【審美歯科】
削るだけで綺麗になる?前歯の見た目改善|形態修正(ティースシェイピング)と部分矯正の判断基準
Last Updated on 2026年1月12日 by 小川朗子
前歯の見た目が気になる方へ|色・形を自然に整える審美治療の選び方

「前歯の形を整えたい」「長さが気になる」「少し削るだけでキレイになりますか?」というご相談を多くいただきます。
しかし実際には、形の問題だけでなく、歯並びや噛み合わせが原因になっていることも少なくありません。
この記事では、歯科医がどのように“削る or 矯正する”を見極めているか、そして当院が行う精密な形態修正(ティースシェイピング)の特徴を解説します。
当院の審美治療全体については、審美治療のページもあわせてご覧ください。
目次
まず結論|「形だけ」か「並びも」かで治療法は変わります
前歯の見た目を整える治療は、大きく分けて2つの方向があります。
- 形そのものを整える → 形態修正(ティースシェイピング)・ダイレクトボンディング
- 歯の位置を整える → 前歯部分矯正(マウスピース矯正・ワイヤー矯正)
見た目上の「段差」「すき間」「傾き」が歯の形によるものなら削る・足す治療で整います。
一方で、原因が歯の位置(配列)にある場合は、削るだけでは改善せず、部分矯正が最適です。
形態修正(ティースシェイピング)とは?

エナメル質の範囲内で0.2〜1.0mmほど歯の表面を整える治療です。
尖った角を丸めたり、左右の長さをそろえたり、歯先のギザギザを滑らかにして、より自然で調和の取れた印象に仕上げます。
- 麻酔不要で痛みがない
- 通常、当日1回で完結する
- 歯への負担が少ない
ただし、この治療は“どこまで削るか”“どのように削るか”の診断が非常に重要です。
削りすぎれば歯の形を損ない、知覚過敏のリスクも発生するため、繊細な技術と経験が必要です。
大きく形や色を変えたい場合には、セラミック治療や、歯をほとんど削らずに整えられるラミネートベニアをご提案することもあります。
形態修正が向いているケース
- 歯の先端のギザギザが気になる
- 長さを少しだけ短くしたい
- 尖っている犬歯を整えたい
- 左右の長さを少しだけそろえたい
- 微小な欠けやエッジの段差を整えたい
- イベント前など短期間で印象を変えたい
向いていないケース(矯正が必要な場合)
- すきっ歯(合計1.5mm以上)
- 前歯の前突や出っ歯 (前歯の位置が原因になっている場合)
- 前歯のねじれ(回転や曲がっている歯)や突出、前方傾斜
- 歯が重なっている・咬み合わせに問題がある
- 削ると左右差や短歯化が目立つ恐れがある
このような場合は、前歯部分矯正やマウスピース矯正で、歯の位置を動かしてから形態修正を行う方が安全で美しい仕上がりになります。
症例
症例1 形態修正適応症例
上の前歯2本のマメロン修正
主訴: 前歯の先端のギザギザが気になる/治療回数:1回/治療費用:1歯¥11000×2本 ¥22000/治療のリスク デメリット:一時的にしみることがある

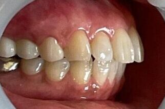
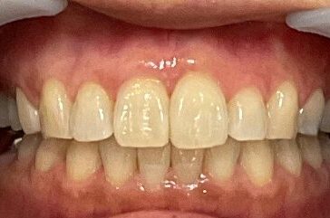
症例2 形態修正適応症例
右上の犬歯と前歯2本の長さを整えたケース
主訴:尖っている犬歯を修正したい、前歯の長さを短くしたい/治療期間:1日/治療費用:1歯¥33000×3本 ¥99000/治療のリスク デメリット:一時的にしみることがある
Before
After
症例 部分矯正適応症例
インビザラインgoで前歯の部分的な矯正を行なったケース
主訴: 前歯が前に出て大きく見える、下唇を噛んでしまう、唇が閉じにくい/治療期間:4ヶ月/治療費用:¥440000/治療のリスク デメリット:保定装置をしないと後戻りする
Before


After


患者様の主訴が、“形態修正で適応するか”、“矯正が適応か”を見極めて診断することが、満足できる治療の結果につながります。形と配列、噛み合わせを総合的に診て適切な治療をご提案しています。
経験値がある審美歯科医だからできる「見た目と将来のバランス診断」
形態修正は「削れば揃う」という単純な治療ではありません。
歯の厚み・位置・光の反射・噛み合わせの動きなどを考慮しながら、どこを削るか、どこを残すかを判断します。
当院では、次の3つの観点から診断を行っています。
- 歯の形の乱れが「形」由来か「位置」由来か
- 噛み合わせ・顎の動きに支障が出ないか
- 治療後の歯質や歯肉が長期的に安定するか
これらを正しく見極めるには、審美修復と矯正治療の両方を経験している歯科医の診断力が欠かせません。
当院では、歯を「削る・動かす・足す」すべての技術を併せ持つことで、最小の処置で最大の美しさを引き出しています。
形態修正は“繊細な審美技術”——他院では行われにくい理由
形態修正は、一般的な歯科では行っていない場合もあります。
理由は、高度な技術と審美眼が必要で、削りすぎると歯の寿命を損ねるリスクがあるためです。
当院では、マイクロ単位での削合コントロールを行い、
歯列全体と唇の動きを確認しながらバランスを整えます。
見た目だけでなく、歯の保存と長期的な安定を両立することを重視しています。
症例:前歯のすきっ歯+長さのアンバランス。部分矯正で位置を整えた後、形態修正で自然なラインへ。
治療方法:インビザライン矯正 +形態修正/治療期間:3ヶ月/治療費用:¥440000/治療のリスクデメリット:保定装置をしないと後戻りする ※当院で矯正治療を行なった方は治療の仕上げとして形態修正を行なっています。(別途費用なし)


歯1本ではなく「口元全体の調和」を見る治療方針
美しい前歯は、1本だけが整っていても完成しません。
隣接歯との角度、唇のライン、笑ったときの歯の見え方など、口元全体のバランスが重要です。
当院では、形態修正を行う際も、顔貌や表情との調和を考慮します。
ただ削るのではなく、「その方の笑顔をより魅力的に見せる角度・長さ」を設計します。
必要に応じて、ダイレクトボンディングや部分矯正を併用し、最小限の処置で自然な美しさを実現します。
院長コメント
「形態修正は、ほんの0.2mmの調整でも印象が大きく変わります。
その“ほんの少し”をどう整えるかが、美しさと歯の寿命を左右します。
私たちは歯1本をデザインするのではなく、口元全体をデザインするという意識で治療に臨んでいます。」
よくある質問
Q. 形態修正だけで歯並びは整いますか?
A. 軽微な段差や欠けであれば整いますが、歯の位置がずれている場合は部分矯正が必要です。削りすぎは避けましょう。
Q. 治療は1回で終わりますか?
A. はい。多くのケースは1回で完結します。ホワイトニングの予定がある場合は、念のため術後1週間は避けて頂いています。
Q. 費用はどれくらいですか?
A. 本数や調整内容によって異なりますが、形態修正は1本¥11000〜¥33000になります。料金表はこちらをご覧ください。
まとめ|「形」も「並び」も、未来を見据えた審美治療を
前歯の形を整える治療は、見た目の印象を大きく変える一方で、歯への負担・将来の健康にも関わります。
そのため、経験豊富な歯科医による正確な診断と、トータルバランスを考えた治療計画が欠かせません。
「形を整えたいけれど削りたくない」「自然に整えたい」という方は、ぜひ初回相談をご利用ください。
患者様一人ひとりの口元にとって最も適した方法をご提案いたします。
具体的な治療内容や費用については、審美治療のご案内ページもご参考ください。
矯正無料相談・審美治療相談
前歯の形や色、歯並びでお悩みの方は、まずはお気軽にご相談ください。
削る・動かす・足すのすべてを比較しながら、あなたに最も合った治療プランをご提案します。
当院のInstagramアカウントはこちら
-
治療相談受付中!
まずはお気軽にご連絡ください。 -
\ お電話はこちら /
⌚受付時間:10:00-13:00/14:30-19:00
-
\ 治療相談受付中! /
矯正無料相談・審美治療相談
監修者
- アンチエイジングデンタルクリニック恵比寿 小川 朗子(おがわ あきこ)
-
1996年 鶴見大学歯学部卒業
1997年〜2006年 都内開業医勤務
2004年〜南青山デンタルクリニック副院長
2006年 アンチエイジングデンタルクリニック恵比寿開院
2007年 抗加齢医学会認定専門医取得
2015年 インビザライン認定医取得
2017年 高濃度ビタミンC点滴認定医取得
2018年 インディアナ州立大学歯学部 歯科矯正プログラム認定医取得
2018年 著書「若さを取り戻す歯のエイジングケア」出版 - 公式サイトトップへ