【インビザライン】 NEW
インビザラインで奥歯が噛み合わないのはなぜ?原因と対処法を解説
Last Updated on 2026年2月6日 by 小川朗子
インビザライン治療を進める中で、「前歯は整ってきたのに、奥歯が噛み合わない」「食事のときに違和感がある」と不安を感じていませんか。せっかく矯正を始めたのに噛み合わせに違和感が出ると、治療がうまくいっているのか心配になるものです。
奥歯が噛み合わない状態は、治療の途中で一時的に起こる場合もあれば、装着状況や調整が必要なサインである場合もあります。原因を正しく理解せずに放置すると、噛みにくさや顎への負担が続くこともあります。
この記事では、インビザラインで奥歯が噛み合わなくなる主な原因を整理し、自分で確認できるポイントや対処法、歯科医院で行われる改善方法までをわかりやすく解説します。読み進めることで、違和感の正体が整理され、様子を見てよいケースと相談した方がよいケースを判断できるようになります。
インビザライン治療中に奥歯の噛み合わせが気になっている方、これから治療を始める予定で不安を感じている方に、ぜひ読んでほしい内容です。
目次
インビザラインで「奥歯が噛み合わない」とはどんな状態?

奥歯が噛み合わない状態は、上下の奥歯が接触せず、噛んでも力が入らない感覚が生じている噛み合わせです。
インビザライン治療中は歯が計画的に移動するため、奥歯に一時的な隙間が生じたり、噛み合わせの位置が安定しにくくなることがあります。
この状態は専門的に「臼歯部開咬」と呼ばれ、前歯は噛めるものの、奥歯だけが浮いているように感じるケースが多く見られます。食事の際にすり潰しにくさを感じたり、噛む位置が定まらず違和感を覚えることもあります。
奥歯が噛み合わない状態には、治療過程による一時的なものから、装着状況や治療計画の見直しが必要なものまで幅があります。次の項目では、インビザライン治療中に奥歯が噛み合わなくなる主な原因について解説します。
インビザライン治療中に奥歯が噛み合わなくなる主な原因

奥歯の噛み合わせが不安定になる背景には、治療の進行段階やマウスピースの使用状況、歯の動き方などが関係しています。マウスピース矯正は、ワイヤー矯正と違い、治療中や治療後に奥歯の開咬を生じることがあります。ここでは代表的な原因を順に説明します。
治療の過程(一時的なもの)
歯の移動が進む過程で、噛み合わせが一時的に変化することがあります。
前歯や犬歯の位置調整を優先する段階では、移動中の前歯が先に当たり、奥歯の接触が弱くなり、浮いたような感覚が出る場合があります。
また、奥歯の圧下(噛む圧力で歯が沈み込む現象)による場合もあります。
この変化は歯列全体を整えるための途中段階として起こることがあり、治療が進むにつれて自然に改善するケースも少なくありません。
マウスピースの適合不良
マウスピースが歯に密着していない場合、矯正力が正しく伝わりません。
浮きやズレがある状態では、奥歯が想定より沈み込んだり、逆に動かないまま残ることがあります。
適合不良は、交換時期のズレや変形、歯の動きが計画から外れた場合に起こりやすく、噛み合わせの違和感につながります。
アライナーチューイー(チューイー)の不使用
チューイーはマウスピースを歯に密着させるための補助器具です。
使用が不十分な場合、特に奥歯部分が浮いた状態になりやすく、噛み合わせの不安定さが続く原因になります。
毎日の装着時にチューイーを噛む習慣がないと、マウスピースと歯の間にわずかな隙間が残り、歯の動きに影響が出ます。
歯の動きのシミュレーション誤差
インビザラインでは治療開始前に歯の動きを計画しますが、実際の歯の反応には個人差があります。
計画と異なる方向やスピードで歯が動くと、奥歯の噛み合わせにズレが生じることがあります。
特に歯列が複雑な場合や部分的な矯正では、途中で計画の調整が必要になることもあります。
マウスピースの装着時間不足
インビザラインは1日20時間程度の長時間の装着によって計画通りに歯を動かす矯正方法です。
装着時間が不足すると、歯の移動が中途半端になり、噛み合わせの位置が安定しなくなります。
特に奥歯は動きが緩やかなため、装着時間が短い状態が続くと、上下の歯の高さや接触関係にズレが生じやすくなります。
関連記事:マウスピース矯正の失敗例6選|よくある原因と失敗を防ぐためのポイント
奥歯が噛み合わないことで起こる影響・リスク

奥歯が噛み合わない状態は、食事や顎の健康だけでなく、矯正治療の最終的な仕上がりにも悪影響を及ぼします。
噛む機能の低下、前歯や特定部位への過剰な負担、顎や全身への不調、矯正結果の不安定化といった問題が起こりやすくなります。
食事がしづらくなる・しっかり噛めない
奥歯が噛み合わないと、食べ物を十分にすり潰すことが難しくなります。
奥歯は咀嚼の中心的な役割を担っており、接触が不十分な状態では、前歯だけで噛み切る食事になりやすくなります。
噛む回数が減ったまま飲み込む習慣が続くと、胃腸への負担が増え、食後の不快感を覚える場合もあります。硬さのある食材を避けるようになり、食事内容が偏りやすくなる点も注意が必要なポイントです。
特定の歯や顎への負担が増える
奥歯が機能しない状態では、噛み合っている一部の歯に力が集中しやすくなります。
前歯や限られた奥歯だけで噛む癖が続くと、歯にかかる負担のバランスが崩れます。
強い力が繰り返しかかることで、歯の表面がすり減ったり、歯根周囲に違和感が出る場合があります。歯を支える組織への負担が増え、歯茎の下がりや噛んだときの痛みにつながることもあります。
顎関節症や頭痛・肩こりにつながる可能性がある
噛み合わせが安定しない状態は、顎の動きを不自然にします。
噛む位置が定まらない状態が続くと、顎の関節や周囲の筋肉に緊張が生じやすくなります。
顎を動かしたときの違和感や音、口の開けにくさといった症状が現れる場合があります。顎周囲の筋肉の緊張が続くと、頭部や首、肩に重だるさを感じるケースもあります。
矯正治療の仕上がりに影響がでる
奥歯が噛み合わない状態は、矯正治療が完了した状態とは言えません。
上下の歯が安定して噛み合わないままでは、歯列全体が落ち着きにくくなります。
噛み合わせが不十分な状態で治療を終えると、装置を外した後に歯が動きやすくなり、位置の変化が起こりやすくなります。追加の調整や治療期間の延長が必要になる場合もあり、当初の計画より完了までに時間がかかることがあります。
自分でできる奥歯が噛み合わない場合の対処法と注意点

奥歯が噛み合わないと感じた場合は、日々の装着管理や習慣の見直しによって改善が期待できます。
装着時間の管理、チューイーの活用、生活習慣の調整、歯科医師への相談という観点から、取り組める内容を整理します。
マウスピースの装着時間を正しく守る
装着時間を十分に確保することが、噛み合わせの安定につながります。
装着時間が不足すると歯の動きが計画から外れやすくなり、奥歯の接触関係が乱れやすくなります。
インビザラインでは1日20時間以上の装着が基本とされており、食事や歯磨き後は速やかな再装着が重要です。外している時間が長くなるほど、歯列が安定しにくくなります。
チューイーを使って密着度を高める
チューイーの使用は、マウスピースを歯に密着させるために欠かせません。
密着が不十分な状態では、奥歯が浮きやすくなり、噛み合わせの違和感が続く場合があります。
奥歯部分を意識してチューイーを噛むことで、マウスピースが歯面に沿いやすくなります。装着直後や交換直後に使用する習慣をつけると、装着感の安定が期待できます。
食いしばりや生活習慣を見直す
無意識の食いしばりは、奥歯の噛み合わせに影響を与えます。
長時間の噛み締めは奥歯に強い力を加え、歯の位置や高さに変化を起こしやすくなります。
日中は上下の歯を接触させない状態を意識し、顎の力を抜く時間を作ることが大切です。就寝前のリラックスや深呼吸も、顎周囲の緊張を和らげやすくなります。
歯科医師へ相談する
違和感が続く場合は、歯科医師への相談が欠かせません。
奥歯が噛み合わない状態は自己管理だけでは治らない場合が多く、早めの確認が噛み合わせの悪化を防ぎます。
奥歯の浮きが続く、食事がしづらい状態が改善しない、顎に痛みが出ている場合は、予約日を待たずに連絡する判断が重要です。気になる部位や症状を具体的に伝えることで、調整の検討が進みやすくなります。
歯科医院で行う奥歯の噛み合わせ改善方法

奥歯が噛み合わない状態は、歯科医院での専門的な確認と調整によって改善につながります。
噛み合わせの検査、追加のマウスピース作製、ゴムを使った調整、マウスピース形状の調整、部分的なワイヤー矯正といった方法が用いられます。
歯科医師による噛み合わせのチェック

噛み合わせの確認では、通常、赤と青のカーボン紙を用いて接触している歯や力のかかり方を細かく確認します。
加えて、口腔内をデジタルで読み取り、治療開始時の計画と現在の歯の位置を比較します。視覚的なデータを用いることで、奥歯の高さや接触のズレを把握しやすくなります。
追加アライナー
歯の動きが計画から外れている場合は、追加のマウスピースが用いられます。
再度スキャンを行い、現在の歯並びに合わせた新しい治療計画を組み直します。
奥歯の噛み合わせを整える工程を組み込むことで、上下の歯の接触関係を調整します。歯に装着するアタッチメントの位置や形、顎間ゴムのかけ方を見直す場合もあります。
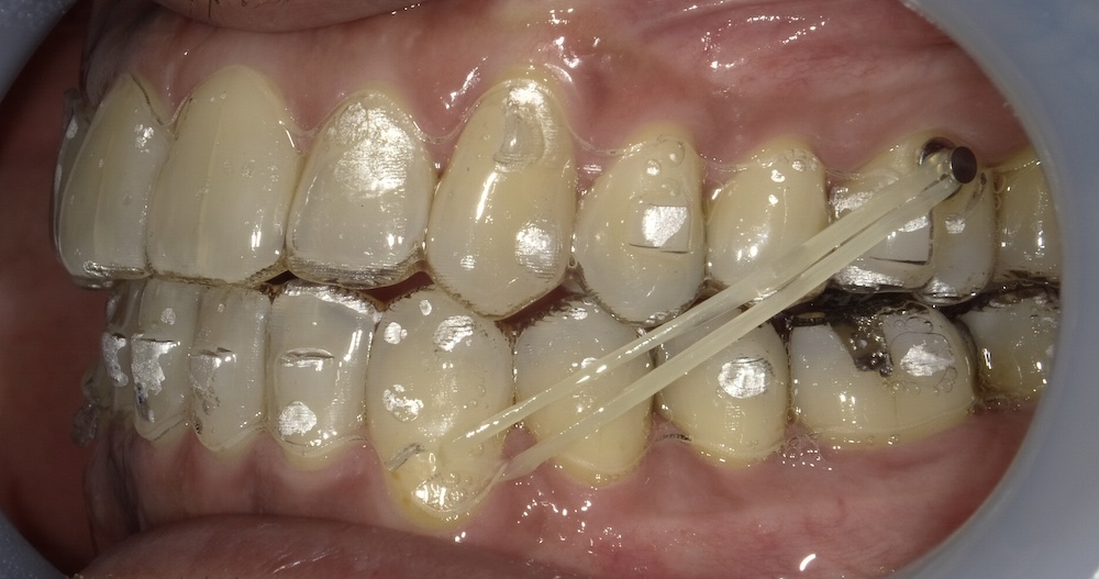
顎間ゴムによる噛み合わせ調整

上下の歯にゴムをかけて噛み合わせを整えるケースがあります。
ゴムの張力を利用し、浮いている奥歯を上下方向に近づけていきます。
決められた時間の装着が重要となり、日常生活の中での管理が求められます。適切な使用により、噛み合わせの安定が進みます。
マウスピースのカットや部分的な調整
マウスピースの厚みが奥歯の位置に影響している場合は、形状の調整が行われます。
奥歯を覆う部分を一部取り除き、歯が本来の位置へ動きやすい状態を作ります。
覆いが減ることで、奥歯が噛み合う方向へ動く力が働きやすくなります。
必要に応じて部分ワイヤー矯正
マウスピースのみでは調整が難しい場合、部分的にワイヤー装置を使用します。
奥歯の数本に装着し、噛み合わせを集中的に整えます。
マウスピース治療を基本としつつ、細かな調整を目的として取り入れられる方法です。噛み合わせの完成度を高めるために選択されます。
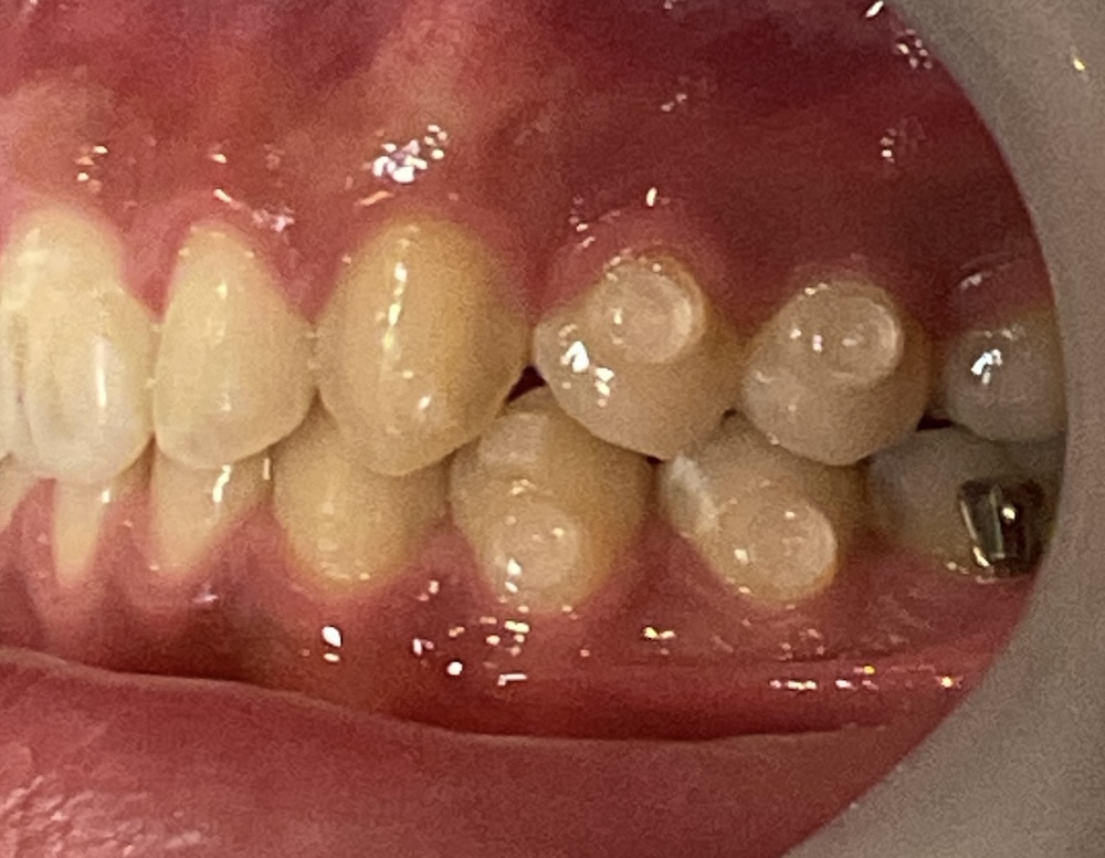
奥歯が噛み合わない場合の治療例

症例 :主訴 奥歯でものが噛めない
過去の矯正後に、奥歯にすき間ができたまま終了しているケースです。歯並びはきれいに整っていますが、奥歯でものが噛めないことでのご相談でした。
マウスピース矯正では、治療の過程で奥歯にすき間が生じることがあります。
「奥歯が噛み合わない」現象はマウスピース矯正に比較的多く見られます。すき間の量によって、マウスピース奥歯部分をカットして経過を見ることで自然に噛んでくることもありますが、すき間の量が多い場合は補助装置の使用が必要になります。
この際、歯科医師がリカバリーの知識と技術を持ち合わせているかどうかでマウスピース矯正の仕上がりに違いが生じます。
奥歯が噛み合わないまま終了すると、食べ物が噛みきれないなど機能的な支障が起こりやすく、矯正後に噛み合わせが安定しない原因になりますので、再矯正やリカバリーを行います。
噛まなくなった奥歯

補助装置のボタンをつけて、ゴムをかけて2〜3ヶ月ほどすると奥歯が噛み合ってきます。
噛み合わせをチェックして、噛んできたらボタンを外します。

奥歯が当たってきたらしばらくはゴムを続けて安定させます。
奥歯のすき間がなくなり、噛んでくると顎の位置や噛み合わせが安定します。

よくある質問

インビザライン治療中に奥歯が噛み合わないと感じる場面では、多くの方が同じような疑問や不安を抱えます。ここでは、相談時によく挙がる質問について順に解説します。
インビザライン治療中に奥歯が噛み合わないのはよくあることですか?
インビザライン治療中に奥歯の噛み合わせに違和感が生じることは珍しくありません。
歯列全体を段階的に動かす過程では、一時的に噛み合わせの接触が弱くなる時期が存在します。
マウスピースの厚みや歯の移動順序によって、奥歯の接触が変化する場合があります。治療の進行とともに改善することもありますが、違和感が長く続く場合は歯科医師による確認が必要です。
奥歯が噛み合わない状態は自然に治りますか?
治療の途中段階で生じた噛み合わせの変化は、歯の移動が進むことで改善する場合があります。
ただし、装着時間の不足やマウスピースの適合状態に問題がある場合は、自然な改善が難しいケースもあります。
違和感が数週間以上続く場合や、食事に支障が出ている場合は、調整の必要性を確認することが大切です。
奥歯が噛み合わないまま治療が終わることはありますか?
適切な管理と調整が行われている場合、奥歯が噛み合わない状態のまま治療が終了することは一般的ではありません。
矯正治療では見た目だけでなく、噛み合わせの安定も重要な目標とされています。
治療終盤で噛み合わせにズレが残っている場合は、追加アライナーや噛み合わせ調整が行われることがあります。
噛み合わせが気になる場合はすぐに受診したほうがいいですか?
噛み合わせに違和感がある場合は、早めの相談がおすすめです。
奥歯が長期間当たらない状態や、顎の痛み、食事のしづらさがある場合は、早期の確認が望ましいです。
診察によって一時的な変化か調整が必要な状態かを判断できるため、不安を抱えたまま治療を続ける必要がなくなります。
奥歯が噛み合わない場合、追加費用がかかることはありますか?
追加費用の有無は契約内容や治療プランによって異なります。
インビザラインでは一定期間内の追加アライナーが治療費に含まれている場合もあり、追加費用が発生しないケースもあります。※当院では、追加治療を1回〜3回(プランにより異なります)を料金に含めて治療を行っています。
事前に治療契約の内容を確認し、不明点は歯科医院へ相談することが大切です。
インビザラインとワイヤー矯正では噛み合わせの仕上がりに違いはありますか?
適切な診断と治療計画のもとで行われた場合、どちらの方法でも良好な噛み合わせを目指すことが可能です。
インビザラインは段階的に歯を動かす特徴があり、最終調整としてゴムや部分的なワイヤーを併用する場合もあります。
症例や歯の動き方によって適した方法は異なるため、噛み合わせまで含めた治療方針を確認することが重要です。
まとめ
インビザライン治療中に奥歯が噛み合わないと感じる状態は、治療の過程で一時的に起こる場合もあれば、装着状況や調整が必要なサインである場合もあります。マウスピースの装着時間不足や適合不良、チューイーの使用状況、歯の動きの計画との差など、原因は一つではありません。
奥歯が噛み合わない状態を放置すると、食事のしづらさや特定の歯・顎への負担、顎周囲の不調、矯正治療の仕上がりへの影響につながる可能性があります。
違和感を感じた場合は、装着時間の見直しやチューイーの活用、生活習慣の確認といった自己管理が大切です。それでも改善が見られない場合は、歯科医院で噛み合わせのチェックを受け、追加アライナーや顎間ゴム、必要に応じた調整を検討することで噛み合わせの安定が目指せます。
原因を正しく理解し、適切なタイミングで対応することが、インビザライン治療を安心して進めるためのポイントです。
また奥歯の噛み合わせに違和感がある場合は、自己判断で様子を見るのではなく、早めに歯科医院へ相談することが安心につながります。インビザライン治療中の噛み合わせの変化には、一時的なものと調整が必要なものがあります。現在の状態を正確に確認することで、不安を解消しながら治療を進めることができます。
奥歯が噛みにくい、違和感が続いている、治療の進み方に不安がある場合は、気になる症状をそのままにせず、お気軽にご相談ください。噛み合わせまで考えた治療計画について、わかりやすくご説明いたします。
矯正無料相談はこちら
当院のInstagramアカウントはこちら
-
治療相談受付中!
まずはお気軽にご連絡ください。 -
\ お電話はこちら /
⌚受付時間:10:00-13:00/14:30-19:00
-
\ 治療相談受付中! /
矯正無料相談・審美治療相談
監修者
- アンチエイジングデンタルクリニック恵比寿 小川 朗子(おがわ あきこ)
-
1996年 鶴見大学歯学部卒業
1997年〜2006年 都内開業医勤務
2004年〜南青山デンタルクリニック副院長
2006年 アンチエイジングデンタルクリニック恵比寿開院
2007年 抗加齢医学会認定専門医取得
2015年 インビザライン認定医取得
2017年 高濃度ビタミンC点滴認定医取得
2018年 インディアナ州立大学歯学部 歯科矯正プログラム認定医取得
2018年 著書「若さを取り戻す歯のエイジングケア」出版 - 公式サイトトップへ