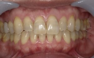
症例2 八重歯の目立つガタガタの歯を抜かないで矯正したいとのご希望のケース
できれば歯を抜かずに、目立たない装置で治したいとのご希望でマウスピース矯正で治したケースです。
口元の自然なボリュームをキープしたまま、50代になった現在も綺麗な歯列が保たれています。
初診時

矯正後

治療方法:インビザラインマウスピース矯正/治療期間:約2年半/治療費用:¥990000(税込)/治療のリスク・デメリット:期間がかかる・保定装置をしないと後戻りする
—
もし「老け顔になった」と感じたときの対策

すでに矯正治療中、あるいは治療後に「老けたかも」と悩んでいる場合、以下の対策が有効です。
1. 担当医への相談と再評価
治療中であれば、歯の下げる量を調整したり、角度を微調整することで改善できる場合があります。不安を抱えたまま進めるのではなく、まずは医師に「顔貌の変化が不安である」と伝えることが大切です。
2. 口腔周囲筋のトレーニング(MFT)
表情筋の衰えが原因の場合、「あいうえお体操」や「舌回しトレーニング」などの口腔筋機能療法(MFT)を取り入れることで、口角が上がり、顔全体のハリが回復することがあります。
3. セカンドオピニオンの検討
「これ以上は無理」と言われた場合でも、別の専門医の視点で見れば解決策が見つかることもあります。特に顔全体のバランスを重視するクリニックの意見を聞くことは有益です。
—
まとめ:10年後、20年後に「抜かなくてよかった」と思える矯正治療を
抜歯矯正が顔に与える影響と、老け顔を防ぐための対策について解説しました。抜歯はあくまでスペースを作るための「一つの手段」に過ぎません。しかし、その選択が将来のあなたの笑顔を曇らせてしまうことがあってはなりません。
当院では、精密な検査と3Dシミュレーションに基づき、患者様が本来持っている口元の美しさを活かす「非抜歯矯正」をご提案しています。「ガタガタだけど抜きたくない」「老けるのが怖い」という不安をお持ちの方は、ぜひ一度当院のカウンセリングへお越しください。
歯並びを綺麗にするだけでなく、一生若々しく、自信を持って笑える未来を一緒に作りましょう。
当院のInstagramアカウントはこちら
-
治療相談受付中!
まずはお気軽にご連絡ください。 -
\ お電話はこちら /
⌚受付時間:10:00-13:00/14:30-19:00
-
\ 治療相談受付中! /
矯正無料相談・審美治療相談
監修者
- アンチエイジングデンタルクリニック恵比寿 小川 朗子(おがわ あきこ)
-
1996年 鶴見大学歯学部卒業
1997年〜2006年 都内開業医勤務
2004年〜南青山デンタルクリニック副院長
2006年 アンチエイジングデンタルクリニック恵比寿開院
2007年 抗加齢医学会認定専門医取得
2015年 インビザライン認定医取得
2017年 高濃度ビタミンC点滴認定医取得
2018年 インディアナ州立大学歯学部 歯科矯正プログラム認定医取得
2018年 著書「若さを取り戻す歯のエイジングケア」出版 - 公式サイトトップへ