【インビザライン】
前歯だけのマウスピース矯正(部分矯正)の費用・期間は?失敗しないための条件を歯科医が解説

「前歯だけを短期間で整えたい」「目立たずにマウスピースで治したい」。
結論からお伝えすると、条件を満たせばマウスピースによる部分矯正は可能です。
アンチエイジングデンタルクリニック恵比寿では、インビザラインGoでの部分矯正プランに対応。この記事では適応チェックから費用・期間、失敗しないポイントまでを歯科医が分かりやすく解説します。

目次
60秒セルフチェック:あなたは適応?
- 上の前歯の正中や前歯間のすき間が気になる
- 軽いガタつき・ねじれ・前突(出っ歯)が中心
- 過去に矯正済みで前歯だけ後戻りが出てきた
- 3〜12ヶ月の目安で整えたいイベントがある
- 以前「奥歯の噛み合わせは大きな問題なし」と言われた
※3つ以上当てはまる方は部分矯正の候補です。迷う場合は無料相談で口腔内を確認します。
前歯だけのマウスピース矯正でできるケース
前歯(スマイルラインに見える上下6本程度)を対象にした部分矯正は、以下のケースに非常に有効です。
- すきっ歯(正中離開・歯間離開):見た目の印象改善に直結。軽〜中等度はインビザラインライトプランやインビザラインgoの範囲で対応可能です。
- 軽度の不正咬合(叢生・前突・ねじれ):軽いガタガタやねじれは短期改善が見込めます。スペース不足はIPR(ディスキング)で歯の間を削って作ります。これにより歯を抜かずに部分的な矯正が可能となります。
- 矯正の後戻り:過去の矯正後に前歯だけ後戻りしたケースは適応になりやすい領域です。
前歯だけでは難しいケース
- 噛み合わせの不調和(奥歯のズレ/過蓋咬合/反対咬合 など)
- 抜歯前提の大きな前突・叢生(スペース不足が大)
- 中〜重度歯周病が未治療
- 治療対象部位にインプラントがある場合
※無理に前歯だけを動かすと噛み合わせ悪化・後戻りの原因に。まずは全体バランスの診断が最優先です。
費用と期間の目安(比較表)
| プラン | 適応の目安 | 期間目安 | 費用目安(税込) |
|---|---|---|---|
| アソアライナー | ごく軽度・すき間 | 3〜6ヶ月 | 約 ¥165,000〜¥385,000 |
| インビザライン Go | 軽度の叢生・前突・後戻り | 6〜12ヶ月 | 約 ¥440,000〜¥495,000 |
| 全体矯正(参考) | 噛み合わせ改善が必要 | 12〜36ヶ月 | 約 ¥880,000〜 |
※検査・診断料、調整料、リテーナー費用は医院規定により異なります。
※当院症例:インビザラインgo片顎3ヶ月〜5ヶ月 ¥440,000/上下6〜8ヶ月 ¥495,000
失敗しないための注意点とこだわり
1. IPR(スペース確保)の理解
歯を安全域で削合して動くスペースを作ることがあります。適応量とリスクを事前にしっかり説明します。
【関連記事】 矯正で歯を削るのはなぜ?IPR(ディスキング)の必要性 >
2. 後戻り対策をセットで
保定(リテーナー)の装着計画と、微振動デバイスSureSmile VProなどの併用で効率と安定を図ります。
【関連記事】 後戻りしないための保定計画:美しさを維持するために >
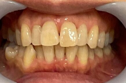
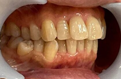
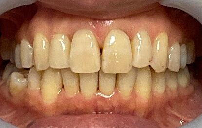
症例紹介
当院での実際の治療例です。※効果には個人差があります。
症例1:インビザライン上顎ライト/8ヶ月/¥550,000(税込)










【症例1〜4共通のリスク・デメリット】 保定装置(リテーナー)を正しく装着しないと後戻りする可能性があります。
よくある質問
Q. 通院はどれくらい必要ですか?
目安は2,3ヶ月ごと。通院が難しい場合や海外に行かれる方は写真共有で経過チェックを併用し、通院負担を軽減します。
Q. 痛みはありますか?
装着直後に締め付け感が出ることがありますが、多くの方は数日で慣れます。
Q. 結婚式や撮影までに間に合いますか?
3〜6ヶ月で目立つ隙間・軽度の乱れは改善が期待できます。早めのご相談が確実です。
「自分は前歯だけでできる?」
無料相談時に簡易診断と費用・期間の概算を見積もりいたします。
♦矯正無料相談予約の空きを確認できます♦
iTero 5D 画像診断付き無料相談
所要 約30〜45分 / 恵比寿駅 徒歩2分 / 平日19時まで
WEB予約はこちら
当院のInstagramアカウントはこちら
-
治療相談受付中!
まずはお気軽にご連絡ください。 -
\ お電話はこちら /
⌚受付時間:10:00-13:00/14:30-19:00
-
\ 治療相談受付中! /
矯正無料相談・審美治療相談
監修者
- アンチエイジングデンタルクリニック恵比寿 小川 朗子(おがわ あきこ)
-
1996年 鶴見大学歯学部卒業
1997年〜2006年 都内開業医勤務
2004年〜南青山デンタルクリニック副院長
2006年 アンチエイジングデンタルクリニック恵比寿開院
2007年 抗加齢医学会認定専門医取得
2015年 インビザライン認定医取得
2017年 高濃度ビタミンC点滴認定医取得
2018年 インディアナ州立大学歯学部 歯科矯正プログラム認定医取得
2018年 著書「若さを取り戻す歯のエイジングケア」出版 - 公式サイトトップへ