【矯正歯科】
すきっ歯(空隙歯列)を治すには?原因と治療法・症例を徹底解説
Last Updated on 2025年11月4日 by 小川朗子
笑ったときや話すときに「前歯のすき間が気になる」「写真で歯のすき間が目立つ」と感じていませんか?
すきっ歯(空隙歯列)は、見た目の問題だけでなく、噛み合わせや発音にも影響を与えることがあります。
この記事では、すきっ歯の原因・治療法・実際の症例までを詳しく解説します。
目次
すきっ歯(空隙歯列)とは

すきっ歯とは、歯と歯の間にすき間(空隙)がある状態を指します。
歯の大きさと顎の骨(歯槽骨)の大きさのバランスが取れていない「アーチレングスディスクレパンシー」が主な要因です。
この不調和は、生まれつき(先天的)と生活習慣などによる(後天的)原因の両方があります。
すきっ歯の主な原因
① 遺伝的な要因
親がすきっ歯の場合、子どもも同様の歯列になる傾向があります。歯のサイズが小さい・顎が大きいなどの遺伝的特徴が関係しています。
② 口呼吸や舌癖などの生活習慣
口呼吸や舌で前歯を押す癖(舌突出癖)は、歯列に外側からの圧力をかけてすきっ歯を悪化させることがあります。
大人になってもこの習慣が残ると、治療後に再びすき間が開く「後戻り」を起こすこともあるため、舌トレーニングを行ったり鼻呼吸の習慣をつけるようにして治療を進めることが大切です。
③ 歯の欠損や虫歯による空隙
虫歯や外傷で歯を失った場合、隣の歯が移動してすき間ができることがあります。この場合は矯正と補綴治療(被せ物・ブリッジ)を組み合わせて改善します。
すきっ歯を放置すると?
- 見た目のコンプレックス:笑顔や発音に自信を失いやすい
- 咬み合わせの不調和:一部の歯に負担が集中して歯周病や欠けの原因に
- 発音のしづらさ:「サ行」「タ行」が不明瞭になる
これらの問題を根本的に改善するには、原因に合った治療法の選択が重要です。
すきっ歯の治療法と特徴
① マウスピース矯正(インビザライン・アソアライナー)
透明なマウスピースを装着して少しずつ歯を動かす方法です。
歯を削らず、目立たない状態で自然にすき間を閉じられます。
治療中も食事や歯磨きの際に取り外せるため、衛生的で快適です。
期間:約3ヶ月〜1年
費用:¥385,000〜¥1,000,000(税込)
② ダイレクトボンディング
歯を削らず、レジン(樹脂)を直接盛り足してすき間を埋める方法です。
短期間で仕上がりますが、着色・変色のリスクがあり、定期メンテナンスが必要です。
期間:1日
費用:1歯¥33000(税込)
1日で完了するすきっ歯治療、ダイレクトボンディングの症例を見る
③ ラミネートベニア

歯の表面をわずかに削り、薄いセラミックを貼る方法です。
短期間で美しい仕上がりになりますが、歯の幅が少し広くなるデメリットもあります。
削らないセラミック治療で美しい前歯を実現、おすすめのラミネートベニアとは?
④ セラミッククラウン

すき間が広い場合や、すでに詰め物がある歯に適用します。
歯全体を覆うため、形や色を理想的に整えることができます。
⑤ ワイヤー矯正

ブラケットとワイヤーで歯を動かしてすき間を閉じる方法。自己管理が難しい方や複雑な歯列の場合に行います。
当院の症例紹介
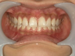
症例①:軽度のすきっ歯(インビザライン)


上の前歯にわずかな隙間とねじれがあったAさん。
透明なマウスピース矯正で11ヶ月後に美しい歯並びを獲得しました。
治療期間 11ヶ月 費用 上下¥638,000(税込)治療のリスクデメリット 後戻り
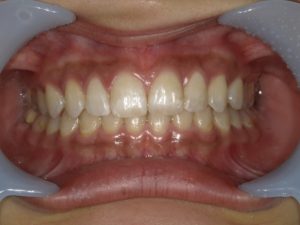
症例②:中等度のすきっ歯(全顎矯正)


前歯の隙間が広く、奥歯の噛み合わせにも影響があったBさん。
インビザライン・コンプリヘンシブで17ヶ月で改善しました。
治療期間 17ヶ月 治療費用:¥990,000(税込)治療のリスクデメリット 後戻り
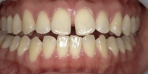
症例③:即日改善(ダイレクトボンディング)


矯正装置を使わずに治したいCさんには、1日で完了するダイレクトボンディングを選択。自然な仕上がりに。
費用:2本¥33000(税込)
治療期間と費用の目安
| 治療法 | 期間 | 費用(税込) |
|---|---|---|
| ダイレクトボンディング | 1〜2回 | 1歯¥33000〜 |
| ラミネートベニア | 約1〜2ヶ月 | 1歯¥121000〜 |
| セラミッククラウン | 約1〜3ヶ月 | 1歯¥143000〜 |
| マウスピース矯正 | 約3ヶ月〜1年 | ¥385,000〜¥1,000,000 |
まとめ|すきっ歯は矯正治療で根本から改善できます
すきっ歯は「見た目の問題」と思われがちですが、噛み合わせや発音、将来の歯の健康にも関わる大切な症状です。
当院では、歯を削らずにすきっ歯を治すマウスピース矯正を中心に、症状やご希望に合わせて最適な方法をご提案しています。
当院のInstagramアカウントはこちら
-
治療相談受付中!
まずはお気軽にご連絡ください。 -
\ お電話はこちら /
⌚受付時間:10:00-13:00/14:30-19:00
-
\ 治療相談受付中! /
矯正無料相談・審美治療相談
監修者
- アンチエイジングデンタルクリニック恵比寿 小川 朗子(おがわ あきこ)
-
1996年 鶴見大学歯学部卒業
1997年〜2006年 都内開業医勤務
2004年〜南青山デンタルクリニック副院長
2006年 アンチエイジングデンタルクリニック恵比寿開院
2007年 抗加齢医学会認定専門医取得
2015年 インビザライン認定医取得
2017年 高濃度ビタミンC点滴認定医取得
2018年 インディアナ州立大学歯学部 歯科矯正プログラム認定医取得
2018年 著書「若さを取り戻す歯のエイジングケア」出版 - 公式サイトトップへ