【審美歯科】
セラミックの差し歯が黒い原因は?歯の根元が黒い・古い差し歯のやり直し治療
Last Updated on 2025年12月24日 by 小川朗子
古いセラミックの差し歯が黒い原因とは?歯茎が透ける方へ|やり直しで自然な白さに
前歯に入っている古いセラミッククラウンの付け根が黒くなってきた、
差し歯の根元が暗く透けて見える——
このようなお悩みでご相談に来られる方は、10年〜20年以上前にセラミック治療を受けた方が非常に多いです。
実はこれ、珍しいことではありません。
そして現在では、歯茎が黒くならないセラミック治療が可能になっています。
目次
セラミックなのに歯茎が黒く見える主な原因

- 差し歯の内側に金属フレーム(メタルボンド)が使われている
- 歯の土台が金属で、色が透けている
- 歯肉が下がり、差し歯の境目が見えてきた
- 根元に虫歯や炎症が起きている
特に多いのが、昔主流だった金属を使ったセラミッククラウンです。 歯茎が下がると、どうしても金属の縁が黒く見えてしまいます。
現在多く使われているのはジルコニア、ジルコニアセラミックなどのフレームともに白い素材のクラウンです。軽く、透明感があり天然歯独特の難しい色調にも合わせることができます。根が割れていない・重度の歯周病でなければ、ほとんどのケースは改善可能です。
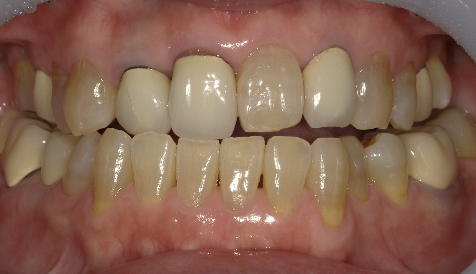
症例①|歯肉が下がり差し歯の根元が黒く見えてきたケース



昔のセラミック治療では内側に金属フレームが入っているメタルボンドクラウンであることが多く、透明感がなく歯茎との境目が暗く見えていました。 クリアなホワイトのジルコニアセラミッククラウンに交換し、歯肉とのなじみも自然に改善しています。歯の状態によっては、根の治療や土台のやりかえが必要なこともあり、セラミック治療の前にはレントゲンで事前診断を行います。ご希望により下の歯も上の歯の色に合わせてラミネートベニアでセラミック治療を行いました。
治療期間 6ヶ月(根の治療、土台治療も含め)治療費用 上顎10本¥1507000 治療のリスク・デメリット 歯を削る必要がある。
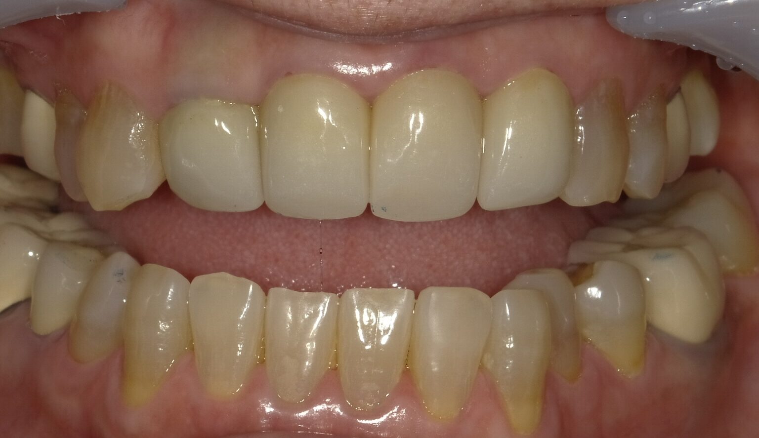
症例②|20年以上前の差し歯をやり直したケース


20年以上前のメタルボンドによる差し歯で、歯肉が下がり根元の黒い影と歯の間のすきまも黒く見えていました。 ジルコニアセラミックを使用して周りの歯と形や色を調和させて自然な色味でやり直しをしました。
治療期間2ヶ月 治療費用¥345400 治療のリスク・デメリット 神経のある歯の場合は、一時的な知覚過敏が出ることがある
症例③|天然歯に近い色調で自然な口元を取り戻したケース


周囲の歯と色が合っていないことで、前歯だけが浮いて見えていました。ご希望は、「あまり白くしないで、周りの歯の色と合わせて欲しい」 とのことでしたので色合わせを丁寧に行い、高透過性ジルコニアクラウンで天然歯と自然に馴染む色調に仕上げています。
治療期間3ヶ月 治療費用 ¥690800 治療のリスク・デメリット 歯を削る必要がある
「真っ白にしたい」「あまり白くない自然な感じに」 どちらのご希望にも対応できるのが、当院のセラミック治療の強みです。
セラミック治療のよくある質問
Q. 仮歯の時の見た目はおかしくないですか?
A. 仮歯の期間中に見た目が大きく損なわれることはありません。当院では、周囲の歯の色調に合わせ、最終的なセラミッククラウンに近い形・色味で仮歯を作製しています。人前に出るお仕事の方でも安心してお過ごしいただけます。
Q. 審美治療は痛いですか?
A. 神経のある歯の治療では、必要に応じて麻酔を行いますので、治療中の痛みはほとんどありません。治療後に軽い違和感が出ることはありますが、通常は数日で落ち着きます。
Q. セラミックはどれくらい持ちますか?
A. 一般的にセラミックの耐久性は10年〜20年程度とされています。セラミック自体は経年劣化しにくい素材ですが、長持ちさせるためには、定期的なメンテナンスや噛み合わせのチェック、虫歯・歯周病予防が非常に重要です。
Q. 審美歯科は保険適用されますか?
A. 審美治療は基本的に保険適用外(自費診療)となります。ただし、審美治療に付随して必要となる虫歯治療や根管治療については、保険が適用される場合があります。
Q. 保証はありますか?
A. 当院の審美治療では、治療内容に応じて1年〜3年間の保証制度を設けています。詳しい保証内容については、治療計画のご説明時に丁寧にご案内いたします。
Q. 歯を削らずに治療できますか?
A. セラミック治療では、原則として歯を全く削らずに行うことはできません。ただし当院では、歯への侵襲をできる限り抑え、機能性と審美性の両立を重視した削除量で治療を行っています。
当院のセラミック治療が選ばれる理由

- 金属を使わない設計で歯茎が黒くならない
- 真っ白にも、ナチュラルにも色調調整が可能
- 仮歯で形の修正が可能。仕上がりを事前確認
- 噛み合わせ・歯周組織まで含めた総合診断
見た目だけでなく、長く安心して使える差し歯を前提に治療を行っています。
こんな方はご相談ください
- 差し歯の根元が黒くなってきた
- 古いセラミックを10年以上使っている
- 歯茎が下がって見た目が気になる
- やり直すなら後悔したくない
前歯の差し歯を変えるだけで、口元だけでなくお顔全体の印象が大きく変わります。
▶ アンチエイジングデンタルクリニック恵比寿|無料相談・ご予約はこちら
当院のInstagramアカウントはこちら
-
治療相談受付中!
まずはお気軽にご連絡ください。 -
\ お電話はこちら /
⌚受付時間:10:00-13:00/14:30-19:00
-
\ 治療相談受付中! /
矯正無料相談・審美治療相談
監修者
- アンチエイジングデンタルクリニック恵比寿 小川 朗子(おがわ あきこ)
-
1996年 鶴見大学歯学部卒業
1997年〜2006年 都内開業医勤務
2004年〜南青山デンタルクリニック副院長
2006年 アンチエイジングデンタルクリニック恵比寿開院
2007年 抗加齢医学会認定専門医取得
2015年 インビザライン認定医取得
2017年 高濃度ビタミンC点滴認定医取得
2018年 インディアナ州立大学歯学部 歯科矯正プログラム認定医取得
2018年 著書「若さを取り戻す歯のエイジングケア」出版 - 公式サイトトップへ