【審美歯科】
欠けた前歯のレジンが取れる理由とは?治療方法と再発予防方法を解説
Last Updated on 2025年10月26日 by 小川朗子

前歯が欠けた後にレジンで治療を受けたものの、何度もレジンが取れてしまうと不安やストレスを感じる方は多いのではないでしょうか。
レジンは手軽で短期間で治療が完了するものの、繰り返し取れる原因やその対策を知らないままでいると、再発を防ぐのが難しくなります。
この記事では、前歯のレジンが取れる原因とその治療方法、さらには再発予防のために実践すべき対策を詳しく解説します。
この記事を読むことで、なぜレジンが取れてしまうのか、そしてどのように治療を進めるべきかが明確になります。
また、再発を防ぐための方法を知ることで、長期間安心して前歯の修復を維持できるようになります。
目次
前歯が欠ける原因とは?
前歯が欠けてしまう原因にはいくつかの要素があります。
主な原因として、経年劣化、強い力や衝撃、二次う蝕、そして接着不良が挙げられます。それぞれの要因がどのように影響するのかを詳しく見ていきます。
経年劣化
レジン治療は時間の経過と共に材質劣化を起こします。
特にレジンと歯の接着部分は、徐々に微細なすき間、ギャップが空いてくることで二次虫歯の原因になったり、その境目に着色がついてくることがあります。
また、時間が経つと、レジン自体が劣化し強度が低下するため欠けやすくなります。
特に、保険診療で使われるレジンは、自費診療で使用されるものよりも劣化が早く進みやすい傾向があります。経年劣化により、修復部分が徐々に脆くなり、物理的な衝撃や圧力が加わったときに、前歯が欠けやすくなります。
強い力や衝撃
前歯に強い力や衝撃が加わることも欠けの原因となります。
硬い物を噛んだり、歯ぎしりや食いしばりの癖があると、レジン部分に過度な力がかかり、欠けやすくなります。特に、レジンの修復部分が薄い場合、圧力に耐えられずに剥がれるリスクが高まります。
歯ぎしりや食いしばりの習慣がある人は、これらの習慣が前歯に負担をかけ、レジンの耐久性に影響を与えるため、治療後のケアや予防が重要です。
二次う蝕(虫歯の再発)
レジン修復部分が欠ける原因として、二次う蝕の再発も挙げられます。
レジンと歯の接着部分が不完全だと、そこに虫歯菌が入り込み、再び虫歯が進行することがあります。
特に、レジンの境目部分に隙間ができると、虫歯菌が侵入しやすく、歯質が溶けることでレジンが歯から外れやすくなることがあります。虫歯が進行すると、歯の強度が低下し、修復物が取れる原因となるため、早期のチェックが必要です。
接着不良
レジンが欠けたり取れる原因として、治療時の接着不良も挙げられます。
治療中に唾液や水分が混入して接着が不完全になると、レジンがしっかりと歯に定着せず、早期に取れてしまうことがあります。
また、歯科医師の技術や治療の精度が関係しており、接着のフィット性が不十分な場合も、レジンの耐久性に影響を与えることがあります。接着不良による問題は、修復後すぐに発生することが多いため、治療後の確認が重要です。
前歯のレジンが取れたときの対処法

前歯のレジンが取れてしまった場合、迅速に適切な対処をすることが重要です。まず、歯科医院に連絡し、指示を受けることが最も重要です。
また、取れたレジンは自分で再装着を試みず、患部を清潔に保ちながら、刺激物を避けることが必要です。これらの対処法を実行することで、早期に適切な治療を受け、再発のリスクを減らすことができます。
まずは歯科医院に連絡する
レジンが取れた場合、できるだけ早く歯科医院に連絡し、予約を取ることが大切です。放置すると、露出した歯がしみたり、感染症が進行したりする可能性があります。
歯科医院では、通常、状況に応じて最適な治療方法を提案してくれるので、専門家の指示を仰ぐことが重要です。
自分で再装着しない
市販の接着剤を使用して自分でレジンを再装着することは絶対に避けてください。
接着剤を使うことで、細菌が入り込み、虫歯が悪化したり、歯を傷つけたりするリスクがあります。無理に再装着しようとせず、必ず歯科医院で治療を受けるようにしましょう。
患部を清潔に保つ
レジンが取れた部分に食べかすや汚れが詰まらないように、軽く水やぬるま湯でゆすぎ、患部を清潔に保つことが大切です。
歯磨きの際は、取れた部分を避けて優しく磨き、強い刺激を与えないように注意しましょう。患部を清潔に保つことで、感染症を防ぎ、治療までの期間を快適に過ごせます。
刺激物を避ける
歯がむき出しの状態では、冷たいものや熱いもの、辛い食べ物などがしみることがあります。
特に歯の露出部分が敏感になっているため、刺激が強い飲食物は控えた方が良いです。できるだけ温かい飲み物や柔らかい食べ物を摂取し、刺激を避けるよう心がけましょう。
レジンが取れた前歯の治療法

レジンが取れた前歯の治療法としては、再度レジンを使用する方法や、より耐久性が高いラミネートベニア、セラミッククラウンを選択する方法があります。
それぞれの治療法にはメリットとデメリットがあり、欠けた部分の大きさや歯の状態に応じて適切な治療を選ぶことが重要です。
レジンでの再治療
前歯の欠けた部分が小さい場合、再度コンポジットレジンで治療することが可能です。
レジンは手軽で短期間で治療が完了し、審美性も比較的良好です。
しかし、レジンは経年劣化しやすく、強い力がかかると取れやすくなるため、再治療を繰り返す可能性もあります。小さな欠けの場合には適していますが、長期的な耐久性を考慮するなら他の治療法を検討することも一つの選択肢です。
ラミネートベニア
ラミネートベニアは、歯を薄く削り、セラミックのシェルを前歯に貼り付ける治療法です。
この方法は審美性に優れ、自然な仕上がりを実現できます。レジンのように欠けたり取れたりするリスクが少なく、耐久性も高いです。
歯を薄く削るため、最小限のダメージで美しい歯を作り上げることができます。特に審美的な仕上がりを重視する方に向いています。
セラミッククラウン
セラミッククラウンは、歯全体にセラミックの被せ物をする方法で、審美性と耐久性に優れています。
特に前歯の治療においては、自然な色合いで美しい仕上がりを得られますが、治療には歯をある程度削る必要があります。
レジンの取れた範囲が大きい場合やすでに二次虫歯になっている場合は、クラウンで覆う方法も選択肢として検討が必要になることがあります。
耐久性が高いため、長期的に安定した状態を維持することができ、レジンやラミネートベニアと比べても耐久性に優れた選択肢です。
関連記事:歯が欠けた場合の治療法|治療にかかる費用や期間も紹介
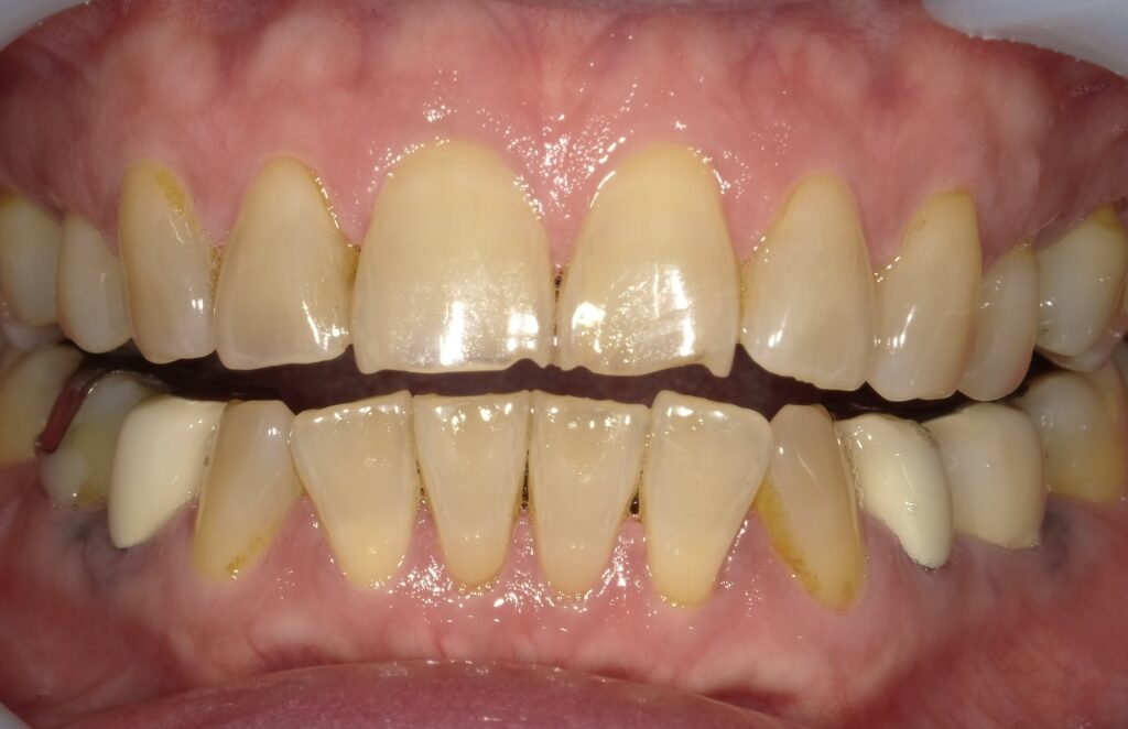
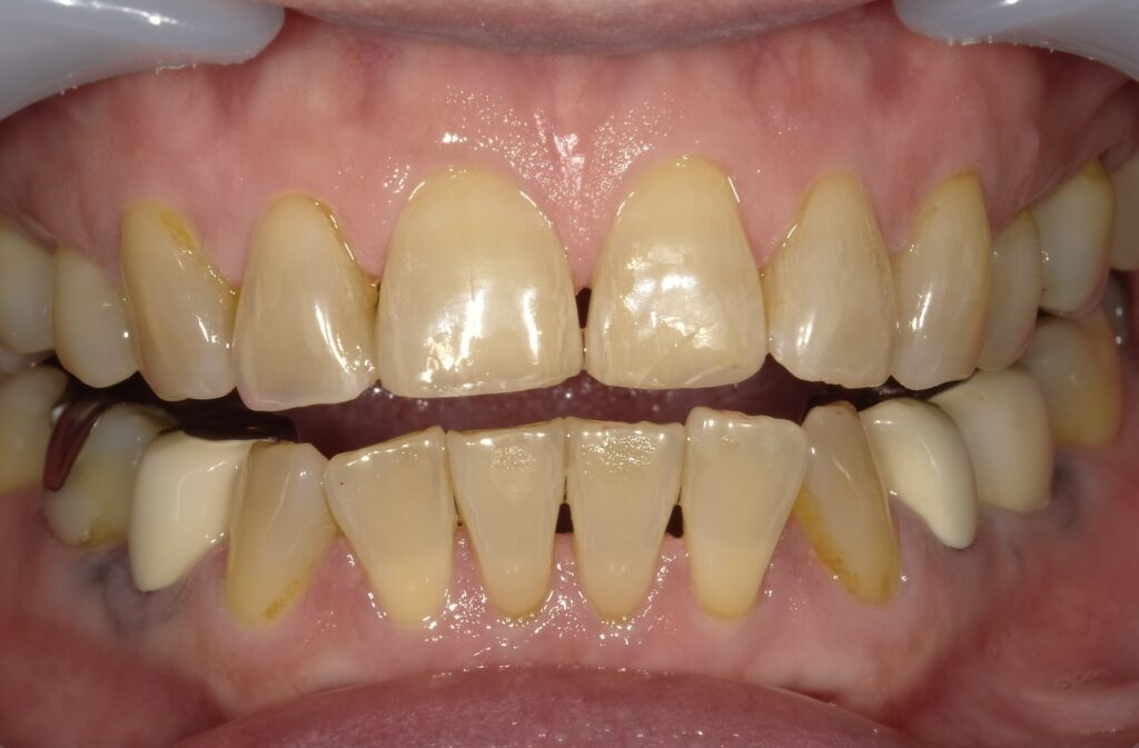
前歯治療の症例
症例1


主訴:歯の先端が欠けたままで薄くなってきている、
先の欠けた先端をレジンで補修しました。
治療方法:ダイレクトボンディング法2本
治療期間:1日(1回)
治療費用:1本 ¥22,000×2、¥44000(税込)
治療のリスク・デメリット:レジンが劣化すると変色する、欠けたり取れることがある
症例2


主訴:歯が欠けた、跡が目立たないように治したい
わずかに欠けてしまっている部分をダイレクトボンディング法で治しました
治療方法:ダイレクトボンディング法 1本
治療期間:1回
治療費用:¥22000(税込)
治療のリスク・デメリット:欠けたり取れることがある。
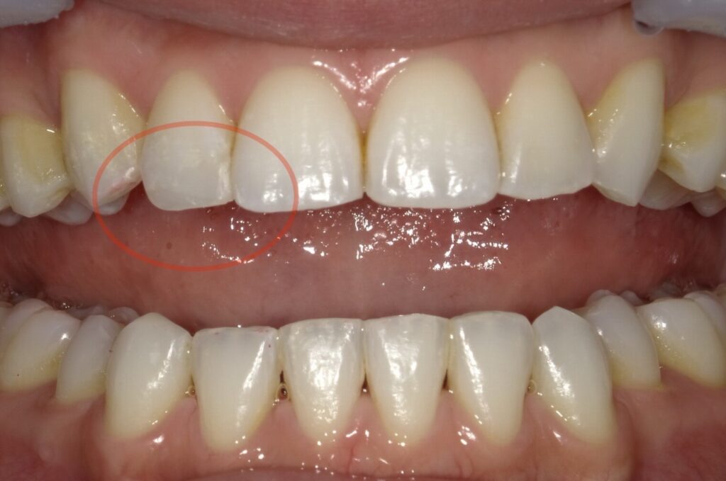
症例3


主訴:歯と詰め物が欠けた、跡が目立たないように治したい
レジンの詰め物の劣化により欠けてしまっている部分を跡が目立たず長期的に綺麗な状態が保てるラミネートベニア法で治しました
治療方法:ラミネートベニア法 3本
治療期間:1ヶ月半
治療費用:¥452100(税込)
治療のリスク・デメリット:術後の一時的な知覚過敏が出ることがある。
欠けたり取れることがある。
症例4

主訴:詰め物跡が目立つ、詰め物と歯の間にすき間がある、歯を白くしたい
レジンの劣化による二次虫歯、歯の変色が強く詰め物の範囲が大きいことからセラミッククラウン法で治しました。
治療方法:セラミッククラウン法4本
治療期間:3ヶ月、5回
治療費用:¥602800(税込) (ジルコニアセラミッククラウン¥143000×4+形成技術料¥7700×4)※仮歯代¥3300×4本は別途
治療のリスク・デメリット:歯ぎしりや食いしばりで先端のセラミックが欠けることがある
欠けた前歯の治療で受診する際のポイント
前歯が欠けてレジンが取れた場合、できるだけ早く歯科医院に受診することが重要です。
また、外れたレジンを持参することが、適切な治療につながります。
これらのポイントを守ることで、治療の効率が良くなり、後々のトラブルを防ぐことができます。
早めに受診する
前歯のレジンが取れた部分を放置すると、虫歯が進行したり、露出した歯が痛みを引き起こすことがあります。
放置することで、歯の状態が悪化する可能性があるため、早期に歯科医院で診察を受けることが推奨されます。
早めに受診することで、適切な処置を受けられ、歯の健康を守ることができます。
外れたレジンは持参する
取れたレジンは、歯科医院に持参することが重要です。外れたレジンを持っていくことで、歯科医師はレジンか歯の一部か、あるいは虫歯の再発かを判断する材料を得ることができます。
これにより、最適な治療方法を提案してもらえます。無駄にせず、大切に保管してから持参するようにしましょう。
前歯のレジンが繰り返し取れる場合の対策

前歯のレジンが繰り返し取れる場合、噛み合わせの調整やマウスピースの使用、耐久性の高い素材への変更を検討することが重要です。
これらの対策を講じることで、再発のリスクを減らし、長期間安定した状態を保つことができます。
噛み合わせの調整
噛み合わせが原因で特定の歯に過度な負担がかかると、レジンが取れることがあります。
歯科医師による噛み合わせの調整を行うことで、歯にかかる圧力を均等にし、再発を防ぐことができます。
正しい噛み合わせを保つことは、前歯の健康維持に非常に重要です。
マウスピースの使用
歯ぎしりや食いしばりの癖がある場合、就寝時にマウスピースを使用することが効果的です。
マウスピース(ナイトガード)は歯への負担を軽減し、レジン部分の破損や取れるリスクを減らすことができます。特に、強い圧力が加わる夜間の保護には効果的です。
耐久性の高い素材への変更
レジンは経年劣化や衝撃に弱い特性があります。繰り返し取れる場合、より耐久性の高い素材での治療を検討することが有効です。
セラミックやジルコニアなど、耐久性と審美性に優れた素材を使用することで、長期間にわたり安定した修復が可能になります。
まとめ
前歯のレジンが取れる原因は、経年劣化や噛み合わせの問題、強い衝撃、そして接着不良などさまざまです。
これらの問題に対しては、早期に歯科医院を受診し、再治療や必要に応じて耐久性の高い素材への変更が有効です。また、噛み合わせの調整やマウスピースの使用によって、再発を防ぐことができます。
レジンが取れる問題に悩んでいる方は、治療法と予防策を適切に実践することで、前歯の修復を長期間安定させることが可能です。
当院のInstagramアカウントはこちら
-
治療相談受付中!
まずはお気軽にご連絡ください。 -
\ お電話はこちら /
⌚受付時間:10:00-13:00/14:30-19:00
-
\ 治療相談受付中! /
矯正無料相談・審美治療相談
監修者
- アンチエイジングデンタルクリニック恵比寿 小川 朗子(おがわ あきこ)
-
1996年 鶴見大学歯学部卒業
1997年〜2006年 都内開業医勤務
2004年〜南青山デンタルクリニック副院長
2006年 アンチエイジングデンタルクリニック恵比寿開院
2007年 抗加齢医学会認定専門医取得
2015年 インビザライン認定医取得
2017年 高濃度ビタミンC点滴認定医取得
2018年 インディアナ州立大学歯学部 歯科矯正プログラム認定医取得
2018年 著書「若さを取り戻す歯のエイジングケア」出版 - 公式サイトトップへ