【矯正歯科】 NEW
歯並びのガタガタ(叢生)を治したい!大人の矯正ででこぼこを短期間で改善する方法と費用・症例
Last Updated on 2026年2月10日 by 小川朗子

「私のひどいガタガタ、本当に矯正治療で治るの?」
鏡を見るたびにため息が出る、でこぼこな歯並び。専門用語では「叢生(そうせい)」と呼びますが、これは単なる見た目の問題ではありません。実は、大人のガタガタを放置すると、40代以降に「歯を失う最大の原因」になるリスクを孕んでいます。
当院では、最新のデジタル技術と豊富な症例経験に基づき、「可能な限り抜かない(非抜歯)」方針で、目立たず短期間にガタガタを解消する治療を提供しています。本記事では、でこぼこ歯並びの原因から、最新の治療法、費用、そして実際に劇的な変化を遂げた症例まで、矯正検討中の方が知っておくべき情報を詳しく解説します。
目次
1. 歯並びがガタガタ(叢生)になる本当の原因とは?
「子供の頃はここまでひどくなかったのに…」という声をよく耳にします。でこぼこな歯並び(叢生)が発生し、悪化するのには明確な理由があります。
① 顎と歯のサイズのアンバランス
最も多い原因は、歯を並べるための「土台(顎)」が小さすぎること、または「歯のサイズ」が大きすぎることです。現代人は柔らかいものを食べる習慣により顎が細くなっており、全ての歯がきれいに並ぶスペースが不足しています。その結果、歯が前後に重なり、ガタガタの状態になります。
② 加齢による「近心移動」
歯は一生を通じて、少しずつ前(正中)に向かって移動する性質(近心移動)があります。特に奥歯が前方に押し寄せてくることで、もともと弱かった前歯の並びが、大人になってからさらに前に押し出されるようにガタガタが強くなるのです。
③ 歯周病による歯列の崩壊
40代以降に多いのがこのケースです。歯周病によって歯を支える骨(歯槽骨)が溶けると、歯の維持力が弱まり、噛む力に負けて歯が外側に広がったり、重なり合ったりして歯列が崩れていきます。
2. でこぼこの歯並びを放置する「目に見えないリスク」
「見た目さえ我慢すれば大丈夫」と考えるのは危険です。叢生は口腔内の健康寿命を著しく縮めます。
- 重度の歯周病と虫歯: 重なった部分はどれだけ丁寧に磨いても歯ブラシの毛先が届きません。そこに細菌が溜まり、隣接面(歯の間)から虫歯や歯周病が進行します。
- 噛み合わせによる歯の寿命短縮: 並びが悪いと、特定の歯だけに過剰な負担がかかります。その結果、歯が割れる(歯根破折)、削れるといったトラブルが起き、結果として抜歯を早めてしまいます。
- 口臭の温床: 磨き残したプラーク(細菌の塊)は発酵し、強い口臭の原因となります。これはマウスウォッシュでは解決できない根本的な問題です。
3. 当院の強み:なぜ「抜かない」ガタガタ矯正が可能なのか
多くの矯正歯科では、ガタガタがひどい場合に「小臼歯(4番目の歯)」の抜歯を提案します。しかし、当院では以下の技術を駆使し、非抜歯(歯を抜かない)の可能性を追求します。
① IPR(ディスキング)の精密実施
歯のエナメル質を安全な範囲(0.2mm〜0.5mm程度)でわずかに削り、隙間を作ります。一本一本は微細ですが、全歯に行うことで、歯を抜かずに並べるためのスペースを確保することができます。
② 奥歯の後方移動(遠心移動)
マウスピース矯正(インビザライン)が得意とする動きです。奥歯を順次後ろへ移動させることで、前歯を下げるスペースを生み出します。これは従来のワイヤー矯正では非常に難しかった技術です。
③ 側方拡大
狭くなっている歯列の横幅を、デジタルシミュレーションに基づき安全な範囲で広げます。これにより、顔の印象まで明るくなる効果が期待できます。
4. 症例紹介
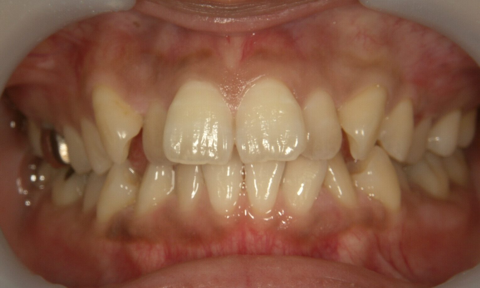
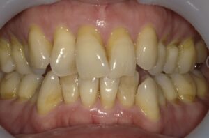
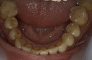
【症例1】重度の叢生(でこぼこ)を非抜歯で改善
「前歯が大きく重なり、他院で4本抜歯が必要と言われた」という30代女性のケースです。


- 治療方法: インビザライン・コンプリヘンシブ上下
- 治療期間: 1年6ヶ月
- 治療費用: 99万円(税込)
- 治療のリスク・デメリット 装着時間を守らないと期間が延長することがある
- ポイント: 抜歯をせずにIPRと遠心移動を組み合わせ、理想的なアーチを実現しました。
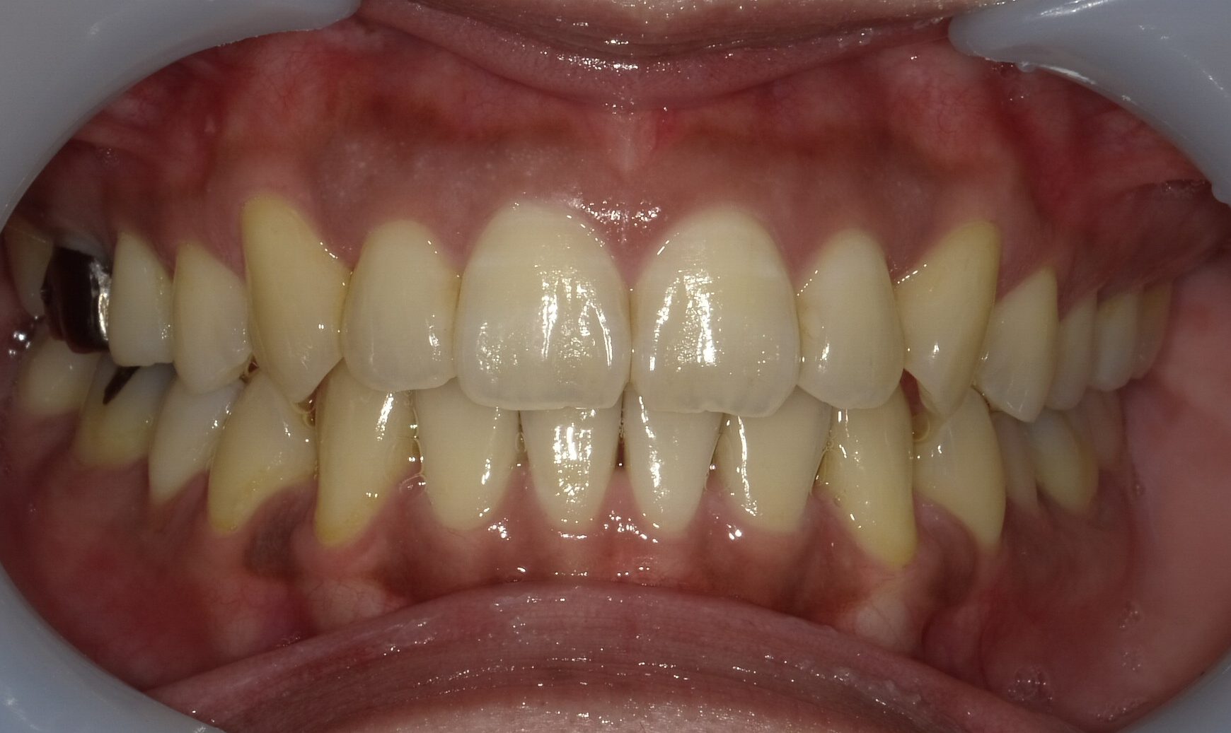
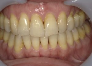
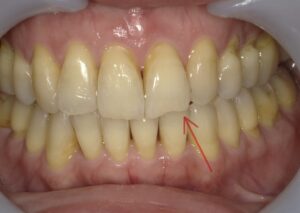
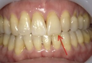
【症例2】50代・矯正は難しいと言われ半ば諦めていたガタガタの改善
「数カ所の歯科医院で相談をしたが、矯正が難しいと言われ諦めかけていた」という50代女性のケースです。前歯が元々欠損しているため真ん中を合わせることはできませんが、ガタガタはIPRや側方拡大を行い治すことができました。






仕上げに前歯のすり減りをダイレクトボンディングで直し、より整った印象にしています。


- 治療方法: ワイヤー矯正上下
- 治療期間: 12ヶ月
- 治療費用: 77万円(税込)
- 治療のリスク・デメリット:ブラックトライアングル
- ポイント: 比較的短期間のプランで、前歯の見た目と清掃性を大幅に向上させました。
※矯正治療には共通のリスク(一時的な痛み、リテーナー使用不足による後戻り等)があります。詳細はカウンセリングでご説明します。
5. 費用と期間の目安
| プラン名 | 適応症例 | 費用目安 | 期間目安 |
|---|---|---|---|
| 部分矯正 | 軽度の前歯のズレ | 35万〜50万円 | 3ヶ月〜10ヶ月 |
| 全体矯正 | 中度〜重度のガタガタ | 70万〜100万円 | 1年〜2年 |
6. よくある質問(FAQ)
A. かつてはワイヤー矯正でしか治せない症例もありましたが、現在のインビザラインは非常に進化しており、当院では90%以上のガタガタ症例をマウスピースのみで治療可能です。顎の骨格自体に大きな問題がある場合のみ、外科的処置をご提案することがあります。
A. 無理な抜歯矯正を行うと口元が下がりすぎて「老け感」が出ることがありますが、当院では非抜歯を基本とし、お顔全体のバランスを見ながら歯を並べるため、むしろ若々しい印象になる方が多いです。Q. 40歳を過ぎてからの矯正は遅いですか?
A. 全く遅くありません。むしろ、40代以降に歯並びを整えることは、一生自分の歯で食事を楽しむための「最良の予防医療」です。
▶︎ 大人の噛み合わせ矯正のメリットを詳しく見る▶️大人矯正の専門サイトはこちら
ガタガタの悩み、まずは5分の無料スキャンから
「自分の歯がどう動くのか」を知るだけで、不安の大部分は解消されます。当院では最新のスキャナーiTeroを用いて、その場で矯正後のシミュレーションを無料で行っています。まずは現状を知るためにお気軽にご相談ください。

当院のInstagramアカウントはこちら
-
治療相談受付中!
まずはお気軽にご連絡ください。 -
\ お電話はこちら /
⌚受付時間:10:00-13:00/14:30-19:00
-
\ 治療相談受付中! /
矯正無料相談・審美治療相談
監修者
- アンチエイジングデンタルクリニック恵比寿 小川 朗子(おがわ あきこ)
-
1996年 鶴見大学歯学部卒業
1997年〜2006年 都内開業医勤務
2004年〜南青山デンタルクリニック副院長
2006年 アンチエイジングデンタルクリニック恵比寿開院
2007年 抗加齢医学会認定専門医取得
2015年 インビザライン認定医取得
2017年 高濃度ビタミンC点滴認定医取得
2018年 インディアナ州立大学歯学部 歯科矯正プログラム認定医取得
2018年 著書「若さを取り戻す歯のエイジングケア」出版 - 公式サイトトップへ