【審美歯科】
前歯のギザギザを治すには? 歯の形を直す前歯形態修正(ティースシェイピング)
Last Updated on 2026年1月24日 by 小川朗子

「ふとした時に鏡を見ると、前歯の先端がギザギザしているのが気になる」「犬歯だけが鋭く尖っていて、きつい印象を与えていないか心配」……。そんなお悩みはありませんか?
実は、歯並びそのものは決して悪くなくても、「歯の先端の形」がわずかに不揃いなだけで、お顔全体の清潔感や若々しい印象が損なわれてしまうことがあります。
当院で行っている「前歯形態修正(ティースシェイピング)」は、歯の表面をほんのわずかに整えるだけで、驚くほど口元の印象を洗練させる治療法です。本日は、この“ちょこっと審美治療”の魅力と、具体的な適応について詳しく解説します。
目次
1. 費用を抑えて満足度を最大化する「形態修正」とは?
審美治療と聞くと、「歯を大きく削ってセラミックを被せる」「何十万円もかけて矯正をする」といった、高額で期間のかかる治療をイメージされるかもしれません。
実際、大きく変化を希望される方や歯の状態によっては、セラミック治療や矯正治療が最適な場合もあります。しかし、「ほんの少し角を丸くしたい」「長さを揃えたい」といったニーズであれば、大掛かりな治療は必要ありません。
歯科医の視点:わずかミリ以下の調整が「美」を決める
形態修正(ティースシェイピング)は、歯の寿命を縮めるような過度な切削は行いません。痛みを感じることのない「エナメル質」という表層の範囲内で、形を丁寧に整えていきます。エナメル質の厚みは1〜1.5mmありますが、多くの場合、1mm、または1mm以下のの調整でも見え方が大きく変わります。
「たったそれだけで変わるの?」と思われるかもしれませんが、前歯は1mm、いえ0.5mm形が変わるだけで、光の反射や唇とのバランスが劇的に改善されます。費用を抑えつつ、その日のうちに「やってよかった」と実感いただける、非常にコストパフォーマンスと満足度の高い治療なのです。
2. 前歯のギザギザ、尖った犬歯…どんな悩みに有効?
具体的に、どのような状態の方が「形態修正」に向いているのでしょうか。代表的なお悩みをご紹介します。
- ✔ 前歯の先がギザギザしている(マメロン):10代の頃には誰しもある歯の先端の凹凸ですが、噛み合わせの関係で残ってしまうと、幼い印象や手入れが行き届いていないような印象を与えることがあります。
- ✔ 犬歯が尖りすぎている:犬歯が鋭く尖っていると、笑った時に攻撃的、あるいは「きつい」印象を持たれてしまうことがあります。先端をわずかに丸めるだけで、優しく上品な口元に変わります。
- ✔ 前歯が長い、大きいのが気になる:「1本だけ歯が長くて目立つ」といった場合も、スマイルラインに合わせて長さを整えることで、理想的な歯並びに見せることが可能です。
「私の歯も削るだけで綺麗になる?」と気になった方へ
3. 形態修正・ティースシェイピングの適応と限界
非常にメリットの多い治療ですが、天然の歯を扱うため、守らなければならないルールがあります。当院のカウンセリングで重視しているポイントです。
- 天然歯が対象:基本的にはご自身の健康な歯が対象となります。
- 基本的に歯並びに問題がない方が対象になります。
- 先端と角のみが対象:歯の表面(前面)を削ることはできません。先端のギザギザを平らにしたり、角を丸めたりする調整に適しています。
- エナメル質の範囲内:健康に影響が出ないよう、エナメル質の厚みの範囲で調整します。そのため、歯の幅を大幅に細くしたり、全体のサイズを劇的に小さくすることはできません。
- 位置異常は矯正が適応:八重歯など、歯の位置そのものが原因で歯並びが乱れている場合は、削るだけでは改善が難しいため、矯正治療を推奨しています。
- 今後、矯正治療を予定している場合や矯正中の場合は施術はおすすめしていません。歯並びや歯の向きを変えることで歯の長さや形の見え方が変わるためです。
4. 形態修正の症例紹介
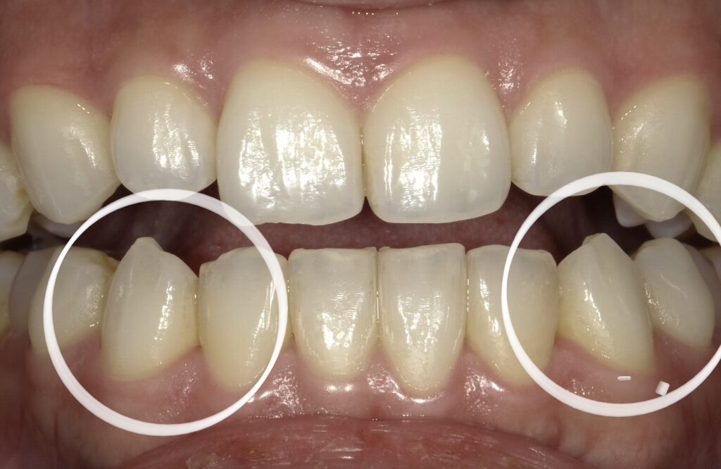
症例1:前歯の先端と犬歯のトータルケア
上下の前歯の先端と、尖った犬歯の形が気になるとのことで形態修正を行いました。あわせて、上の前歯の歯と歯の間の詰め物が劣化して茶色くなっていたため、こちらはクリーニング後にダイレクトボンディング法で修復しました。ちょっとした調整でも、お口全体がスッキリと清潔感のある印象に変わります。
治療期間 1日/治療費用 形態修正¥33000.ダイレクトボンディング¥22000
治療のリスク、デメリット レジンの劣化による変色

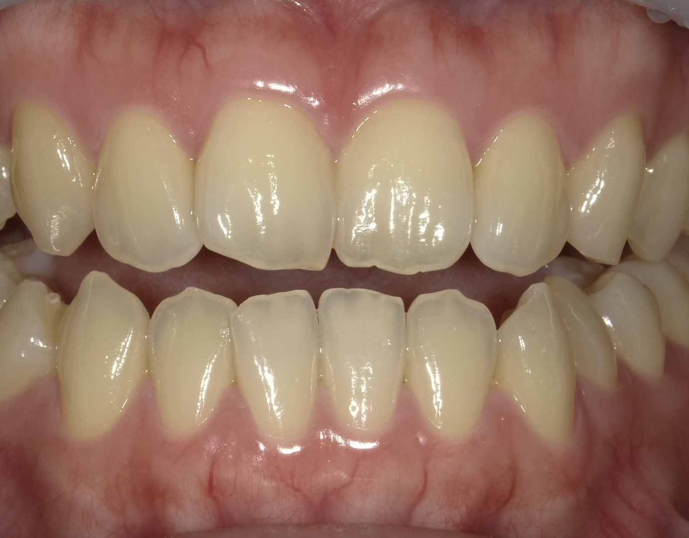
症例2:犬歯の尖りを優しく調整
下の左右の犬歯が尖っているのが気になる、とのことで形態修正を行いました。犬歯の調整は単に平らにすれば良いわけではありません。お顔立ちや輪郭、年齢、性別、そして噛み合わせの状態を考慮し、1本ずつ丁寧に調整します。先端をわずかに残すか、フラットにするか、患者様と一緒に確認しながら理想の形を探ります。
治療期間 1日/治療費用 形態修正¥66000/治療のリスク・デメリット 削る際一時的にしみる場合がある


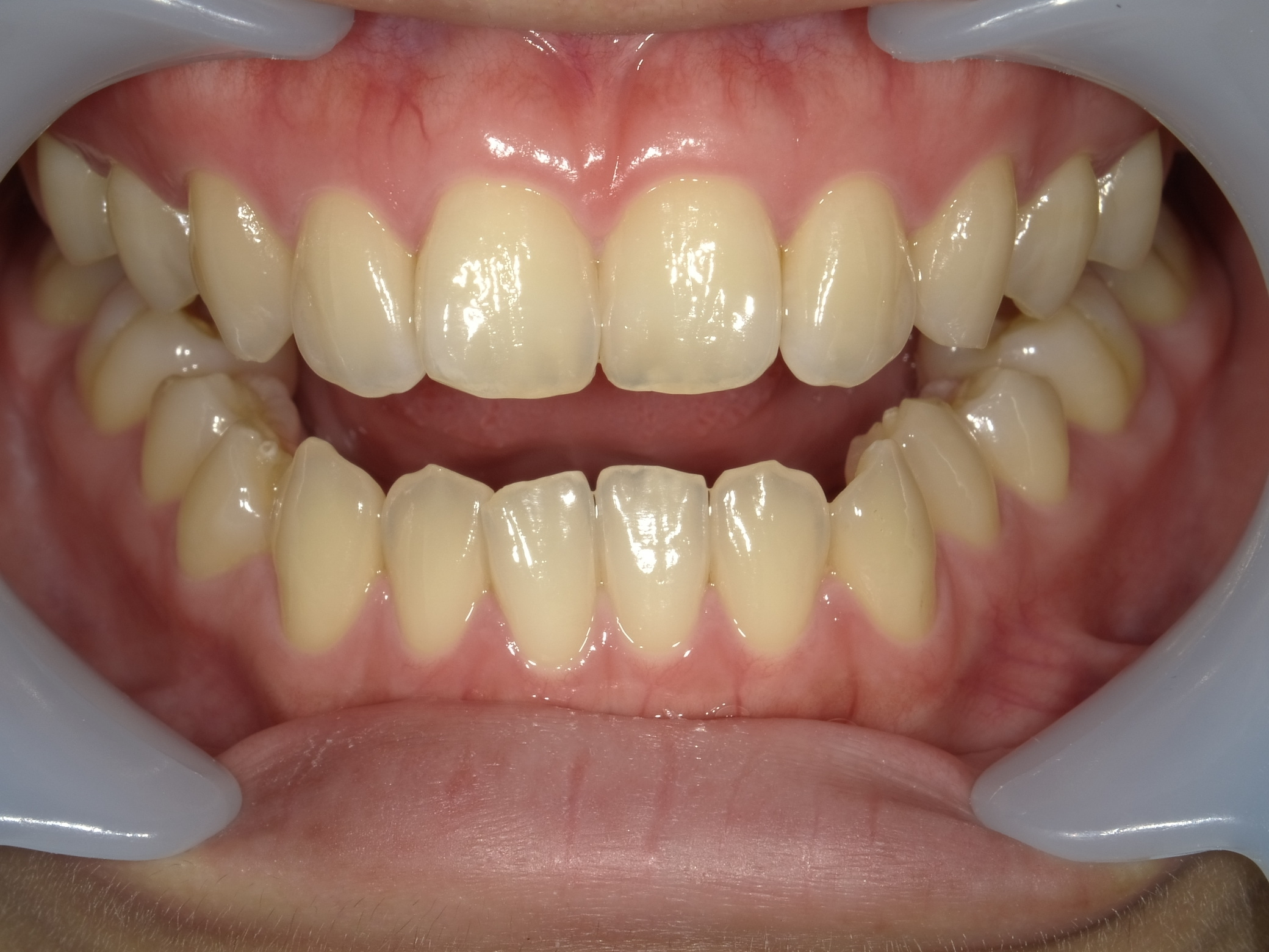
症例3 上の前歯2本の先端のギザギザを整えて真っ直ぐに見えるように
上の中心の前歯2本の先端がガタガタ、ギザギザしている部分を整えました。少しねじれがある前歯でしたが、先端を真っ直ぐにすることで曲がっている前歯も整って見えるようになりました。わずかな調整で口元や笑顔の印象も変わります。
治療期間 1日/治療費用2本¥44000/治療のリスク・デメリット 削る際に一時的にしみる場合がある


5. 当院が大切にしている「美の基準」
歯の形態修正は、天然歯を削るとても繊細な治療です。リスクがほぼないエナメル質の範囲とはいえ、削った歯は元に戻すことができません。だからこそ、当院では以下の基準を念頭に置いています。
- スマイルラインとの調和:笑った時の下唇のカーブと、歯の先端のラインが美しく合っているか。
- 黄金比と視覚バランス:お顔全体から見て、唇からどれくらい歯が見えているか、左右の対称性は取れているか。
- 前歯の長さを短くし過ぎない:「短くしてほしい」のご要望が多いのですが、唇からの歯の見え方や将来のお顔、口元との調和を想定して短くなり過ぎないような調整を行っています。前歯の印象は若さの象徴に直結します。唇で隠れてしまうくらいの短かすぎる前歯は老けて見えることがあるため、スマイルの際に前歯の1/2ほどが見えるくらいの長さを考慮して削除量を決めることが重要です。
大掛かりな装置を使わなくても、これら「美しさの法則」に基づいてわずかに形を整えるだけで、見栄えは驚くほど変わります。
6. まとめ:理想の口元への第一歩
歯はほんの少しのことでも気になるものです。そして、その「ほんの少しの調整」で見違えるほど綺麗になります。今回ご紹介した形態修正のように、歯を大きく削ったり被せたりしなくても、本来の美しさを引き出す方法はあります。
「これくらいのことで相談してもいいのかな?」と迷われる必要はありません。前歯の長さや形のバランスでお悩みの方は、ぜひ当院にご相談ください。あなたにとって最適な、負担の少ない解決策を一緒に見つけましょう。
当院では、削って後悔するようなことがないよう、慎重に診断し、施術を行う場合は患者様と確認しながら削除量を調整しています。
患者様一人ひとりのお顔立ちや口元のバランスを見て、形態修正で効果が現れるという場合に施術をしています。「口元をきれいに見せる」ための治療が形態修正ではない場合には、他の治療法をご提案させていただいております。
当院のInstagramアカウントはこちら
-
治療相談受付中!
まずはお気軽にご連絡ください。 -
\ お電話はこちら /
⌚受付時間:10:00-13:00/14:30-19:00
-
\ 治療相談受付中! /
矯正無料相談・審美治療相談
監修者
- アンチエイジングデンタルクリニック恵比寿 小川 朗子(おがわ あきこ)
-
1996年 鶴見大学歯学部卒業
1997年〜2006年 都内開業医勤務
2004年〜南青山デンタルクリニック副院長
2006年 アンチエイジングデンタルクリニック恵比寿開院
2007年 抗加齢医学会認定専門医取得
2015年 インビザライン認定医取得
2017年 高濃度ビタミンC点滴認定医取得
2018年 インディアナ州立大学歯学部 歯科矯正プログラム認定医取得
2018年 著書「若さを取り戻す歯のエイジングケア」出版 - 公式サイトトップへ